Exotiques Flashcards

(146 cards)

1
Q

Quelle race sont porteuse asymptomatique de porteur asymptomatique de Chlamydia psittaci, polyomavirus

a. Inséparable (Agapornis sp);
b. Perruche ondulée
c. Calopsitte élégante
d. Canaris

A

a. Inséparable (Agapornis sp);
b. Perruche ondulée
c. Calopsitte élégante

Les inséparable sont aussi porteur asymptomatique de circovirus.

How well did you know this?
1
Not at all
2
3
4
5
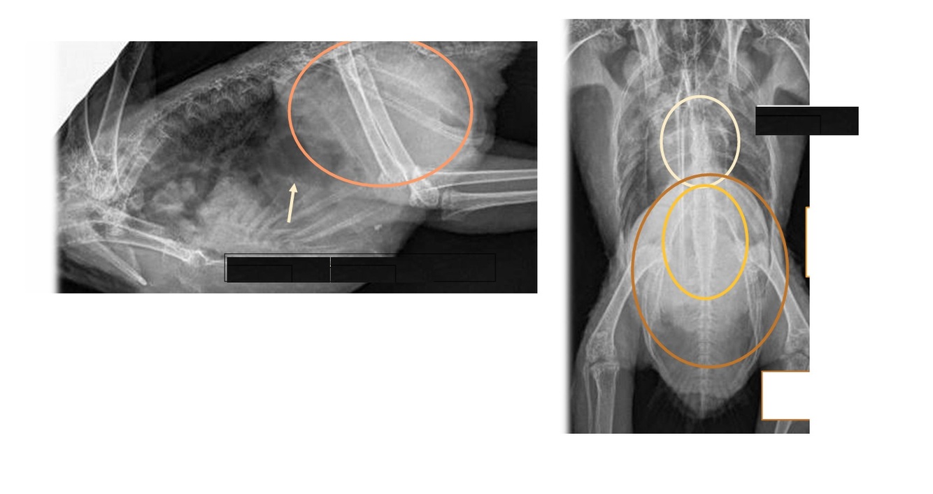
Perfectly
2
Q

Lesquelles de ces espèces présentent un dimorphisme sexuel ? (2023, 2022, 2020)
a) Perroquet à ventre rouge, ara macao
b) Perruche calopsitte, éclectus
c) Gris d’Afrique, perruche à collier
d) Conure à joues vertes, touï Catherine
e) Cacatoès blanc, inséparable

A

b) Perruche calopsitte, éclectus

How well did you know this?
1
Not at all
2
3
4
5
Perfectly
3
Q

Comment determiner le sexe chez les canaries (panseriformes = oiseau chanteur coe moineau)?

A

=> cloaque proeminent chez males

=> cloaque plat chez la femmelle

How well did you know this?
1
Not at all
2
3
4
5
Perfectly
4
Q

Comment determiner le sexe ches les columbriformes ( piegon)

A

Dimorphisme sexuel : Aucun.
=> Les mâles font de « grands saluts » lorsqu’ils
roucoulent

=>Lles femelles frémissent les ailes en baissant leur tête.

How well did you know this?
1
Not at all
2
3
4
5
Perfectly
5
Q

Duree de la quarantaine chez les oiseau de compagnies

A

mimimum 30 jours

How well did you know this?
1
Not at all
2
3
4
5
Perfectly
6
Q

Dans l examen a distance notamment sur la posture de lanimal, que peut signifuier cette posture?

partie de l examen de oiseau:
Examen de l’environnement
Examen à distance
Examen physique de l’oiseau

A

PB possible:parésie-paralysie==tumeur rénale ou des gonades, follicule ovarien

oiseau pose généralement l’aspect plantaire de son tarsométatarse au lieu de son pied sur le perchoir et se tient les doigts en bouleture

Un oiseau devrait se tenir droit, porter un poids équivalent sur ses 2 pattes et tenir ses ailes de façon symétrique

How well did you know this?
1
Not at all
2
3
4
5
Perfectly
7
Q

Une perruche ondulée femelle de 11 ans est présentée pour une boiterie de non-appui de la patte droite depuis quelques jours. Le propriétaire rapporte que l’oiseau est tombé de son perchoir un peu plus tôt en tentant de se déplacer. À l’examen, l’oiseau appui son métatarse sur le dessus du perchoir. Aucune enflure ou hématome visible au niveau de ce membre. Le réflexe de retrait est diminué mais la douleur profonde est toujours présente. Les radiographies ne démontrent pas d’anomalies squelettiques, mais une densité de tissu mou est visible dans le coelome dorsal juste ventralement à l’articulation coxofémoral.
Quel est le diagnostic le plus probable? (2023, 2022, 2021, 2020)
a) Hématome rétropéritonéal ?
b) Goutte
c) Kyste ovarien
d) Tumeur rénale
e) Œuf retenu

A

d) Tumeur rénale

How well did you know this?
1
Not at all
2
3
4
5
Perfectly
8
Q

Cette photo represente des fiantes (selles contenant nourriture non digérée) d’un oiseau quelle pathologies peut etre associe a cette presentation de fiantes?

La fiente normale se compose de 3 portions:
-selle: vert, brun pâle à foncé, légèrement mou à ferme
-urates: blanc
-urine: transparen

A

maldigestion/malabsorption
(proventriculite/ventriculite, pathologie
intestinale, pancréatite, parasite)

How well did you know this?
1
Not at all
2
3
4
5
Perfectly
9
Q

oiseau presentant des Selles vert pâle, molles avec urates jaunes ou biliverdinurie. Quell diagtnostic differentiel?

A

- intoxication aux métaux lourds
- hépatite bactérienne -chlamydiose
- hépatite virale – maladie de Pacheco

How well did you know this?
1
Not at all
2
3
4
5
Perfectly
10
Q

Un cacatoès de 3 ans est présenté pour perte de poids et des plumes de tête souillées. La diète est principalement constituée de graines de tournesol. l’examen des fientes dans le transporteur montre que certaines d’entre elles présentent une polyurie légère et des selles non formées avec des morceaux de graines de tournesol bien visibles à l’intérieur de celles-ci. À l’examen, l’oiseau a un état de chair de 1.5 et du matériel alimentaire est adhéré à ses plumes de tête. Un matériel similaire est présent sur les parois du transporteur.
Quelle est l’explication la plus probable considérant l’anamnèse et les trouvailles de l’examen physique?
a) l’oiseau est déficient en vitamine A et a régurgité sur les murs de son transporteur.
b) l’oiseau souffre de dysphagie et de régurgitations.
c) l’oiseau est dysphagique et se souille les plumes en tentant de consommer la nourriture sur les murs.
d) l’oiseau vomit et souffre de maldigestion
e) l’oiseau vomit et a une maladie rénale.

A

d) l’oiseau vomit et souffre de maldigestion

How well did you know this?
1
Not at all
2
3
4
5
Perfectly
11
Q

Cette photo traduit quoi ? et quelle pourrait etr un element du diagnostic?

A

1- Hématurie
2- intoxication au plomb

How well did you know this?
1
Not at all
2
3
4
5
Perfectly
12
Q

Quelle diagnostic differentiel des Plaques blanches au niveau de la cavité orale d’un oiseau (6elts):

A

=> Hypovitaminose A (impaction glandulaire)
=> Bactérien (abcès, granulome),
=> Fongique (Candida, Aspergillus),
=> Parasite (Trichomonas),
=> traumatique, corps étranger
=> Néoplasie (carcinome spinocellulaire)

Columbiformes !! plus les trcochomomnas

How well did you know this?
1
Not at all
2
3
4
5
Perfectly
13
Q

Comment evalue on l’etat de chair chez les oiseaux?

A

Région du bréchet et des
muscles pectoraux

How well did you know this?
1
Not at all
2
3
4
5
Perfectly
14
Q

Quelles maladies infecteiuse on depiste chez les vollailes (Le test des 4 « P »)

A

3 virales
=> Pacheco - herpesvirus
=> Polyomavirus
=> Psittacine beak and feather
disease (PBFD) (circovirus) (Maladie du bec et des plumes des psittacidés)
1 bactérienne
=> Psittacose (Chlamydia psittaci)

How well did you know this?
1
Not at all
2
3
4
5
Perfectly
15
Q

Une perruche ondulée mâle de 4 ans pesant 40g est présentée pour anorexie et vous vous apprêtez à effectuer un prélèvement sanguin. Combien de mL de sang pouvez-vous prélever de façon sécuritaire?
a. 0.4ml
b. 1.2 ml
c. 0.12ml
d. 0.04ml

A

a. 0.4ml

=> Combien de sang peut être prélevé?
MAXIMUM
** 1% poids corporel en g**
soit
10% du volume sanguin
=> - Temps de récupération respiratoire -Normal : 3-5 minute

How well did you know this?
1
Not at all
2
3
4
5
Perfectly
16
Q

Cas clinique 1- Hématologie
◼ Cacatoès blanc, 1 an
◼ Acheté d’un éleveur
◼ Examen post-achat
◼ Culture choanes/selles
◼ Dépistage des « 4 P »
◼ Sexage
◼ Hématologie-Biochimie
Quelle interpretation?

A

Formule de stress:
=> Hétérophilie (Cellules matures)
=> Lymphopénie

How well did you know this?
1
Not at all
2
3
4
5
Perfectly
17
Q

Amazone, 5 ans
◼ Depuis 24 heures
◼ Abattement
◼ Anorexie
◼ Urates jaunes
◼ Biliverdinurie
◼ 1 vomissement
Urates jaunes, biliverdinurie…
Quelles sont les conditions auxquelles il faut penser?

A

Virage à gauche

=> Comptage hétérophiles normal
=>Hétérophiles immatures et présentant des
changements toxiques

How well did you know this?
1
Not at all
2
3
4
5
Perfectly
18
Q

Amazone à front bleu
◼ Âge inconnu
◼ Depuis 1 semaine
◼ Abattement
◼ Respiration laborieuse
◼ Anorexie partielle
1-Interprétation??
2-Quels sont les top 5 diagnostics différentiels d’une
leucocytose sévère chez l’oiseau?

