Aspergillus Flashcards

(10 cards)

1
Q

How do different levels of immune function determine form of aspergillus infection

A

Normal immune system and normal lungs will not get aspergillus disease
-Normal immune system, but abnormal lungs = aspergillomas, and CCA and CFA.
-Overactive immune system, with TH2 priming = ABPA
-Significant immunocompromise leads = invasive aspergillus disease

How well did you know this?
1
Not at all
2
3
4
5
Perfectly
2
Q

What are the three main types of aspergillus disease ?

A

Invasive
-can look like pneumonia
Chronic
Allergic
-can manifest in the sinuses as well as the lungs

How well did you know this?
1
Not at all
2
3
4
5
Perfectly
3
Q

What can aspergillomas cause ?

A

Massive haemoptysis

How well did you know this?
1
Not at all
2
3
4
5
Perfectly
4
Q

How do aspergillomas develop and how can theu be treated ?

A

Generally form in pre-existing cavities can become infected with aspergillus which develops into an aspergilloma
-e..g Emphysema bullae
-simpke, single asperiglloma treated with lobectomy (radical, but can be effective, risk spreaing fungus into plerual cavitry ehich is catastoprhic and pretty irreversible)

How well did you know this?
1
Not at all
2
3
4
5
Perfectly
5
Q

What does an asperiglloma look like is part of it is coughed up ?

A

Metallic and greenish

How well did you know this?
1
Not at all
2
3
4
5
Perfectly
6
Q

What is is the hallmark of chronic cavitary pulmonary aspergillosis (CCPA) ?

A

‘Multicavity’ disease
(Aspergillus cultures only positive in 10-40 % of cases of CCPA, aspergillus hard to culture)

How well did you know this?
1
Not at all
2
3
4
5
Perfectly
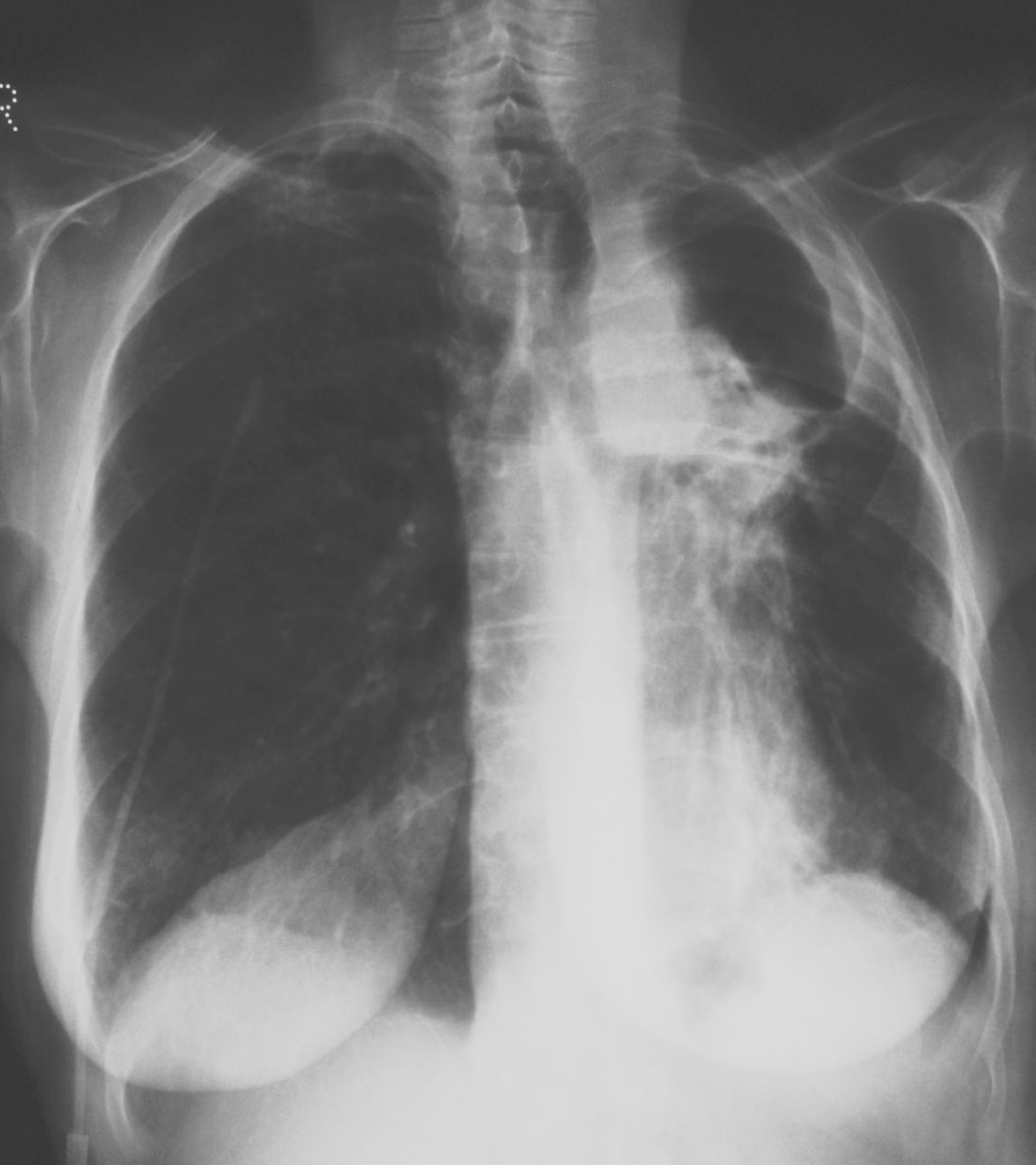
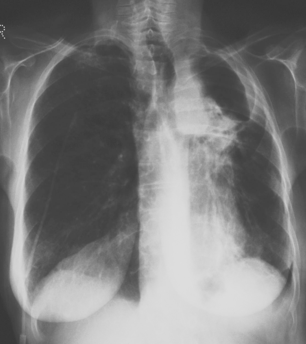
7
Q

What is this ?

A

Chronic cavitary pulmonary aspergillosis
-left apical cavity due to CCA
-In CCA, the cavity exists first, aspergiloma grows, cavity expands through damage n inflammation n stuff

-roling fungal balls cann cause problems
-other lung evebtually fibroses

How well did you know this?
1
Not at all
2
3
4
5
Perfectly
8
Q

What can cause Chronic Pulmonary Aspergillosis ?

A
How well did you know this?
1
Not at all
2
3
4
5
Perfectly
9
Q

How is chronic pulmonary aspergilosis treated ?

A

Life long anti-fungal therapy
Itraconazole frequently fails initially
Induction therapy with amphotericin B helps
Voriconazole more likely to work
Monitor for azole resistance
Only 40% positive cultures, so not always able to detect resistance
y-IFN may be helpful in some cases, but it has significant side effects

CPA has very bad prognosis

How well did you know this?
1
Not at all
2
3
4
5
Perfectly
10
Q
A
How well did you know this?
1
Not at all
2
3
4
5
Perfectly