Pneumo Flashcards

(12 cards)

1
Q

Mutação, fisiopato da fibrose cística?

A
  • mutação do cromossomo 7
  • altera a proteína CFTR, uma proteína que fica na transmembrana celular e tem papel de conduzir Cloreto e Na
  • consequências da alteração: retenção de cl, Na e água intracelular
  • no extracelular, secreções ficam espessas em todo o organismo e tendem a obstruções
How well did you know this?
1
Not at all
2
3
4
5
Perfectly
2
Q

Manifestações clinicas gerais da fibrose cística? Quais sistemas são envolvidos e quais os principais?

A

Principais:
- respiratório
- TGI

How well did you know this?
1
Not at all
2
3
4
5
Perfectly
3
Q

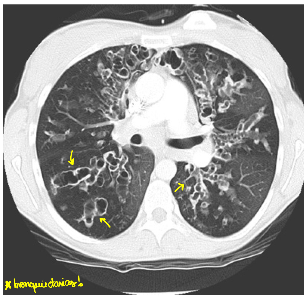
Quais são as manifestações clinicas respiratórias da fibrose cística? O que esperar de QC? Raio X/TC?

A

Secreções espessas geram comprometimento do clearance muco ciliar e favorece infecções

  • pólipos nasais
  • bronquiectasias
  • baqueteamento digital

RAIO X e TC: bronquiectasias e plugs mucosos

How well did you know this?
1
Not at all
2
3
4
5
Perfectly
4
Q

Quais são as principais repercussões do comprometimento de TGI na fibrose cística?

A
  • íleo meconial: abdome agudo obstrutivo no neonato
  • insuficiência pancreática: de início exócrinas mas pode cursas com DM e baixo ganho estatura/ponderal
How well did you know this?
1
Not at all
2
3
4
5
Perfectly
5
Q

DG da fibrose cística?

A

1) 2 testes de triagens neonatais: dosam tripsinogenio imunorreativo (IRT) >70 ate 30 dias de vida

2) Confirmatório: dosagem de cloreto no suor em 2 ocasiões divertes >60mEq
*fazer também esse teste se irmão com FC ou QC sugestivo

3) Análise de mutações para todos

How well did you know this?
1
Not at all
2
3
4
5
Perfectly
6
Q

TTO da fibrose cística? O que realmente pode mudar o curso da doença?

A

1) Manejo das secrecoes
- solução salina hipertonica para osmose
- fisioterapia resp
- dornase alfa

2) Redução da inflamação crônica respirat
- Azitromicina: age como imunomodulador/ anti-inflamatório
- corticoide inalatorio

3) Prevenção de exacerbações
- Trobramicina inalada

4) reposição enzimática pancreática (amilase, lipase, protease)
Somente se tiver insuficiência!

5) Nutrição:
- repor sal e vitaminas lipossoluveis

Atividade física e O2 se necessário

MODULADORES DA CFTR - TERAPIA GENÉTICA
Trikafta junta 3 caftas:
- Exacaftor e Tezacaftor: corrigem a CFTR promovendo dobramento correto da proteína
- Ivacaftor: potenciam a CFTR deixando o canal iônico aberto

How well did you know this?
1
Not at all
2
3
4
5
Perfectly
7
Q

O que é uma exacerbação pulmonar no paciente de fibrose cística? Por que ocorre? Qual o tratamento?

A

Exacerbação se 1 dos sintomas:
- febre
- perda de peso
- mudança de sintoma: coloração de secreção, tosse, sangue na secreção
No EF muda a ausculta
No raio X surge novo infiltrado
Na espiro tem declínio de função pulmonar

CAUSA: colonização crônica por
S. Aureus
Pseudomonas
Burkholderia cepacia

TTO:
Oxacilina (ou Linezolida/Vanco)
Amicacina
Ceftazidima

How well did you know this?
1
Not at all
2
3
4
5
Perfectly
8
Q

Como é o seguimento, acompanhamento continuo do paciente com fibrose cística?

A
  • ANUALMENTE: Raio X, elastase fecal, glicemia de jejum e TOTG, ORL
  • a cada 6 meses: ESPIROMETRIA (tem padrão obstrutivo)
  • a cada 3 meses: culturas
How well did you know this?
1
Not at all
2
3
4
5
Perfectly
9
Q

Qual o principal DD de fibrose cística?

A

Discinesia ciliar primaria

How well did you know this?
1
Not at all
2
3
4
5
Perfectly
10
Q

Qual a fisiopato da discinesia ciliar primaria?

A

Autossômica recessiva
Deficiência de dineína, proteína envolvida na quebra de ATP a fim de oferecer energia para MICROTUBULOS E CÍLIOS celulares.
Consequência: alteração do transporte muco ciliar

How well did you know this?
1
Not at all
2
3
4
5
Perfectly
11
Q

QC da discinesia ciliar primaria? Está associada a qual síndrome? Tríade da síndrome?

A
  • Infecção de repetição: OMA e sinusite
  • pólipos nasais
  • pneumonia recorrentes (bronquiectasias)
  • infertilidade

SÍNDROME de KARTAGENER
Sinusite + bronquiectasias + situs inversos

How well did you know this?
1
Not at all
2
3
4
5
Perfectly
12
Q

DG da discinesia ciliar primaria?

A
  • Raio X/TC: hiperinsuflacao, bronquiectasias, atelectasia, situs inversus
    (Predomínio em lobos inferior e lingula)
  • Espiro: padrão obstrutivo
  • DG confirmatório:
    Dosagem de óxido nítrico basal REDUZIDO ou AUSENTE

Biópsia nasal

Painel genético estendido.

How well did you know this?
1
Not at all
2
3
4
5
Perfectly