A

1-Foyer inflammatoire chronique et sévère
=> Anémie non-regénératrice
=> Comptage leucocytaire élevé
-> Hétérophilie
-> Lymphocytose
-> Monocytose

2-Chlamydiose, aspergillose, mycobactériose, coelomite, infection bactérienne sévère

How well did you know this?
1
Not at all
2
3
4
5
Perfectly
19
Q

Un amazone à front bleu de 9 mois est présenté pour un examen post achat. Vous trouvez que l’oiseau est abattu et vous recommander de faire des test. La propriétaite accepte une hématologie. Celle-ci montre une monocytose légère (4,0 X 10 à la 9 sur L ; valeurs normale 0,1 à 0,7). Le comptage des hétérophiles et des lymphocytes sont dans les limites de la normales. Au frottis, vous constatez que les erythrocytes ont une apparence normale et que les polychromatophiles sont absents. Plusieurs hétérophiles ont un cytoplasme plus basophile que les autres, et ceux-ci présentent des vacuoles cytoplasmiques. De plus, les granules en bâtonnets sont difficiles à visualisez. De nombreux lymphocytes démontrent un cytoplasme très basophile. Laquelle des interprétations est la plus appropriée ?
a) La présence d’hétérophiles toxiques avec un comptage d’hétérophiles normal suggèrent une infection sévère
b) La monocytose légère et la présence de lymphocytes réactifs suggèrent une formule de stress chez un jeune oiseau
c) La présence de lymphocytes réactifs et l’absence de polychromatophiles suggèrent une infection virale
d) La présence d’hétérophiles toxiques et l’absence de polychromatophiles suggèrent une toxicité de la moelle osseuse
e) La présence de monocytose légère avec présence de lymphocytes réactifs suggèrent une immunosuppression

A

a) La présence d’hétérophiles toxiques avec un comptage d’hétérophiles normal suggèrent une infection sévère

How well did you know this?
1
Not at all
2
3
4
5
Perfectly
20
Q

Comment interpréter les résulats de l’AST par rapport à CK chez les oiseaux?

A

Aspartate aminotransférase (AST)
-Indicateur le plus sensiblepour la présence d’une pathologie hépatique chez les
oiseaux, mais pas spécifique au foie car aussi retrouvé dans les muscles squelettiques-Toujours évaluer l’AST avec la créatine kinase (CK)

Créatine kinase (CK)-Présente dans le cœur, les muscles squelettiques et les tissus nerveux -Utile pour déterminer si une élévation de l’AST est secondaire à un dommage
hépatique ou musculaire

How well did you know this?
1
Not at all
2
3
4
5
Perfectly
21
Q

A l’examen de cette radio, quelle est votre diagnostic?

A

Aérosacculite:
Épaississement de la paroi des sacs aériens
Hyperinflation

How well did you know this?
1
Not at all
2
3
4
5
Perfectly
22
Q

A l’examen de cette radio, quelle est votre diagnostic?

A

- Air dans le proventricule
- Élargissement
du foie

**-Vue ventrodorsale **
-Taille normale du foie -ne devrait pas dépasser une ligne imaginaire tracée entre le coracoïde et l’acétabulum

How well did you know this?
1
Not at all
2
3
4
5
Perfectly
23
Q

A l’examen de cette radio, quelle est votre diagnostic?

A

Dilatation du proventricule

-Diagnostic différentiel d’une dilatation du proventricule chez un adulte :
1) infection bactérienne, fongique, parasitaire;
2) ganglionévrite aviaire (PDD bornavirus);
3) corps étranger;
4) intoxication aux métaux lourds;
5) néoplasie;
6) 6) coelomite (femelle)

How well did you know this?
1
Not at all
2
3
4
5
Perfectly
24
Q

A l’examen de cette radio, quelle est votre diagnostic?

A

Hyperparathyroïdismesecondaire nutritionnel

=> Déformation des os (surtout chez les jeunes oiseaux en croissance).
=> Fractures spontanées (souvent des os longs comme le fémur ou l’humérus).

