TCE e Morte encefálica Flashcards

(16 cards)

1
Q

Avaliação inicial do paciente com TCE?

A
How well did you know this?
1
Not at all
2
3
4
5
Perfectly
2
Q

Paciente com TCE leve, conduta se <2 anos? Conduta se >2 anos? (PECARN)

A
How well did you know this?
1
Not at all
2
3
4
5
Perfectly
3
Q

Imagem de edema cerebral e hematoma

A
How well did you know this?
1
Not at all
2
3
4
5
Perfectly
4
Q

Imagem de contusão cerebral, hemorragia subaracnoidea (fisher 4), lesão azonal difusa?

A

Fisher 4: ventrículos preenchidos

How well did you know this?
1
Not at all
2
3
4
5
Perfectly
5
Q

Possibilidades de hérniacao?

A
How well did you know this?
1
Not at all
2
3
4
5
Perfectly
6
Q

Quais são as monitorizações convencionais e especificas no TCE?

A
How well did you know this?
1
Not at all
2
3
4
5
Perfectly
7
Q

Tratamento da HIC?

A

Além do que esta na imagem:
- abordagem cirúrgica (craniectomia, derivação de hidrocefalia, drenagem de hematomas)
- sendo analgesia
- anticonvulsivante profilático (Fentanil) apenas para TCE grave ou presença de sangramento
- evitar hiponatremia!

CORTICOIDE CONTRAINDICADO!

How well did you know this?
1
Not at all
2
3
4
5
Perfectly
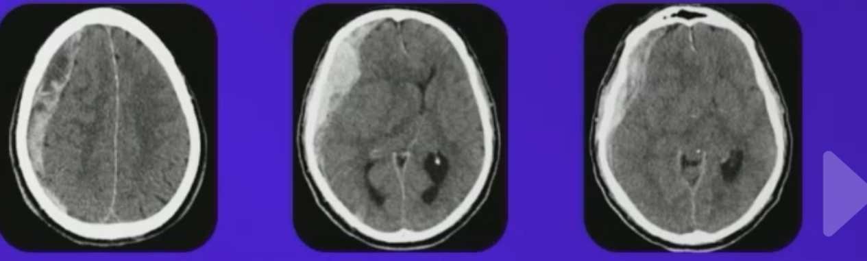
8
Q

Diagnóstico do TCE da imagem?

A
  • hematoma subdural
  • desvio da linha media
  • hérniacao subfalcina
How well did you know this?
1
Not at all
2
3
4
5
Perfectly
9
Q

Quais são as indicações de monitorização da PIC? Formas de monitorizar?

A

P2>P1: curva P2 mais alta que P1
(complacência cerebral reduzida)

How well did you know this?
1
Not at all
2
3
4
5
Perfectly
10
Q

Auto regulação da PIC: Qual a formula de PPC?

A

PPC = PAM - PIC

How well did you know this?
1
Not at all
2
3
4
5
Perfectly
11
Q

Quais fatores reduzem a Pressão de Perfusão Cerebral?

A

PPC = PAM - PIC
O QUE REDUZ PAM:
- hipovolemia
- choque
- obstrução
- ação farmacológica que reduz PA

O QUE AUMENTA PIC:
Os volumes possíveis
- aumento de volume sanguíneo cerebral
- aumento de LCR
- edema cerebral

How well did you know this?
1
Not at all
2
3
4
5
Perfectly
12
Q

A partir de quais critérios pode ser aberto o protocolo de morte encefálica?

A
How well did you know this?
1
Not at all
2
3
4
5
Perfectly
13
Q

Para confirmação diagnostica da morte encefálica, quais exames precisam ser feitos?

A

2 testes clínicos
1 teste de Apneia
1 teste confirmatório (imagem, função)

How well did you know this?
1
Not at all
2
3
4
5
Perfectly
14
Q

Quem deve fazer os 2 testes clínicos? Intervalo entre eles? Quais são eles (achado alterado que indica morte encefalica)?

A

2 médicos diferentes, sendo um deles especialista (intensivistas, neurologista, neurocirurgião, emergencista)

Intervalo entre testes:
- RN ate 2 meses: 24 horas
2 meses - 2 anos incompletos: 12 horas
> 2 anos: 1 hora

Exames clínicos que são realizados:
- reflexo fotomotor» pupilas medio-fixas
- reflexo corneopalpebral»_space; ausência do piscar
- reflexo oculocefalico»_space; olhos seguem o mesmo movimento da cabeça (feito olhos de boneca)
- reflexo vestíbulo-calórico»_space; ausência de movimento ocular mediante estímulo térmico na orelha
- reflexo da tosse»_space; ausência de tosse mediante estímulo laríngeo com sonda de aspiracao

How well did you know this?
1
Not at all
2
3
4
5
Perfectly
15
Q

Como é feito o teste da Apneia? O que precisa acontecer para confirmar morte encefálica?

A

Oferecer FiO2 de 100% por 10 min
Coletar gasometria pré teste (PCO2 35-45 obrigatoriamente)
Monitorizar
Desconectar VPM mantendo fonte de O2 12L/min ou 6L em sonda traqueal
Observar por 8-10 min
Coletar gasometria nova

Gasometria final deve ser PCO>55mmHg
E em todo momento os movimentos respiratórios estão ausentes

How well did you know this?
1
Not at all
2
3
4
5
Perfectly
16
Q

Exames complementares possíveis para confirmar morte encefálica?

A
  • angiografia cerebral
  • USG Doppler transcraniano
  • SPECT/ cintilografia
  • EEG