Hemato e Cardio Flashcards

(104 cards)

1
Q

Qual o tipo de mutação que acontece na anemia falciforme?

A

Herança autossômica dominante em homozigose (somente HbS)»_space; Mutação do gene que decodifica cadeia geme da hemoglobina.

How well did you know this?
1
Not at all
2
3
4
5
Perfectly
2
Q

Qual fisiopatologia da anemia falciforme?

A

Venooclusao!

Troca da base nitrogenada timina por adenina»_space; troca o ácido glutâmico pela valina»_space; polimerização em condições de desoxigenação»_space; hemácias falcizadas»_space; bloqueio de fluxo sanguíneo»_space; hemólise intravascular

Estresse oxidativo consome NO»_space; vasoconstrição local»_space; ativação de plaquetas»_space; vasoclusao pulmonar

How well did you know this?
1
Not at all
2
3
4
5
Perfectly
3
Q

Em quais momentos da infância podemos fazer o DG de anemia falciforme?

A
  • FETAL: amniocentese
  • NEONATAL: triagem - teste do Pezinho
  • CRIANÇAS: eletroforese de Hb
How well did you know this?
1
Not at all
2
3
4
5
Perfectly
4
Q

Quais são as complicações agudas da criança com anemia falciforme?

A
  • crise álgica
  • infecções
  • STA (síndrome torácica aguda)
  • crise aplasica
  • sequestro esplênico
  • acidente vascular cerebral
  • priapismo
How well did you know this?
1
Not at all
2
3
4
5
Perfectly
5
Q

Crise álgica - desencadeantes? Locais principais de dor? Manejo?

A

DESENCADEANTES: infecção, frio, desidratação, hipoxemia, estresse;

LOCAIS DA DOR: extremidades, tórax, lombar

MANEJO:
- opioide (Morfina) + analgésico
- AINE: se não tiver proteinúria ou função renal comprometida
- hidratação oral ou EV se estiver desidratado, não devemos hiperidratar.

How well did you know this?
1
Not at all
2
3
4
5
Perfectly
6
Q

Qual a principal bactéria associada a infecções em pacientes com anemia falciforme? Qual a razão fisiopatológica? Medidas preventivas para a infecção? Conduta de exames e Tratamento diante de infecção?

A
  • S.pneumoniae
  • Asplenia funcional no primeiro ano de vida»_space; baixa defesa para patógenos encapsulados
  • PREVENÇÃO:
  • vacinação pneumo 13 e reforço com pneumo 23 (com 2 e 5 anos)
  • vacinação influenza anual
  • Penicilina/ Amoxicilina ate os 5 anos ou por 2 anos após realizar esplenectomia

Exames e TRATAMENTO:
Paciente com FEBRE + anemia falciforme, solicitar:
Hmg, culturas, PCR, Raio X, LCR

TRATAMENTO:
- internar OU
- avaliar DIARIAMENTE em hospital até resultado final de culturas (BEG, exames normais)
- CEFTRIAXONA EV ou IM

How well did you know this?
1
Not at all
2
3
4
5
Perfectly
7
Q

Diagnóstico de Síndrome Torácica Aguda? Tratamento?

A

Febre, dor torácica ou sinais e sintomas de comprometimento pulmonar (taquipneia, tosse, dispneia) + raio x com presença de infiltrado pulmonar

TRATAMENTO:
- oxigenioterapia + fisio respiratória
- analgesia
- CEFTRIAXONA + MACROLIDEO
- Oseltamivir
- broncodilatador

Se mantiver hipoxemia:
Considerar TRANSFUSÃO SANGUÍNEA se Hb < 8 ou EXSANGUINEOTRANSFUSAO se Hb>8

How well did you know this?
1
Not at all
2
3
4
5
Perfectly
8
Q

QC da crise Aplasica na anemia falciforme? Conduta? Causa?

A
  • Queda de Hb
  • palidez
  • redução de reticulocitos

ETIOLOGIA: quadro viral - Parvovirus B19

Não requer tratamento especifico

How well did you know this?
1
Not at all
2
3
4
5
Perfectly
9
Q

Quadro clinico do sequestro esplênico? Por que ocorre? Tratamento?

A

QC:
- esplenomegalia dolorosa
- sintomas de hipovolemia pela retenção de sangue
- queda abrupta de Hb
- aumento de reticulocitos
- palidez, sem icterícia

TRATAMENTO:
- agudo: TRANSFUSÃO cautelosa
- crônico: programar esplenectomia

How well did you know this?
1
Not at all
2
3
4
5
Perfectly
10
Q

Acidente Vascular cerebral em pacientes com anemia falciforme - qual o manejo e a profilaxia/screening?

