Pleural Disease Flashcards

(51 cards)

1
Q

How much fluid is needed within the plerua to be visible on cxr ?

A

Usually contains approx 4mls (depends on weight)
Need approx. 200ml xs fluid to be detected on plain CXR

How well did you know this?
1
Not at all
2
3
4
5
Perfectly
2
Q

How do the two layers of pleura combine ?

A

Combine around the hila – so hila have no pleural coverage; forming the pulmonary ligament
-runs inferiorly and attaches the root of the lung to the diaphragm

How well did you know this?
1
Not at all
2
3
4
5
Perfectly
3
Q

What is plerual effusion and when is/isn’t it concerning?

A

Abnormal collection of fluid in pleural space
-Does not always require drainage or sampling (e.g. cardiac failure)
-Large unilateral effusions should raise concern

How well did you know this?
1
Not at all
2
3
4
5
Perfectly
4
Q

When should a plerual effusion be aspirated ?

A

If not convincingly cardiac failure

How well did you know this?
1
Not at all
2
3
4
5
Perfectly
5
Q

How is treating a plerual effusion aspproached ?

A

1) History and examination
2) PA CXR
3) US
4) Pleural aspirate (if not convincingly cardiac failure)
5) Biochemistry (transudate or exudate?)
-Cytology for cancer
Culture for infection

Other tests
-Contrast enhanced CT chest, repeat pleural tap, pleural biopsy (blind or thoracoscopy)

How well did you know this?
1
Not at all
2
3
4
5
Perfectly
6
Q

How does moving the patient affect pleural effusion ?

A

Gravity…
-fluid can move freely wthin the plerual space

How well did you know this?
1
Not at all
2
3
4
5
Perfectly
7
Q

What do different appearances of plerual fluid suggest ?

A

Straw-coloured = cardiac failure, hypoalbuminaemia (e.g. due to cancer)
Bloody = trauma, malignancy, infection, infarction
Turbid/Milky = empyema, chylothorax
Foul smelling = Anaerobic empyema
Food particles = oesophageal rupture
Bilateral – LVF, PTE, drugs, systemic path

How well did you know this?
1
Not at all
2
3
4
5
Perfectly
8
Q

What main types of fluid can be found within pleural effusion ?

A

Transudates and exudates

How well did you know this?
1
Not at all
2
3
4
5
Perfectly
9
Q

What are transudates ?

A

Thin, watery fluid that leaks out of blood vessels due to high blood pressure or low blood protein
-Protein < 30 g/L
-e.g. due to HF usually, cirrhosis, Hypoalbuminaemia, Atelectasis (ITU or post surgery), Peritoneal dialysis

Does not always have a benign aetiology

How well did you know this?
1
Not at all
2
3
4
5
Perfectly
10
Q

What are exudates ?

A

Cells and fluid that has seeped out of vessels or an organ, especially in inflammation
-Protein > 30 g/L
-e.g. due to Malignancy, Infection (inc TB), Pulmonary infarct, Asbestos
-Always look for serious pathology

TB doesnt swim so wont find it in plerual space

How well did you know this?
1
Not at all
2
3
4
5
Perfectly
11
Q

What biochemistry is looked for in pleural effusion samples ?

A

pH and glucose

How well did you know this?
1
Not at all
2
3
4
5
Perfectly
12
Q

What can pH of pleural effusion tell you ?

A

7.6 = normal (if plasma pH normal)
< 7.3 suggests pleural inflammation (malignancy/ RhA)
< 7.2 requires drainage in the setting of infection

Do not check pH if frank pus; empyema so needs drained

How well did you know this?
1
Not at all
2
3
4
5
Perfectly
13
Q

What can glucose of pleural effusion tell you ?

A

Low in infection, TB, rheumatoid arthritis, malignancy, oesophageal rupture, SLE

How well did you know this?
1
Not at all
2
3
4
5
Perfectly
14
Q

What criteria is used to determine if plerual effusion fluid is exudate ?

A

Pleural fluid is an exudate if one or more of the following criteria are met:
1) Pleural fluid protein divided by serum protein is > 0.5
2) Pleural fluid lactate dehydrogenase (LDH) divided by serum LDH is > 0.6
3) Pleural fluid LDH > 2/3 the upper limits of laboratory normal value for serum LDH.

(Also, Protein > 30 g/L)

Light’s criteria

How well did you know this?
1
Not at all
2
3
4
5
Perfectly
15
Q

What can cytology of pleural effusion tell you ?

A

Mostly looking for malignant cells
-Lymphocytes; TB, malignancy although any long standing effusion will eventually become lymphocytic
-Neutrophils suggest an acute process, infection

How well did you know this?
1
Not at all
2
3
4
5
Perfectly
16
Q

What does increased amylase in plerual fluid suggest ?

A

Pancreatitis

Oesophageal rupture

Sometimes malignancy

How well did you know this?
1
Not at all
2
3
4
5
Perfectly
17
Q

What does increased triglycerides in plerual fluid suggest ?

A

Suggests Chylothorax

Causes:

Trauma to thoracic duct / lymphatics (e.g., surgery)

Malignancy (especially lymphoma)

Lymphangioleiomyomatosis (LAM)

Chylothorax: chyle from the thoracic duct empties into the pleural space. Chyle is a milky white fluid with a high concentration of triglycerides,

How well did you know this?
1
Not at all
2
3
4
5
Perfectly
18
Q

What do cholesterol crystals in plerual fluid suggets ?

A

Suggest Pseudochylothorax

Causes:
Tuberculosis
Rheumatoid arthritis

Seen in long-standing pleural effusions.

