Lecture 13 Eye Pathology Flashcards

(63 cards)

1
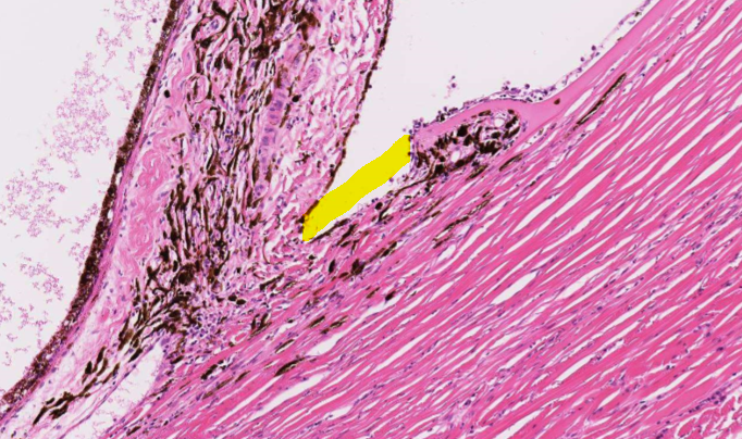
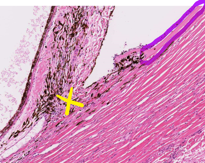
Q

Name the following structures:

Purple = ______

Yellow = ______

A

Purple = descemet’s membrane

Yellow = trabecular meshwork

How well did you know this?
1
Not at all
2
3
4
5
Perfectly
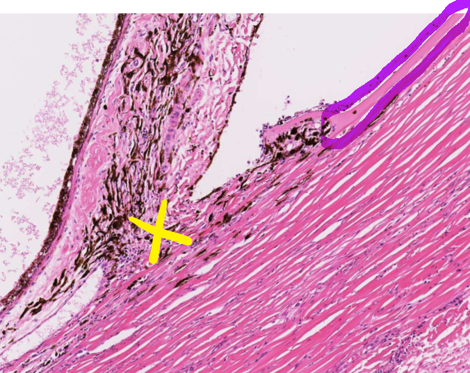
2
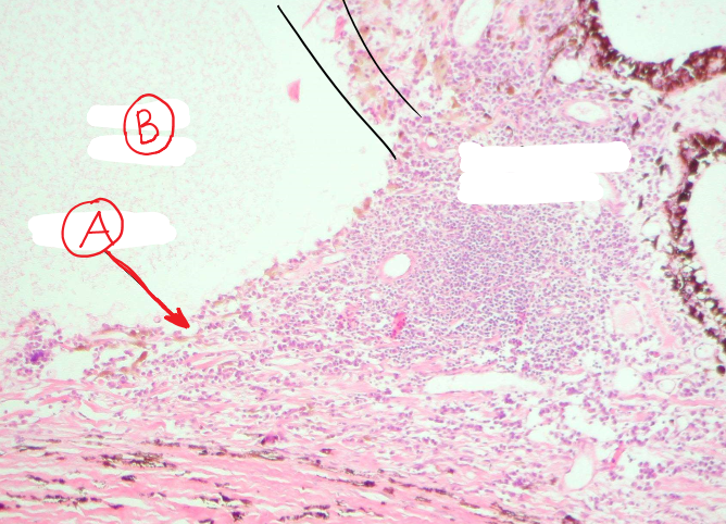
Q

Based on the changes that have developed in this specimen, what might be your diagnosis?

A

Pectinate ligament dysplasia

(Pectinate ligament should be where the yellow line has been drawn)

How well did you know this?
1
Not at all
2
3
4
5
Perfectly
3
Q

Abnormal development of the pectinate ligament can predispose an animal to what ocular condition?

A

Primary glaucoma

How well did you know this?
1
Not at all
2
3
4
5
Perfectly
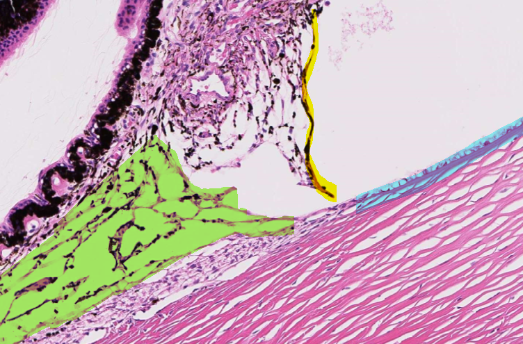
4
Q

This is normal, healthy tissue of the eye.