A

MANEJO
- estabilização
- TRANSFUSÃO se Hb <8 e EXSANGUINEO se Hb>8 com objetivo de manter HbS<30%

SCREENING
USG com Doppler transcraniano 1x ano - entre 2 e 16 anos de idade

SE NECESSÁRIO A PARTIR DO SCREENING»_space; PROFILAXIA
- essa mesma transfusão ou exsanguineo só que crônica, com o objetivo de manter HbS < 30%

How well did you know this?
1
Not at all
2
3
4
5
Perfectly
11
Q

Manejo do priapismo no individuo com anemia falciforme?

A

Manejo URGENTE
- hidratação
- analgesia
- exsanguineo»_space; diminuir HbS
- injeção de Agonista alfa adrenergico em corpo cavernoso

How well did you know this?
1
Not at all
2
3
4
5
Perfectly
12
Q

Quais são as complicações crônicas da anemia falciforme?

A
  • atraso puberal, do DNPM e comprometimento escolar
  • hipertrofia de VE e cardiomegalia (pelo aumento do DC)
  • hipertensão pulmonar
  • renais: hematuria, poluiria
  • ocular: retinopatia falciforme não proliferativa ou proliferativa; glaucoma obstrutivo; hifema
  • ulceras de pele devido a insuficiência venosa
How well did you know this?
1
Not at all
2
3
4
5
Perfectly
13
Q

Qual deve ser o seguimento ambulatorial no paciente com anemia falciforme? Quais exames devem ser solicitados?

A
  • Enzimas hepáticas, função renal, ácido úrico e beta HCG a cada 3 meses, se uso de Hidroxiureia
  • proteinúria e eletrofone de Hb: 1x/ano
  • Eco e Doppler transcraniano: 1x/ano
  • Raio x de coluna/quadril + densitometria óssea: 1x/ano
  • USG de abdome: 1x/ano
  • Fundo de olho: 1x/ano
  • Ferrina: 1x/ano
  • proteinúria 24h - 1x/ano
How well did you know this?
1
Not at all
2
3
4
5
Perfectly
14
Q

Quais são as terapias que mudam o curso da anemia falciforme?

A
  • vacinas de pneumo 13 + reforço com pneumo 23 + influenza anual
  • profilaxia com penicilina (3 meses ate 5 anos) ou ate 2 anos após esplenectomia
  • hidroxiureia
  • transfusão de hemácias
  • transplanta de células tronco hematopoiéticas (único tratamento curativo)
How well did you know this?
1
Not at all
2
3
4
5
Perfectly
15
Q

Quais são os critérios de indicação da Hidroxiureia?

A

TODOS ABAIXO:
- >3 anos (>9 meses em casos de dactilite antes de 1 anos ou hb<7 ou leuco>20.000, sendo essas 3x fora de evento agudo)
- Beta HCG negativo para mulheres em idade fértil
- usar anticoncepcional ou outro método se mulher em idade reprodutiva

+ 1 dos ABAIXO:
- incapacidade produtiva no trabalho ou escola
- >2 crises algicas
- >1 evento de STA
- sat persistente <94%
- lesão de órgão alvo (complicações)
- Hb<7 (media de 3 valores fora de evento agudo)
- DHL 2x acima da normalidade
- Ecodoppler transcraniano alterado (>160)

How well did you know this?
1
Not at all
2
3
4
5
Perfectly
16
Q

Indicações da transfusão crônica na anemia falciforme?

A
  • profilaxia primaria ou secundaria quando Doppler transcraniano velocidade >200
  • AVC já ocorrido
  • complicações graves de órgão alvo
  • intolerância a hidroxiureia
How well did you know this?
1
Not at all
2
3
4
5
Perfectly
17
Q

Indicações do transplante de medula óssea na anemia falciforme? Qual tipo de transplante?

A
  • ALOGÊNICO aparentado de doador família HLA idêntico

INDICAÇÕES:
- doença falciforme ou beta talassemia + uso de hidroxiureia + 1 das situações a seguir:
- alteração neurologia por AVC
- >2 crises graves vasooclusivas no ultimo ano
- >1 priapismo
- osteonecrose em >1 articulação
- anticorpo em pacientes de hipertransfusao

How well did you know this?
1
Not at all
2
3
4
5
Perfectly
18
Q

Como diagnosticamos hipertensão em criança?

A
  • aferição da PA em 3 ocasiões diferentes para diagnosticar HAS estagio 1 ou em 2
  • PA sistólica ou diastólica >P90= risco de hipertensão
  • > P95 = hipertensão estagio 1
  • > P95+12 = hipertensão estagio 2
How well did you know this?
1
Not at all
2
3
4
5
Perfectly
19
Q

QC da anemia ferropriva em crianças?

