26. COMA Flashcards

(88 cards)

1
Q

ESQUEMA ALTERACIÓN CONCIENCIA

A
How well did you know this?
1
Not at all
2
3
4
5
Perfectly
2
Q

Mecanismos que mantienen la conciencia (Cuantitativo)

A
How well did you know this?
1
Not at all
2
3
4
5
Perfectly
3
Q

La… es una extensión de la duramadre que separa el cerebelo de la porción inferior
del lóbulo occipital del cerebro.
- … : Telencéfalo, Diencéfalo
- … : Tronco cerebral, Cerebelo

A

tienda del cerebelo

Supratentorial

Infratentorial

How well did you know this?
1
Not at all
2
3
4
5
Perfectly
4
Q

Estado patológico caracterizado por la disminución del nivel de conciencia que, a diferencia del sueño, no es reversible bajo la influencia de estímulos externos

A

COMA

How well did you know this?
1
Not at all
2
3
4
5
Perfectly
5
Q

En el coma es fundamental una buena…

A

ANAMNESIS

How well did you know this?
1
Not at all
2
3
4
5
Perfectly
6
Q

CAUSAS DEL COMA

A
How well did you know this?
1
Not at all
2
3
4
5
Perfectly
7
Q

Lesiones Responsables de Coma

A
How well did you know this?
1
Not at all
2
3
4
5
Perfectly
8
Q
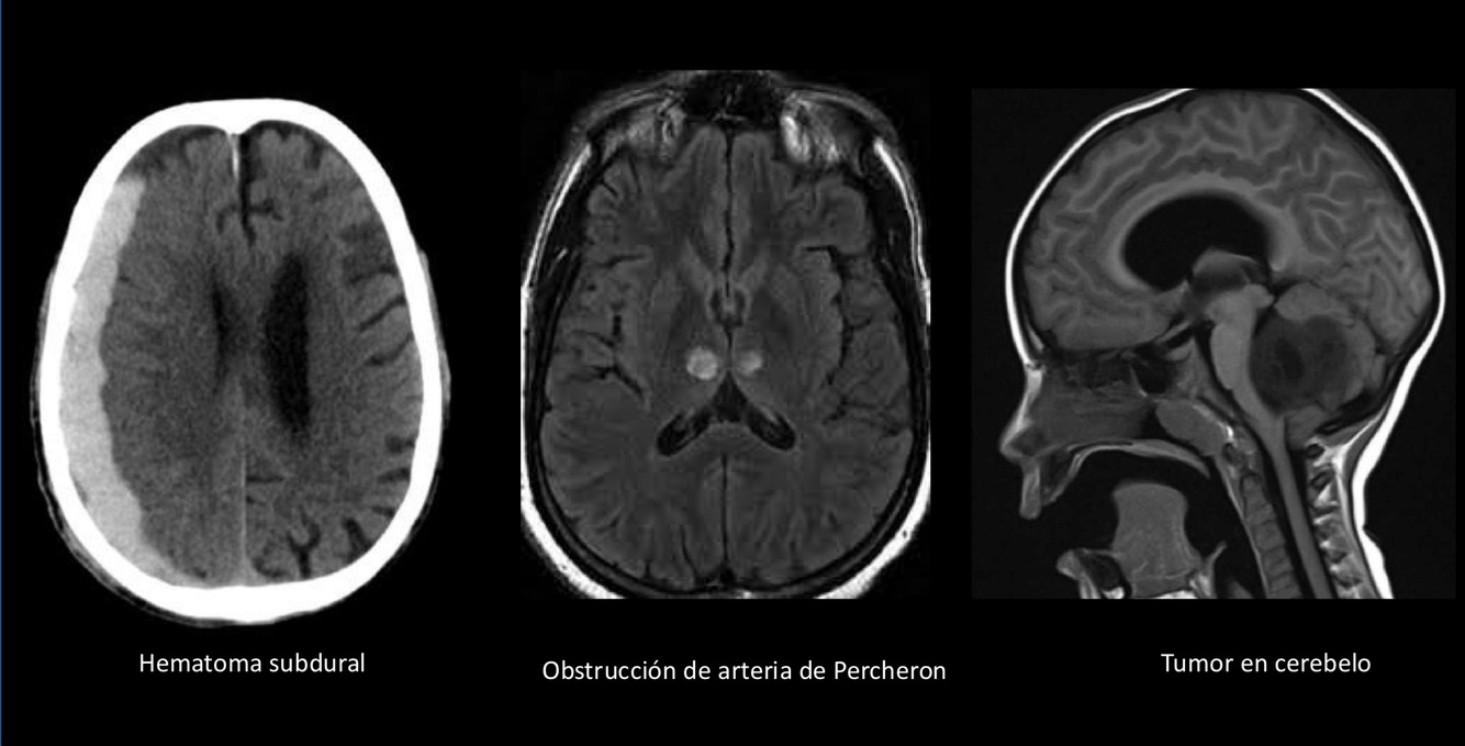
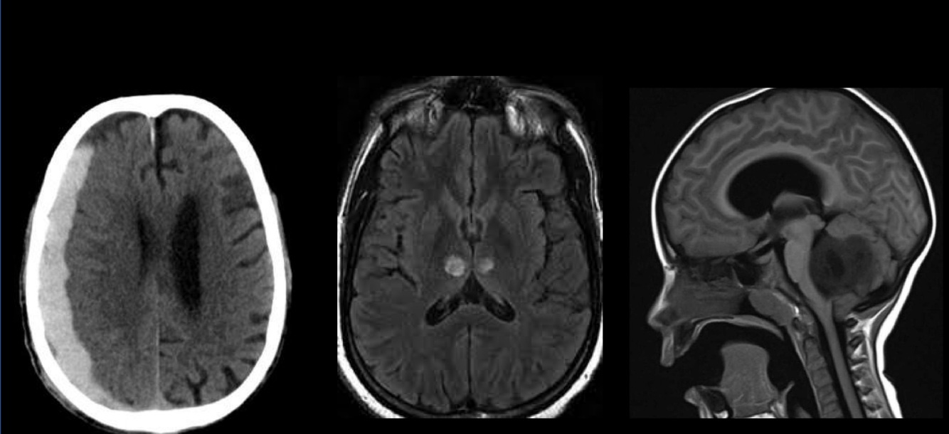
A

