When you are in the midesophageal AV Short Axis view, what should you do to better interrogate the valve (5 things)
How much do you add on the multiplane from the AV Midesophageal Short Axis to get to the ME AV LAX view?
Add ~90° to multiplane for next view
What is your goal when viewing the Midesophageal AV Short Axis?
Rule out AS
Evaluatae Structurla Abnormalities of the AV Valve
When you are in the ME AV SAX view and you withdraw probe what should you see?
Withdraw probe for coronary ostia
When you are in the ME AV SAX view and you advance probe what should you see?
LVOT
Identify every structure in the ME AV SAX view:
LA
IAS
RA
LA
Coronary Ostia
In the ME AV SAX view (30-45°) the image plane is directed thru the LA and aligned parallel to the AV annulus.
All three aortic cusps should appear symmetrical.
The non-coronary cusp of the aortic valve is adjacent to the inter atrial septum
The right coronary cusp is most anterior
The left coronary cusp is adjacent to the pulmonary artery.

What are 4 pathology you can look for in the midesophageal AV SAX?
What are you looking at specificalaly in the ME AV Long Axis view?
What are your 4 goals when evaluating the Midesophageal AV Long Axis?
When you rotate Right and Left in the ME AV Long Axis view, what are you doing?
Rotate R/L until leaflet excursion is clear & central, sinuses symmetric
What leaflets are seen in of the mitral valve on the ME Aortic Valve LAX View?
Anterior (AMVL) + Posterior (PMVL) Leaflets
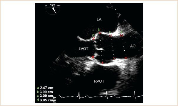
Label a, b, c, d

aortic annulus (a)
sinus of Valsalva (b)
sinotubular junction (c)
proximal ascending aorta (d)
What is a normal Aortic Annulus Size?
1.8-2.3 cm (18 - 23 mm)
What aortic valve coronary cusps are seen on the ME Aortic Valve LAX View?
Right coronary cusps is at the bottom of image (Anterior structures are more towards the bottom of the image)
NCC or LCC are at the superior aspect of the image (These are posterior structures)