A

Palidez
Fadiga
Dispneia
Pica = parorexia
Glossite
Suscetibilidade a infecções
Sd das pernas inquietas
Alopecia
Pele e cabelo secos
Taquicardia
Angina
Disfunção neurocongnitiva
Vertigem

How well did you know this?
1
Not at all
2
3
4
5
Perfectly
20
Q

Quais crianças devem ser investigadas para anemia ferropriva? Quais exames solicitar e achados esperados?

A

TODAS aos 12 meses ou diante de SUSPEITA

Exames:
- HMG
- VCM, HCM, RDW (geralmente hipo/micro)
- Ferritina sérica (depleção de estoque)
- Saturação de Transferrina (MELHOR marcador pois não aumenta com inflamacao)
- Lâmina do sangue: hipocromia/ microcitose/ anisocitose (tamanhos diferentes)/ poiquilocitose (morfologias diferentes)

How well did you know this?
1
Not at all
2
3
4
5
Perfectly
21
Q

Quais são os fatores de risco para anemia ferropriva? Na gestação? Nascimento? Primeiros 90 dias?

A

FATORES DE RISCO:

GESTAÇÃO:
- insuficiência placentária presumida
- DPP
- placenta previa
- má nutricao materna
- falta de suplementação de ferro na gestação

NASCIMENTO
- clampeamento precoce do cordão (<1min)
- necessidade de atendimento imediato do RN

PRIMEIROS 90 DIAS
- ma nutrição materna ou perda sanguínea
- falta de suplementação de Fe na lactação
- mae com Hb<11 ou ferritina <15
- velocidade de crescimento >P90

How well did you know this?
1
Not at all
2
3
4
5
Perfectly
22
Q

Prevenção de anemia - crianças SEM fator de risco/ COM fator de risco;

A

SEM FATOR DE RISCO
RN termo
Peso adequado para a IG
Aleitamento materno exclusivo até 6m
1 mg Fe/kg/dia
Começar com 6 meses e ir ate 2 anos

COM FATOR DE RISCO
RN termo
Peso adequado para a IG
INDEPENDE alimentação
1 mg Fe/kg/dia
Começar com 3 meses e ir ate 2 anos

How well did you know this?
1
Not at all
2
3
4
5
Perfectly
23
Q

Profilaxia anemia ferropriva em RN que nasceu com peso entre 1500-2500? 1500-1000? E <1.000?

A

1.500-2.500:
2mg de Fe/kg/dia
Começar com 30 dias - 1 ano
Depois: 1mg/kg/dia de 1 - 2 anos

1000 - 1.500:
3g de Fe/kg/dia
Começar com 30 dias - 1 ano
Depois: 1mg/kg/dia de 1 - 2 anos

<1.000:
4mg de Fe/kg/dia
Começar com 30 dias - 1 ano
Depois: 1mg/kg/dia de 1 - 2 anos

How well did you know this?
1
Not at all
2
3
4
5
Perfectly
24
Q

Tratamento e avaliação após tratamento da anemia ferropriva?

A

Fe 3-6mg/kg/dia fracionado OU DU
6 meses ou ate normalizar Hb, ferro e sat.transferrina, ferritina (<15)

Avaliação:
1) Hb + reticulócitos 1-2 meses
2) Ferro 2-6 meses; ferritina (<15)