How well did you know this?
1
Not at all
2
3
4
5
Perfectly
25
A l'examen de cette radio, quelle est votre diagnostic?
**=> Effet de masse** **=> Bariumdans le proventricule déplacé ventralement**
26
# **Qu est ce qui se passe quand il y a hépatomegalie** Un quaker est présenté pour abattement depuis quelques jours. À l’examen à distance, vous constatez que les urates sont jaunes et que l’oiseau est polyurique. À l’examen, l’oiseau a un état de chair de 5 et vous croyez palper le foie. La radiographie confirme une hépatomégalie. Sur la vue latérale , a) le ventricule est déplacé caudo-dorsalement et le proventricule est déplacé ventralement. b) le ventricule est déplacé caudo-dorsalement et le proventricule est déplacé dorsalement. c) le ventricule est déplacé crânio-dorsalement et le proventricule est déplacé ventralement d) le ventricule est déplacé caudo-ventralement et le proventricule est déplacé dorsalement. e) le ventricule est déplacé caudo-ventralement et le proventricule est déplacé cranio-dorsalement.
**b) le ventricule est déplacé caudo-dorsalement et le proventricule est déplacé dorsalement.**
27
Chez un psittacidé, le volume du foie est considéré augmenté s’il s’étend au-delà d’une ligne tracée entre ___ et ___ sur la vue ventrodorsales a) La clavicule ; le pubis b) La scapula ; l’acétabulum c) Le coracoïde ; l’acétabulum d) Le coracoïde ; le pubis e) L’acétabulum ; le pubis
**c) Le coracoïde ; l’acétabulum**
28
Usage possible de l'écographie
**1- écographie** **2-biopsie hépatique** **3-Evaluation d'une masse** ## Footnote Note: fluoroscopîe = Meilleur outil diagnostique pour évaluer la motilité du proventricule
29
Comment calculer des besoins hydriques de notre patient: 1- Déficit de fluides 2-Besoins hydriques des oiseaux
**1-Déficit (ml) = % de déshydratation X poids corporel (g)** **2- Besoins hydriques des oiseaux <=> 50 ml/kg /jour**
30
Comment evaluer le % de deshydratation chez les oiseau
**1- < 5% => Non perceptible** **2- 6% => Légère perte d’élasticité cutanée, « yeux vitreux »** **3-7 -9 % => Perte d’élasticité cutanée, muqueuses sèches, TRV > 1 sec** **4- 10 -12 % = Pli cutané persistant, choc hypovolémique** **5-12 -15 % = État moribond,choc hypovolémique** ## Footnote TRV= temps de remplissage veineux au niveau de la veine ulnaire.
31
Comment determiner les beoisn nutritionnel chez les oiseaux? 1-Taux métabolique de base (Kcal) 2-Besoins énergétiques de maintien (Kcal) 3-Besoins énergétiques réels (Kcal)
**1) Taux métabolique de base (Kcal) = K (Weight(kg) exp (0.75))** K = 129 pour les passériformes K = 78 pour les non-passériformes **2) Besoins énergétiques de maintien (Kcal)= 1.5 X taux métabolique de base (Kcal)** **3) Besoins énergétiques réels (Kcal) = facteur d’ajustement X besoins énergétiques de maintien (Kcal)**
32
Une amazone à front bleu de 320 g est présentée pour anorexie et doit être hospitalisée. Votre plan thérapeutique indique qu’il doit être gavé 2 fois par jour. Quels sont les besoins énergétiques réels (kcals) de cet oiseau considérant que son taux métabolique de base est de 32 kcal et que vous estimez le facteur d’ajustement à 1,5? a. 48 kcal b. 60 kcal c. 72 kcal d. 84 kcal e. 96 kcal
**c. 72 kcal**
33
Combien de ml on peut gaver un oiseau de 0.9kg ? a. 0.9ml b. 9 ml c. 2.7 ml d. 27 ml
**d. 27 ml** ## Footnote **Un volume de nourriture (ml) équivalent à approximativement 3% du poids (g) idéal de l’oiseau est initialement donné par gavage.** Administration de la fluido si pas deshy severe = s/C ou PO si severe <=> IV ou Intra ossseux
34
Quelles considération préanesthésique importantes à considéré chez les oiseaux?
**1) Vidanger le jabot pour prévenir les régurgitations et les aspirations** **2) Réduire le volume du tractus digestif afin d’améliorer la ventilation** ## Footnote Pré-médication => Opioïdes + Benzodiazépines
35
. Une calopsitte élégante de 2 ans est présentée pour léthargie, écoulements nasaux et oculaires depuis 4 jours. Selon le propriétaire, l’état de l’oiseau se détériore continuellement depuis qu’elle l’a récupéré d’une pension pour oiseau. À l’examen physique, l’oiseau a un état de chair de 4,0 et démontre de la biliverdinurie et des urates jaunes.L’hématologie montre une leucocytose hétérophilique sévère (35 X 109/L; valeurs normales 5-10 X 109/L) et une monocytose. Les résultats de la biochimie montrent une élévation de l’aspartate aminotransferase (947 IU/L; valeurs normales 128-396 IU/L). La créatine kinase est dans les limites normales. Sur les radiographies, il y a une densité de tissu mou compatible avec une splénomégalie très marquée sur la projection latérale et la silhouette cardio-hépatique est élargie sur la projection ventro-dorsale. Quel est le diagnostic le plus probable? (2023, 2021, 2020) a) Mycobactériose b) Pasteurellose c) Coelomite d) Aspergillose e) Chlamydiose
**e) Chlamydiose** ## Footnote => atteintes antemortem: **Hépatomégalie, Aérosacculite Pneumonie, Splénomégalie** => **il n’existe aucun test qui permet de dire hors de tout doute qu’un oiseau n’a pas la chlamydiose – bactérie intra-cellulaire*** => traitement: doxycycline
36
Maladies du syst respi chez oiseau, a quelle niveau se situe le problème: 1- eternuement + ecoulmt nasal et enflure péri-orbitale 2- toux, battements de queue
**1-Voies respi superieures** **2-Voies respiratoires inférieures**
37
# **Volll** Quelle peuvent çetre les causes: 1-dyspnée est suraiguë et sévère 2-la dyspnée est aiguë à chronique
**1-Aspiration d’un corps étranger ou l’exposition à une toxine** **2-Causes infectieuses (bies, vrs, fungi ou parasite)**
38
Quelle pathologie est ce: -Espèces de compagnie prédisposée -Gris d’Afrique, Amazones, pionus -Pneumonie miliaire, Granulomes au niveau des sacs aériens ± syrinx ± trachée -PCR (sang, écouvillon respiratoire) Endoscopie, lavage trachéal(Cytologie, culture)
**Aspergillose (Aspergillus fumigatus)** ## Footnote **Différence avec la chlamydiose :** Lésions limitées au système respiratoire ** TTT: topique et systemique** topique: Amphotéricine B (intratrachéal/nébulisation) Sustemique: triazoles PO
39
Un canaris mâle de 2 ans vous est présenté car il ne chante plus depuis 1 semaine (something like that). Cela coincide avec l’apparition d’une masse dans son dos. À l’examen physique vous notez un kyste follicule entre les deux épaules et des plaies hexagonales sur ses pattes. Que faites vous? a) Ivermectin IM avec exérèse du kyste sous sédation b) Ivermectin topique avec exérèse du kyste sous anesthésie générale c) Ivermectin PO avec exérèse du kyste sous anes locale d) Perméthrine IM avec drainage du kyste e) Perméthrine avec incision du kyste réveillé f) Autre choix faux
**b) Ivermectin topique avec exérèse du kyste sous anesthésie générale** ## Footnote **Mites de sacs aériens** => Espèces typiquement affectées =Canari => Signes cliniques: Changement/perte de voix (anl ne chante plus) =>TTT= ivermectine topique ou PO **Kystes folliculaires** -Masse ferme, jaunâtre résultant de la croissance d’une plume à l’intérieur du follicule lui-même. TTT-=Excision chirurgicale du kyste
40
. Une perruche ondulée femelle de 7 mois est présentée car elle se picore continuellement les pattes. Le compagnon de cage, une perruche mâle de 2 ans, est en pleine forme selon le propriétaire. Les oiseaux mangent un mélange de graines pour perruches avec des fruits et des légumes. À l’examen physique, vous notez des lésions prolifératives au niveau des 2 pattes avec de multiples petits trous de forme hexagonale. Quelle est l’approche thérapeutique la mieux indiquée ? (2023, 2022, 2021, 2020) a) Supplémenter la diète en vitamine A b) Administrer de l’ivermectin topique c) Vacciner le congénère pour poxvirus d) Augmenter l’humidité ambiante e) Appliquer un agent kératolytique topique
**b) Administrer de l’ivermectin topique** ## Footnote **Mites du bec et des pattes** => Espèces typiquement atteintes:**perruches ondulées, canaris** =>**Lésions en forme d’alvéoles de miel (forme losange)**au niveau des **zones aptériques**(le bec, les commissures du bec, les paupières et les pattes)
41
Quelle pathologie: 1-Nodules/plaques blanches (bouches) 2- Effacement des papilles choanales
**Hypovitaminose A**
42
. Le gérant d’une animalerie vous envoie un conure à joues vertes de 5 semaines pour un problème de vidange du jabot qui dure depuis moins de 24 heures. Il y a deux autres oisillons dans la couvée qui vont bien. À l’examen à distance, vous constatez que l’oiseau est abattu. Il quémande faiblement de la nourriture malgré que son jabot soit clairement distendu de nourriture Il n’y a qu’une petite fiente écrasée dans la boîte à transport. L’oiseau est déshydraté et a la peau froide. Vous recommandez l’hospitalisation de l’oiseau pour le stabiliser et procéder à des tests diagnostiques. Le gérant décline tous les tests sauf une coloration de Gram d’un lavage de jabot. Celui-ci révèle des bâtonnets Gram+ à 50 %, des bâtonnets Gram- à 50 %, et des levures bourgeonnantes. Vous obtenez la permission d’hospitaliser l’oisillon et vous commencez les traitements de support, des antibiotiques et des antifongiques appropriés. Le lendemain, vous le trouvez mort. Vous appelez le gérant qui accepte une nécropsie complète, surtout que deux autres oisillons ont commencé à démontrer une stase du jabot. En déplumant le bréchet, vous constatez des hémorragies au niveau des rectrices en croissance. En ouvrant l’oiseau, vous constatez également des pétéchies sous le bréchet et une splénomégalie marquées. Quel est le diagnostic le plus probable (2023, 2020, 2019)? a) Pasteurella multocida b) Chlamydia psittaci c) Circovirus d) Polyomavirus e) Herpèsvirus
**d) Polyomavirus** ## Footnote **Polyomavirus** => Oiseaux de moins de 2 ans, Surtout les nouveau-nés **=> Hémorragies cutanées et à l’intérieur du rachis des plumes** => -Décès après12-48 heures d'abattement, de vidange retardée du jabot, => diagnostic Antemortem: PCR (sang, selles)
43
Quelle pathologie presente ces signes: -> Constriction du rachis -> Hémorragie a/n cavité pulpaire -> Plumes cassées/tordues -> Couleur anormal ->Bec anormal =>diafnostic antemortem: PCR (sang, selles, plume anormale en croissance)
**Maladie du bec et des plumes des psittacidés** ## Footnote etiologie **: Circovirus**
44
