what are the different types of connective tissue

what cells are in cartilage
chondroblasts –> produces the matrix
chondrocytes –> same cell that contains matrix
what is the extracellular matrix (ECM) in cartilage
unique biomechanical properties
fibres (depends on type of cartilage) –> rigidity
ground substance (abundant) –> resiliency
generally avascular (cells are reliant on diffusion for nurishment)
what are the 3 types of cartilage
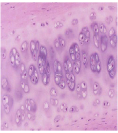
what type of cartilage is this

hyaline
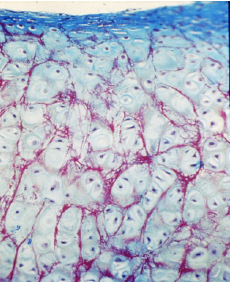
what type of cartilage is this

elastic
what type of cartilage is this

fibrocartilage
what is the most common type of cartilage
hyaline cartilage
what makes up hyaline cartilage
abundant ground substance plus few type II collagen fibres
what does hyaline cartilage form in the embryo
temporary skeleton in embyro –> gradually replaced by bone
responsible for growth of long bones
where is hyaline cartilage in adults
limited distribution
ex. articular surface of moveable joints, walls respiratory passages, costal cartilage (trachea)
how does hyaline cartilage grow
appositional and interstitial growth –> added to outer surfaces and growth within (unique to cartilage, bone is only appositional)
where is elastic cartilage found
ear pinna, epiglottis
what is in elastic cartilage
high content of elastic fibres + collagen type II
less ground substance
how does elastic cartilage grow
appositional and interstitial growth
where is fibro-cartilage found
limited distribution
inter-vertebral discs
intra-articular discs (menisci)
attachment ligament and tendons to bones
how is fibro-cartilage arranged
cells (chondroyctes) arranged in columns between bundles of collagen (type I)
minimal ground substance
no identifiable perichondrium (no CT between them)
how does fibro-cartilage grow
interstitial growth only (no bounding surface to allow growth from surfaces)
what is appositional growth
process begins with perichondrium (fibroblasts-chondroblasts synthesis matrix–> chondrocytes)
growth continues at the edges of a pre-existing cartilage model

what is interstitial growth
occurs within existing
chondrocytes become chondroblasts
isogenous groups form and produce mroe extracellular matrix
what are the cells

P- perichondrium
Cg- chondrogenic zone
Cb- chondroblasts
C- chondrocytes
what type of growth is shown here

green - appositional
red - interstitial
what is an example of hyaline cartilage where only interstitial growth occurs
articular cartilage and synocial joints
what is the origin of synovial fluid
synovial membrane or synovium –> specialized connective tissue with secretory capacity