DIAG IMAGING 5 Flashcards

(12 cards)

1
Q

in patient prep for abdominal ultrasound, patients should eb clipped form where?

A

-all this + ensure clipping above ribs for full view of liver

How well did you know this?
1
Not at all
2
3
4
5
Perfectly
2
Q

free fluid in abdomen will be anechoic. how does this affect viewing of other nearby organs?

A

[the free flud didnt absorb any echogenicity so the next organs r hyperechoic]

How well did you know this?
1
Not at all
2
3
4
5
Perfectly
3
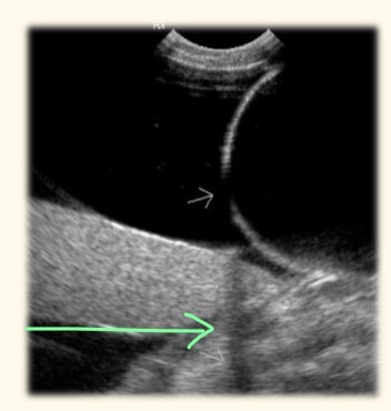
Q

what is causing this line of hypoechogenicity

A
How well did you know this?
1
Not at all
2
3
4
5
Perfectly
4
Q

describe the relative echogenicity of organs…[mneumonic]

A
How well did you know this?
1
Not at all
2
3
4
5
Perfectly
5
Q

what are these 2 common findings in the liver [during ultrasound]?

A

-nodular hyperplasia
-diffusely hyperechoic parenchyma

How well did you know this?
1
Not at all
2
3
4
5
Perfectly
6
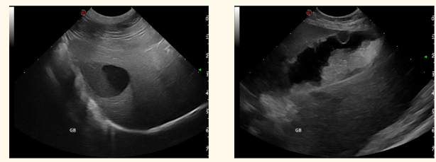
Q

what is this common finding in the gallbladder?

A

sludge

How well did you know this?
1
Not at all
2
3
4
5
Perfectly
7
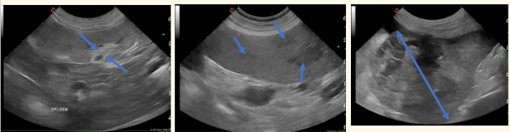
Q

what are these 3 common findings in the spleen [during ultrasound]?

A

-myelolipomata
-nodular hyperplasia/extramedullary haematopoiesis
-splenic HSA

How well did you know this?
1
Not at all
2
3
4
5
Perfectly
8
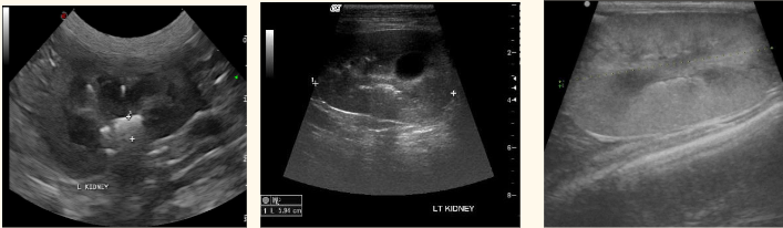
Q

what are these 3 common findings in the kidney

A

-renoliths
-renal cysts
-CKD

How well did you know this?
1
Not at all
2
3
4
5
Perfectly
9
Q

what are these 3 common findings in the urincary bladder

A
How well did you know this?
1
Not at all
2
3
4
5
Perfectly
10
Q

why can US of the GIT be quite challenging?

A
How well did you know this?
1
Not at all
2
3
4
5
Perfectly
11
Q
A
How well did you know this?
1
Not at all
2
3
4
5
Perfectly
12
Q

between the 4 anatomical surface layers of the GIT, which are hyperechoic?
hypoechoic?

A

-hypoechoic=M
-hyperechoic=S

How well did you know this?
1
Not at all
2
3
4
5
Perfectly