Une tourterelle triste de 3 ans est présentée pour secouements répétitifs de la tête et diminution d’appétit. À l’examen physique, l’oiseau a un état de chair de 2 et vous notez des plaques irrégulières jaunâtres de part et d’autre des choanes. Vous notez également un érythème des muqueuses. Vous effectuez un frottis direct de ces lésions et vous observez des structures ovoïdes présentant 4 flagelles. Le diagnostic le plus probable est ? (2023, 2022, 2021) a) Candidose b) Trichomonas c) Giardiose d) Aspergillose e) Spirochétose
**b) Trichomonas** ## Footnote **signe:** => -Stomatite, ingluvite (Inflam du jaobot) : -Lésions blanches peuvent être visible sur la muqueuse orale -orophaynx atteint: Secouements de la tête, éternuement, toux, dyspnée **candose:** pas le lesion blanchatre
45
Une perruche alexandrine de 3 ans est présentée pour éternuements depuis 5 jours. Le propriétaire a noté que la fréquence des éternuements est augmentée depuis la veille. Selon lui, l’oiseau conserve son appétit et son niveau d’activité demeure inchangé. La diète de l’oiseau est constituée de graines avec de la nourriture de table à l’occasion. À l’examen physique, l’oiseau éternue et vous notez un écoulement séreux. Le reste de l’examen physique est dans les limites normales. Vous effectuez une cytologie des choanes qui révèle quelques bâtonnets Gram- et des cellules épithéliales kératinisées en abondance. Laquelle des procédures diagnostiques serait la plus appropriée pour ce patient à ce point ci? (2023, 2021) a) Hématologie b) Radiographie du crâne c) Flush et culture aérobie d) PCR sur sang pour Aspergillus fumigatus e) CT scan des sinus
**c) Flush et culture aérobie**
46
Quelle pathologie est en cause: oiseau presentant => Signes neurologiques (Pb): Parésie, ataxie, convulsions => Signes urinaires: Polyurie, biliverdinurie, HÉMATURIE
**intoxicationb aux metaux lourds comme zinc ou plomb** ## Footnote traitement: **Retirer la source de métal** =>Gravier fin ou grossier, beurre d’arachide, psyllium => Lavage, endoscopie, chirurgie **Enlever le métal des tissus** => CaEDTA IM (**chélateur des métaux lourds**, utilisé principalement pour traiter les intoxications au plomb et parfois au zinc )
47
Quelle pathologie est en cause: oiseau presentant => Mortalité soudaine => Signes suggérant hépatite ( Urates jaunes, Biliverdinurie) =>Papillomes: Cloaque > cavité orale > autres
**Pacheco** (c'est une herpesvirose)
48
Un éclectus mâle de 5 ans est présenté pour anorexie partielle et régurgitation depuis 7 jours. Sa diète comprend des graines, de la moulée et des fruits en abondance. À l’examen à distance, vous notez la présence de graines non-digérées dans les fientes et une polyurie légère. L’oiseau est maigre (état de chair de 1,5), son jabot est dilaté par du liquide et il présente une distension abdominale modérée. Le ventricule apparaît plus caudal qu’il ne le devrait. La cytologie des selles est dans les limites normales. L’hématologie et la biochimie sont dans les limites normales. Les radiographies standard montrent la présence excessive de matériel et de gaz dans tout le tractus digestif. Le transit du baryum est excessivement ralenti. Quel est le diagnostic le plus probable (2023, 2019, 2017, 2016)? a. Intoxication au plomb b. Entérite bactérienne c. Bornavirus aviaire d. Corps étranger e. Mycobactériose
**c. Bornavirus aviaire** ## Footnote **signes;** => Nerveux ( Parésie, cécité ) => Digestifs (PDD): Régurgitation, Graines non digérées dans les selles => on peut avoir soit des signes nerveux soit des signes digestifs
49
Un éclectus mâle de 5 ans est présenté pour anorexie partielle et régurgitation depuis 7 jours. Sa diète comprend des graines, de la moulée et des fruits en abondance. À l’examen à distance, vous notez la présence de graines non digérées dans les fientes et une polyurie légère. L’oiseau est maigre (état de chair de 1,5), son jabot est dilaté par du liquide et il présente une distension abdominale modérée. Le ventricule apparaît plus caudal qu’il ne le devrait. La cytologie des selles est dans les limites normales. L’hématologie et la biochimie sont dans les limites normales. Les radiographies standard montrent la présence excessive de matériel et de gaz dans tout le tractus digestif. Le transit du baryum est excessivement ralenti. Quel est le diagnostic le plus probable a. Intoxication au plomb b. Entérite bactérienne c. Ganglionévrite lymphoplasmocytaire d. Corps étranger e. Mycobactériose
**c.Ganglionévrite lymphoplasmocytaire** **Proventricular Dilatation Disease (PDD) ou Avian Bornavirus Disease** ## Footnote **Ganglionévrite aviaire - Diagnostic** => Définitif antemortem --> Histopathologie – Jabot, PV/V, surrénale --> Inflammation lymphoplasmocytaire au niveau des plexus nerveux
50
Une calopsitte élégante se présente en clinique pour distension coelomique, enflure des tissus peri cloacal. Depuis 3 mois, elle a pondu 23 oeufs, mais son dernier date d’il y a 2 jours. Le propriétaire laisse les oeufs dans la cage. Quel est votre diagnostic différentiel? a) Ponte chronique b) Dystocie c) Oeuf retenu
**a) Ponte chronique** ## Footnote **ponte chronique:** -Oiseau qui pond plus d’œufs que le nombre normal d’une couvée - **En moyenne, 5-6 œufs sont pondus pour les petites espèces** **Les grandes espèces pondent de 1-3 œufs typiquement** -Oiseau qui pond des couvées à répétition peu importe si un partenaire est présent. **Typiquement, les grandes espèces pondent une fois par année et les petites espèces peuvent avoir jusqu’à 2 couvées par an.**
51
Quelle traitement en cas de dystocie ou retention d'oeuf?
**Étape 1 :** Analgésique, fluides **Étape 2 :** **Prostaglandine E2** en application topique au niveau du cloaque si le sphincter utérovaginal n’est pas relâché ou **Oxytocine** si le sphincter utérovaginal est relâché **Étape 3 :** Extériorisation manuelle ouSalpingotomie +/- salpingectomie ## Footnote **Rétention d’œuf** -->Ralentissement du passage de l’œuf dans l’oviducte **Dystocie** -->Obstruction au passage de l’œuf dans l’oviducte (cause genetq et autres) **en temps nornal: 24- 48 h entre deux ponte**
52
Une tourterelle triste de 3 ans est présentée pour secouements répétitifs de la tête et diminution d'appétit. À l'examen physique, l'oiseau a un état de chair de 2 et vous notez des plaques irrégulières jaunâtres de part et d'autre des choanes. Vous notez également un érythème des muqueuses. Vous effectuez un frottis direct de ces lésions et vous observez des structures ovoïdes présentant 4 flagelles. Quel est le traitement: a) Metronidazole b) ivermectin c) Fenbendazole
**a) Metronidazole**
53
3. Un lapin a une alimentation à base de foin de luzerne. À quelle condition cela prédispose? A. Urolithiase B. Diarrhée C. Deux autres choix
**A. Urolithiase** ## Footnote Foin de graminées (fléole des prés, foin de céréales) * 30% de fibre, faible en calcium **Foin de légumineuses (luzerne, trèfle) riche en proteine et calcium et le lap absorbe 100% du calcium de son alimenation**
54
Une lapine stérilisée de 3 ans est présentée pour absence de selles depuis 24h, en hypothermie à 35°C et vous mesurez une hyperglycémie de 21 mmol/L. Quel est votre plan? (2023, 2022, 2021, 2020) a) Congé avec des gavages, des analgésiques par voie orale et de l’exercice b) Hospitalisation avec fluides intraveineux, réchauffements et analgésiques c) Hospitalisation avec fluides sous-cutanés, analgésiques et réchauffement d) Anesthésie d’urgence pour pose de sonde naso-gastrique
**b) Hospitalisation avec fluides intraveineux, réchauffements et analgésiques** ## Footnote **le lapin souffre d une stase avancée** => pour traiter la stage chez le lapins, 4 regels: -> prendre le cas au serieux -> traIter la douleur ->limiter le stress -> traitement agressif
55
Commbien de niveau de d urgence de stage il y a t il ?
**1-debutante= Peut rentrer à la maison avec du gavage** **2-moderée= hospitalisation avec fluides SC ou IV et autres traitements de support** **3-avancée= Doit être pris en charge d'urgence avec fluidothérapie IV**, décompression stomacale au besoin, etc
56
# **Important** Comment traioter la stage chez le lapin (5 elts)?
**1- Analgesie** (buprenorphine, tramadaol, gabapentin) **2- Fluidothérapie IV/SC + PO (via gavages)** (3fois les beoisn des chien et chat) **3- Support nutritionnel** (Critical care) **4- Activité physique (Toilettage au besoin) et reduire le stress** **5-Prokinetique**( lidocaine = stimul le transit digesti)
57
En cas de stase débutante chez un lapin, le traitement devrait systématiquement comporter : des gavages, des analgésiques, et ____ a) Des fluides b) Des antibiotiques c) Un prokinétique d) Du jus d'ananas
**a) Des fluides**
58
Vous avez une lapine en clinique avec des croutes au niveau du visage et de la vulve. Qu’elle est le dx le plus probable a. Treponema paraluiscuniculis b. Pasteurella c. Caparinia tripilis d. psoroptes cuniculi
**a. Treponema paraluiscuniculis** ## Footnote ** Lésions pathognomoniques de la syphilis du lapin**
59
Lapin présenté pour croûtes dans les oreilles * Se gratte les oreilles. Cause?
Mites d’oreille –**Psoroptes cuniculi** ## Footnote Ne pas tenter de nettoyer les oreilles, les croûtes vont tomber toutes seules. **=>squames + alopecie du dos chez lapin <-> Cheyletiella (zonooses)**
60
Syndrome vestibulairechez le lapin se manifeste par:tête penchée et tournis depuis deux jours. Donne deux diagnostic possible?
**1- Périphérique : Otite moyenne : Chez le lapin, Pasteurella (propbablement)** ou **2-Central : Encéphalite : Chez le lapin,** **Encephalitozoon cuniculi** ## Footnote Encephalitozoon cuniculi==>Absorption intestinale et développement des spores dans les reins et le tissu cérébral
61
Traitement d’Encéphalitozoon cuniculi chez un lapin a) TMS b) Enrofloxacin c) Fenbendazole d) autre choix d’atb
**c) Fenbendazole**
62
Lapin avec douleur abdominale crâniale et stage aiguë. Paramètres hépatiques élevés et anémie (hématocrit 20%). Quel est le diagnostic le plus probable? a) Pasteurellose b) Intoxication au plomb c) Torsion hépatique d) Autres
**c) Torsion hépatique**
63