How well did you know this?
1
Not at all
2
3
4
5
Perfectly
25
Qual o resultado normal do teste do Pezinho? Quais são as possbilidades patológicas de falciforme?
NORMAL: FA FALCIFORME: FS TRAÇO FALCIFORME: FAS FALCIFORME + BETA TALASSEMIA: FSA OUTRAS FALCIFORMES: FSC, FSD
26
Cada hemácia tem quantas globinas? Como funciona a composição de cada uma das hemoglobinas possíveis (fisiológica e patológicas)?
26
Qual o problema que ocorre na Hb na talassemia?
O defeito esta na quantidade: - beta talassemia: redução ou ausência de globinas do tipo betas - alfa talassemia: redução ou ausência de globinas do tipo alfas
27
Na BETA-TALASSEMIA, qual a fisiopatologia e repercussões ao individuo? Diferença de MAJOR e MINOR? Como vem na triagem neonatal? E na eletroforese de proteínas a partir dos 6 meses? O individuo vai ter anemia? QC?
MAJOR - homozigose Não produz beta FA ou F0 (Pezinho) / HbA2 elevada ou HbF (eletroforese) Alfas precipitam e formam inclusões na hemácia >> anemia hemolítica QC: anemia micro hipo acentuada Início dos sintomas com 6 meses de vida, quando cai a HbF. MINOR/TRAÇO - heterozigose FA (pezinho) no adulto fica HbA2 (eletroforese) Baixa produção de beta Anemia hipo micro leve ou ate ausente (DD com ferropriva) Assintomático ou palidez, fadiga, dispneia
28
Na ALFA Talassemia qual o problema fisiopatológico? Quais os subtipo? Terão anemia esses 4 ou não? Como vem no teste do pezinho?
Dificuldade na produção de globina alfas, podendo ter 4 quadros diferentes: - 1 gene alfa mutado = portador silencioso (sem sintomas) - 2 genes alfas mutados (FABarts 5-10%) = traço de Alfa-talassemia (anemia leve) - 3 genes mutados = alfa talassemia ( FABarts`s 20-30% - HbH - anemia moderada) - 4 genes mutados = Hidropsia fetal, óbito intrauterino.
29
QC da beta talassemia? E da alfa? E dos traços?
Traços: anemia leve, fadiga, dispneia Beta talassemia MAJOR: anemia hemolítica severa, Palidez, icterícia, irritabilidade, hepatoesplenomegalia, retardo do crescimento, hipogonadismo, infertilidade, fenômenos tromboembolicos (porque afeta a membrana do eritrócito), alterações esqueléticas da face. Doença da HbH (Alfa talassemia): ictericia, palidez, esplenomegalia, litíase, ulceras de perna, alterações osseas
30
DG das talassemias?
- triagem neonatal (pensar que tem fetal) - eletroforese de proteínas (a partir dos 6 meses) - Hmg: anemia - reticulocitos: aumentados (hemólise) 5-10% - provas de hemólise: DHL e BI aumentados e haptoglobina reduzida
31
Qual o tratamento dos traços talassemicos (alfa ou beta)?
Monitorizar apenas. Em casos de piora da anemia (gestação, fase de crescimento): ácido fólico
32
Tratamento das talassemias MAJOR? Principal complicação que precisamos manejar? Como avaliar?
TRANSFUSÃO de concentrado de hemácias desde os primeiros meses de vida - fazer a cada 2-4 semanas - hemácias filtradas e irradiadas - meta de Hb: 9-10,5 Manejar: EXCESSO DE FERRO Triar após 10 transfusões: SE FERRITINA > 1.000 (2 medições em ate 60 dias) >> quelante de Fe
33
Quais órgãos são prejudicados pelo excesso de Fe? Qual exame avalia essa impregnação? Quando deve ser feito na talassemia?
- Fígado, coração - RNM T2* (ESTRELA) - fazer a partir de 10 anos ou de 7 se quelação irregular Outras complicações do Fe em excesso: - endócrinas (hipogonadismo, hipotireoidismo, hipoparatiroidismo, osteoporose, diabetes) - renais (altera TFG) - ICC
34
Quais são os tipos de quelante de Ferro existentes na Talassemia? A partir de quantos anos podem usar?
- Deferasirox: a partir de 2 anos - Deferiprona: a partir de 6 anos - Desferoxamina: não tem idade
35
Hemostasia primaria - QC, fatores envolvidos?
Plaquetas Fator de Von Willebrand QC: - sangramento muco cutâneo - hematomas, petequias - epistaxe - gengivorragia
36
Hemostasia secundaria - fatores envolvidos nas vias? QC?
Via intrínseca: 8,9,11,12 (TPPA) Via extrínseca: 7 (TP) Via comum: 2,5,10 QC: - sangramento tardio e grave após cirurgia, trauma e lacerações - hemartrose - sgto intramuscular
37
Quais são as drogas anticoagulantes usadas na pediatria? Quais fatores cada droga age? Qual exame nos auxiliar a monitorizar cada droga?
38
Qual a definição diagnostica de PTI? Fisiopatologia?
