What are the major skin functions?
barrier - resist mechanical stress, limit water loss, block entry from outside, UV shield
repair - wound healing
immunologic - tempter and alert the immune system
sensation - pain, itc, pressure, and pleasure
thermoregulation, insulation, and absorption
appearance - quality of life
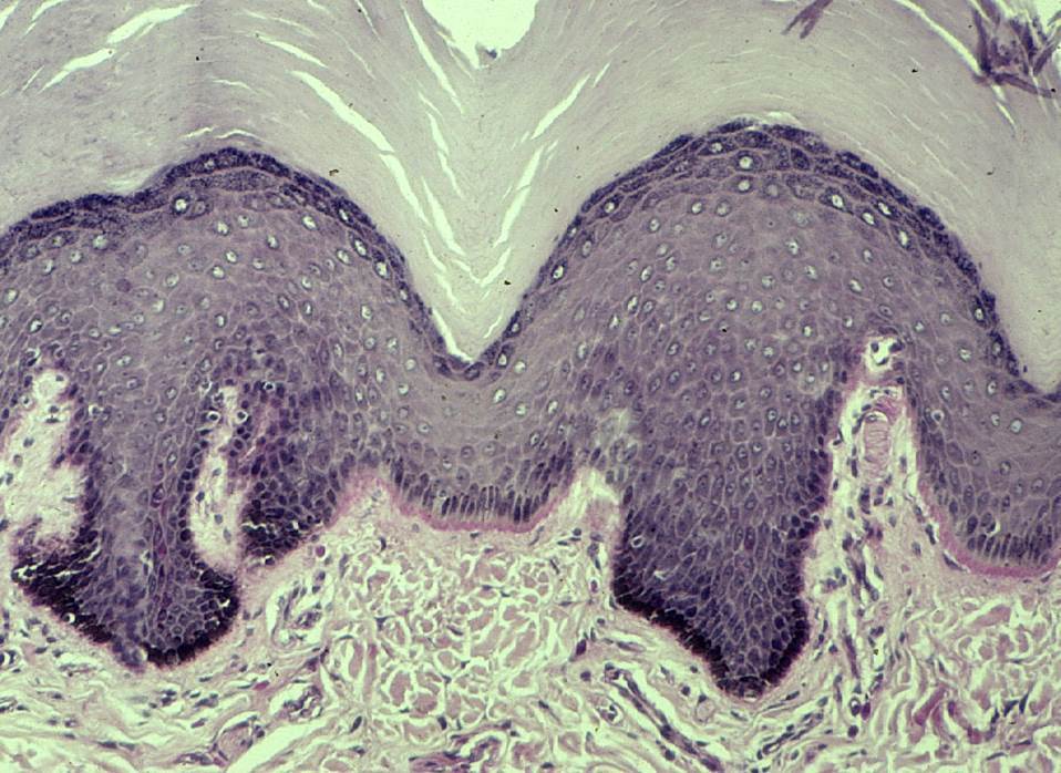
What is the makeup of the epidermis?
keratinizing, stratified squamous epithelium
What is the makeup of the dermis?
connective tissue/stroma
What are the four layers of the epidermis starting from the bottom? What happens in each layer?
basal layer (stratum basale) - proliferation
spinous layer (stratum spinosum) - adhesion
granular layer (stratum granulosum) - differentiation
stratum corneum (cornified layer) - death

What cell types make up 90% of the epidermis?
keratinocytes and corneocytes
melanocytes
pigment producing cells
mostly found in basal layer
directly injects melanin and pigment
Langerhans cells
dendritic antigen presenting cells
important for recognizing antigen and alerting the immune system
also important in immunosuppression
Merkel Cells
mechanoreceptor cells
associated with the sense of light touch discrimination of shapes and textures
often give rise to tumors
What is the primary function of the epidermis?
building a semi-permeable barrier
What are the strategies for building a barrier?
replenish - maintain a constant supply of keratinocytes to repopulate the upper layers
resist - adopt specialized structures to yield a strong, sticky cell
release - extrude lipids and cornified envelopt to form an impermeable seal
What are the characteristics of the epidermal self-renewal
normally, the epidermis turns-over every 30 days
stem cells in the basal layer give rise to proliferating compartments
basal layer cells exit the cell cycle and replenhishes the upper layer
outermost cells constantly sloughed off
How is stratification achieved in keratinocytes?
asymmetrical division
different polarity of cells dividing
What is psoriasis?
an inflammatory skin disease with increased keratinocyte proliferation and turnover
leads to abnormal differentiation and formation of thick, scaly plaques
How do keratinocytes maintain their shape?
they build cytoskeleton networks
keratin
keratins are major (~25%) protein in keratinocytes
keratin composition changes as keratinocytes differentiate
54 different human keratins pair up to form intermediate filaments
subtypes are expressed in distinct epidermal cell layers
1/10 in granular/spinous and 5/14 in basal
What are hemidesmosomes?
integrin-based junctions that connect basal keratinocytes to the basement membrane
mutations show generalized blistering - ex. junctional epidermolysis bullosa
What happens in bullous pemphigoid?
auto-antibodies target proteins found in hemidesmosomes
these break the connection between basal keratinocytes and basement membrane -> subepidermal blisters
What are desmosomes?
specialized junctions that anchor keratin to sites of cell-cell contact
genes - papkin, armadillo, and cadherins
Holds two cells together to form molecular rivets
Also allows cell-cell communications
Lethal Acantholytic Epidermolysis Bullosa
disease where desmosomes are compromised (Pakin mutation)
heart and skin defomiries result

Pemphigus Vulgaris
auto-antibodies target proteins found in desmosomes (cadherin)
breaks the connection between adjacent keratinocytes -> suprabasal epidermal blisters
Pemphigus Foliaceus has more superficial phenotypes
What is the role of lamellar bodies in the skin?
excrete lipid for waterproof seal
What are the “bricks and mortar” of the Stratum Corneum?
bricks - corneocytes
mortar - lamellar membrane
corneocytes
anucleate, keratin-filled, dead keratinocytes encased in a highly crosslinked, specialized membrane - the cornified envelope
lamellar membrane
lipids (ceramides, cholesterol, and free fatty acids) extruded from the keratinocytes to form a hydrophobic seal