Un lapin de 6 ans est présenté pour une tête penchée à droite associée à une paralysie du nerf facial (joue pendante à droite). Il ne présente pas de déficit de la proprioception consciente. À l’examen otoscopique, la pars tensa des deux tympans est dépolie (transparente) et hypervasculaire. Quelle est votre localisation de la lésion principale? a) lésion centrale à gauche b) otite à gauche c) otite à droite d) lésion centrale à droite
**c) otite à droite**
64
Lapine femelle non stérilisée de 6 ans * Nourrie adéquatement * Sortie régulièrement sous surveillance * Pas d’autres animaux * Présentée pour sang dans les urines * A maigri depuis quelques temps ** Lapine femelle non stérilisée de 6 ans** * Nourrie adéquatement * Sortie régulièrement sous surveillance * Pas d’autres animaux *** Présentée pour sang dans les urines** * A maigri depuis quelques temps ** Examen physique **:– Tachycardie– Respiration ample et FR diminuée => douleur– Douleur à la palpation abdominale– Masse en partie caudale de l’abdomen– Présence de matériel rouge dans les urines– Le reste de l’examen est normal quel test diagnostic et que peut etre la cause de ces probleme
**Hematuries ==>Echo abdominale** **===>tumeur de l'uterus ( femme pas sterilisée)** ## Footnote LES LAPINES DOIVENT ÊTRE STÉRILISÉES ! 50-80% des femelles non stérilisées développeront une tumeur maligne de l’utérus !!!
65
Parmi les antibiotiques suivants, lesquels pouvez-vous prescrire par voie orale sans risques de dysbiose chez un lapin et un chinchilla en vous basant sur des résultats de culture? (question à correction négative, -1 par mauvaise réponse) a) clindamycine b) amoxicilline-acide clavulanique c) triméthoprim-sulfaméthoxazole d) métronidazole e) azithromycine f) enrofloxacin g) pénicilline G
c) triméthoprim-sulfaméthoxazole e) azithromycine f) enrofloxacin
66
Lapin avec rhinite et otite purulente depuis 2 semaines. hyperthermie 39C. Que faire? a. laver oreilles 2 fois par jour à la maison b. IRM + refroidir c. culture nasale profonde + ATB d. autre e. autre
**c. culture nasale profonde + ATB** ## Footnote **Pasteurella chez le lapin de compagnie** => Portage sain et infection très fréquents. => Peut causer : abcès SC, rhinite/sinusite, , otite moyenne/interne, ostéomyélite… => Diagnostic : culture de la bactérie (difficile), imagerie. => Traitement : antibiotique 4-6 semaine
67
Une lapine stérilisée de 1 an est présentée pour dyspnée sévère. Elle est nourrie aux graines depuis 3 mois. Elle a été en contact avec un lapin qui présentait du jetage nasal blanchâtre. C quoi le diagnostic. a) Pasteurellose b) Encephalitozoon cuniculi oublié le reste des choix
**a) Pasteurellose**
68
Dans la composition de la mooulée des furets. quelle qu est ce qui est vrai ? a- 30% à 40% de protéines animales b- 15 à 20% de matières grasses c- Moins possible de glucides complexes d- < 2 % de fibres (<5%) e- toutes sont vraies
**e- toutes sont vraies** ALT DU FURET= proteines plus graisse mais tres peu de fibres et de glucides
69
Quelle affirmation est vraie à propos de la médecine préventive et de la régie des furets? a) Ils ont besoin d’une diète riche en protéines et pauvre en fibre b) Ils cohabitent bien avec les lapins et les rongeurs c) Ils peuvent être laissés dans la maison, sans adaptation de l’environnement nécessaire d) La vaccination contre le rouget et le distemper e) Les furets sont peu sensibles à la dirofilariose
**a) Ils ont besoin d’une diète riche en protéines et pauvre en fibre**
70
Quelle affirmation est VRAIE concernant le système digestif des furets a) Les corps étranger rend les furets amorphes b) La gastrite à Helicobacter est plus souvent chez les jeunes furets c) Le …. est utilisé pour traiter la gastrite éosinophilique d) 4 autres choix
**a) Les corps étranger rend les furets amorphes**
71
Quel est le site de prélèvement chez un furet sans anesthésie? a) veine jugulaire b) veine céphalique c) veine saphène d) veine cave cranial
**a) veine jugulaire** ## Footnote * Veine cave crâniale prise de sang sous anesthésie/ forte sédation
72
. Vous vous préparez pour votre journée au CHUV et vous voyez que vous avec 3 rdv avec des furets. Parmi les énoncés suivants, lequel est FAUX concernant l’examen du furet ? a. On ausculte les furet juste en dessous du membre thoracique b. ils ont un os pénien et testicules scrotales c. jeune max 3-4h d. une palpation d’une grosse rate aux rebords lisses est fréquente e. Les noeuds lymphatiques sont souvent entourés de gras
**a. On ausculte les furet juste en dessous du membre thoracique**
73
Pourquoi une femelle de furet peut peut elle faire des aplasie medullaire?
**oestrus prolongé ==> hyperoestrogénisme ==> aplasie medullaire ==> mort**
74
Une furette de 6 ans vous est présentée à la clinique pour un abattement soudain et diarrhée. Elle allait bien la vieille. Elle est nourrie avec de la moulée pour chaton et a accès libre à l’appartement. Le propriétaire possède une autre furette de 3 ans, un furet de 4 mois qu’il a adopté il y a 1 semaine et un chien Labrador de 2 ans. Les 3 autres animaux ne présentent aucun signe clinique. À l’examen clinique, la furette est très abattue avec un temps de recoloration de 2 secondes, et une déshydratation de 8%. Sa palpation abdominale révèle une grosse rate, 2-3 petits effets de masse ovoïdes dans l’abdomen ventral moyen de 1 cm x 0.5 cm de diamètre et des intestins semblant plus épaissis que la normale. Aucune douleur n’est déclenchée à la palpation abdominale. Sa température rectale est de 38.8C, et elle émet une diarrhée verdâtre profuse après la prise de température. Dans cette situation, quel serait le traitement à prioriser ? a) enrofloxacin, sucralfate b) diète adaptée et probiotique c) enterotomie d) prednisone a plus petite dose efficace e) hospitalisation avec fluides IV agressif
**e) hospitalisation avec fluides IV agressif** ## Footnote **Diarrhée nauséabonde verte liquide == ÞÉtat de choc => Réagir rapidement !!** <==> **enterite infectieuse à Coronavirus **
75
Quelle peuvent etre les causes les plus probable selon les situation suivante chez le furet: 1-Vomissements aigus 2-Vomissements chroniques 3-Diarrhée aigue 4-Diarrhée chronique
1-Vomissements aigus = **Penser CORPS ETRANGER** 2-Vomissements chroniques =**gastrite éosinophilique ou Helicobacter** 3-Diarrhée aigue = **coronavirus** 4-Diarrhée chronique = **Maladie inflammatoire de l’intestin (IBD)**
76
Laquelle de ces espèces est susceptible de développer des signes cliniques liés au SARS cov-2? a. gerbille b. furet c. hérisson africain à ventre blanc d. chinchilla e. cochon vietnamien
**b. furet** ## Footnote il est sensible aussia à l'influenza
77
Quel est le signe clinique observé en infection expérimentale en plus des signes respiratoires chez cette espèce susceptible au SARs-Cov-2? a) Des signes neurologiques b) une lymphadénomégalie c) Des pétéchies d) Une diarrhée verte profuse e) De l’hyperthermie
**e) De l’hyperthermie**
78
associe les signes a la maladie probable ches les furet: 1-Toux avec conjonctivite, écoulements nasaux, dyspnée modérée 2-Toux intense avec bon état général 3- Signes respiratoires et atteinte d’autres systèmes 4 Furet de tout âge avec des signes d’insuffisance cardiaque droite 5- Jeune furet avec dyspnée et une masse médiastinale
1-Toux avec conjonctivite, écoulements nasaux, dyspnée modérée:** virus de la grippe ** 2-Toux intense avec bon état général: **Exposition à un allergène / Penser trachéite allergique** 3- Signes respiratoires et atteinte d’autres systèmes:**distemper** 4-Furet de tout âge avec des signes d’insuffisance cardiaque droite: **dirofilariose** 5- Jeune furet avec dyspnée et une masse médiastinale: **lymphome**
79
Une femelle furette stérilisée de 6 mois est présentée pour de la toux et des efforts de vomissements. Les crises ont lieu au moins une à deux fois par jour et ont commencé environ deux semaines après l'adoption du furet il y a deux mois. La furette est très active et en excellente condition. Elle est nourrie avec de la moulée pour furet à volonté. Les propriétaires ont aussi un chat et un chien. Il n'y a eu aucun changement récent dans l'environnement. La furette est sortie en liberté dans la maison, sous surveillance. Les deux propriétaires fument. L'examen physique ne révèle aucune anomalie, à l'exception d'une toux sévère qui est déclenchée par la palpation de la trachée. La température rectale est dans les références. Le bilan hématobiochimique est normal, ainsi que les radiographies thoraciques. Quel est le diagnostic le plus probable ? a) Trachéite allergique b) Trichobézoars c) Pneumonie d) Bronchite virale e) Corps étranger
**a) Trachéite allergique**
80
Une furette stérilisée de 4 ans vous est présenté pour vulve gonflée depuis 2 semaines. Elle est déjà suivie pour insulinome, géré avec prednisolone depuis quelques mois. Nourrie avec croquettes pour furets et pas d’autres animaux à la maison. À l’examen : active, bon EC, queue alopécique, vulve largement tuméfiée, aucun écoulement. La queue est comme cela depuis 1 an, mais c’est plus marqué depuis quelques mois. Dx le plus probable ? a. vous doutez qu’elle soit stérilisée, car elle est en chaleur b. maladie des glandes surrénales c. vaginite secondaire à l'immunosuppression des corticostéroïdes d. infection urinaire e. rémanence ovarienne
**b. maladie des glandes surrénales** ## Footnote signes: aug HO sexuyelle dans sang
81
Un furet mâle castré de 5 ans est présenté car il urine hors de sa litière depuis environ 3 semaines et semble forcer en urinant. Les propriétaires rapportent aussi du prurit mais aucun autre changement de comportement. Le furet est nourri avec de la moulée pour chat à volonté. Les propriétaires ont aussi trois autres furets en apparente santé, un chat et un chien. Le furet est sorti en liberté dans la maison, sous surveillance, pendant 2 heures par jour. Le furet a été vacciné avant d’être acheté à l’animalerie. L’examen physique ne révèle aucune anomalie, à l’exception d’une perte de poids modérée (5% depuis le dernier examen un an auparavant). Son pelage semble plus clairsemé que la normale, surtout sur la ligne du dos et la queue. Aucune douleur n’est déclenchée par la palpation abdominale. Quel traitement recommanderiez-vous en premier car il serait le plus à même de conduire au diagnostic? (attention avant c’était quel test dx la question) a) Antibiotique PO pendant 7 jours b) Agoniste de la GnRh c) Stimulant d’appétit d) Ivermectin topique
