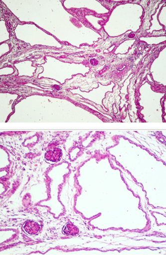
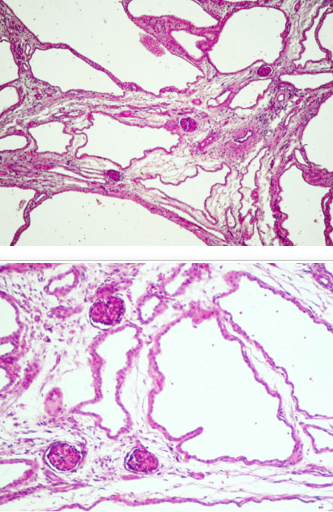
IDENTIFY

Polycystic kidney disease

identify

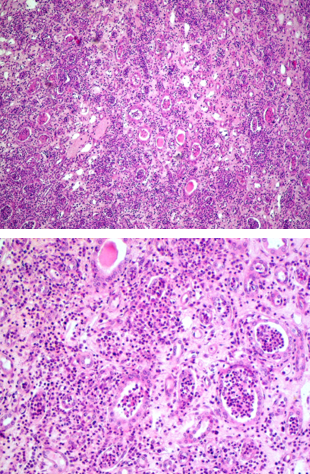
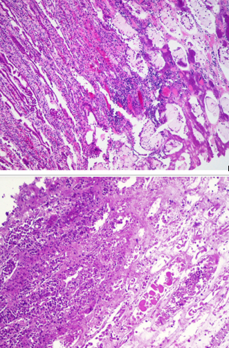
Rapidly progressive (crescentic) glomerulonephritis (360)

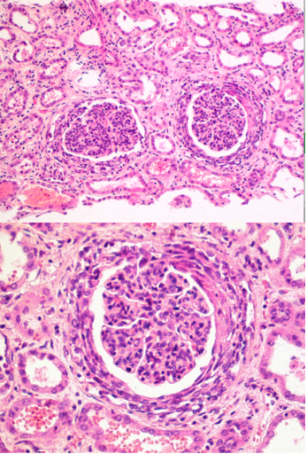
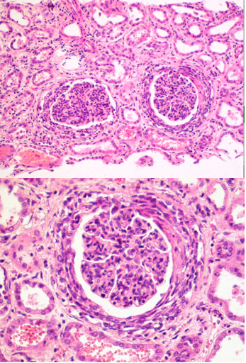
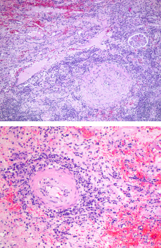
IDENTIFY

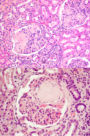
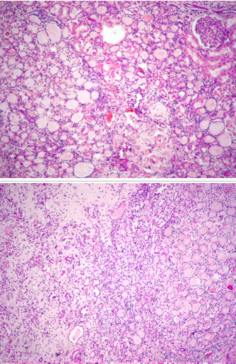
Diabetic glomerulosclerosis (H&E) (356)

IDENTIFY

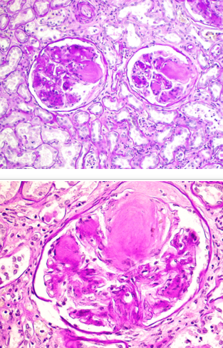
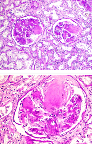
Diabetic glomerulosclerosis (PAS) (376)

IDENTIFY

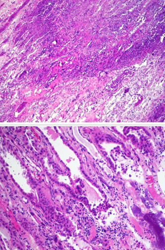
Acute pyelonephritis (364)
Other: Proteus, Klebsiella, and Enterobacter.
In most patients, the infecting organism will come from their fecal flora

identify

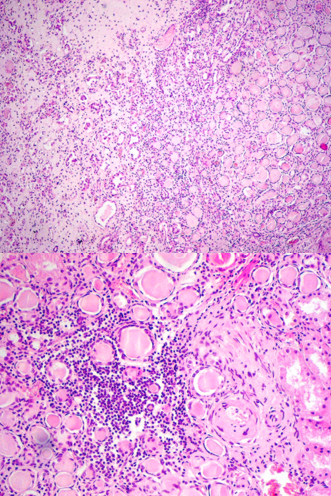
Chronic pyelonephritis (365)

identify

Necrosis papillarum renalium (366)

Identify

Renal cell carcinoma (clear cell carcinoma) (369)

Identify

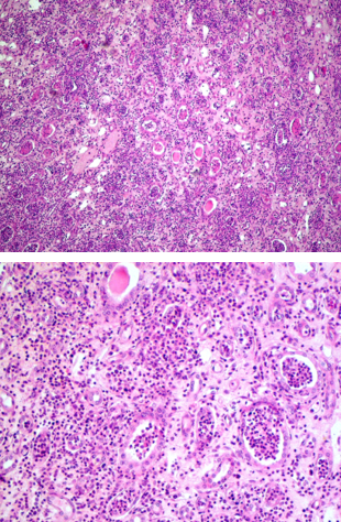
Rejection reaction in transplanted kidney (370)

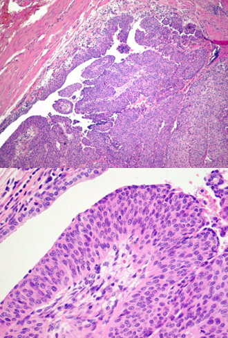
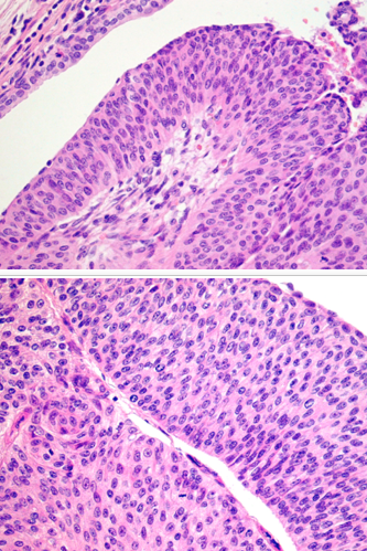
IDENTIFY

Urothelial (transitional cell) carcinoma (112)
