Test 3: lab 7 endocrine Flashcards

(14 cards)

1
Q

You are in ES and examining this dog. His name is Scruffy. The history is progressive worsening of skin lesions of about 5 weeks duration. What the correct term for the skin lesion indicated by the arrow?

A

pustule

How well did you know this?
1
Not at all
2
3
4
5
Perfectly
2
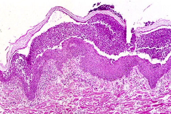
Q

skin scrapings on Scruffy are negative for mites (sarcoptes and demodex). Impression smear reveals neutrophils and rounded keratinocytes. You decide to perform a skin biopsy and bacterial culture and sensitivity from a similar pustule. What dermpath pattern is evident at low mag?

a. interface

b. follicular

c. epidermal pustular

d. superficial perivascular

A

epidermal pustular

How well did you know this?
1
Not at all
2
3
4
5
Perfectly
3
Q

9 that is located in slot 4.

What cells are evident at higher mag?

animal with pustule and epidermal pustular

A

neutrophils, eosinophils, acantholytic keratinocytes

How well did you know this?
1
Not at all
2
3
4
5
Perfectly
4
Q

what is your diagnosis animal with pustule with neutrophils, eosinophils, acantholytic keratinocytes

no bacteria

A

pemphigus foliaceus

How well did you know this?
1
Not at all
2
3
4
5
Perfectly
5
Q

Leo, a 2 yr old cocker spaniel, had a 4 week history of incessant pruritus. The owners say that the dog was scratching all night long and keeping the owners awake. Unfortunately, Leo was hit by a car, treated for multiple fractures but was ultimately euthanized. What is the definition of pruritus?

a. an unpleasant sensation that provokes a desire to scratch

b. moist exudate on skin surface

c. a burning sensation caused by nerve damage

d. bleeding from nares

A

an unpleasant sensation that provokes a desire to scratch

How well did you know this?
1
Not at all
2
3
4
5
Perfectly
6
Q

This is what Leo looked like before the car crash. There is tremendous scaling and crust on the marginal pinna and erythema and alopecia on the caudal limbs. Which of the following differentials is unlikely to cause severe pruritus in a dog?

Scabies

Adverse food reaction (food allergy)

Atopy/Atopic dermatitis

Pemphigus foliaceus

Flea bite hypersensitivity

A

Pemphigus foliaceus

How well did you know this?
1
Not at all
2
3
4
5
Perfectly
7
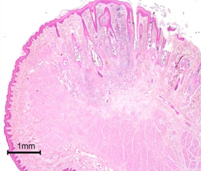
Q

Take a look at section from Leo’s skin. Curiously, can you identify the location? From what structure did the pathologist sample?

A

pinna

cartilage in the center
hair skin both sides

How well did you know this?
1
Not at all
2
3
4
5
Perfectly
8
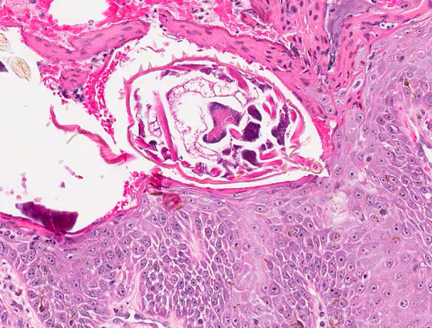
Q

the slide has marked hyperkeratosis with acanthosis. The superficial dermis has a perivascular reaction pattern. Look in the stratum corneum. What do you see?

A

scabies mites

How well did you know this?
1
Not at all
2
3
4
5
Perfectly
9
Q

Pete is an 8 month old mixed breed dog. Unfortunately, Pete was attacked by a neighbors dog and had to be euthanized. This is what Pete looked like prior to death. What skin lesions do you see?

vesicles and bullae

alopecia, erythema, mild hyperpigmentation

lichenification, erosions, ulcers

pustules and papules

A

alopecia, erythema, mild hyperpigmentation

How well did you know this?
1
Not at all
2
3
4
5
Perfectly
10
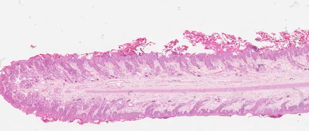
Q

We have a sample of Pete’s skin. This is low mag. Can you tell the location-this is tricky. Note that one side of the sample does not have hair.

A

lip

hair on one side

How well did you know this?
1
Not at all
2
3
4
5
Perfectly
11
Q

What is the pattern and what are your differentials for this pattern?

interface

atrophic

follicular

pustular

A

demodex infestation

follicular

How well did you know this?
1
Not at all
2
3
4
5
Perfectly
12
Q

This middle aged kitty presented to me when I was a dermatology resident. Note the deep ulcers/draining tracts. Take a look at the aperio slide. What is the histologic pattern.

A

nodular

How well did you know this?
1
Not at all
2
3
4
5
Perfectly
13
Q

We put a special stain on the slide and found these acid fast bacteria. What is your diagnosis? You know this from microbiology lectures.

A

mycobacteriosis

How well did you know this?
1
Not at all
2
3
4
5
Perfectly
14
Q

Puggy, 12 yr old MC, Shih tzu, is seen for lameness marked pawpad hyperkeratosis with crusting and erosions. The abdomen is also markedly hyperpigmented. You perform a minimum derm database (skin scrapings, impression smear, etc) and find superficial bacterial infection but you are concerned about a more serious disease. You perform a skin biopsy.

E-slide #5, located in slot 2.

The biopsy report is as follows:

The epidermis is expanded by acanthosis and severe diffuse parakeratotic hyperkeratosis. Multiple zones of pallor (intracellular edema) are located in the spinous layer. The basal layer is marked expanded and irregular. These features create a “red, white and blue” appearance to the epidermis. A neutrophilic pustule is also located in the epidermis. The superficial dermis has a mild perivascular inflammatory infiltrate.

What is your diagnosis?

A

superficial necrolytic dermatitis

How well did you know this?
1
Not at all
2
3
4
5
Perfectly