**b) Agoniste de la GnRh** ## Footnote => Un agoniste de la GnRH ==> **une administration prolongée, il désensibilise les récepteurs de la GnRH au niveau de l’hypophyse, ce qui diminue fortement la sécrétion de LH et FSH, et donc réduit la production d’hormones sexuelles.** => En temps normal esll est libere de manier discontinu par l organisme pour stimuler la production LH et FSH
82
Une femelle furette stérilisée de 2 ans est présentée pour une petite masse cutanée rouge. Les propriétaires ont remarqué la masse il y a environ 1 mois et elle a légèrement grossi depuis. Ils ont aussi remarqué que la furette se grattait beaucoup dans cette région. La furette est très active et en excellente condition. Elle est nourrie avec de la moulée pour furet à volonté. Elle mange bien et ses selles sont normales. Les propriétaires ont aussi deux autres furets, un chat et un chien. Il n’y a eu aucun changement récent dans l’environnement. La furette est sortie en liberté dans la maison, sous surveillance. L’examen physique révèle une petite masse cutanée rouge de 3 mm de diamètre sur le flanc gauche. L’examen de cette masse déclenche un prurit intense chez la furette. Aucune autre anomalie n’est notée. Vous réalisez une aspiration à l’aiguille fine de la masse pour cytologie et obtenez les cellules suivantes: Les granules dans les cellules sont bleu foncé à violet (2023, 2022, 2020). a) Le pronostic est bon avec une chirurgie car les métastases sont rares chez le furet. b) Le pronostic est bon avec une chirurgie si on réussit à retirer la masse avec des marges de 3 cm. c) Le pronostic est réservé, même avec une chirurgie, car les chances de récidives sont élevées. d) Le pronostic est bon avec un traitement antibiotique car il s’agit d’un abcès. e) Le pronostic est sombre car il s’agit d’une tumeur agressive, et l’euthanasie devrait être envisagée.
**a) Le pronostic est bon avec une chirurgie car les métastases sont rares chez le furet.** ## Footnote Diagnostic : **mastocytome** -Pronostic ? -Bon -Rare envahissement viscéral ou métastase-problème bénin qui ne récidive pas après excision.
83
Un furet mâle castré de 2 ans est présenté pour léthargie, anorexie et des croûtes autour des lèvres et des yeux étant apparues il y a 3 jours. Le furet est nourri avec de la moulée pour chat à volonté. Les propriétaires ont aussi deux autres furets, un chat et un chien. Le furet est sorti en liberté dans la maison, sous surveillance, et à l’extérieur, en laisse, avec le chien. Le furet a été supposément vacciné avant d’être acheté à l’animalerie. L’examen physique révèle un écoulement oculaire, une dermatite périlabiale et périoculaire, ainsi que de l’hyperkératose des coussinets. Il est tranquille, mais conscient. L’auscultation thoracique et la palpation abdominale sont normales. Le furet est en bon état de chair. Quel est le diagnostic le plus probable? a) Dermatophytose b) Infection par Demodex c) Mastocytome d) Influenza (grippe) e) Distemper f) Pseudomonas g) CÉ h) Hyperoestrogénisme i) Maladie surrénalienne
**e) Distemper** ## Footnote **L’hyperkératose des coussinets et de la truffe sont presque toujours PATHOGNOMONIQUES** du distemper chez les furets
84
Le propriétaire d’un furet mâle castré âgé de 5 ans vous appelle en panique, car son furet n’est plus capable de marcher et est subitement très abattu. Il ne rapporte aucune anomalie dans l’appétit ou le comportement du furet dans les derniers temps; Le propriétaire habite à 45 minutes de route de la clinique. Parmi les propositions suivantes, quelle serait la meilleure suggestion à faire au téléphone à ce propriétaire? a) Attendre demain et réévaluer l’état de l’animal, cela peut être une faiblesse passagère b) L’amener à la clinique au plus vite, car il peut s’agir d’un problème cardiaque c) Appliquer du sirop d’érable sur les gencives du furet et venir à la clinique avec lui au plus vite d) Appliquer du sirop de maïs sur les gencives du furet et attendre quelques heures pour voir son évolution e)Donner un élément sucré au furet et le refaire régulièrement tous les jours, car il s’agit sans doute d’un problème de pancréas
**c) Appliquer du sirop d’érable sur les gencives du furet et venir à la clinique avec lui au plus vite** ## Footnote Insulinôme ==> Tumeurs des cellules des îlots de Langerhans==>Présentation en urgences pour crise d’hypoglycémie (faiblesse, ATAXIES, CONVULSIONS
85
Quel est le risque principal si un élément chauffant est ajouté dans le terrarium d’un reptile ? (2023, 2022, 2021, 2020) a) Un manque d’activité diurne b) Des brûlures c) Une augmentation de l’appétit menant à de l’obésité d) De la fière
**b) Des brûlures**
86
Un serpent est présenté pour une accumulation de peau au niveau des yeux, une peau terne et un comportement agressif. Quel changement pourrait être apporté dans sa régie Quelle est votre approche? a) Augmenter la chaleur b) Ajouter une source d’humidité
**b) Ajouter une source d’humidité**
87
Quel élément parmi les suivants est-il indispensable de prévoir dans l’exhibit d’une femelle caméléon ? (2023, 2022, 2021, 2020) a) Un bol d’eau suspendu près de la lampe UVb b) Un grand bassin d’eau fraîche avec un système de filtration c) Des fleurs de type broméiiacées permettant la ponte d) Un système de vaporisation d’eau ou de goutte-à-goutte
**d) Un système de vaporisation d’eau ou de goutte-à-goutte** ## Footnote - Plusieurs espèces (anoles, boas et pythons arboricoles) vont boire les gouttes d'eau accumulées sur le feuillage. Le vivarium de ces espèces doit donc être fréquemment arrosé avec un atomiseur. - Les caméléons boivent habituellement l'eau de pluie. Pour ces espèces, on devra donc utiliser un système de goutte à goutte (sac et tubulure de fluidothérapie par exemple).
88
Une femelle dragon barbu est présentée avec une stase pré-ovulatoire chronique non résolue par un ajustement de l’environnement (ajout de substrat de ponte, vérification de la température…) Quelle procédure conseillez-vous au propriétaire ? (2023, 2022, 2021, 2020) a) Une cystotomie b) Une implantation avec un implant de desloréine c) Une ovariectomie d) Une salpingectomie
**c) Une ovariectomie** ## Footnote Dystocies obstructives - Chirurgie (ovidectomie) Stase pré-ovulatoire - Améliorer les conditions de captivité et fournir le substrat approprié - Approche chirurgicale : - Ovariectomie
89
Un serpent des blés est présenté pour anorexie. Le propriétaire vous indique qu’il est gardé dans un aquarium en verre avec une hygrométrie de 50% et une température de 30C le jour et 28C la nuit. Il est nourri avec des souris brunes décongelées 2 fois par semaine. Il y a un grand bac d’eau et une cachette dans l’habitat. Sa coprologie annuelle était négative. La photopériode est de 12 heures de jour et 12h de nuit. Le propriétaire remarque qu’il est plus agressif et que ses yeux sont bleutés. Quel est votre différentiel? a) Un type de proie inadéquat b) Un parasitisme digestif c) Un manque de ventilation d) Une hygrométrie trop élevée e) Une température trop basse f) Une mue éminente
**f) Une mue éminente** ## Footnote Chez le serpent, la mue normale se fait en un morceau (exuvie) et survient généralement à tous les 1 à 3 mois. - Suite à la kératinisation, le serpent devient "opaque" quelques jours avant de muer. Les serpents "**opaques**" sont habituellement** anorexiques et peuvent être agressifs. ** => Pour la mue imminente : augmenter l'hygrometrie ou faire des bain
90
# a mue imminente on peu aussi Un lézard insectivore est nourri exclusivement avec des grillons. Que faut-il conseiller au propriétaire pour améliorer la qualité de la diète ? (2023, 2022) a) Offrir des grillons le soir pour favoriser leur chant et l’appétence. b) Nourrir uniquement avec des vers de farine plutôt que des grillons. c) Nourrir les grillons avec une nourriture riche en calcium. d) Enlever les pattes de grillons avant distribution pour limiter les blessures.
**c) Nourrir les grillons avec une nourriture riche en calcium.** ## Footnote Comme la grande majorité des invertébrés ont un rapport **Ca:P inversé (trop de phosphore pour le calcium), les problèmes de maladie métabolique des os sont fréquents chez les lézards insectivores et l’ajout de suppléments de calcium** est donc essentiel
91
La goutte articulaire peut provenir : (2023, 2021, 2020) a) D'un excès d'UVb dans l'exhibit b) D'un excès d'humidité dans l'environnement c) D'un excès de protéines dans la diète d) D'un excès de vitamine A dans la diète
**c) D'un excès de protéines dans la diète** ## Footnote **=>Goutte** : Accumulation d'acide urique dans les articulations, dans les espaces péritendineux et sur les séreuses des viscères. **=> SPS**: boiterie **=> Degradation des proteines** ==> prod d'acide urique acid urique elimie par rein => insuff renale par calcification rein
92
Le manque d’apport en vitamine A chez les tortues carnivores peut causer: a. un blépharoedème b. un hyperparathyroïdisme secondaire d’origine environnementale c. une impaction de la glande uropygienne d. une dermatite
**a. un blépharoedème** ## Footnote Œdème + inflammatoire palpébrale secondaire à la métaplasie squameuse des glandes de Harder <=> **un blépharoedème**
93
- Un serpent est présenté pour des yeux de couleur bleutée, une peau terne, de l'anorexie et un comportement agressif apparus depuis 2 jours. Quelle est votre approche? a) Effectuer un examen du fond d'œil après dilatation pupillaire b) Effectuer un examen à distance et le faire revenir dans une semaine au besoin c) Effectuer un examen physique complet avec auscultation cardiaque d) Effectuer un lavage cloacal pour détecter d'éventuels parasites
**b) Effectuer un examen à distance et le faire revenir dans une semaine au besoin** ## Footnote Mu imminente donc attendre que ca passe
94
Caméléon casqué du Yémen de 3 mois, présenté pour des plaques blanches a/n des articulations interphalangiennes. Quelle est la cause probable ? a. insuffisance rénale b. trop humidité c. trop UVB d. trop vitamine A
**a. insuffisance rénale** ## Footnote urate dans rein ==> calcificarion
95
