Test 2: 6 diarrhea Flashcards

(82 cards)

1
Q

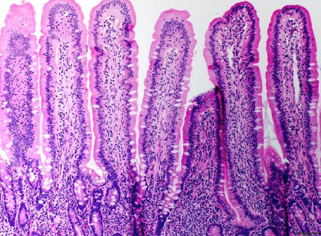
small intestine micro anatomy

A

Slender villi lined by “leaky” epithelial cells

Enterocyte microvilli increase absorptive surface area AND contain digestive enzymes

Crypts = regenerative epithelium

How well did you know this?
1
Not at all
2
3
4
5
Perfectly
2
Q

crypts in small intestine contain

A

regenerative epithelium (also secrete fluid via ANS
stimulation)

How well did you know this?
1
Not at all
2
3
4
5
Perfectly
3
Q

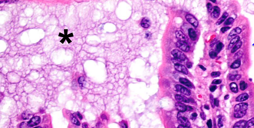
— are lymphatic ducts within each villus

A

lacteals

How well did you know this?
1
Not at all
2
3
4
5
Perfectly
4
Q

large intestine micro anatomy

A

no villi

main job absorb fluid
tight junction

How well did you know this?
1
Not at all
2
3
4
5
Perfectly
5
Q

Lymphangiectasia

A

lacteals which are lymphatic ducts in the villus of the intestine get blocked and become dilated

How well did you know this?
1
Not at all
2
3
4
5
Perfectly
6
Q

intestine, what kind of exudate

A

mucus- catarrhal

caused by endoparasitism &
proliferative enteritis (eg
Lawsonia)

How well did you know this?
1
Not at all
2
3
4
5
Perfectly
7
Q

what two viruses will cause hemorrhage in the intestine

A

(Salmonella, Clostridium

How well did you know this?
1
Not at all
2
3
4
5
Perfectly
8
Q

diphtheritic membranes are made of

A

Fibrin + Hemorrhage Neutrophils + Cell Debris

secondary to virulent pathogens that cause necrosis (salmonella and clostridium)

How well did you know this?
1
Not at all
2
3
4
5
Perfectly
9
Q

crypt abscesses in intestine is caused by —

A

parvovirus

will cause villi blunting, damage and fusion

How well did you know this?
1
Not at all
2
3
4
5
Perfectly
10
Q

what causes crypt hyperplasia in intestine

A

Lawsonia intracellularis

How well did you know this?
1
Not at all
2
3
4
5
Perfectly
11
Q

fibrosis in the intestine can lead to

A

Bowel stenosis→ Altered peristalsis→ abnormal microflora proliferation→ dysmotility!

Lymphangiectasia→ protein exudation/effusion!

Decreased digestion and absorption from loss of enterocytes→ Malabsorp/maldigest!

How well did you know this?
1
Not at all
2
3
4
5
Perfectly
12
Q

granulomatous inflammation have what cells

A

epithelioid macrophages and multi nucleated giant cells

How well did you know this?
1
Not at all
2
3
4
5
Perfectly
13
Q
A

Lymphangiectasia - dilated lymphatic ducts

caused increased hydrostatic pressure and protein losing enteropathy

How well did you know this?
1
Not at all
2
3
4
5
Perfectly
14
Q

Lymphangiectasia causes

A

Increased hydrostatic pressure or decreased lymphatic drainage) → Protein Losing Enteropathy

more fluid in the poop, fluid stays in poop instead of being absorbed and causes diarrhea

How well did you know this?
1
Not at all
2
3
4
5
Perfectly
15
Q

intestine

A

muscular hypertrophy due to
Altered peristalsis: parasites, IBD

Chronic obstruction (FB, intramural mass)

Idiopathic (enteric nervous system?)

How well did you know this?
1
Not at all
2
3
4
5
Perfectly
16
Q

muscular hypertrophy of the intestinal wall will predispose — and —

A

obstruction and rupture

How well did you know this?
1
Not at all
2
3
4
5
Perfectly
17
Q

what three things cause muscular hypertrophy of intestinal wall

A

Altered peristalsis: parasites, IBD

Chronic obstruction (FB, intramural mass)

Idiopathic (enteric nervous system?)

How well did you know this?
1
Not at all
2
3
4
5
Perfectly
18
Q

Enteritis

A

inflammation of small intestine

How well did you know this?
1
Not at all
2
3
4
5
Perfectly
19
Q

Ileitis

A

small intestine (just ileum)

How well did you know this?
1
Not at all
2
3
4
5
Perfectly
20
Q

Colitis

A

colon inflammation

How well did you know this?
1
Not at all
2
3
4
5
Perfectly
21
Q

Typhlitis

A

cecum (typhl- [G] blind)

