Respiratory 4 Flashcards

(58 cards)

1
Q

A litter of 8 week old kittens are presented to you. queen unvaccinated

(Clinical signs: coughing, sneezing, nasal discharge, conjunctivitis, mild fever, anorexia)

What are 3 differentials?

A
  1. Feline calicivirus
  2. Chlamydophila felis
    Feline rhinotracheitis (herpesvirus)
How well did you know this?
1
Not at all
2
3
4
5
Perfectly
2
Q

True or False:

  1. Feline upper respiratory virus and Chlamydia typically result in high mortality with low morbidity
  2. Death of a feline in these scenarios is usually associated with a secondary bacterial infection due to the negative impact of the virus on respiratory defenses
A
  1. FALSE - high morbidity, low mortality
  2. TRUE
How well did you know this?
1
Not at all
2
3
4
5
Perfectly
3
Q

Lungs are diffusely motlted, heavy, rubbery, and non-collapsing with blotchy dark regions. In addition, approximately 20% of the anteroventral lung is dark red in color, very firm (consolidated) and an exudate can be expressed from the airways on cut surface:

  1. What is your morphologic diagnosese?
  2. What are their causative agent?
A
  1. Diffuse interstitial pneumonia and bronchopneumonia
  2. Feline calicivirus and Bordetella bronchiseptica (respectively)
How well did you know this?
1
Not at all
2
3
4
5
Perfectly
4
Q

Feline with the following clinical signs:

Sneezing

Nasal discharge

Swelling over bridge of nose

Enlarged submandivular lymph nodes

No response to antibiotic therapy

What are our 5 differential diagnoses?

A
  1. Neoplasia
  2. Infection (viral, fungal, bacterial)
  3. Nasal foreign body
  4. Rhinitis secondary to dental disease
  5. Allergic rhinitis
How well did you know this?
1
Not at all
2
3
4
5
Perfectly
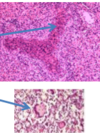
5
Q

This is tissue from a cat. In addition to what is depicted, the cat had swelling over the bridge of the nose and nasal planum.

  1. What do you see histologically (in general)?
  2. What is your morphologic diagnosis?
  3. What is the causative agent?
A
  1. Histologically: large, yeast-like structures with a thick capsule surrounded by macrophages and low numbers of PMNs
  2. Dx: pyogranulomatous rhinitis
  3. Due to cryptococcus
How well did you know this?
1
Not at all
2
3
4
5
Perfectly
6
Q
  1. In which areas would cryptococcus be most common?
  2. Which cats are especially vulnerable to a cryptococcus infection?
A
  1. Crytococcus is common in areas contaminated with bird (especially pigeon) droppings.
  2. Immunocompromised cats such as those infected with FeLV or FIV are especially vulnerable to infectious such as cryptococcus.
How well did you know this?
1
Not at all
2
3
4
5
Perfectly
7
Q

This is tissue from a cat brought to your clinic for bite wounds to the face, neck, chest, and front leg.

  1. What is your diagnosis?
  2. What would be a likely pathogenesis?
A
  1. Fibrinopurulent pleuritis (pyothorax) with atelectasis
  2. Penetrating bite wound to the anteroventral chest –> seeded pleural cavity with bacteria –> pyothorax
How well did you know this?
1
Not at all
2
3
4
5
Perfectly
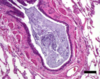
8
Q

This is tissue of Juno, a cat from a household of heavy smokers:

(Top image is normal; bottom image is tissue from Juno)

Name 3 changes that have occurred.

A
  1. Submucosal gland hyperplasia
  2. Increased luminal secretions
  3. Infiltrate of eosinophils
How well did you know this?
1
Not at all
2
3
4
5
Perfectly
9
Q

This is tissue from Juno, a cat from a household of heavy smokers:

(Top picture is normal; bottom image is tissue from Juno)

What change has occurred?

A

Goblet cell hypertrophy & hyperplasia

How well did you know this?
1
Not at all
2
3
4
5
Perfectly
10
Q

Histologic lesions from a cat: (1) goblet cell hypertrophy and hyperplasia, (2) submucosal gland hyperplasia, and (3) eosinophilic bronchitis/bronchiolitis

What is your diagnosis?

