Tumörpatologi är det jobb som patologen får när hen får en remis med frågan om det är cancer, patologen får ett vävnadsprov och ska ta ställning till
ska ta ställning till om det nns en tumör, är den då malign, hur grov (malignitetsgrad), var kommer den ifrån, och viktigast för patienten: hur ser prognosen ut (tumörens stadium).
När frågeställningen cancer dyker upp tas patienten igenom era tester för att bedöma saken, vilka?
man utför kliniska, radiologiska och laborativa unders ökningar men den absolut bästa är cell/vävnadsundersökningar. Att ta en biopsi från den relevanta vävnaden och titta på den under ett mikroskop är guldstandarden för bedömningen av cancer, alla andra avancerade analytiska metoder vi har är hjälpmedel: all cancer bekräftas genom mikroskopet. Självklart används histologiska färgningar, immunohistokemi är också en väldigt vanlig metod som används, men i slutändan sker bedömningen genom patologens mikroskop och där kan hen bedöma tumörens typ (ursprung fenotyp), malignitetsgrad (benign/malign) och stadium (in situ/invasiv).
Fördelar med paraffin?
De vävnadsprover som tas förvaras sen i paran som har en sekel-lång hållbarhet eller kan frysas ned och bevarad i -70 grader celsius är provet lagrad ca 20 år. Med paran kan man fortfarande titta på prover från 1940 och kvaliteten är den bästa, det är standard för nästan hela världen. Nackdelen är att det tar minst en arbetsdag att få svar då xeringstiden är lång och molekyler degraderas så DNA, RNA och proteinprover blir dåliga.
Fördelar nackdelar frysfixering?
Med frys-xering är hållbarheten mindre likaså kvalitén på den histologiska bilden men alla molekyler blir perfekt bevarade och xeringstiden är minimal kanske någon timme för den totala processen.
Som sagt får patologen ett vävnadsprov med en frågeställning om det är cancer, då brukar det ingå specika frågor såsom?
Cancerfrågeställning Tumörtyp Primärtumör eller metastas eller recidiv2 Tumörens grad och stadie Specika tumöregenskaper
Det absolut vanligaste tecknet på att en vävnad är neoplastisk och på vägen till en cancer är att är
cellerna är utspridda som en matta och utan någon ordning
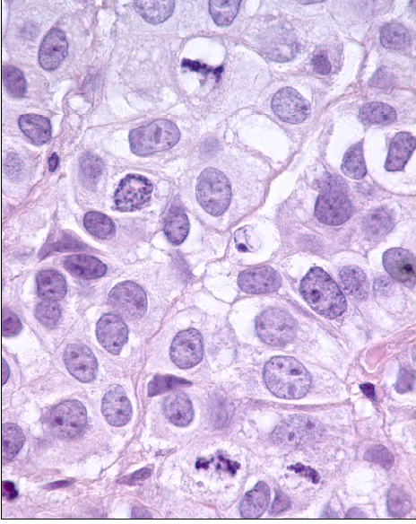
På cellulär nivå tittar man istället på en cell och letar efter cellatypi, det har tre kännetecken:
1) en förstorad cellkärna i förhållande till cytoplasman, 2) en oregelbunden kärna, 3) mörkf ärgade zoner där kromatinisering ökat.
Figur 3.15: Observera de förstorade
kärnorna med mörka prickar, två tecken
på cellatypi

Hur synss det att en tumör är benign?
Tittar vi på en basalcellspapillom (en typ av hudäck) med frågeställningen
om det är malignt [se gur 3.16] tar man ett vävnadssnitt3 som man sedan
tittar på och då det är ett papillom ser vi självklart ett hudlager större än
hos resten av huden. Tittar vi på cellerna syns det även att de följer samma
mönster som övriga hudceller och är en stark indikator på att papillomet är
benign.
Figur 3.16: T.v. En brun äck på huden har en kraftig dysplasi större än
resten av huden men T.h. ser vi att cellerna i hudäcken har samma ordning
som friska celler och är därför benigna