What are the highlighted structures?

Green = ____

Yellow = ____

Blue = ____

A

Green = trabecular meshwork

Yellow = pectinate ligament

Blue = descemet’s membrane

How well did you know this?
1
Not at all
2
3
4
5
Perfectly
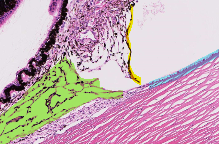
5
Q
  1. Where might you find aqueous humor, purple “x” or green “x”?
  2. What is the term used to refer to the angle highlighted in yellow?
A
  1. Aqueous humor at the GREEN “X”
  2. Iridocorneal angle
How well did you know this?
1
Not at all
2
3
4
5
Perfectly
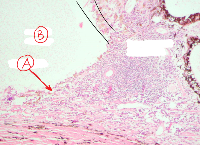
6
Q

What is wrong with this occular tissue?

A

Choroidal hypoplasia

(Choroid is circled in black but missing where the “x’s” have been placed)

How well did you know this?
1
Not at all
2
3
4
5
Perfectly
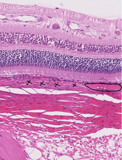
7
Q

Identify the labeled structures:

Yellow = ____

Black = ____

Green “X” = ____

A

Yellow = photo receptors

Black = retinal pigment epithelium

Green “X” = sclera

How well did you know this?
1
Not at all
2
3
4
5
Perfectly
8
Q

Choroidal hypoplasia is a component of which specific canine anomaly?

A

Collie eye anomaly

How well did you know this?
1
Not at all
2
3
4
5
Perfectly
9
Q

What is the definition of hypopyon?

A

Accumulation of purulent exudate in the anterior chamber of the eye

How well did you know this?
1
Not at all
2
3
4
5
Perfectly
10
Q
  1. Name the condition:
  2. How does this differ from other types of uveitis?
A
  1. Acute uveitis
  2. Acute uveitis is characterized by the production of serofibrinous exudate, which accumulates on the surface of the iris and within the anterior chamber
How well did you know this?
1
Not at all
2
3
4
5
Perfectly
11
Q

What is the term for the change that has occurred?

A

Hypopyon

How well did you know this?
1
Not at all
2
3
4
5
Perfectly
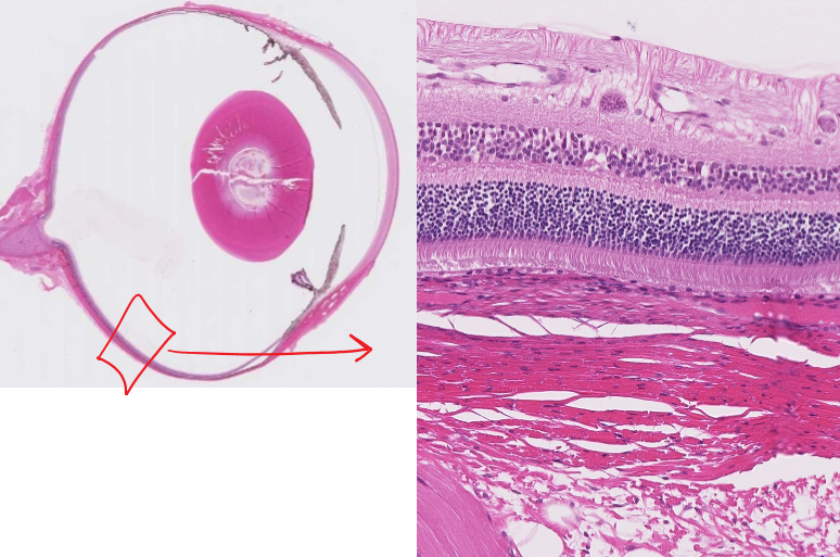
12
Q

What is labeled here?

A.

B.

A

A. Ciliary cleft

B. Anterior chamber

How well did you know this?
1
Not at all
2
3
4
5
Perfectly
13
Q

What is the most common form of uveitis?

A

Anterior uveitis

How well did you know this?
1
Not at all
2
3
4
5
Perfectly
14
Q

Anterior uveitis is the inflammation of the ____ and +/- the ____ ____.