A

Feline asthma (allergic bronchitis)

How well did you know this?
1
Not at all
2
3
4
5
Perfectly
11
Q

Complete the following pathogenesis for feline asthma:

Inhaled antigen –> ___A___ –> release granules containing inflammatory mediators –> ___B___

A

A. Inhaled antigens contact IgE on the surface of mast cells

B. Inflammation & smooth muscle contraction

(Overall: suspected type I immediate hypersensitivity to inhaled allergens)

How well did you know this?
1
Not at all
2
3
4
5
Perfectly
12
Q

This is tissue from a cat

(Hx: anorexia, low grade fever, lethargy, abdominal distension, dyspnea; Lab results: high WBC, high neutrophils, high TP, high gammaglobulins, low albumin, and low albumin:globulin ratio)

  1. What is your morphologic diagnosis?
  2. What is the cause?
A
  1. Pleural effusion and pyogranulomatous pleuritis
  2. Feline infectious peritonitis
How well did you know this?
1
Not at all
2
3
4
5
Perfectly
13
Q

This is tissue from a cat with unilateral nasal discharge, difficulty breathing through her nose, and occasional snorting

  1. What is your diagnosis?
  2. What is the pathogenesis?
A
  1. Nasopharyngeal polyp
  2. Develop in the middle ear –> extend down eustachian tube into back or the throat OR breaks through tympanic membrane and extends up the ear canal
How well did you know this?
1
Not at all
2
3
4
5
Perfectly
14
Q
  1. What is a potential sequela to a nasopharyngeal polyp?
  2. How does the polyp lead to that?
A
  1. Otitis media
  2. Polyp prevents drainage from the eustachia tube –> get a purulent exudate in the middle ear due to the obstruction
How well did you know this?
1
Not at all
2
3
4
5
Perfectly
15
Q

Within the following scenario, find the risk factors that could predispose a group of horses to respiratory disease:

Recently purchased, unvaccinated foal from a large sale; introduced directly into a group of 15, 1-3 year old horses

A
  1. Recently purchased = STRESS
  2. Unvaccinated = NO ACTIVE IMMUNITY
  3. From a large sale = MIXING OF HORSES WITH POTENTIAL EXPOSURE TO NEW PATHOGENS
  4. Introduced directly into a new group of horses = NO QUARANTINE
How well did you know this?
1
Not at all
2
3
4
5
Perfectly
16
Q

In a horse with Equine influenza, what will the following results be for these tests:

  1. Serum collected during an outbreak?
  2. Serum collected 2 weeks post-outbreak?
A
  1. Negative
  2. Positive
How well did you know this?
1
Not at all
2
3
4
5
Perfectly
17
Q

Complete the pathogenesis of equine influenza:
Equine influenza reproduces in the ___A___ –> decreased mucociliary clearance –> ___B___

A

Equine influenza reproduces in the A.) upper respiratory epithelial cells –> decreased cucociliary clearance –> B.) bacterial bronchopneumonia

How well did you know this?
1
Not at all
2
3
4
5
Perfectly
18
Q

Hx: 4 month old foal with bilateral swelling behind the ramus of the mandible. A number of other young horses on this farm have had bilateral purulent nasal discharge, fever, and submandibular lymphadenopathy.

  1. What is your diagnosis?
  2. What is the causative agent?
A
  1. Strangles
  2. Caused by Streptococcus equi
How well did you know this?
1
Not at all
2
3
4
5
Perfectly
19
Q
  1. What is empyema?
  2. What is a common sequela to suppractive inflammation in the nasal cavities of a horse, such as Streptococcus equi?
A
  1. A collection of pus within a naturally existing cavity
  2. Guttural pouch empyema
How well did you know this?
1
Not at all
2
3
4
5
Perfectly
20
Q

Complete the pathogenesis for a guttural pouch empyema:
Bacterial infection of the nasopharynx –> ___A___ –> infection –> ___B___

A

Bacterial infection of the nasopharynx –> A.) bacteria travel up eustachian tube to guttural pouch –> infection –> B.) guttural pouch empyema

How well did you know this?
1
Not at all
2
3
4
5
Perfectly
21
Q

What are 4 clinical signs for a Streptococcus equi infection (strangles) in horses?