Las dos primeras son supratentoriales y la última infratentorial.
Las obstrucción de la arteria de Percherón ocurre en talamos y causa COMA.

How well did you know this?
1
Not at all
2
3
4
5
Perfectly
9
Q

EXPLORACIÓN PACIENTE EN COMA

A
How well did you know this?
1
Not at all
2
3
4
5
Perfectly
10
Q

(IMP) Lesiones mesencéfalo-protuberancial vemos postura

A

De descerebracion

How well did you know this?
1
Not at all
2
3
4
5
Perfectly
11
Q

Lesiones hemisféricas con integridad del tronco del encéfalo vemos posturas de..

A

Decortizacion

How well did you know this?
1
Not at all
2
3
4
5
Perfectly
12
Q

(IMP) Lesiones mesencéfalo-protuberancial vemos postura

A

De descerebracion

How well did you know this?
1
Not at all
2
3
4
5
Perfectly
13
Q

CAUSA MÁS FRECUENTE DE COMA

A

METABÓLICO

How well did you know this?
1
Not at all
2
3
4
5
Perfectly
14
Q

Somnolencia/obnubilación
• Despertable con facilidad, correspondiente a escala de Glasgow….

A

14

How well did you know this?
1
Not at all
2
3
4
5
Perfectly
15
Q

Estupor
• Despertable con estímulo enérgico, correspondiente a escala de Glasgow…

A

11-13

How well did you know this?
1
Not at all
2
3
4
5
Perfectly
16
Q

Escala de Glasgow menor a 11 es coma…

A

No despertable

How well did you know this?
1
Not at all
2
3
4
5
Perfectly
17
Q

Escala de Glasgow menor a 8 es coma…

A

Profundo

How well did you know this?
1
Not at all
2
3
4
5
Perfectly
18
Q

ESCALA DE GLASGOW: MUY IMP

A
How well did you know this?
1
Not at all
2
3
4
5
Perfectly
19
Q

MIR
Tras un accidente de tráfico usted atiende a un herido. El paciente abre los ojos a la llamada, pero únicamente emite palabras que son inapropiadas. En la exploración motora localiza el dolor en extremidades derechas, pero extiende al estimular las extremidades izquierdas. ¿Cómo describiría su situación según la escala de coma de Glasgow?
1. O3V2M4
2. O3V3M5
3. O2V3M4
4. O2V4M5

A

2

How well did you know this?
1
Not at all
2
3
4
5
Perfectly
20
Q

La escala de Glasgow cuantifica uno de los siguientes parámetros excepto uno de los
siguientes:
1. Respuesta verbal.
2. Respuesta motora.
3. Respuesta pupilar
4. Apertura ocular

A

3

How well did you know this?
1
Not at all
2
3
4
5
Perfectly
21
Q

¿Qué son las pupilas?

A

Estructuras del ojo que regulan la cantidad de luz que entra

How well did you know this?
1
Not at all
2
3
4
5
Perfectly
22
Q

¿Qué indica la midriasis arreactiva en el mesencéfalo?

A

Lesiones focales

How well did you know this?
1
Not at all
2
3
4
5
Perfectly
23
Q

Una pupila midriática puede ser un signo de _______.

A

herniación transtentorial

How well did you know this?
1
Not at all
2
3
4
5
Perfectly
24
Q

Las pupilas mióticas reactivas se asocian a afectación _______.

