Identify the mediator responsible for all of the following actions
intense vasoconstriction,bronchospasm (important in asthma), increased permeability of venules.
LTC4, LTD4, and LTE4
Major cytokine responsible for induction of the acute phase response
IL-6
Identify the substance , based on its function described and the WBC that produces it
cytotoxic to helminths
Substance: Major Basic protein
Produced by: Eosinophils
Identify the substance , based on its function described and the WBC that produces it
binds iron that is necessary for normal bacterial growth and reproduction
Substance: Lactoferrin
Produced by: Neutrophil granules
What’s the most likely underlying mechanism for the fluid having characteristics described below?
protein rich
cellular
specific gravity >1.020
The fluid exhibits characteristic features of an exudate. Mechanism: increase in the normal permeability of small blood vessels in an area of injury
Identify the condition described and its basis
Condition: Chronic granulomatous disease (CGD)
Basis: Lack of NADPH oxidase
family of proteins that mediate initial rolling interactions
Selectins
Exudate or transudate?
protein rich
cellular
specific gravity >1.020
Exudate
How do you distinguish between Chronic granulomatous disease due to NADPH oxidase deficiency from MPO deficiency?

Exudate or transudate?
Transudate
Identify the mediator
stimulates the contraction of uterine and bronchial smooth muscle and small arterioles
PGF2α
List 2 examples of transudate occuring due to decreased oncotic pressure
Cirrhosis
Nephrotic Syndrome
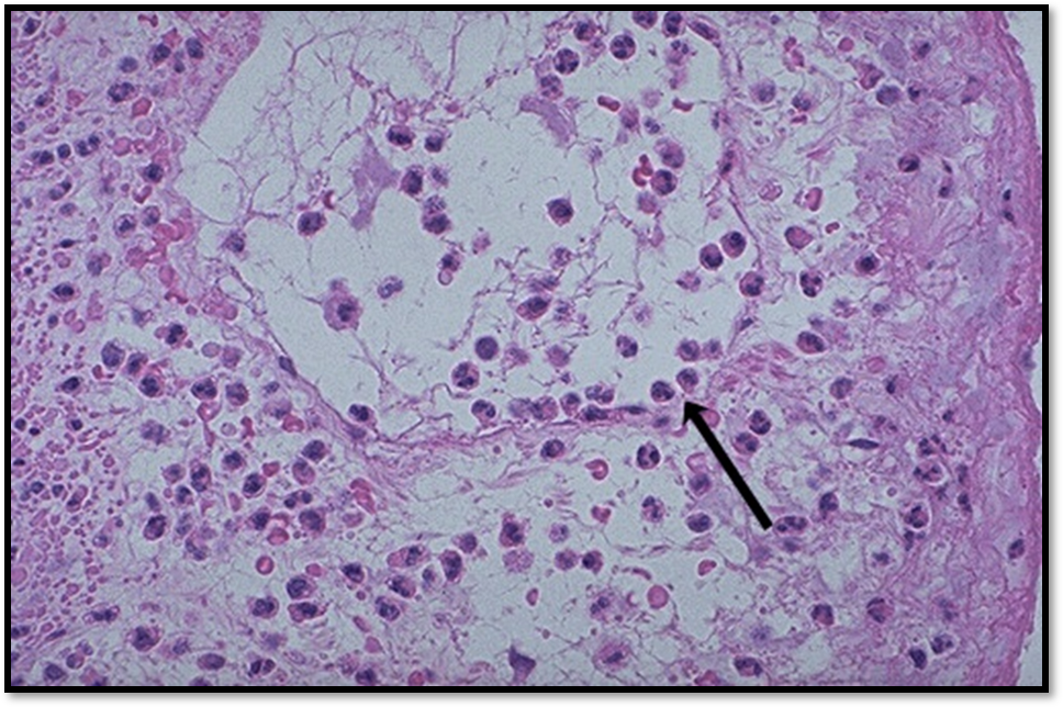
Which cell adhesion molecule mediates the process depicted in the attached image?

PECAM 1 (aka CD31 ie. cluster of differentiation 31)
List 4 conditions characterized by exudate formation
Infections
Inflammation
Malignancy
Trauma
Collagen vascular disease
3 mechanisms of increased vascular permeability
a. Contraction of endothelial cells resulting in increased interendothelial spaces
b. Endothelial injury, resulting in endothelial cell necrosis and detachment.
c. Transcytosis
LAD-1 OR LAD-2?
absence of sialyl-Lewis X
NO DELAYED DETACHMENT OF UMBILICAL CORD
NEUTROPHILIC LEUKOCYTOSIS
LAD-2
Give one word that best fits the description:
Exudate or transudate?
protein poor
hypocellular
specific gravity <1.012
Transudate
Type of leukocyte most likley to predominate in :
a. 6-24 hours
b. 24-48 hours
a. Neutrophils
b. Monocytes
Exudate or transudate?
Exudate
List examples of the morphologic pattern of inflammation depicted in the attached image

Pattern: Ulcer
Examples: Duodenal Ulcer, Peptic ulcer
class of adhesion molecules that mediate firm adhesion
Integrins
List examples of the morphologic pattern of inflammation depicted in the attached image

Pattern: Suppurative/Purulent Inflammation
Examples: Lung abscess, acute appendicitis
Where is P- selectin expressed?
a. Wiebel-Palade bodies on the surface of platelets
b. Endothelial cells