Diagnosing Flashcards

(44 cards)

1
Q

What is the correct order for choosing a diagnosis from an X-ray?

A
  • Restorability → Location of disease (apical/marginal/total)
    → Acute vs chronic → Prognosis → Treatment decision
How well did you know this?
1
Not at all
2
3
4
5
Perfectly
2
Q

Deep caries destroying the crown to bone level on X-ray – diagnosis?

A
  • Caries dentis profunda non restaurabilis
  • (deep non-restorable caries). Treatment: Extraction
How well did you know this?
1
Not at all
2
3
4
5
Perfectly
3
Q

Irreparable crown fracture on X-ray – diagnosis?

A
  • Fractura coronae dentis irreparabilis
  • (irreparable crown fracture).
  • Treatment: Extraction
How well did you know this?
1
Not at all
2
3
4
5
Perfectly
4
Q

Vertical root fracture on X-ray – diagnosis?

A
  • Fractura verticalis radicis dentis (vertical root fracture).
  • Treatment: Extraction
How well did you know this?
1
Not at all
2
3
4
5
Perfectly
5
Q

Widened apical PDL with pain but no clear radiolucency – diagnosis?

A
  • Periodontitis periapicalis acuta serosa
  • (acute serous apical periodontitis).
  • Treatment: RCT or extraction
How well did you know this?
1
Not at all
2
3
4
5
Perfectly
6
Q

Ill-defined apical radiolucency with severe pain and swelling – diagnosis?

A
  • Periodontitis periapicalis acuta purulenta
  • (acute purulent apical periodontitis).
  • Treatment: Drainage + RCT or extraction
How well did you know this?
1
Not at all
2
3
4
5
Perfectly
7
Q

Well-defined apical radiolucency with loss of lamina dura – diagnosis?

A
  • Periodontitis periapicalis chronica granulomatosa
  • (chronic granulomatous apical periodontitis).
  • Treatment: RCT or extraction
How well did you know this?
1
Not at all
2
3
4
5
Perfectly
8
Q

Diffuse poorly confined apical radiolucency extending beyond the apex – diagnosis?

A
  • Periodontitis periapicalis chronica granulomatosa diffusa
  • (diffuse chronic granulomatous apical periodontitis).
  • Treatment: RCT or extraction
How well did you know this?
1
Not at all
2
3
4
5
Perfectly
9
Q

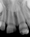
Small localised apical radiolucency confined to the apex – diagnosis?

A
  • Periodontitis periapicalis chronica granulomatosa localisata
  • (localised chronic granulomatous apical periodontitis).
  • Treatment: RCT or extraction
How well did you know this?
1
Not at all
2
3
4
5
Perfectly
10
Q

Minimal apical radiolucency with fibrotic/sclerotic changes and long history – diagnosis?

A
  • Periodontitis periapicalis chronica fibrosa
  • (chronic fibrous apical periodontitis).
  • Treatment: Observation or RCT
How well did you know this?
1
Not at all
2
3
4
5
Perfectly
11
Q

Apical radiolucency with sinus tract marker leading to apex – diagnosis?

A
  • Periodontitis periapicalis chronica cum fistula
  • (chronic apical periodontitis with fistula).
  • Treatment: RCT or extraction
How well did you know this?
1
Not at all
2
3
4
5
Perfectly
12
Q

Acute painful apical pus collection – diagnosis?

A
  • Abscessus periapicalis acutus
  • (acute periapical abscess).
  • Treatment: Drainage + RCT or extraction
How well did you know this?
1
Not at all
2
3
4
5
Perfectly
13
Q

Long-standing apical abscess with minimal symptoms – diagnosis?

A
  • Abscessus periapicalis chronicus
  • (chronic periapical abscess).
  • Treatment: RCT or extraction
How well did you know this?
1
Not at all
2
3
4
5
Perfectly
14
Q

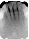
Horizontal bone loss with intact apex – diagnosis?

A
  • Periodontitis chronica
  • (chronic periodontitis).
  • Treatment: Periodontal therapy
How well did you know this?
1
Not at all
2
3
4
5
Perfectly
15
Q

Severe generalised bone loss with marked mobility – diagnosis?

A
  • Periodontitis chronica gravis
  • (advanced chronic periodontitis).
  • Treatment: Extraction
How well did you know this?
1
Not at all
2
3
4
5
Perfectly
16
Q

Vertical marginal bone loss adjacent to root – diagnosis?