A
  1. Mucopurulent nasal discharge
  2. Fever
  3. Swelling & abscessation of the submandibular & retropharyngeal lymph nodes
  4. Ruptured sinus tracts through the skin
How well did you know this?
1
Not at all
2
3
4
5
Perfectly
22
Q

Complete the pathogenesis for Strangles in a horse:
Exposure to a carrier animal –> ___A___ –> rapid transport of bacteria from tonsil to regional lymph nodes –> ___B___ –> lymph node rupture & drainage –> ___C___

A

A. Infection of the upper respiratory tract (rhinitis)

B. Lymph node abscess

C. Resolution

How well did you know this?
1
Not at all
2
3
4
5
Perfectly
23
Q

Which of the following are sequela of a Streptococcus equi infection?

A. Enlarged lymph nodes

B. Damage to cranial nerves

C. Difficulty swallowing

D. Guttural pouch empyema

E. Facial cellulitis

F. Edema

G. Petchial hemorrhages

H. Horner’s syndrome

A

ALL OF THE ABOVE, except C.) Difficulty swallowing

How well did you know this?
1
Not at all
2
3
4
5
Perfectly
24
Q

True or False:

  1. Streptococcous equi infections could lead to a pneumonia.
  2. Streptococcus equi infections could lead to laryngeal paralysis and facial nerve paralysis.
  3. Streptococcus equi infections could lead to laminitis.
A
  1. TRUE
  2. TRUE
  3. FALSE - Sequela of S. equi infections include the following: (1) enlarged lymph nodes, obstructing the upper respiratory tract, (2) extension of infection to adjacent tissues (gutteral pouch empyema, periorbital abscessation, facial cellulitis), (3) damage to cranial nerves (laryngeal paralysis, facial nerve paralysis, Horner’s syndrome), (4) pneumonia (via aspiration of ruptured abscesses), (5) metastatic abscesses to mediastinal and mesenteric lymph nodes, liver, kidney, synovium, and brain, (6) purpura hemorrhagica leading to edema and petechial hemorrhages.
25
For a horse, can you name 3 differentials for nasal hemorrhage? (there are 5 total)
1. Exercise-induced pulmonary hemorrhage 2. Ethmoid hematoma 3. Guttural pouch disease 4. Nasopharyngeal neoplasia 5. Nasal foreign body
26
This is tissue from a horse: 1. What is your diagnosis? 2. What is the pathogeneis? | (Hx: 8 year old gelding, spontaneous, intermittent, unilateral epistaxis, abnormal noise when breathing, occasional cough and head shake)
1. Ethmoid hematoma 2. Small vessel in nasal cavity begins to bleed --\> blood gets trapped between the bone and respiratory mucosa --\> blood accumulates and separates the lining from the bone causing a hematoma --\> progressive growth of hematoma --\> ulcerates and bleeds
27
This is tissue from a horse: (Hx: 6 month old quarter horse filly, intermittent episodes of epistaxis, total serum protein low, PCV low) 1. Describe the lesion of the guttural pouch. 2. What is your diagnosis? 3. What is the pathogenesis?
1. Guttural pouch is covered by a dark red to black and tam plaque, with white to tan masses protruding from the plaque 2. Guttural pouch mycosis 3. Damage to guttural pouch --\> mucous membrane colonized by opportunistic funges (*Aspergillus)* --\> fungus invades into the deeper tissues, including arteris and nerves --\> rupture of a large artery may lead to sudden death
28
What is your interpretation of this radiograph?
Multifocal nodular lesions that are interpreted as abscesses or granulomas/pyogranulomas
29
Tissue from a foal: (Hx: wheezes and crackles on auscultation, diarrhea, anorexia, lethargy, fever, tachypnea, increased respiratory effort) 1. What is your description of this lung? 2. What is your diagnosis? 3. Why might you see diarrhea in this foal?
1. Anteroventral consolidation (blue arrow) with multiple pulmonary abscesses (yellow arrows) 2. Dx: *Rhodococcus equi* 3. 5)% of pneumonic foals also have ulcerative colitis --\> diarrhea
30
How would you treate for *Rhodococcus equi?*
Treat for an extended period (4-6-8 weeks) to clear bacteria from abscesses
31
This is tissue from a foal: (Lungs: diffusely dark, heavy, rubbery, non-collapsing) 1. What test do you want to run on this foal? 2. What is your morphologic diagnosis of the lung lesions? 3. What are your differentials? | (Hx: born to a mare with poor mothering instincts; became weak, depressed, lethargic, will not suckle, and has an increased respiration rate and fever)