How well did you know this?
1
Not at all
2
3
4
5
Perfectly
22
Q

Enterocolitis

A

small intestine and colon

How well did you know this?
1
Not at all
2
3
4
5
Perfectly
23
Q

Gastroenteritis

A

stomach and small intestine

How well did you know this?
1
Not at all
2
3
4
5
Perfectly
24
Q

Typhlocolitis

A

cecum and colon

How well did you know this?
1
Not at all
2
3
4
5
Perfectly
25
Proctitis
rectum
26
--- is the Secretion of abnormally fluid feces accompanied by ◼ Increased volume of feces ◼ Increased frequency of defecation
diarrhea
27
4 mechanisms of diarrhea
1. Hypersecretion 2.Malabsorption/maldigestion 3. Exudation/Effusion (passive) * Damaged or obstructed capillaries, lymphatics, necrosis/erosion/ulcer 4. Deranged intestinal motility
28
how does diarrhea from hypersecretion work
bacteria will bind to membrane and secrete enterotoxins activate cAMP and cGMP that cause fluid secretion will resolve quickly after bacteria is killed
29
why does fasting have no effect on hypersecretion diarrhea
bacteria linked to cells to cause increased fluid secretion no function change
30
what will cause hypersecretion diarrhea
Enterotoxigenic E. coli (ETEC)
31
hypersecretion diarrhea will cause
dehydration and perineal staining chyle in lacteals normal but excess watery fluid in GI
32
what will ETEC do to enterocytes
no damage or ulcers will just trigger cAMP and cGMP to produce fluid causing hypersecretory diarrhea
33
4 causes of malabsorption
Microvillus damage/destruction Absorptive enterocyte necrosis/loss Crypt cell necrosis/loss Crypt hyperplasia → Epith. attenuation ( enterocytes will be immature and not absorb as well)
34
microvillus damage or destruction will cause --- grossly
Gross Lesions – Dehydration – Watery diarrhea & fecal staining cells replaced in 3 days will cause malabsorption diarrhea
35
microvillus damage or destruction will cause --- histo
– Loss of microvillus (brush) border – Villus enterocyte degeneration/sloughing will cause malabsorption diarrhea
36
which Ecoli causes damage to microvilli and causes malabsorption diarrhea
Attaching and Effacing E. Coli (AEEC) intimin loss of disaccharidases & absorptive surface area osmotic diarrhea
37
AEEC has --- that will destroy microvilli
intimin Attaching and Effacing E. Coli (AEEC) damage/destroy microvilli → Malabsorption/Maldigestion Diarrhea
38
what zoonotic pathogen damage/destroy microvilli and causes Malabsorption/Maldigestion Diarrhea
Cryptosporidium (protozoal parasite) colonizes & destroys microvilli → Enterocyte sloughing & villus blunting → +/- mild inflammation
39
villus enterocyte necrosis and loss will cause
villus to contract (blunting) villus fusion decrease in absorptive SA immature replacement cells malabsoption and osmotic diarrhea
40
enteric --- will kill villus enterocytes
coronaviruses/rotaviruses depending on species will attack more or less of the villi
41
swine GI normal on bottom
Transmissible Gastroenteritis (TGE) in swine enteric coronavirus cause severe villus blunting
42
--- are pathogens that kill crypt cells and cause malabsorption diarrhea
“Radiomimetic” viruses Feline Panleukopenia virus Canine Parvovirus Bovine Viral Diarrhea Virus (BVD)
43
feline panleukopenia virus will kill
bone marrow leukocytes & lymphocytes, crypt cells cause severe immunosuppression and malabsorption diarrhea
44
canine parvovirus will kill
lymphocytes and crypt cells cause immunosuppression and malabsorption diarrhea
45
pathogenesis of feline panleukopenia
will kill crypt cells cause villi blunting and fusion allows for opportunistic infection → Diphtheritic membranes & Septicemia slow regeneration with immature enterocytes kills off bone marrow leukocytes & lymphocytes also has teratogenic effect and causes cerebellar hypoplasia in kittens
46
clinical signs of K9 and Feline parvovirus
vomiting, malabsorptive diarrhea, dehydration, sepsis
47
lesions of K9/FE Parvoviruses
1. Necrotizing Enteritis with crypt necrosis 2. Peyers Patch Necrosis (punched out) 3. Panleukopenia (Cats! All bone marrow lineages affected) Lymphopenia (cats AND dogs) → GALT depletion, thymic atrophy, lymph node atrophy→ Immunosuppression 4. **Cerebellar hypoplasia- in utero teratogenic effect- see neuro!
48
feline small intestin
punched out peyer's patch from feline panleukopenia virus (feline parvovirus)→ kills bone marrow leukocytes & lymphocytes and crypt cells
49
histro of small intestine with feline panleukopenia
kill crypt leads to necrosis and villi blunting and fusion
50
BVD in the intestine will cause
crypt necrosis allows for secondary infection to cause Ulcers with diphtheritic membranes