Plaquetopenia ISOLADA <100.000 Pode ter presença de macroplaquetas (são tipo plaquetas imaturas) Sem outros sinais e sintomas Exclusão de outras causas que diminuem plaquetas: infecção, medicações, malignidade. Fisiopatologia: auto anticorpos IgG aderem na plaqueta >> plaqueta passa a ser reconhecida por macrófago >> destruição >> menor contagem de plaquetas circulantes.
39
QC da PTI?
- petequias - hematomas - sangramento cutâneo-mucoso - sgto de SNC é RARO Isso tudo ocorre em criança saudável, com historia de quadro viral ou vacinação recente.
40
Classificação da PTI?
41
Tratamento da PTI? Se tiver falha com a 1a linha? E em situações de emergências?
- OBSERVAÇÃO >> autolimitada! Se plaquetas <20.000 ou sgto grave: - prednisolona 14-21 dias ou metilprednisolona 3 dias ou dexametasona 4-8 dias - imunoglobulina 0,8-1mg/kg 1-2dias - imunoglobulina anti-D (não pode usar em Rh- ou esplenectomizados) 2alinha se tiver falha na 1a: - eltrombopag: agonista do receptor de trombopoetina - esplenectomia - rituximab e imunossupressores (azatioprina, ciclofosfamida, micofenolato) Situações de emergências (sgto SNC, digestivo, geniturinario, respiratório): - transfusão de plaquetas - corticoide em altas doses - imunoglobulina humana
42
Doença de Von Willebrand - qual o QC para DG? Fisiopatologia? É comum?
QC: - epistaxe com duração >10min - sgto de feridas com duração >15min - sgto menstrual exacerbado É o distúrbio de sgto mais frequente. EXAME LABORATORIAL: - TP normal - TPPa alargado ou normal (alarga porque DVW reduz fator 8) - antígenos Von Willebrand - atividade de FvW - Fator 8 - tipagem sanguínea
43
Classificação da doença de Von Willebrand?
44
Tratamento da doença de Von Willebrand?
TIPOS 1 E 2A: - DDAVP (Desmopressina - análogo de vasopressina) 1 spray (<50kg) ou 2 sprays ou subcutâneo (2-3 doses) - ANTI-FIBRINOLITICOS: se sangramento de mucosa Contraindicações: hematuria, cirurgias torácicas, uso de complexo protombinico > ácido tranexamico EV 10mg/kg/dose 8h/8h TIPO 3 OU pacientes que não respondem a DDAVP e estão em perioperatorio - reposição de FVW
45
Quais são os distúrbios de hemostasia secundaria? Quais fatores são envolvidos?
- Hemofilia A: deficiência do fator 8 - Hemofilia B: deficiência do fator 9
46
Como é feita a triagem e o DG efetivo das hemofilias? Como classificar?
- TRIAGEM: TTPA alargado - DG definitivo: dosagem do fator ou teste genético.
47
Tratamento da hemofilia?
LEVE/MODERADA - DDAVP (desmopressina) a cada 12-24h, 2-3 vezes; SANGRAMENTO DE MUCOSA: - antifibrinoliticos (Ácido tranexamico EV 10mg/kg/dose 8h/8h) SE SANGRAMENTO AGUDO - fator de coagulação: 8 ou 9 Baixa resposta: dobrar dose de fator Alta resposta: agente de bypass (CCPA-complexo protombinico ativado - ou fator 7)
48
Como é feito o calculo dos fatores 8 e 9 no tratamento do sangramento agudo por hemofilias?
Hemofilia A: UI de fator 8 = peso x DELTA/2 Hemofilia B: UI de fator 9= peso x DELTA DELTA = %alvo - %basal O alvo vai variar de acordo com sitio do sgto. Sgto grave, como TCE = alvo 100% Se hemofilia basal grave usar basal de 0 Ou seja quantidade de fator geralmente será equivalente a metade do peso
49
Quais os fatores de risco para cardiopatias congênitas? Maternos? HF?
* Maternos; * Diabetes mellitus; * Antecedentes; * História familiar; * Idade materna avançada; * Perdas fetais. * Uso de álcool e tabaco; * Medicações; * Indometacina; * AAS; * Carbamazepina; * Fenitoína; * Ácido valpróico. * Infecções; * Virais e parasitárias. * Artrite reumatoide e LES.
50
Quais são as cardiopatias criticas? E as graves? Principal sinal de cada grupo? Por que (fisiopato)?
As CRÍTICAS apresentam CIANOSE, por ter ou obstrução a direita ou circulação em paralelo. Precisam de resolução em ate 30 dias, As GRAVES apresentam taquipneia pelo hiperfluxo pulmonar (Shunt E >> D, porque vai do local com maior P para menor P), as que precisarem de cirurgia poderão ser feitas em ate 1 ano.
51
Qual o caminho do sangue na circulação fetal?
Caminho do sangue na circulação fetal: - SANGUE OXIGENADO: placenta >> v.umbilical >> cava inferior >> AD >> forame oval >> AE >> VE >> aorta >> primeiros ramos cabeça e MMSS. - SANGUE NÃO OXIGENADO: veia cava superior >> AD >> mistura com sangue que veio da veia cava inferior >> VD >> tronco pulmonar >> como pulmão tem alta resistência >> canal arterial >> aorta (Artéria umbilical volta sangue para placenta)
52
Quando ocorre o fechamento do canal arterial? Por que é importante saber quando ele fecha?
