Hvilke tre infeksjoner kan oppstå i hjertet?
Myokarditt, endokarditt og perikarditt.
Hva er endokarditt?
En infeksjon i hjertet.
Endokarditter kan deles i fire typer - hvilke?
Insidensen av endokarditter er økende - hvorfor?
Hva er median alder for endokarditt, og er det forskjell i kjønn hvem som rammes av endokarditt?
Median alder er 60 år. Menn rammes dobbelt så ofte som kvinner.
Nevn noen risikofaktorer for endokarditt
Hvilke mikrober er vanlige agens ved akutt endokarditt?
Forklar patogenesen ved en endokarditt i tre steg.
1) Endotelskade der trykket er høyest (venstre side av hjertet; aorta-og mitralklaffen)- fører til dannelse av en liten trombe med trombocytter og fibrin. 2) Infeksjon i dette materialet. 3) Vegetasjon med bakterier er fragil og løsner lett i biter, som kan gi opphav til septiske embolier.
To symptomer er nesten universelle - hvilke to symptomer er dette?
1) Feber 2) Bilyd (bilyden er gjerne kjent fra før og skyldes en klaffefeil som disponerer for infeksjon.
Hvilke andre symptomer/funn kan en pasient med endokarditt ha?
Hvilke undersøkelser bør gjøres når pasienten er innlagt på sykehuset med mistenkt endokarditt?
Hvilke kriterier bruker man for diagnostikk av endokarditt?
Dukes kriterier.
Hva er den viktigste komplikasjonen til endokarditt?
Når faller risikoen for embolisering dramatisk?
Risikoen for embolisering faller dramatisk etter 1-2 døgn med antibiotikabehandling.
Hvilken empirisk antibiotikabehandling skal man sette i gang ved mistenkt endokarditt?
Pasienten med endokarditt skal overføres fra lokalsykehus til et regionsykehus og tas hånd av endokarditteam - hvorfor?
Fordi flere og flere pasienter får kirurgi, spesielt ved ventilendokarditt. Vurdering av dette er en viktig grunn til at pasienten hører hjemme på et stort sykehus med thoraxkirurgisk avdeling.
Hva er viktig før en operasjon ved endokarditt?
Perfekt tannstatus - mtp. fokus for infeksjonen. Derfor er tilsyn av tannlege indisert.
Hva er viktig å tenke på for pasienter med endokarditt-risikofaktorer?
Hva er sykehusmortaliteten av endokarditt?
15-30 %.
Hva er myokarditt?
En akutt inflammasjon i myokard som skyldes infeksjoner, toksiner eller autoimmunitet.
Hva er den vanligste årsaken til myokarditt?
Hvordan er klinikken hos en pasient med myokarditt?
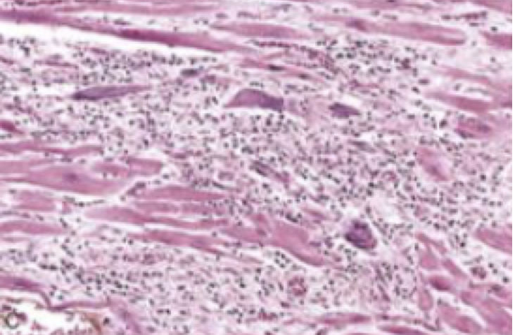
Hva viser histologien ved myokarditt?

Histologi viser typisk ødem og tallrike lymfocytter mellom myocytter.
Ekstra info:
I de mest alvorlige tilfellene med hjertesvikt og arytmier sees gjerne kjempeceller (aktiverte polynukleære makrofager), og funn av dette er det eneste som har klinisk relevans i en biopsi ved myokarditt.
Biopsien tas oftest i septum fra høyre atrium, med inngang fra venesiden. Dersom det på forhånd er tatt en MR, tilstreber man å ta biopsi fra et affisert område. Imidlertid vil funnene ofte være diffust utbredt i hele myokard, og man fanger gjerne patologien uansett hvor biopsien tas fra.
Hvordan er prognosen ved myokarditt?
Avhenger av etiologien til myokarditten.