A

Anterior uveitis is the inflammation of the iris and +/- the ciliary body

How well did you know this?
1
Not at all
2
3
4
5
Perfectly
15
Q

Anterior uveitis is a common cause of which type of glaucoma?

A

Secondary glaucoma

How well did you know this?
1
Not at all
2
3
4
5
Perfectly
16
Q

Based on the changes present and the cellular infiltrate, what is the name of this condition?

A

Lymphoplasmacytic anterior uveitis

How well did you know this?
1
Not at all
2
3
4
5
Perfectly
17
Q
  1. What major change has occurred here?
  2. What is this a result of?
  3. What type of uveitis does this change cause?
A
  1. Lens rupture
  2. Results from trauma to the lens
  3. Phacoclastic uveitis
How well did you know this?
1
Not at all
2
3
4
5
Perfectly
18
Q

This is a FIP (feline infectious peritonitis) positive cat.

  1. Knowing that information, what might you consider as a diagnosis here?
  2. Where does the exudate accumulate in this condition?
A
  1. Pyogranulomatous uveitis
  2. Exudate accumulates around blood vessels in the uvea
How well did you know this?
1
Not at all
2
3
4
5
Perfectly
19
Q

What does PIFM stand for?

A

Preiridial Fibrovascular Membrane

How well did you know this?
1
Not at all
2
3
4
5
Perfectly
20
Q

What is anterior synechia?

A

Adhesion of the IRIS to the CORNEA

How well did you know this?
1
Not at all
2
3
4
5
Perfectly
21
Q

What is posterior synechia?

A

Adhesion of the IRIS to the LENS CAPSULE

How well did you know this?
1
Not at all
2
3
4
5
Perfectly
22
Q

What is entropion uveae?

A

INWARD contraction of the pupillary margin

( eyelid rolls in )

How well did you know this?
1
Not at all
2
3
4
5
Perfectly
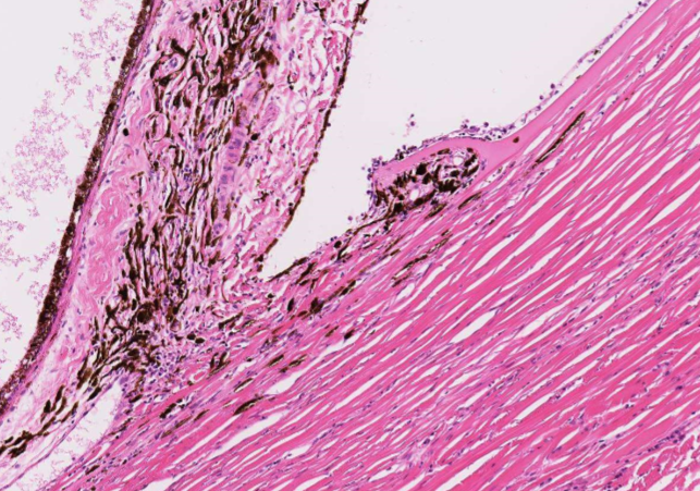
23
Q

What is ectropion uveae?

A

OUTWARD contraction of the pupillary margin

( eyelid rolls out )

How well did you know this?
1
Not at all
2
3
4
5
Perfectly
24
Q

What is this condition called?

A

Anterior synechia

(Iris adhered to the cornea)