1. Check immunoglobulin levels for failure of passive transfer 2. Diffuse interstitial pneumonia 3. DDx: viruses (influenza, adenovirus); bacterial septicemia (E.coli, actinobacillus, streptococcus; often secondary to failure of passive transfer); fungi (Pneumocystis carnii)
32
This is tissue from an equine: 1. Actue interstitial pneumonia + renal cortical microabscesses + multiple hemorrhages = ? 2. What is your diagnosis?
1. Acute interstitial pneumonia + renal cortical microabscesses + multiple hemorrhages = **BACTERIAL SEPSIS** 2. *Actinobacillus equuli*
33
This is tissue from an 8 year old Quarter horse gelding: 1. What is your morphologic diagnosis? 2. What is the likely pathogenesis? | (Hx: penetrating wound on upper right lateral neck behind larynx that owner has been managing with flushes and antibiotics; fever, cough, rapid, shallow breathing, and loss of appetiti; frictino rub on auscultaion)
1. Fibrinopurulent pleuritis 2. Infectious exudate from neck wound migrated along the fascial planes surrounding esophagus/trachea into thoracic cavity --\> pleuritis
34
1. What is this "line" called? 2. What is the gross leasion that contributes to this line?
1. "Heave line" 2. Hypertrophied abdominal muscles form the distinctive line
35
In a horse with (1) goblet cell hyperplasia/metaplasia, (2) airway lumen filled with mucus, neutrophils, & sloughed epithelial cells, and (3) lymphocytes and plasma cells in the lamina propia, WHAT KIND OF REACTION IS THIS?
Allergic reaction
36
Complete the pathogenesis for heaves/COPD in a horse: Inhaled allergens (Ex: \_\_\_A\_\_\_) --\> airway inflammation --\> \_\_\_B\_\_\_ --\> mucus plugs bronchioles --\> \_\_\_C\_\_\_ --\> heaves
A. Mold B. Goblet cell hyperplasia with mucus hypersecretion C. Increased effort to breath
37
How can you tell if an exudate was coughed up from the lung or is evidence of rhinitis/tracheitis?
Coughed up = not attached Tracheitis = adhered to an ulcerated surface
38
This is tissue from a bovine: The material in the trachea is firmly adhered to its surface 1. What is your morphologic diagnosis? 2. What is a likely causative agent?
1. Acute fibrinonecrotic rhinotracheitis 2. Bovine herpes virus (IBR virus)
39
This is tissue from a 1 week of calf: (Hx: mother would often leave the calf and it would bawl continuously; calf was lethargic, difficulty nursing, frequenct painful swallowing attempts; fever, fetid breath odor, excessive salivation) 1. What is your morphologic diagnosis? 2. What is the likely causative agent? 3. What is the pathogenesis?
1. Fibrinonecrotic laryngitis 2. *F*usobacterium necrophorum 3. Continuous bawling --\> damage to laryngeal mucosa --\> colonization by *Fusobacterium necrophorum --\>* calf diphtheria
40
This is tissue from a steer: (Hx: group of calves pastured with cows on range all summer; calves brought off range, weaned, castrated, and shipped to a feedlot in a different state; vaccinated on arrival and mixed with another group of cattle in a large pen and put on a high concentrate diet; one steer dies) 1. What is your morphologic diagnosis? 2. What is the likely causative agent?
1. Acute fibrinous and hemorrhagic bronchopneumonia and pleuritis 2. *Mannheimia hemolytica*
41
Besides *Mannheimia haemolytica,* what other bacteria commonly contribute to bacterial bronchopneumonias in cattle?
Pasteurella multocida Histophilus somni Trueperella pyogenes Mycoplasma bovis
42
This is tissue form a cow: (Hx: it is fall, recent heavy rains; cattle were recenlty moved from an eaten down pasture to a rested, mixed grass alfalfa pasture that is lush after recent rain; one cow is standing with its head stretched out, having a hard time breathing; she is reluctant to move; respiration rate is 6-/minute and she is breathing with her mouth open; rectal temp is normal) 1. Describe the lesion. 2. What is your morphologic diagnosis? 3. What is the likely pathogenesis?