Un serpent des blés est présenté pour anorexie. Le propriétaire vous indique qu’il est gardé dans un aquarium en verre avec une hygrométrie de 50% et une température de 20C le jour et 18C la nuit. il est nourri avec des souris brunes décongelées 2 fois par semaine. Il y a un grand bac d’eau et une cachette dans l’habitat. Sa coprologie annuelle était négative. La photopériode est de 12 heures de jour et 12h de nuit. Le propriétaire remarque qu’il est plus léthargique. Quel est votre différentiel principal pour expliquer l’anorexie ? a) Un type de proie inadéquat b) Un parasitisme digestif c) Un manque de ventilation d) Une hygrométrie trop élevée e) Une température trop basse f) Une durée du jour trop longue
**e) Une température trop basse**
96
Quel paramètre est le plus utile pour savoir qu’un SERPENT sous anesthésie générale sous isoflurane est encore vivant COURAMMENT UTILISÉ EN CLINIQUE? a. battement du coeur visible b. respiration c. EEG d. T corporelle
**a. battement du coeur visible**
97
Pour la regie des chinchilla et des hamsters, quelles sont les temperatures importante a connaitre et pourquoi?
**Hamster: Température < 5°C hibernation** **Chinchilla: Température >26°C risque de coup de chaleur**
98
Une rate intacte de 2,5 ans est présentée pour une masse sous-cutanée inguinale ulcérée (Avec photo). Quel est votre ddx #1. a) Fibrosarcome b) Fibroadénome mammaire c) Noeud lymphatique ulcéré
**b) Fibroadénome mammaire** ## Footnote Autres localisation possible des tumeurs mamaire: cervical, latérolatéral, axillaire
99
Exérèse tumeur ratte glande mammaire, quelles sont les propositions vrai? a) Retour dans 4-5 mois b) Pas de chance de revenir parce que bénin c) 55% développent un autre fibroadénome
**a) Retour dans 4-5 mois** **c) 55% développent un autre fibroadénome**
100
Que faire pour éviter ou réduire considérabement les tumeurs des glandes mamaires chez les rats
baisse de la Prévalence chez rates stérilisées: **=> À 90 j, de 24/49 à 2/47** **=> À 5-7 mois, de 73.8% à 5.3%**
101
Un chinchilla mâle non castré de 3 ans est présenté en urgence pour abattement marqué et d'apparition aiguë. Il est nourri avec du foin de fléole des pré (timothé) et de la moulée pour chinchillas tous les jours. Il reçoit des raisins secs comme gâteries une fois par semaine. Il a un bain de sable dans sa cage. Les propriétaires ont aussi un hérisson et un chien. Il n’y a eu aucun changement dans son environnement. Le chinchilla est gardé dans le sous-sol. D'après les propriétaires, la température actuelle est d'environ 29oC et l'humidité de 80%. Aucun toxique n'a pu être identifié à la suite de nombreuses questions aux propriétaires. Le chinchilla est sorti de sa cage une heure par jour sous stricte surveillance. À l'examen physique, le chinchilla est en état de choc, inconscient et dyspnéique. Ses muqueuses sont pâles. L'auscultation thoracique révèle des craquements pulmonaires, mais pas de souffle cardiaque. Les radiographies abdominales ne montrent aucune anomalie. Quelle est la cause la plus probable des signes observés ? (2021) a) Crise cardiaque b) Coup de chaleur c) Impaction au sable d) Salmonellose aiguë e) Obstruction intestinale par un corps étranger
**b) Coup de chaleur**
102
Rat mâle non castré d’un an et demi présenté pour éternuements chroniques depuis 2 mois. Il est actif et alerte. Pas d’augmentation de bruits respiratoires à l’auscultation. Reste de l’examen normal. Cause la plus probable ? (2023, 2022, 2021) a. Bordetella bronchiseptica b. Asthme c. Mycoplasme d. Chlamydiose e. Néoplasme à cellules rondes
**c. Mycoplasme** | Mycoplasma pulmonis ## Footnote autres cause: Streptococcus pneumoniae Corynebacterium kutscheri
103
Parmis ces maladies, lesquelles retriouve t on ches le Hamsters? a- Impaction des abajoues b- Tumeurs des abajoue c- Wet-tail– Iléite proliférative (Lawsonia intracellularis) d-Oxyuroses
**a- Impaction des abajoues** **b- Tumeurs des abajoue** **c- Wet-tail– Iléite proliférative (Lawsonia intracellularis)**
104
Quelle bacterie est communément associée à la conjonctivite chez les chinchilla?
**Pseudomonas aeruginosa ( gram -)**
105
Chinchilla de 3 ans présenté pour taches noires multifocales sur les dents et dysorexie. Il est nourri avec des friandises chaque jour. Différentiel principal ? a. couleur normale de l’émail b. caries c. maladie parodontale d. abcès dentaires
**b. caries** ## Footnote Maladies dentaires §Fréquent chez Chinchilla
106
Un chinchilla de 7 ans est présenté pour de l’anorexie, une perte de poids et de l’hypersalivation. Quel élément de l’examen physique devez-vous regarder avec beaucoup d’attention en lien avec ces signes cliniques? a) la zone périnéale b) l’épiglotte c) les dents d) les noeuds lymphatiques axillaires e) la palpation trachéale
**c) les dents**
107
Un chinchilla mâle castré de 7 ans est présenté pour des «tâches blanches dans les yeux». Les tâches ont été observées il y a 3 mois et ont progressivement augmenté de taille avec le temps. Il est nourri avec de la moulée pour rongeurs et des fruits chaque jour, et reçoit des raisins secs comme gâteries plusieurs fois par jour. Il a un bain de sable disponible une heure par jour. Il est gardé avec 2 autres chinchillas mâles castrés qui ne démontrent aucun signe clinique. En dehors des signes oculaires, les propriétaires n’ont noté aucun changement de comportement ou d’appétit. À l’examen physique, le chinchilla est obèse et vous observez des opacités bilatérales sur ses cristallins. Vous ne notez aucune autre anomalie. Quelle serait la meilleure recommandation au propriétaire ? a. L’euthanasier car il est presque aveugle et sa qualité de vie est compromise. b. Traiter avec du fenbendazole pour une possible infection par Encephalitozoon cuniculi. c. Le séparer des autres chinchillas car il peut s’agir d’un problème d’agression. d. Évaluer sa glycémie et retirer le sucre de sa diète e. Traiter avec de ciprofloxacin en topique pour conjonctivite à Pseudomonas aeruginosa.
**d. Évaluer sa glycémie et retirer le sucre de sa diète**
108
Chinchilla se mord la queue pourquoi ? a) femelle gestante b) regarder facteurs de stress c) parasite
**b) regarder facteurs de stres**s
109
. Un cobaye mâle non castré de 2 ans présenté pour boiterie depuis plusieurs mois. Il est nourri avec du foin et de la luzerne et des granules pour lapin à volonté. Il est gardé avec une femelle lapin de 3 ans. Le lapin ne montre aucun signe de maladie. À l’examen physique, vous notez un poil rugueux et des selles liquides collées autour de l’anus. Le cobaye boite des deux membres postérieurs. Les coussinets plantaires sont enflés et rouges. Des radiographies montrent une hypertrophie des épiphyses des os longs et des jonctions costochondrales. Quelle serait la meilleure recommandation au propriétaire? (2023, 2022, 2021, 2020) a) Réaliser un CT pour avoir un diagnostic plus précis b) Administrer des soins de support incluant de la vitamine C et changer de diète c) Réaliser un bilan sanguin complet pour affiner le diagnostic d) Administrer des antibiotiques large spectre avec des analgésiques e) Euthanasier le cobaye, car il s’agit sans doute d’un processus tumoral malin.
**b) Administrer des soins de support incluant de la vitamine C et changer de diète** ## Footnote **Le cobaye n'est pas capable de trasnformer le glucose en vitamine C** Kranc vit C => scorbut <=> defaut synthes collagen => fragilisation des os et cartilages dou boiterie et gonflement des articulations
110
Un cochon d’inde est présenté pour malocclusion dentaire, anorexie et pododermatite. Il est nourri avec de la nourriture pour lapins. Quelle carence suspectez vous ? a. vitamine E b. vitamine B12 c. vitamine C d. vitamine D e. Calcium
**c. vitamine C** ## Footnote cochon d"inde = cobaye
111
Une femelle cobaye non stérilisée âgée de 4 ans est présentée pour alopécie bilatérale symétrique des flancs. Les premiers signes de chute de poils sont apparus il y a 2 mois. Elle est nourrie avec de la moulée pour cobaye et une tasse de légumes frais tous les jours. Elle est gardée avec une autre femelle du même âge depuis 4 ans. Les propriétaires ont aussi un chat et un chien. La femelle cobaye est en bon état de chair et mange très bien selon les propriétaires. Son niveau d’activité est normal. À l’examen clinique, vous notez une distension abdominale marquée ainsi qu’une alopécie bilatérale symétrique des flancs. La peau semble normale; aucune croûte ou zone érythémateuse ne sont notées. Elle ne montre pas de prurit. Lequel des tests diagnostiques suivants est le plus indiqué dans le cas suivant ? (2023, 2020) a) Échographie abdominale b) Bilan hémato-biochimique c) IRM du cerveau d) Grattage cutané e) Aucun, elle est sans doute obèse
**a) Échographie abdominale** ## Footnote ce sont des Kystes ovariens => un productiion importante de oestrogne qui bloque le cycle du poils ==> peau fine et perte de poils
112
Cobaye mâle non castré de 4 ans présenté pour convulsion depuis 3 semaines. Au début, c’était une crise convulsive par jour et maintenant, c’est entre 3 et 5 fois par jour. Aucun autre animal à la maison. Nourri avec du foin de timothée et de la moulée pour cochon d’Inde avec carottes comme gâteries. À l’examen, il est maigre, de l’alopécie et des croutes sont visibles sur son dos et ses flancs. Au moment où on touche ses croûtes à l'examen, il se gratte frénétiquement et tombe sur le côté (convulsion pour le propriétaire). I- Quel test faire ? a. IRM du cerveau b. radiographies c. grattage cutané d. hématologie-biochimie e. échographie abdominale II- Les propriétaires ne veulent pas faire de test, mais veulent essayer un traitement. Lequel pourrait régler le problème ? a. selamectin b. pentobarbital c. enrofloxacine d. diazépam e. phénobarbital
**I-c grattage cutané** **II-a. selamectin**
113
Un cochon d’inde de 8 ans est présenté pour une première gestation. Quelles recommandations devriez-vous donner à la propriétaire? (correction nég, 2 points) a) donner moins de calcium dans l’alimentation b) donner de l’ocytocine en hospitalisation au moment de la mise bas c) amener la femelle au moment de la mise-bas pour une césarienne d) préparer du lait de remplacement car les femelles cobayes n’ont généralement pas assez de lait pour leurs petits e) augmenter la supplémentation en vitamine C de la patiente
**c) amener la femelle au moment de la mise-bas pour une césarienne** **e) augmenter la supplémentation en vitamine C de la patiente** ## Footnote => Reproduction avant 8 mois sinon symphyse pubienne fusionnée et hypovitaminose C,
114