Ocorre por vasoconstrição, cerca de 10-15 horas de vida. Permanente: 2-3 semana. As cardiopatias congênitas criticas pioram o sintoma quando ocorre o fechamento fisiológico do canal arterial, pois elas são dependentes dele.
53
Quais as características em comum das cardiopatias congênitas graves? Como diferenciar? Quais exames são complementares? Achados deles?
- taquipneia - hipertensão pulmonar - teste do coraçãozinho normal - sopro Diferenciar: - local do sopro - idade do RN Exames: - Raio X tórax: aumento da trama vascular pulmonar pelo hiperfluxo pulmonar - ECG: sobrecarga de câmaras DIREITAS OBS: Na CIV o inicio ocorre nas câmaras esquerdas.
54
Características da Persistência do canal arterial? TTO? PCA aumenta o risco de quais complicações?
- pré termos - causas: resposta vasodilatadora inflamatória >> insensbilidade do canal arterial ao O2 no nascimento - local do sopro: 2EI, infraclavicular a esquerda - sopro em maquinaria continuo PCA aumenta o risco de: - hemorragia intraperiventricular - displasia bronco pulmonar - enterocolite necrosante TTO: - inibidores da COX para FECHAR o canal: Ibuprofeno ou Indometacina (EV, enteral) ou Paracetamol. Fechamento percutâneo se falha medicamentosa. Lembrar das contraindicações de AINE CHOPE (choque, hemorragia, oligúria, plaquetopenia <100k, enterocolite necrosante)
55
CIV características? TTO?
70% é perimembranosa Mais comum dentre todas as cardiopatias graves RN termo, geralmente Sopro amplo = shunt pequeno Local do sopro: borda esternal E, baixa.
56
CIA características? Ausculta clássica?
EF: Ausculta: desdobramento fixo e amplo de B2 devido ao prolongamento do esvaziamento do VD Local do sopro: sopro sistólica em foco pulmonar
57
Defeito do septo AV total (DSAV)? Comum em quem? No ECG?
- comum em S.Down - ECG: bloqueio antero-superior esquerdo - desvio de eixo para esquerda
58
Qual a única cardiopatia congênita grave que apresenta cianose? Qual a causa?
Síndrome de Eisenmenger Ocorre inversão do shunt, se tornando D>>E CIANOSE Alto risco de morte súbita Área cardíaca pequena e sobrecarga de câmaras direitas TTO: transplante de coração e pulmao
59
Quais são os 3 mecanismos fisiopatológico das cardiopatias criticas? E quais são suas entidades? QC geral dos 3 grupões?
1) CIRCULAÇÃO SISTÊMICA DEPENDENTE DO CANAL ARTERIAL Obstrução a circulação sistemica QC de baixo débito cardíaco: palidez, redução de pulsos, hipotensão, perfusão renal prejudicada - síndrome do coração E hipoplasico - coarctação de aorta 2) CIRCULAÇÃO PULMONAR DEPENDENTE DO CANAL ARTERIAL Obstrução a circulação pulmonar QC: CIANOSE e raio X com redução da trama vascular - atresia pulmonar - tetralogia de fallot 3) CIRCULAÇÃO PULMONAR E SISTÊMICA EM PARALELO - transposição de grandes artérias
60
Conduta geral frente a suspeita de cardiopatia congênita critica?
- Prostaglandina E1 0,01mcg/kg/min: canal arterial aberto - O2 adequado, sem excesso: manter SatO2 entre 85-95% - Ecodoppler para dg definitivo
61
Síndrome do coração esquerdo hipoplasico o que é?
Diferentes combinações de estenose/atresia aórtica + estenose/atresia mitral, levando à hipoplasia do ventrículo esquerdo.
62
Coarctação de aorta - características?
- diferença da PA e de pulsos nos MMSS e MMII pois coarctação ocorre depois de saída das artérias subclávias - cianose apenas em MMII - associação frequente com síndrome de Turner - Raio X: sinal do 3 invertido (aorta dilatada) e aumento da trama vascular
63
Tetralogia de Fallot - quais são os 4 defeitos? Raio X? O que são as crises hipercianoticas/hipoxia? Quais são os desencadeantes? Conduta diante das crises?
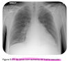
- estenose pulmonar>> hipertrofia do VD - CIV >> dextroposicao da aorta Cardiopatia cianotica mais comum mas que comumente se manifesta após o período neonatal! Raio X: coração em bota (hipertrofia do VD eleva a base do coracao) Crises são desencadeados por choro, agitação ocorrem pela manha ou após choro. TTO: - manter volemia - posição genupeitoral - O2 - morfina - sedativo - beta lol
64
Transposição de grandes artérias - características? Raio X?
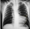
Cardiopatia que de forma mais frequente se manifesta no período neonatal. Precisa não apenas da abertura do canal arterial (Pg) mas também da abertura do forma oval (Rashking) DEFINITIVA: cirurgia de Fatene.` RAIO X: coracao em ovo deitado; mediastino estreito; trama vascular aumentada