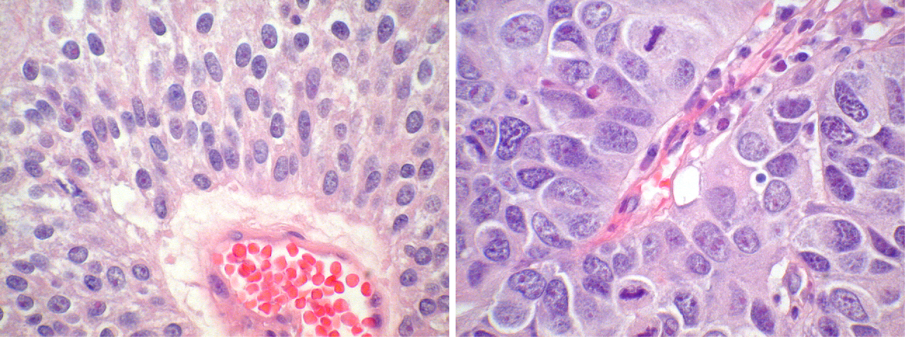
Beskriv En neoplasi,
Jämför detta med en mera utvecklad dysplasi som blir till en neoplasi och
sedan cancer. En neoplasi, eller en grov dysplasi, är samma sak som en cancer
in situ [se gur 3.17 T.v.] och kännetecknas av en mera utbred cellatypi och
ostrukturerade vävnader men det påminner fortfarande om hudepitel. När en
neoplasi utvecklats till en fullbordig cancer [se gur 3.17 T.h.] är detta dock
förvärrat och cellerna är helt atypiska och vävnaden påminner inte längre om
hud, inammation kan också förekomma och blodkärl är mer frekventa.
Vid grov dysplasi fårvi cancer in situ dvs cancer börjar
utvecklas och det syns på cellatypi och vävnadsatypi. T.h. har vi en utvecklad
skivepitelscancer, observera inammatoriska celler och en avsaknad av den
struktur som sågs hos föregående bilder

En viktig aspekt av patologens jobb är att avgöra varifrån cancercellerna
kom och vad för fenotyp de har. att bestämma cancerns ursprung är väldigt
viktigt för att avgöra om
avgöra om man hittade primärtumören eller en metastas och
fenotypen för att det hjälper en att bestämma vilken celltyp som blev cancerogen.
Till exempel kan vi hitta en tumör i lungan och det är en sekundärtumör
från körtelceller i prostatan, dvs en metastaserad prostatacancer.
Majoriteten
av alla cancerformer har ?? som fenotyp
körtel som fenotyp, så majoriteten cancrar är
körtelcancrar (e.d. adenocancer).
För att avgöra var en tumör kommer ifrån använder man sig ofta av.
beskriv det:
För att avgöra var en tumör kommer ifrån använder man sig ofta av
immunhistokemi, där man har några markörer för specika vävnader [se
gur 3.18] kan man testa en tumör för att se om dess celler kommer från
nervceller, muskelceller, celler i prostata mm.
Immunhistokemi kan även användas för att se efter cancerogena förändringar
celler som skulle tyda på att något är fel. Exempelvis om man har en
hudäck och det är histologiskt svårt att urskilja om den är malign (melanom)
eller benign kan man färga den [se gur 3.19] immunhistokemiskt för
protein Ki67, en markör som tyder på aktiv proliferation.
Förekomsten av särskilda proteiner kan även användas för att:
förutspå
eektiviteten för olika behandlingar. Om vi tar bröstcancer som exempel kan cancercellerna överuttrycka antingen östrogenreceptorer eller progesteronreceptorer,
det kan undersökas immunhistokemiskt och avgöra ifall man ska
använda sig av östrogen-riktad eller progesteron-riktad terapi.
Beskriv tumörstadium och tre egenskaper som man tittar på.
För att kunna ge en
god prognos måste vi därför kunna bedöma cancerns tumörstadium, dvs
vi måste kunna räkna ut hur långt en cancer har utvecklats.
Det nns tre egenskaper som man tittar på hos en tumör när man bedömer dess stadium, dessa är
Beskriv TNMklassi
cering.
Primärtumören får
enheten T0-T4 där T0 är ingen tum
ör och ju värre invasion desto högre
sira får den, lymfogen metastasering
klassas med NX, N1 och N2 där
NX är opåvisad metastasering och
N1 är påvisad metastasering (N2 är
när era lymfknutor drabbats), och
hematogen spridning med MX-M1
där MX är opåvisad metastas, M0 är
bekräftad ingen metastas och M1 är
bekräftad metastas. Om en patient
får bedömningen M1 har hen sannolikt
även N1 då lokala lymfkärl blir
i praktiken alltid drabbade innan en
värre metastasering.

