Identify:

Bronchopneumonia

Identify:


Identify:

Bronchopneumonia

Identify Lesion
What is the cause?

Bronchopneumonia
Caused by infection of air way (trachea, bronchi)
Streptococci, staphylococci

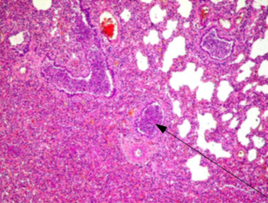
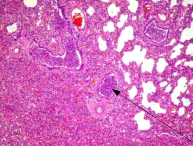
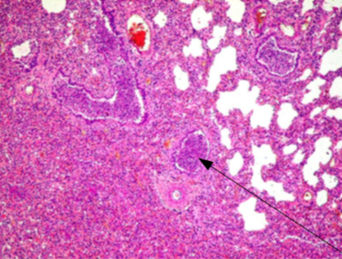
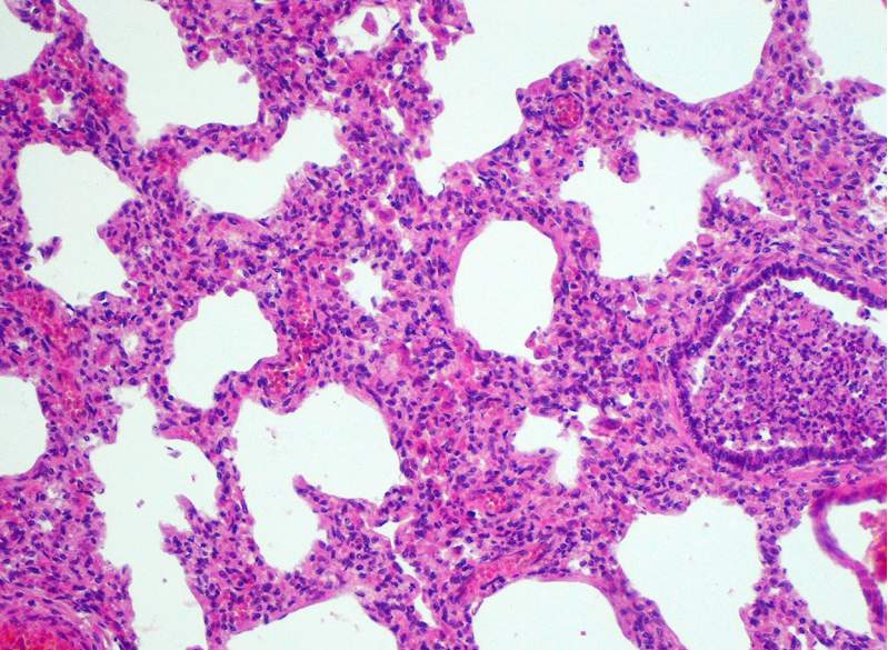
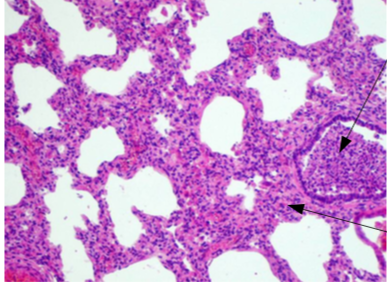
Identify lesion

Bronchopneumonia
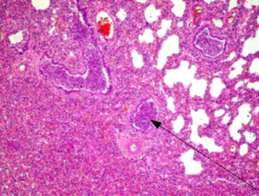
identify lesion:
What changes can be observed in this lesion and what are the 4 Stages?

Bronchopneumonia
-Multifocal changes-
Four stages, but we can observe different stages in every focus.
Pneumonia has 4 stages:
Congestion
Red hepatization
Gray hepatization
Resolution

Identify:
Describe Macro appearence
and
this lesion is a complication of?

Bronchopneumonia
macro: multifocal changes. Inflammations are yellow.
-Usually complication of bronchitis

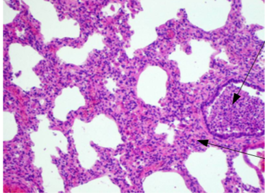
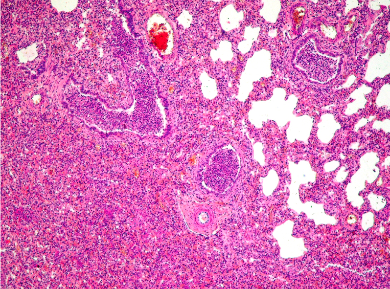
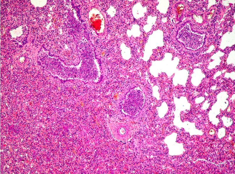
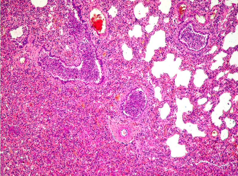
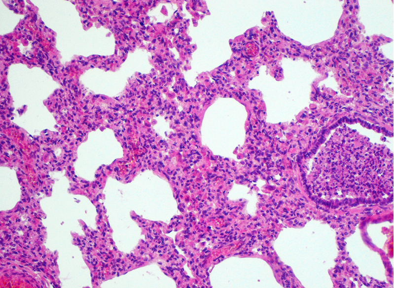
Slide:
Describe the appearance of the
Normal area and Inflamed area:

Bronchopneumonia
Bronchi filled by pus (inflammation start in bronchi, then involves other areas) (neutrophils, cellular debris).

Bronchopneumonia

Causes: Patients with long term diseases