51
what causes this in pigs and horses
Lawsonia intracellularis proliferative enteritis - cause crypt hyperplasia → Malabsorption/Maldigestion Diarrhea
52
what virulent pathogens will cause exudative/effusive diarrhea through increased capillary or epithelial permeability (damage or obstruction)
Salmonella (ZOONOTIC) Clostridium perfringens
53
clinical signs of K9 and Feline parvovirus
vomiting, malabsorptive diarrhea,dehydration, sepsis
54
what virulent pathogens will cause exudative/effusive diarrhea through Lymphatic obstruction → protein losing enteropathy (PLE)
Granulomatous inflammation (Johne’s disease) Neoplastic infiltrates (diffuse lymphoma = LSA)
55
two ways to cause exudative/effusive diarrhea
Increased capillary or epithelial permeability (damage or obstruction) Lymphatic obstruction → protein losing enteropathy (PLE)
56
exudative diarrhea leads to --- membranes
diphtheritic- Fibrin, Hemorrhage, Neutrophils, Cell Debris
57
Pathogen #1 that kill villus enterocytes AND damage the lamina propria
Salmonella spp. cause malabsorption and exudative diarrhea LPS/endotoxin- cause necrosis and hemorrhage of lamina propria and enterocytes
58
Pathogen #2 that kill villus enterocytes AND damage the lamina propria
Clostridium perfringens & C. difficile (HORSES!) Necrotizing to necro-hemorrhagic enterocolitis exotoxins burn tissues and damage blood vessels Mucosal necrosis with diphtheritic membranes (can look similar to Salmonella)
59
Pathogens/processes that cause Infiltrative disease→effusion/exudation
Lamina propria infiltration → increased hydrostatic pressure → prevents absorption (fluid, nutrients, lymph) → Lacteal dilation (lymphangiectasia)→ effusion Granulomatous enterocolitis- Johne’s dz & Diffuse alimentary lymphoma (“LSA”)
60
johne's disease is caused by
Mycobacterium avium subsp. paratuberculosis Acid-fast, facultative intracellular bacillus * Endemic in cattle herds (dairy>beef) →chronic diarrhea & emaciation via Protein-Losing Enteropathy (PLE)
61
Johne's disease is infiltrative and causes --- kind of diarrhea
effusion/exudation (Mycobacterium paratuberculosis) Protein-Losing Enteropathy (PLE)
61
Johne's disease is infiltrative and causes --- kind of diarrhea
effusion/exudation (Mycobacterium paratuberculosis) Protein-Losing Enteropathy (PLE)
62
what does Johne's disease lesions look like
Thickened “corrugated” mucosa – Multifocal mucosal erosions – Enlarged mesenteric lymph nodes
63
Johne's disease causes Diffuse ----Enterocolitis (ileitis/typhlitis/colitis) → inflammation extends Mesenteric --- →Villus blunting & fusion, lymphangiectasia ---- (PLE) → hypoproteinemia → emaciation
Granulomatous lymphadenitis Protein-Losing Enteropathy
64
---- →decreased contact time with mucosa→ maldigestion/malabsorption →2°secretory or osmotic diarrhea
hypermotility
65
---→ bacterial overgrowth→ toxic substance production or reduced fermentation →2°secretory or osmotic diarrhea
hypomotility
66
causes of abnormal motility
Physical stimulus or obstruction: parasites Muscular hypertrophy (IBD, Idiopathic) Peritonitis
67
what are some Physical stimulus or obstruction that lead to abnormal GI motility
Parasites, foreign bodies, strictures intraluminal or mural mass * eg lymphoma, adenocarcinoma, leio
68
what causes GI muscular hypertrophy
IBD idiopathic
69
intestinal response to injury ---- : Catarrhal, hemorrhagic, diphtheritic membranes, blunting
acute
70
intestinal response to injury ---- : fusion, crypt abscesses, crypt hyperplasia, epithelial attenuation
subacute
71
intestinal response to injury ---- : fibrosis, granulomatous inflammation (nodular or diffuse), lymphangiectasia, muscular hypertrophy
chronic
72
4 Basic Mechanisms of Diarrhea
1. Hypersecretion: ETEC 2. Malabsorption maldigestion 3. Effusion/exudation 4. Dysmotility
73
what causes hypersecretion diarrhea
ETEC
74
Malabsorption maldigestion by Microvillus damage is by
AEEC, Cryptosporidia
75
Malabsorption maldigestion by Villus Enterocyte Necrosis is by
Enteric Coronaviruses
76
Malabsorption maldigestion by Crypt Cell Necrosis
FE Panleukopenia (feline parvo), BVD
77
Malabsorption maldigestion by Crypt Hyperplasia
Lawsonia intracellularis
78
Effusion/exudation diarrhea by Lam. propria necrosis→hemorrhage is by
Salmonella Clostridium
79
Effusion/exudation diarrhea by Lam propria infiltration→lymphangiectasia:
Johne’s dz (Mycobacterium avium paratuberculosis) LSA
80
Dysmotility diarrhea by Physical obstruction from parasites such as
ascarids
81
Dysmotility from Muscular hypertrophy is by
IBD idiopathic