primärtumören kan bedömas i mera detalj och få benämningen
Tis
vilket är cancer in situ eller Ta som är papillärt växande cancer dvs att cancern
växer som et utskott.
Hur får tumören sina graderingar efter?
För att en tumör ska få graderingen T1 ska den ha
passerat basalmembranet och rört sig in i submucosan. Därefter får den graden
T2 om den passerat submucosan och börjar gå in i muskellagret. Sen kan
man få graden T3a eler T3b beroende på om tumören har passerat delvist
eller helt genom muskellagret. Sen får man graden T4a eller T4b beroende
på hur långt in i resten av den underliggande vävnaden tumören tar sig.
Den bedömning patologen ger med TNM-systemet korrelerar starkt med
överlevnadsprognosen, t.ex. kan man använda TNM-systemet för att dela
coloncancer i fyra stadier. Överlevnadsprognosen för fem år kan då variera
kraftigt,
Malignitetsgradering? vad bedömer man efter?
Malignitetsgradering
är ett sätt att bedöma en tumörs tendens till att utveckla cancer och bygger
framför allt på tumörens histologiska morfologi.
De egenskaper som en patolog bedömer är
Tumörens dierentieringsgrad
Tumörens morfologi - både vävnadsatypi och cellatypi
Tumörens tillväxt, om den visar tecken på att vara invasiv
Tumöregenskaper - såsom nekroser eller angiogenes
?? spelar alltid en roll för tumörens aggressivitet
Dierentieringsgrad spelar alltid en roll för tumörens aggressivitet, som vi
har upprepat kännetecknas maligna tumörer av att vara lågt dierentierade
(e.g. närmare stamcell än nervcell) och det känns igen på att odierentierade
celler saknar regelbundenhet, blir atypiska och bildar ingen ordentlig vävnad.
Detta är inge en binär bedömning utan det är en gråskala från hög till låg
dierentieringsgrad.
Figur
Figur 3.21: T.v. syns en tumör med hög dierentieringsgrad, cellerna ser
likadana och regelbundna och följer ett mönster. T.h. syns motsatsen, en
lågt dierentierad tumör där cellerna har unik morfologi och cellen är lite
atypiskt

Vad är Gleasons graderingssystem
Tumörer från prostatan bedöms enligt Gleasons graderingssystem
som har en visuell och en deskriptiv förklaring för hur malign en prostatatum
ör är. Systemet bygger på 5 grader av morfologi från vanlig prostatavävnad
till en tumör med tydlig angiogenes och cellatypi, bedömningen görs genom
att välja två grader som man känner att ens prov stämmer in på och summera
dem (e.g. grader 4 + 5 eller 3 + 3) så man får en sira ‘GSx’ som ligger
mellan 2 och 10 där 10 är mest malign.
Ställer man diagnoser med Gleasons system mot överlevnaden över tid ser
man att mellan GS6 och GS7 händer något och prognosen sjunker rejält, har
man en GS6 eller mindre så har en man med prostatacancer goda (över 80%)
chanser att leva 10 år efter diagnosen och sannolikt längre än så. Har man
dock en GS7 ellerh högre är dödligheten mycket högre och 5-årsprognosen är
50% för de med GS7, de med GS9 och GS10 har ännu sämre chanser.
Beskriv Nottinghammodellen, även kallad Elston-
Ellis graderingssystem.
För bröstcancer använder man Nottinghammodellen, även kallad Elston-
Ellis graderingssystem. Det här systemet bedömer tre egenskaper hos en
brösttumör och ger varje 1-3 poäng och sedan summeras allt till ett tal mellan
3-9 poäng. Beroende på tal hamnar tumören i grad I (3-5p), II (6-7p)
eller III (8-9p).
De tre egenskaper som man bedömer är den tubulära strukturen,
cellulär atypi, och mitosfrekvensen. För varje egenskap och poänggivning
nns det då en metod för att bestämma hur många poäng en tumör ska få.
Vad är Molekylärpatologi
Molekylärpatologi är för närvarande framför allt användandet av molekylanalys
för att se unika egenskaper hos celler, deras proteiner, genom och dess
byggstenar. Molekylanalyser bygger på t.ex. FISH för att kunna uttala sig
om cellers egenskaper på molekylnivå och har varit mycket användbart för
att kunna se små skillnader mellan olika cancercellers utveckling. Idag har
man även försökt använda dessa metoder för att identiera unika proteiner
på cancerceller som kan vara måltavlor för en riktad behandling .
Det man har upptäckt är att cancerceller?
Det man har upptäckt är att cancerceller uttrycker proteiner samma proteiner
som nns på andra kroppsegna celler men de är ofta muterade med
små förändringar som gör att de sticker ut i både funktion och detektion.
Framför allt är det tyrosinkinasreceptorer som utgör dessa muterade proteiner,
det är inte konstigt då majoriteten av de signalvägar som stimulerar
celltillväxt bygger på TKR. TKR på cancerceller har ofta mutationer som
gör att de blir överaktiva eller permanent aktiva och det kan vi nu urskilja
från normalt fungerande TKR. Genom att inhibera specikt dessa muterade
proteiner kan man sänka cancerns utveckling och göra en riktad behandling
med mycket mindre bieekter.
Ett av de första läkemedlen som riktade sig till muterade proteiner var?
Ett av de första läkemedlen som riktade sig till muterade proteiner var glivec,
en TKR-hämmare specik för GIST.