A
  • Periodontitis marginalis chronica
  • (chronic marginal periodontitis).
  • Treatment: Periodontal therapy or extraction
How well did you know this?
1
Not at all
2
3
4
5
Perfectly
17
Q

Acute marginal inflammation with suppuration – diagnosis?

A
  • Periodontitis marginalis acuta purulenta
  • (acute purulent marginal periodontitis).
  • Treatment: Drainage ± extraction
How well did you know this?
1
Not at all
2
3
4
5
Perfectly
18
Q

Localised periodontal pus collection – diagnosis?

A
  • Abscessus parodontalis (periodontal abscess).
  • Treatment: Drainage or extraction
19
Q

Marginal bone loss AND apical radiolucency affecting same tooth – diagnosis?

A
  • Laesio endodontico-parodontica (endo-periodontal lesion).
  • Treatment: Prognosis-dependent
20
Q

X-ray shows widened PDL around entire root with marginal and apical involvement – diagnosis?

A
  • Periodontitis totalis acuta (acute total periodontitis).
  • Treatment: Extraction
21
Q

Impacted tooth visible on X-ray – diagnosis?

A
  • Dens inclusus (impacted tooth).
  • Treatment: Surgical extraction
22
Q

Partially erupted tooth with recurrent infection – diagnosis?

A
  • Dens semi-inclusus cum pericoronitide
  • (partially erupted tooth with pericoronitis).
  • Treatment: Extraction
23
Q

Poorly filled root canal with persistent apical pathology – diagnosis?

A
  • Therapia endodontica defectiva
  • (failed endodontic treatment).
  • Treatment: Retreatment or extraction
24
Q

Failed root canal that cannot be retreated – diagnosis?

A
  • Therapia endodontica defectiva irreparabilis
  • (non-retreatable failed endodontic treatment).
  • Treatment: Extraction
25
What is the safest exam answer structure when shown an X-ray?
Describe radiographic findings → Name one defensible diagnosis (Latin + English) → Justify treatment based on prognosis
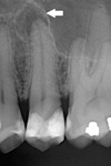
26
* Periodontitis periapicalis chronica granulomatosa * (Chronic granulomatous apical periodontitis) → Well-defined apical radiolucency, loss of lamina dura
27
* Periodontitis periapicalis acuta serosa * (Acute serous apical periodontitis) → Widened apical PDL, little/no radiolucency
28
* Abscessus periapicalis acutus * (Acute periapical abscess) → Ill-defined apical radiolucency, aggressive bone loss
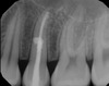
29
* Periodontitis periapicalis chronica cum fistula * (Chronic apical periodontitis with fistula) → Gutta-percha point tracing to apex
30
* Periodontitis periapicalis chronica granulomatosa localisata * (Localised chronic granulomatous apical periodontitis) → Small, confined apical radiolucency
31
* Periodontitis periapicalis chronica granulomatosa diffusa * (Diffuse chronic granulomatous apical periodontitis) → Spread beyond apex, poorly confined margins
32
* Periodontitis periapicalis chronica fibrosa * (Chronic fibrous apical periodontitis) → Minimal radiolucency, sclerosis
33
* Periodontitis chronica * (Chronic periodontitis) → Horizontal bone loss, apex normal
34
* Periodontitis marginalis chronica * (Chronic marginal periodontitis) → Vertical/angular bone loss
35
* Abscessus parodontalis * (Periodontal abscess) → Localised lateral bone defect
36
* Periodontitis chronica gravis * (Advanced chronic periodontitis) → Severe bone loss ± furcation involvement
37
* Laesio endodontico-parodontica * (Endo-periodontal lesion) → Marginal bone loss + apical radiolucency communicating
38
* Periodontitis totalis acuta ⭐ * (Acute total periodontitis) → Widened PDL around entire root + marginal & apical destruction
39
* Caries dentis profunda non restaurabilis * (Deep non-restorable caries) → Crown destroyed to bone level
40
* Fractura verticalis radicis dentis * (Vertical root fracture) → J-shaped radiolucency
41
* Fractura coronae dentis irreparabilis * (Irreparable crown fracture)
42
* Dens inclusus * (Impacted tooth)
43
* Dens semi-inclusus cum pericoronitide * (Partially erupted tooth with pericoronitis)
44
* Dens supernumerarius * (Supernumerary tooth)