ICM + Data Flashcards

(41 cards)

1
Q

What is this? Sign of?

A

Koilonychia - sign of iron deficient anaemia

How well did you know this?
1
Not at all
2
3
4
5
Perfectly
2
Q

Name this abnormality - what is it a sign of?

A

Leukonychia - sign of hypoalbuminemia of chronic liver disease

How well did you know this?
1
Not at all
2
3
4
5
Perfectly
3
Q

Name this abnormality - what is it a sign of?

A
  • Beau’s sign
  • → Hypoalbinaemia - abnormally low albumin in blood serum.
  • It is a specific form of hypoproteinemia.
How well did you know this?
1
Not at all
2
3
4
5
Perfectly
4
Q

Name this abnormality - what could it indicate?

A

Splinter haemorrhage - can be a sign of infective endocarditis

How well did you know this?
1
Not at all
2
3
4
5
Perfectly
5
Q

Name this abnormality - what could it be a sign of?

A

Periungal telangeictasia - dilated capillaries. Can be a sign of dermatomyositis (inflammatory CT disease) which has strong associations with adenocarcinoma of the GIT, breast or lung

How well did you know this?
1
Not at all
2
3
4
5
Perfectly
6
Q

Name this abnormality - what can it be a sign of?

A
  • Clubbing - can be a sign for many things incl:
  • Lungs:
    • Lung cancer,

Interstitial lung disease,

empyema, bronchiectasis,CF,

  • Heart disease:
    • Any disease featuring chronic hypoxia, s

ubacute bacterial endocarditis

  • Gastrointestinal and hepatobiliary:
    • Malabsorption,

Crohn’s disease, UC, c

irrhosis,

  • Others:
    • Graves’ disease,

axillary artery aneurysm (unilateral clubbing)

How well did you know this?
1
Not at all
2
3
4
5
Perfectly
7
Q

Name this abnormality - what is this indicative of in abdominal disease?

A

Asteristix - hepatic encephalopathy, damage to brain cells presumably due to the inability of the liver to metabolize ammonia to urea

How well did you know this?
1
Not at all
2
3
4
5
Perfectly
8
Q

Name this abnormality - what could it indicate?

A

Palmar erythema

  • Portal hypertension
  • Chronic liver disease
  • Pregnancy
  • Polycythemia
  • Thyrotoxicosis
How well did you know this?
1
Not at all
2
3
4
5
Perfectly
9
Q

Which disease could cause this abnormality?

A

Addisons disease - hyperpigmentation of palmar creases

How well did you know this?
1
Not at all
2
3
4
5
Perfectly
10
Q

Name this abnormality - which disease is this associated with?

A

Arachnodectyly- Marfans = AD disorder of CT - misfolding of fibrillin 1. Often have defects in aortic valve.

How well did you know this?
1
Not at all
2
3
4
5
Perfectly
11
Q

Name the abnomality - what can it be a sign of?

A

Glossitis - anaemia

How well did you know this?
1
Not at all
2
3
4
5
Perfectly
12
Q

Name the abnormality - what can it be a sign of?

A

Angular stomatitis - malabsorption, anaemia

How well did you know this?
1
Not at all
2
3
4
5
Perfectly
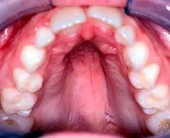
13
Q

Which disease is associated with this abnormality?

A

High arch palate - marfans

How well did you know this?
1
Not at all
2
3
4
5
Perfectly
14
Q

Name this - what can it indicate?

A

Spider naevi - sign of hepatic disease. Failure of the liver to metabolise oestrogens which cause dilation of arterioles - seen here.

How well did you know this?
1
Not at all
2
3
4
5
Perfectly
15
Q

What is this?

A

Ileostomy - spout at the skin to protect from the digestive enzymes

How well did you know this?
1
Not at all
2
3
4
5
Perfectly
16
Q

What is this a sign of?

A

Severe acute pancreatitis

How well did you know this?
1
Not at all
2
3
4
5
Perfectly
17
Q

What is this? Ddx?

A

Caput medusae –> severe portal hypertension / inferior vena cava obstruction. Distinguish between them by determining the flow of blood. Towards head = obstruction

18
Q

What is this and in which direction does the cervix point?

A

Retroverted uterus

Cervix points anteriorly

19
Q

What is the SCJ?

A

Squamo-colmnar junction

20
Q

What is this?

A

Benign epithelial (nabothian cyst)

21
Q
A

Cervical cancer

22
Q
23
Q
24
Q
25
What is Froment's positive sign?
Test for ulnar nerve palsy - tests for the action of adductor pollicis
26
Oesophageal intubation
27
What length should an ET tube be at the lips in a female?
21cm
28
What length should an ET tube be at the lips in a male?
23cm
29
What is 'Murphy's eye'?
If tip becomes obstruced, ventilation is still possible
30
What are the contraindications of oral tracheal intubation? (3 listed)
* inability to open mouth * inability to move neck * pathology of upper airway
31
Which 3 axes have to be in line when intubating?
* oral axis * pharyngeal axis * laryngeal axis
32
In paediatric life support, what could provide a maximally patent airway?
Horizontal alignment of the tragus of the ear with the sternum
33
What happes in an infant when the neck is hyperflexed?
Airway obstruction
34
What can be done to ensure an infants airway is maximally patent?
Neutral position * place folded towel under shoulders * chin lift * jaw thrust if required
35
What is classed as an 'infant'?
\>28 days \< 1 year
36
What is classed as a child?
\>1 year \< puberty
37
Which artery should be palpated to measure pulse in an infant? (life support)
brachial
38
Where should chest compressions be initiated in an infant?
1 finger breadth above xiphisternum
39
What is the 'normal' systolic BP for an infant?
79-90 mmHg
40
Under which ribs does the spleen sit?
8 9 10
41
pectus excavatum