How well did you know this?
1
Not at all
2
3
4
5
Perfectly
25
What are the BIG 3 intraocular neoplasms originating from the uvea?
1. Melanoma 2. Ciliary body adenoma or carcinoma 1. Lymphosarcoma 2.
26
1. From where do ciliary body epithelial tumors originate? 2. Are these tumors more often benign or malignant?
1. Originate from the epithelium that covers the ciliary body 1. More often BENIGN
27
Uveal neoplasms are prone to _____ as they enlarge and may contribute to the production of a \_\_\_\_.
Uveal neoplasms are prone to **_hemorrhage_** as they enlarge and may contribute to the production of a **_PIFM_ (preiridial fibrovascular membrane).**
28
What is the term used for a proliferation of fibrovascular tissue on the anterior surface of the iris?
Preiridial fibrovascular membrane AKA rubeosis iridis
29
What are the 4 causes of intra-ocular hemorrhage?
1. Trauma 2. Inflammation 3. Hypertensive vasculopathy 4. Neoplasia
30
True of False: Hypertensive vasculopathy may result in detached retina.
TRUE
31
True or False: Neoplasms cause hemorrhage and PIFM formation, but retinal detachment is not observed.
FALSE Neoplasms, trauma, inflammation, and hypertensive vasculopathy are all causes of intra-ocular hemorrhage, and intra-ocular hemorrhage can ultimately result in retinal detachment.
32
1. 2. 3.
1. Preiridial fibrovascular membrane 2. Fibroblast 3. Blood vessel
33
Preiridial fibrovascular membranes form on the ____ side of the \_\_\_\_.
Preiridial fibrovascular membranes form on the **_anterior_** surface of the **_iris_**.
34
What is your diagnosis?
Uveal melanoma
35
1. How would you describe this cellular infiltrate? 2. What is your diagnosis?
1. Large, heavily pigmented neoplastic melanyocytes 2. Diffuse iris melanoma
36
What is your diagnosis?
Ciliary body neoplasm
37
What are the 2 causes of retinal dysplasia?
1. Genetic 2. Viral infection (during development; BVD for example)
38
How does a viral infection during development lead to retinal dysplasia?
Infection affects neural tissue, affecting the eye and brain by association
39
What might cause retinal degeneration / atrophy? (There are 7)
1. Ischemia 2. Glaucoma 3. Nutritional deficiencies 4. Drugs 5. Genetics 6. Inflammation 7. Detachment
40
Retinal degeneration usually manifests as the loss of one or more of what?
The neuronal components
41
There are multiple abnormalities with this specimen: What are your diagnoses?
Yellow = Retinal dysplasia and detachment Green = Microphakia
42
Which 2 types of cells are typically characteristic of infiltrates associated with retinitis?
Lymphocytes Plasma cells
43
1. What does SARDS stand for? 2. What type of cells are degenerated in this condition?
1. Sudden Acquired Retinal Degeneration 2. Photoreceptors & possibly outer nuclear cell layers
44
What condition is the "opposite" of SARDS in terms of cell degeneration?
Glaucoma
45
What are the labeled areas: Yellow? Red? Black?
Yellow = inner nucelar layer Red = outer nuclear layer Black = retinal pigmental epithelium
46
Which structures are labeled here? Red = \_\_\_\_ Yellow = \_\_\_\_
Red = retina Yellow = ganglion cell
47
What is the name of this condition?
Sudden acquired retinal degeneration
48
Labeled structures: Yellow = \_\_\_\_ Red = \_\_\_\_
Yellow = outer nuclear layer Red = photoreceptor cells
49
What is the name of this condition?
Glaucoma
50
1. What is the name of this condition? 2. What is an accurate description of the cellularity?
1. Retinal atrophy 2. Hypocellular
51
What might cause retinal detachment? | (3 causes)
1. Hemorrhage 2. Transudate from hypertensive vasculopathy 3. Exudate
52
True or False: 1. Retinal detachment involves retinal separating from the retinal pigment epithelium 2. In combination with retinal detachment, retinal pigment epithelium will often hypertrophy
1. True 2. True
53
What change has occurred here?
Retinal detachment
54
1. Where is the retina attached within the globe? 2. How is the retina held into place elsewhere?
1. Optic nerve & where it interacts with the ciliary body 2. Held in place by the vitreous body
55
True of False: Microphakia is a genetic disorder
FALSE Microphakia is a congenital defect
56
What is microphakia?
Small, underdeveloped lens
57
What are 3 specific causes of cataracts?
1. Congenital 2. Aging 3. Diabetes mellitus
58
Explain the pathogenesis of diabetes mellitus leading to development of cataracts.
Diabetes mellitus = hyperglycemia --\> glucose gets into cells --\> glucose converted into sorbitol --\> sorbitol pulls fluid in --\> causes swelling and opacity of the lens
59
What are the 4 reactions of the lens to injury?
1. Microphakia 2. Cataract 3. Nuclear sclerosis 4. Phacitis
60
What is your diagnosis?
Bilateral glaucoma
61
This is a picture of a cataract histologically; what are the labeled structures: A? B?
A = swollen cortical fibers B = fragmented cortical fibers
62
How might the retinal react to injury? | (4 ways)
1. Dysplasia 2. Inflammation 3. Degeneration/atrophy 4. Detachment
63