A

simpática

How well did you know this?
1
Not at all
2
3
4
5
Perfectly
25
¿Qué indica la presencia de pupilas puntiformes arreactivas?
Afectación en la protuberancia
26
¿Qué tipo de intoxicaciones causan midriasis?
Anfetaminas, Atropina
27
Los opiáceos causan _______.
miosis (puntiformes)
28
¿Qué es el síndrome de Horner?
Un conjunto de síntomas que incluye ptosis y miosis
29
La ptosis es una manifestación de _______.
síndrome de Horner
30
¿Qué fibras llegan a los párpados y la pupila?
Fibras terminales a párpados y pupila
31
Las fibras terminales sudomotoras y vasoconstrictoras son parte de _______.
la inervación simpática
32
¿Cuántas neuronas están involucradas en la inervación de las pupilas?
Tres
33
¿Qué estructura se encuentra en el centro cilio-espinal de Budge?
C8-T1-T2
34
¿Qué relación tiene el hipotálamo con las pupilas?
Forma parte del sistema nervioso autónomo que las controla
35
¿Qué es el ganglio cervical superior?
Un ganglio que contiene neuronas del sistema simpático
36
¿Cuál es la función del tronco simpático cervical?
Inervar estructuras de la cabeza y cuello
37
El ápex pulmonar está relacionado con _______.
la inervación simpática
38
Paciente en coma con roving ocular, la lesión estará…
Por encima del tronco
39
Paciente en coma con bobbing, la sesión será…
Protuberancial
40
Paciente en coma presenta desviación conjugada de la mirada hacia el lado de su hemiparesia, se trata de una lesión…
PROTUBERANCIAL
41
Paciente en coma mira hacia lado contrario de su hemiparesia, la lesión será…
HEMISFÉRICA
42
Paciente en coma que presenta disconjugacionde ojos, su lesión estará en…
Tronco
43
Este paciente en coma seguramente tenga…
Lesión en tronco por opiáceos.
44
Oftalmoplejia (lesión en fLM) SE VE EN…
EM
45
MIR La presencia de miosis pupilar en un paciente en coma, no es habitual en una de las siguientes patologías. 1. Hemorragia pontina. 2. Toxicidad por opiáceos. 3. Lesiones con afectación simpática. 4. Herniación cerebral transtentorial.
4. Produce dilatación
46
Paciente en coma que presenta reflejos oculocefálicos con OJOS DE MUÑECA, podemos asegurar que la lesión…
No está en tronco • Via vestibular, PC oculomotores y fascículo longitudinal medial indemne
47
REFLEJOS OCULOVESTIBULARES Al aplicar agua fría en el oído, la desviación del ojo intacto con nistagmo sugiere que es posible que el paciente…
no esté en coma
48
Si el paciente en coma mantiene el reflejo corneal, podemos confirmar que…
V par y VII par están indemnes.
49
Oftalmoplejia internuclear
50
Oftalmoplejia internuclear
51
¿Dónde podemos valorar la respuesta al dolor de un paciente en coma?
• Presión en extremidades: Lecho ungueal • Presión en nervio supraorbitario o detrás cóndilo mandibular • Compresión del trapecio
52
El estímulo doloroso en un paciente en coma. ¿Cuándo debe evaluarse?
DEBE SER LO ÚLTIMO
53
LO MÁS USADO EN COMA PARA VALORAR ESTÍMULOS DOLOROSOS CENTRALES es…
PRESIÓN EN TRAPECIO
54
DECORTICACION VS DESCEREBRACION
55
Paciente en coma con respiración Cheyne Stokes, lesión estará en…
Diencéfalo
56
Paciente en coma con respiración apnéustica, lesión estará en…
Protuberancia
57
Paciente en coma con respiración Kuss Maul, lesión estará en…
Mesencéfalo
58
Paciente en coma con respiración atáxica de Biot, lesión estará en….
Bulbo (VA A MORIR)
59
Repaso tipos de coma (IMP)
60
Tipo de coma más común
61
COMA COMÚN EN DESNUTRIDOS Y ALCOHÓLICOS DE CAUSA REVERSIBLE
Por déficit de tiamina: antes de poner glucosa, poner tiamina!
62
Valoración clínica y tratamiento paciente en coma
IMP GLUCEMIA
63
PACIENTE EN COMA POR INTOXICACIÓN OPIÁCEOS, ADMINISTRAREMOS…
NALOXONA
64
PACIENTE EN COMA POR SOBREDOSIS BENZODIAZEPINAS, ADMINISTRAREMOS…
FLUMACENIL
65
Medidas inmediatas en un paciente en coma
66
¿Qué es el coma psiquiátrico?
Un estado de coma relacionado con factores psicológicos ## Footnote Se caracteriza por la ausencia de respuesta a estímulos externos.
67
¿Cuál es una característica del coma psiquiátrico?
Cierre forzado de los ojos ## Footnote Esto implica que el paciente no puede abrir los ojos de forma voluntaria.
68