65
Miocardite aguda - sexo mais acometido? Em qual idade? Etiologia? Fisiopato?
- masculino - lactente e adolescente - parvovirus B19 e Coxsacki - necrose >> auto anticorpos causando inflamação nos miocitos
66
QC da miocardite aguda? Evoluções negativas?
- historia de infecção viral nas ultimas 2 semanas (TGI, respiratorio) - agora: taquicardia, palpitações, dor torácica, desconforto respiratório Evoluções negativas: - insuficiência cardíaca, arritmias, choque cardiogênico, síndrome coronariana aguda e morte súbita.
67
Exames complementares da miocardite aguda?
- troponinas: SE NORMAL NÃO EXCLUI; não se relaciona a gravidade - NT pro BNP aumentado - hemograma e sorologias - Raio X tórax: cardiomegalia e congestão; aumento da trama vascular pulmonar. - ECG: taquiarritmias/ QRS alargado; alterações ST e T. - Ecocardiograma: redução sistólica VE - RNM: realce tardio subendocárdico e transmutar - biópsia endomiocardica: padrão ouro
68
Tratamento de suporte para miocardite aguda?
- reposição volemica cuidadosa - tratamento da IC - antiarritmicos se arritmia - anticoagulação se FE <30% - imunoglobulina
69
Qual a Fisiopatologia da IC na criança? Mecanismos compensatórios?
- inadequado retorno venoso ou débito cardíaco MECANISMOS COMPENSATÓRIOS: - SRAA e SN simpático: aumenta FC e contratilidade; aumenta pré carga e pós carga >> aumenta consumo de O2 >> necrose celular
70
Causas da insuficiência cardíaca aguda na crianca?
- miocardite - cardiomiopatia - valvopatia adquirida - arritmia - cardiopatia congênita - quadros com aumento de demanda
71
Qual o QC da IC na crianca?
- Congestão pulmonar: taquipneia, dispneia e sibilância (não tem estase jugular) - Congestão sistêmica: hepatomegalia, dor abdominal e náuseas; não é comum edema de MMII - baixo débito cardíaco: déficit de crescimento, fadiga e choque.
72
Classificação sintomática e de prognostico da IC crônica em crianças?
73
Como é o DG da IC crônica? Quais exames complementares?
- DG clínico! Exames complementares: - Raio X tórax: cardiomegalia; congestão pulmonar - ECG: arritmia, isquemia, sobrecarga - Ecocardiograma: sobrecarga, dilatação de câmaras, estimar FE
74
Classificação do paciente com IC aguda em crianças? Tratamento de cada um desses perfis?
75
Qual o tratamento ambulatorial do paciente com IC após sua crise aguda? Como é feita a progressão de acordo com os sintomas?
Alteram mortalidade: IECA/BRA Espironolactona Betabloquadores Correção sintomática da hipervolemia: - diuréticos Correção da causa: antiarritmicos, cirurgia.
76
Quais são as possíveis causas de sincope na infância? Por que ocorrem?
- sincope autonômica: SN simpático ativado >> ativação exacerbada do SN parassimpático >> redução de tonusvasomotor Pode ser em atleta; lactente; ortostática - sincope cardiogenica
77
Perda do fôlego do lactente - por que ocorre? Conduta?
- choro e apneia >> cianose, palidez, hipo ou hipertonia >> perda de consciência Comum: 6-18 meses Conduta: - tranquilizar e orientar pais - resolução em idade escolar - não aumenta risco de convulsão, atraso de DNPM ou PCR.
78
O que deve ser feito em todos os casos de sincope na infância? Por que? O que pode encontrar de alteração nele?
ECG! Para diferenciar sincope autonômica de cardiogenica. - Wolf-parkinson-white: PR curto <3mm (<0,12s); onda delta >> devido feixe de lente - síndrome do QT longo: QT>0,44 s
79
Causas de sincope cardiogenica?
- estenose aortica - cardiomiopatia hipertrofia - arritmia - síndrome de wolf-parkinson-white - síndrome de QT longo - miocardite - IAM - crise de cianose da tetralogia de Fallot
80
Quais são sinais de alerta para ampliar a investigação de sincope cardiogenica?
- sincope ao exercício ou em posição supina - ausência de pré-sincope - HF de sincope - afogamento - morte súbita - síndromes familiares de arritmia ventricular - marcapasso - EF anormal ou sintomas cardíacos
81
Qual exame pode ser feito para inestigacao de sincope vaso vagal?
TILT-TEST: manobras vagais + posição em 70 graus. Sugestivo de sincope autonômica se sintomas ou redução de PA>=30%
82
Tratamento da síndrome autonômica?
