Identify the three different ways in which DNA can be analysed
Which two techniques can be used to analyse DNA at nucleotide level?
Which five techniques can be used to analyse DNA at gene level?
Which two techniques can be used to analyse DNA at chromosomal level?
Identify the 4 questions which revolve around the ethics of DNA sequencing
I. Family/potential spouse
II. Doctor
III. Government
IV. Police
IV. Insurance companies
What is the reverse transcription polymerase chain reaction?
RT-PCR, a variant of polymerase chain reaction, is a technique commonly used to detect RNA expression by producing multiple copies of particular DNA isolates through amplification
Traditional PCR is used to exponentially amplify target DNA sequences.
How does RT-PCR differ from this?

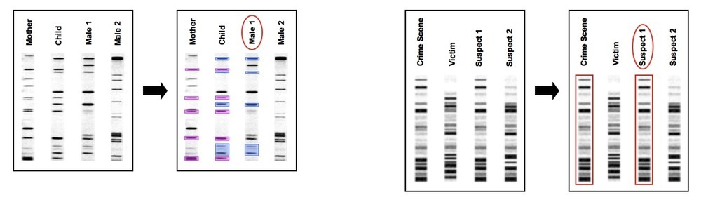
What is DNA profiling?
DNA profiling (aka DNA fingerprinting) is a forensic technique used to identify individuals by characteristics of their DNA
DNA profiling uses short tandem repeats.
What are these and what is their benefit?

Identify 3 circumstances where DNA profiling is used

In 6 steps, outline the procedure for creating a DNA fingerprint
⇒ DNA is extracted from sample cells e.g. skin, hair, blood and purified
⇒ DNA cut into fragments using restriction enzymes
⇒ Gel electrophoresis of dsDNA fragments (distributes according to length)
⇒ dsDNA fragments are blotted & ssDNA fragments are transferred to a nylon sheet
⇒ Autoradiography using DNA probes
⇒ Develop, visualise and analyse DNA fingerprint

What is Fluorescence in situ hybridization?
FISH is a cytogenic technique that uses fluorescent probes which bind only to the parts of the chromosome with a high degree of sequence complementarity

What is DNA hybridisation?
DNA–DNA hybridisation is a molecular biology technique that measures the degree of genetic similarity between pools of DNA sequences
In 5 steps, describe the process of DNA hybridisation
⇒ dsDNA is denatured (heated / treated with an alkaline solution)
⇒ H2 bonds break & ssDNA is released
⇒ Add identical ssDNA labelled with a radioactive/fluorescent marker
⇒ Anneal DNA
⇒ Identify labelled DNA using photographic film

Identify and describe the two different types of hybridisation techniques
In 5 steps, outline the process of Southern blotting
⇒ Digest DNA with restriction enzymes
⇒ Gel electrophoresis to separate DNA fragments
⇒ Transfer to a nylon membrane
⇒ Hybridisation of a probe to detect target DNA
⇒ Use X-ray film to visualise labelled probe & target DNA
Why do we use Southern hybridisation?
What are the characteristics of DNA probes in blotting?

Western blotting is not a DNA hybridisation technique.
What is it?
Western blotting involves the detection of proteins by antibodies after protein gel electrophoresis