1. Lungs are diffusely dark, heavy, rubbery, non-collapsing, and bounce back when pitted 2. Acute interstitial pneumonia 3. Dietary L-tryptophan --\> converted by rumen bacteria to 3-methylindole --\> 3-MI is absorbed into systemic circulation --\> converted by clara cell enzymes to a toxic intemediate --\> type I pneumocyte necrosis --\> acute interstitial pneumonia
43
What changes here are consistent with an interstial pneumonia?
1. Alveolar hyaline membranes 2. Type II pneunocyte hyperplasia
44
This is tissue from a cow: (Hx: fever, anorexia, depression, respiratory signs which include cough, purulent nasal discharge, and rapid respiration progressing to dyspnea; cow stands with her head and neck extended and forelegs apart and breathes through her mouth) 1. What is your description of this lesion? 2. What is your morphologic diagnosis? 3.
1. Pleural surface is extensively covered by fibrin; interlobular septa & pleura are markedly thickened by fibrinous exudate 2. Servere, fibrinous pleuopneumonia (contagious bovine pleuropneumonia)
45
1. What is the causative agent of contagious bovine pleuropneumonia? 2. What gross lesion would you associate with this condition?
1. *Mycoplasma mycoides subspecies mycoides* small colony type 2. Fibrinous pleuritis and necrotizing bronchopneumonia
46
This is tissue from a steer: (Hx: weaned dairy steer, mixed with other dairy steers 8 weeks ago, acute respiratory disease 6 weeks prior, aggressive Rx with broad-spectrum antibiotics) 1. Describe the lesion. 2. What is the likely causative agent?
1. Anteroventral lung pattern with multifocal (miliary) microabscesses, appear to be airway assocaited 2. *Mycoplasma bovis*
47
True or False: Mycoplasma bocis is resistant to many antibiotics used in the feedlot.
TRUE
48
1. Describe the lesion. 2. What is the likely causative agent? 3. What is the name of the disease?
1. Caseating to mineralized granulomas in teh lung and lymph nodes (retropharyngeal, bronchial, and mediastinal) 2. Mycobacterium bovis 3. Bovine tuberculosis
49
1. What is the causative agent of bovine tuberculosis? 2. Is this a zoonotic disease?
1. Mycobacterium bovis 2. YES, zoonotic
50
What would you see on histopathology of a lymph node infected with Mycobacterium bovis?
Central necrosis +/- mineralization Macrophages + giant cells Lymphocytes and plasma cells
51
What gross lesions would you see in the lung for bovine respiratory syncytial virus?
Patchy collapse of anteroventral lung & Caudal lung rubbery and non-collapsing
52
What microscopic lesions would you see in a lung with bovine respiratory syncytial virus?
Necrotizing bronchiolitis with formation of bronchiolar epithelial syncytia
53
Ovine respiratory disease: (Hx: lamb goes off feed, appears depressed, nasal discharge and runny eyes, cough and respiratory distress, labored breathing, and fever) (Lung: pproximately 80% of the anteroventral lung is dark tan to red, very firm, sinks in foramlin, and an exudate can be expressed from airways) 1. What is your diagnosis? 2. What is the causative agent?
1. Bronchopneumonia 2. *Mannheimia hemolytica*
54
This is tissue from a 4 year old ewe: (Hx: weight loss, lagging behind when the flock moves, labored breathing) (Lung: diffusely dark, heavy, rubbery, non-collapsing and bounce right back when pitted) 1. What is your morphologic diagnosis? 2. What is the causative agent here?
1. Chronic interstitial pneumonia 2. Ovine lentivirus (ovine progressive pneumonia (OPP))
55
This is the histology slide from the previous case: What is your morphologic diagnosis now?
Chronic diffuse lymphocytic interstitial pneumonia with perivascular lymphoid cuffs
56
1. What the causative agent of ovine progressive pneumonia? 2. How is this transmitted?
1. Lentivirus (a retrovirus) 2. Oppspring via colostrum (most commonly) & from pen mates via aerosols (close confinement)
57
Complete the pathogenesis for ovine progressive pneumonia: Lentivirus virus ingested --\> \_\_\_A\_\_\_ --\> infected pulmoary marcophages release pro-inflammatory chemokines --\> \_\_\_B\_\_\_ --\> interstitial pneumonia
A. Infects monocytes and macrophages B. Recruit inflammatory cells to pulmonary interstitium
58
This is lung tissue: What is your morphologic diagnosis?
Acute purulent bronchopneumonia (due to *Mannheimia hemolytica)*