Evitar desencadeantes: - ingesta água e sal - atividade física - suspender diuréticos e vasodilatadores CONDUIR: - manter joelhos flexionados - contração isométrica dos músculos das extremidades - dobramento dos braços e cruzamento das pernas Se FALHA: Fludrocortisona ou alfa agonista (midodrine)
83
Tratamento da síndrome cardiogenica?
Causa base
84
Quais são as anemias macrociticas? E as microciticas? E as normociticas?
85
Quais são as anemias que possuem reticulócito aumentado? E Diminuído?
86
O que ocorre na esferocitose (fisiopato)? Padrão de herança? O que gera de QC
- defeito de proteínas que fazem a ligação entre o citoesqueleto e a membrana lipídica da hemácia. Principais proteínas: - espectrina Herança dominante >> anemia hemolítica congênita (hemácia passa no baco e se perde membrana) QC: - icterícia neonatal precoce - icterícia flutuante - esplenomegalia - litíase biliar - anemia
87
Como diagnosticar no hemograma a esferocistose?
- anemia normo normo - provas de hemólise + - aumento de reticulocitos - lamina com esferocitos
88
Tratamento da anemia com etiologia de esferocitose?
- apenas suporte - vigiando: hemólise em quadros infecciosos, sequestro esplênico, colelitiase - esplenectomia apenas em casos selecionados porque nao demonstra benefício imunológico.
89
O que ocorre na deficiência de G6Pd (fisiopato)? QC? Herança genética?
A deficiência de G6PD impede a redução de NADP >> NADPH O NADPH é um importante antioxidante celular, sua ausência gera fragilidade nas hemácias. Herança ligada ao X (mais comum em homens) >> hemólise intravascular diante de agentes oxidantes (feijão de FAVA) QC: - icterícia - palidez - icterícia neonatal - hemoglobinúria
90
Qual a lista de medicamentos que agem como oxidantes provocando agudizacao abrupta da anemia por fã;tá de G6Pd?
- antimalaricos: cloroquina - Sulfonamidas - nitrofurantoina - AAS - análogos de vit K - azul de metileno Outros
91
DG no hemograma e tratamento da anemia por deficiência de G6Pd?
- anemia normo normo - reticulocitos aumentados - provas de hemólise + - lamina com BITE CELLS e BLISTER CELLS - teste genético OBS: alguns teste do pezinho TTO: - evitar agentes oxidantes - suporte - manter alto fluxo urinário
92
Quais são as anemias hemolíticas adquiridas?
- Autoimue - microangiopaticas (SHU e PTT)
93
O que ocorre na anemia hemolítica autoimune? Principal causa e desencadeante? QC?
Anticorpos atacam hemácias e geram hemólise. Principal desencadeante: infecção viral. Outros: doença autoimune, malignidade, medicamentos. QC: - icterícia - esplenomegalia - qdo súbito e grave - hemoglobinúria
94
Quando a anemia hemolítica autoimune é associada a PTI, qual o nome da síndrome?
Síndrome de Evans
95
Diagnóstico da anemia hemolítica autoimune?
- anemia normo normo - provas de hemólise + - coombs positivo (TAD)
96
Tratamento da anemia hemolítica autoimune?
QUENTE: - corticoide 2a linha: esplenectomia, imunossupressão, imunoglobulina, Rituximabe. FRIA: - aquecer o paciente - tratar a causa base - Rituximabe
97
Classificação em quente ou frio da anemia hemolítica autoimune, oque é?
Quente: IgG (quente é good) Frio: Igm (frio é mau)
98
Anemia megaloblastica, como faço diagnostico?
- Hmg: macrocitica - Pode ter bi ou pancitopenia - reticulocitos normais ou reduzidos - B12 ou ácido fólico reduzidos - Mielograma: hipercelularidade das 3 series com elementos megaloblastoides
99
QC da anemia megaloblastica?
- fadiga - palidez - déficit de crescimento - glossite - atraso ou regressão de DNPM - se leucopenia: maior suscetibilidade a infecções - se plaquetopenia: sangramentos
100
Indicação de transfusão de hemocomponente filtrado/ desleucocitado, irradiado e lavado?
Irradiado: impossibilita multiplicação de linfócitos >> previne doença do enxerto contra o hospedeiro em caso de transplante de medula óssea Filtrado/deleucocitado >> remove leucócitos Previne infecções por CMV e reação transfusional febril não hemolítica >> indicada para politransfundidos Lavagem: indicado somente para quem tem anafilaxia.
101
Tratamento da anemia megaloblastica?
Reposição de vitamina B12 ou ácido fólico - Cobalamina IM ou SC - ácido fólico VO
102
O que é TRALI e TACO? Diferença entre elas?
103
Conduta clinica nas reações transfusionais?
- Interromper transfusão e comunicar o médico responsável - manter acesso venoso com solução salina a 0,9% - verificar dados, registros, formulários e identificação do receptor