Rate 2.5 ans non-stérilisée présentée pour paralysie des membres postérieurs et confusion a) Encephalitozoon (pas sûre though) b) Hernie discale c) Tumeur pituitaire d) Méningiome e) Dégénérescence de la substance blanche
**c) Tumeur pituitaire** ## Footnote Chez les rattes non stérilisées, âgées d’environ 2 ans, les tumeurs hypophysaires (tumeur pituitaire) **sont très fréquentes.** Une tumeur de l’hypophyse (adénome hypophysaire) ==> Paralysie progressive des postérieurs
115
Cochon vietnamien mâle castré de 14 mois présenté pour difficulté à uriner depuis 1 semaine. Il vit dans un box à l’écurie avec une autre femelle en bonne santé. Il est nourri avec de la moulée pour cochons de marque inconnue et a accès à la moulée pour chevaux. Il est gros. Dx le plus probable. a. polype urétral b. difficultés à uriner secondaire à l’obésité c. maladie des glandes surrénales d. calcul urinaire e. prostatite bactérienne
**d. calcul urinaire** ## Footnote Calcul urinaire très frequent chez cochon viet
116
Laquelle des espèces suivantes est la plus susceptible de développer une hyperthermie maligne pendant une anesthésie générale? a) Les cochons d'Inde b) Des rats c) Les cochons miniatures d) Les hérissons
**c) Les cochons miniatures** ## Footnote Les cochons miniatures =cochon viet
117
Voici une photographie de la tête du cochon lors de votre examen rapproché. Quel test recommanderiez-vous au propriétaire ? a) Une biochimie b) Une hématologie c) Un test à l’ACTH d) Une radiographie de la tête e) Grattage cutané
**e) Grattage cutané** ## Footnote c est la Gale sarcoptique ttt: ivermectine
118
Site deux maladies couramment chez les cochons vietnamiens en rapport avec leur comportement?
**1-Obésité car anl tres gourmands** **2-Ostéoarthrose** une conséquence entre autre de l'obésité
119
Cocher l’énoncé vrai concernant les cochons vietnamiens a) Ils sont picky sur tout ce qui est litière comme les chats b) Ne font jamais d'hyperthermie c) Sue beaucoup car beaucoup de glandes sudoripares
**a) Ils sont picky sur tout ce qui est litière comme les chats** ## Footnote **Ils sont très exigeants, pointilleux et difficiles quant au choix de la litière. Un cochon se retiendra d’uriner si sa zone litière est inadaptée contribuant au pb urinaire**
120
Un hérisson est présenté pour exophtalmie soudaine unilatérale. Il pèse 800 grammes et ne parvient pas à se rouler en boule. Quel différentiel principal privilégiez-vous pour expliquer cette exophtalmie? a) Le syndrome du wobbly hedgehog b) Un abcès dentaire c) De l’obésité d) Un mélanome rétro-orbitaire e) Une hernie discale
**c) De l’obésité** ## Footnote tres frequente
121
Quelle est la température ambiante idéale pour un hérisson femelle à ventre blanc d’afrique? a) 10 °C b) 16 °C c) 28 °C d) 34 °C
**c) 28 °C** ## Footnote °C-> Température : 24 – 29 C -> Humidité < 40%
122
Quels sont les trois points faibles des Hérisons?
Les hérissons ont 3 points faibles, les 3 « O » : **==> Œil :- Ulcères, traumas, proptose** **==> Oreille : Otites** **==> Oral :- Néoplasmes- Gingivites, périodontite**
123
Qu'est ce qui est necessaire pourles herissons africains?
**Ils ont beoin de la chaleur**
124
Un hérisson est présenté pour perte de piquant, quel est l’agent le plus probable en cause? a) Psoroptes cuniculi b) Encephalitozoon cuniculi c) Trichophyton erinacei d) Caparina tripilis
**d) Caparina tripilis**
125
Hérisson obèse avec exophtalmie bilatérale. Quelle est la cause la plus probable ? a. Nourriture pour chaton b. syndrome wobbler c. retinoblastome bilatérale d. encephalitozoon cuniculi
**a. Nourriture pour chaton**
126
Un hérisson à ventre blanc africain de 2 ans est présenté pour une masse gingivale. Quelle est votre conduite parmi les suivantes? a) Extraction dentaire et culture de la racine b) Prescrire des antibiotiques c) Aspiration de la masse pour culture d) Retrait chirurgical de la masse et histologie
**d) Retrait chirurgical de la masse et histologie**
127
Quelle espèce est connue pour développer une hypersalivation dans la période péri-opératoire? a) Les lapins b) Les hérissons c) Les cochons d’inde d) Les souris
**b) Les hérissons** ## Footnote les hérissons font habituellement de hypersalivation
128
lequel de ces animaux exotiques de compagnie présente des molaires anélodontes (pas de croissance continue des molaires)? a) octodon b) chinchilla c) cochon d’inde d) rat
**d) rat**
129
Quelle est la formule dentaire du lapin parmi les suivantes ? a) I2/1, C0/0, P3/2, M3/3 b) I1/1, C0/0, P2/2, M3/3 c) I1/1, C0/0, P3/2, M4/4 d) I1/1, C0/0, P3/2, M3/3
**a) I2/1, C0/0, P3/2, M3/3**
130
Quelle est la principale raison du développement de l'hypothermie chez les petits mammifères? a) Un taux métabolique diminué b) Un taux métabolique élevé c) Un rapport surface/volume élevé d) Un rapport surface/volume diminué
**c) Un rapport surface/volume élevé**
131
. Quelle espèce est plus à risque de stase gastrique en post-chirurgie? a. Furet b. Cochon d’inde c. Rat d. Lapin e. Cochon vietnamien
**d. Lapin**
132
1. Quel paramètre n’explique pas le risque plus élevé d’hypoglycémie chez les petits mammifères lors de l’anesthésie? a. Rapport surface/volume élevé b. Transit plus rapide c. Métabolisme de base plus élévé d. Réserve de glycogène plus faible
**a. Rapport surface/volume élevé**
133
Quelle crème doit-on appliquer sur la peau des petits mammifères avec la pose du cathéter ? a. EMLA b. EPLA
**a. EMLA**
134
Quel élément on n’a pas besoin de maîtriser pour aller en anesthésie de petits mammifères ? a. Savoir faire une épidurale b. Savoir faire une intraveineuse c. Ventiler avec pression positive d. Dégager voies respiratoires
**a. Savoir faire une épidurale** ## Footnote L’épidurale est un geste technique avancé, surtout utilisé chez les animaux de grande taille (chiens, chats de grande taille) ou en chirurgie orthopédique/abdominale.
135
Lapin de 5 ans présenté pour anorexie, malocclusion, ptyalisme lié à la présence d’ulcères linguaux. Quelle est votre approche? a) Taille des dents sur lapin vigile b) Taille des dents sous anesthésie c) Marsupialisation d) Extraction dentaire
**b) Taille des dents sous anesthésie**
136
Vous suspectez une malocclusion dentaire chez un lapin mâle de 8 ans présenté pour anorexie. Quelles sont les zones principales à regarder en priorité à l'examen buccal? (Plusieurs réponses possible) (Cette question comporte une correction négative) a) La zone palatale des prémolaires maxillaires b) La zone buccale des prémolaires mandibulaires c) La zone linguale des prémolaires mandibulaires d) La zone buccale des prémolaires maxillaires
**c) La zone linguale des prémolaires mandibulaires** **d) La zone buccale des prémolaires maxillaires**
137
Les dents d’un lapin sont composées de 2 parties, la couronne clinique et… a) la dentine b) la pulpe dentaire c) la racine d) la couronne de réserve
**d) la couronne de réserve**
138
Qui peut réhabiliter la faune sauvage?
**Seuls les vétérinaires et les détenteurs de permis scientifique délivré pour la réhabilitation** (personnes qualifiées et reconnues) peuvent légalement réhabiliter la faune.
139
Dans quelle circontences l'Acte vétérinaire peut etre fait a l egard d un animal sauvage?
Lorsqu’un animal sauvage blessé, malade ou orphelin est pris en charge. **=>Par un médecin vétérinaire, ou sous sa supervision directe.** **=> Par les détenteurs de permis de réhabilitation, mais uniquement en collaboration étroite avec un vétérinaire.**
140
Le médecin vétérinaire qui s’engage à offrir ses services pour l’un ou l’autre de ces permis engage sa responsabilité professionnelle. Il est tenu d’en répondre devant l’OMVQ (--------------------------------------------------------------------);
Le médecin vétérinaire qui s’engage à offrir ses services pour l’un ou l’autre de ces permis engage sa responsabilité professionnelle. Il est tenu d’en répondre devant l’OMVQ **(formation continue, inspection vétérinaire**);
141
Quelle est La durée du processus de réhabilitation d’un animal sauvage?
**ne peut dépasser 18 mois**
142
Vraou ou faux: Les animaux sauvages (toutes espèces indigènes confondues) récupérés blessés, malades ou orphelins peuvent être soignés par les vétérinaires ou par les détenteurs de permis. Il est important de noter que tous les oiseaux de proie et certains mammifères sont des espèces **à déclaration obligatoire** à la Protection de la Faune du Gouvernement du Québec.
**Vrai**
143
Les médecins vétérinaires sont souvent appelés à jouer un rôle de premier plan pour ---------------le public en ce qui concerne la santé animale en général. a-Déclarer c-éduquer
Les médecins vétérinaires sont souvent appelés à jouer un rôle de premier plan pour **éduquer** le public en ce qui concerne la santé animale en général. ## Footnote Exemple: **Baylisascaris procyonis** est associé à la Rage du raton ( cest une zoonose)
144
2. Question sur si une personne random trouve un bb raton laveur blessé. lequel est FAUX : a. On peut dire au bon samaritain qu’il peut s’en occuper en lui donnant du lait spécial jusqu’à 16 semaines. b. Recommander à la personne de le remettre à un centre spécialisé c. si on voit le nid, on fait une surveillance à distance, car la mère n’est pas bien loin. d. Lui indiquer qu’ils sont associés à Baylisascaris et le signaler au MELFP e. Lui expliquer comment faire les soins de base et le convaincre d’aller le porter dans un centre de réhabilitation.
**a. On peut dire au bon samaritain qu’il peut s’en occuper en lui donnant du lait spécial jusqu’à 16 semaines.**
145
1. Lequel est vrai a. les TSA et les vets peuvent avoir un animal sauvage en captivité sans permis b. Les vets peuvent faire de la réhabilitation d’animaux sauvages sans permis mais doivent garder un registre c. tout le monde peut d. seulement les oiseaux de proie nécessitent un permis
**b. Les vets peuvent faire de la réhabilitation d’animaux sauvages sans permis mais doivent garder un registre**
146
Fenbendazole (effet?) selamectine (caracteristiques) Fipronil (Frontline, excipient)
->Fenbendazole **(aplasie medulaire ( toxique pour cell en division), le donner une par jours au lapin)** ->sélamectine (caracteristiques) **tres bon choix pour parasites externe chez anix exoqtiques** ->Fipronil (Frontline, excipient) =**potentiellement toxique**