¿Qué reflejos se observan en el coma psiquiátrico?
Reflejos normales. No alteraciones motores ## Footnote Esto indica que los reflejos básicos del paciente están intactos.
69
¿Qué es el LOCKED IN o SÍNDROME DE CAUTIVERIO?
Un estado en el que el paciente está consciente pero no puede moverse, excepto los ojos ## Footnote Generalmente asociado con una lesión en la protuberancia.
70
¿Qué tipo de lesión está relacionada con el síndrome LOCKED IN?
Lesión protuberacial ## Footnote Esta lesión afecta la comunicación entre el cerebro y el cuerpo.
71
¿Qué pueden hacer los pacientes con el síndrome LOCKED IN?
Solo mueven ojos (arriba-abajo) y párpados ## Footnote Esto les permite comunicar respuestas limitadas.
72
¿Qué es el mutismo acinético?
Un estado en el que los pacientes están conscientes pero no responden verbalmente ## Footnote Generalmente asociado con una lesión frontal bilateral.
73
¿Qué tipo de lesión se asocia con el mutismo acinético?
Lesión frontal bilateral ## Footnote Las lesiones en estas áreas del cerebro afectan la capacidad de hablar.
74
¿Cómo se presentan los pacientes con mutismo acinético?
Pacientes con ojos abiertos, pero no hay contacto con el exterior ## Footnote Esto implica que aunque están despiertos, no interactúan con su entorno.
75
MIR Un paciente de 56 años es encontrado en coma en su domicilio. Tiene antecedentes de hipertensión arterial y diabetes mellitus. No tiene hábitos tóxicos ni ninguna otra enfermedad crónica. Está en tratamiento con irbesartan y empaglifozina. No presenta signos de desnutrición. Presenta una presión arterial de 110/60 mmHg, una frecuencia cardiaca de 110 lpm, una SatO2 del 90 %, una glucosa capilar de 120 mg/dl y una frecuencia respiratoria de 7 rpm. ¿Qué actitud terapéutica inicial le parece la más correcta?: 1.Administrar naloxona, flumazenilo y tiamina 2.Administrar naloxona, flumazenilo y glucosa hipertónica. 3.Administrar naloxona y flumazenilo. 4.Administrar tiamina y glucosa hipertónica.
3
76
¿Qué es el estado vegetativo?
Condición en la que los pacientes están alertas pero no contactan con el exterior ## Footnote Se caracteriza por la preservación de funciones básicas como la respiración y el ciclo de sueño-vigilia.
77
¿Qué ocurre en los pacientes en estado vegetativo?
Están alertas pero no pueden comunicarse o responder a estímulos del entorno ## Footnote Esto se debe a una lesión difusa en la corteza cerebral y los tálamos.
78
¿Qué estructuras se conservan en el estado vegetativo?
Hipotálamo y tronco cerebral ## Footnote Estas estructuras son responsables de funciones vitales automáticas.
79
¿Cuál es la causa del estado vegetativo?
Lesión difusa de la corteza cerebral y tálamos ## Footnote Esto puede resultar de traumas, anoxia o enfermedades neurodegenerativas.
80
¿Qué es el síndrome de cautiverio?
Condición en la que los pacientes están despiertos y alertas pero privados de movimientos excepto verticales de los ojos ## Footnote Esto se debe a una lesión en la base de la protuberancia.
81
¿Qué movimientos se conservan en el síndrome de cautiverio?
Movimientos verticales de los ojos ## Footnote Esta es una característica distintiva que permite a los pacientes comunicar respuestas limitadas.
82
¿Qué tipo de lesión causa el síndrome de cautiverio?
Lesión en la base de la protuberancia ## Footnote Esto afecta las vías motoras que controlan el movimiento voluntario.
83
SDME CAUTIVERIO: LESIÓN EN…
PROTUBERANCIA
84
MUERTE CEREBRAL SIGNIFICA…
MUERTE DEL INDIVIDUO (EXPLORAR SIEMPRE SIN SEDACIÓN)
85
MUERTE CEREBRAL
86
Coma y estados afines: esquema Imp
87
MUERTE CEREBRAL
88
Paciente de 35 años embarazada de 12 semanas. Presenta hiperémesis gravídica (vómitos en el embarazo) desde la primera semana que ha empeorado, sin poder apenas comer en los últimos 5 días. Acude a urgencias por disminución del nivel de conciencia. Llega a urgencias con ojos cerrados. Abre los ojos a la orden, la respuesta verbal es incoherente y localiza el dolor. Retira la extremidad ante estímulos Las pupilas son normales ¿Qué debe hacer?
UNA GLUCEMIA (continuación en foto)