How well did you know this?
1
Not at all
2
3
4
5
Perfectly
19
Q

What does increased creatinine in pleural fluid sugget ?

A

Suggests Urinothorax

Pleural fluid creatinine higher than serum creatinine

Usually due to urinary tract obstruction or trauma

How well did you know this?
1
Not at all
2
3
4
5
Perfectly
20
Q

What does raised denosine deaminase in plerual fluid suggest ?

A

Tuberculosis

How well did you know this?
1
Not at all
2
3
4
5
Perfectly
21
Q

What are ancillary effusions ?

A

Indirect effusions caused by cancer
Systemic tumour effects
-embolism, hypoalbuminaemia

Local tumour effects
-postobstructive infection, lymphatic obstruction, atelectasis

22
Q

What is mesothelioma ?

A

Malignant tumour of plera or rarely peritoneum
-Likelihood increases with asbestsos exposure
-Often takes 30–40 years to develop
-May cause breathlessness, chest pain, weight loss, fever, sweating and cough.

23
Q

Which asbestos is worst ?

A

Crocidilite - blue asbestos

24
Q

Which cancers are most likely to affect the plera ?

A

Virtually all cancers may metastasize to the pleura esp.
-lung cancer
-breast cancer
-(Upper GI, lymphoma, melanoma, ovary)

Median survival 3-12 months but large variation

25
What can be used to treat maligiant plerual effusions ?
Repeated pleural taps Pleurodesis
26
What is pleruodesis ?
Talcum used as sclerosing agent after drainage to keep lung stuck to chest wall after lung reinflation following drainage -Success about 60%.
27
What are complications of pleruodesis ?
Minor pleuritic pain and fever (Common). Pneumonia (Rare) Respiratory failure (Rare) Talc pneumonitis/ARDS ( Rare) Secondary empyema (Rare) Local tumor implantation at port site in mesothelioma.
28
What are long term pleural catheters ?
Long term cathers of the pleura... -Used mostly for malignant effusions -Vacuum in drainage bottle that provides suction to drain pleural fluid
29
What are complications of long term pleural catheters ?
Incorrect placement, bleeding, infection
30
How are effusions treated ?
Depends on underlying cause: LVF – diuretics Infection – drain, antibiotics, may require surgery Malignancy – drain, pleurodesis, long term pleural catheter
31
In which person are pneumothoraces more common ?
Tall thin men Smokers Cannabis Underlying lung disease
32
What are primary and secondary ptx ?
Primary -Normal lungs -due to apical bullae rupture Secondary are those occuring in those over 50 years old with significant smoking history or underlying lung disease. -Underlying lung disease (e.g. COPD) -rupture occurs are lung already damaged
33
What are differences in the symptoms caused by primary and secondary pneumothoraces ?
Priamary may be asymptomatic even if moderately sized Secondary usually symptomatic even if small
34
What are symptoms of a pneumothorax ?
Acute onset pleuritic chest pain SOB, hypoxia Signs -Tachycardia -Hyper-resonant percussion note -Reduced expansion -Quiet breath sounds on auscultation -Hamman’s sign (‘Click’ on auscultation left side)
35
How are pneumotharaces classified by size on cxr ?
Measured at hilar level not apex Small = <2cm rim of air Large = >2cm rim of air 2cm rim is approx = 50% pneumothorax by volume Chest x-ray usally enough for ptx | Rim = outer lung border to chest wall
36
How is a small, primary ptx managed ?
<2cm with no breathlessness High flow oxygen Discharge with early OPC | Small = <2cm rim of air
37
How is a large, primary ptx managed ?
>2cm and or breathless High flow oxygen Aspirate via 16-18g cannula , do not exceed 2.5L total aspirate If sucessful discharge If persistent and >2cm – drain | Large = >2cm rim of air
38
How are secondary pneumothacres treated ?
Admit all patients with secondary pneumothorax for 24 hours Generally all patients with secondary pneumothorax will need a chest drain.
39
How is removal of a drain approached following a ptx ?
24 hours after re-expansion without clamping Clamping generally unnecessary; consider only if concern persistent air leak (clamp with caution though) Never clamp a bubbling drain; wait until bubbling in drain stopped before removal. | Drain clamped to test lung inflation dpendency on it
40
When should suction be considered ?
Consider high-volume , low pressure (10-20cm H2O) suction after 48 hours if there is a persistent air leak or failure of re-expansion. | Suction applied through drain
41
What are indications for surgical treatment of a ptx ?
-Second ipsilateral ptx -First contralateral ptx -Bilateral spontaneous ptx -Persistent air leak -Risk professions (pilots, divers) after first ptx
42
What is a tension pneumothorax ?
One-way valve, progressively increasing pressure in pleural space Pushes other chest organs to opposite side to affected side Emergency – can lead to cardiac arrest
43
What are specific signs of a tension ptx ?
Acute respiratory distress Signs -Trachea deviated to opposite side -Hypotension -Raised JVP -Reduced air entry on affected side
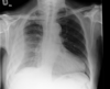
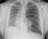
44
What is this ?
Tension ptx
45
How is a tension ptx treated ?
Needle decompression in second intercostal space anteriorly, mid-clavicular line -Usually with large bore
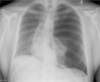
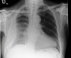
46
What is this ?
Ptx
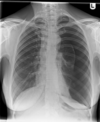
47
What does this show ?
Pleural infection -Effusion siting on side of chest and is not meniscus; pus -Pleural infections can rapidly coagulate and organize to form fibrous peels even with antibiotics. | Pleural effusion would gather at the bottom
48
What are risk factors for a plerual infection ?
Extremes of age Following pneumonia (not always tho) diabetes mellitus immunosuppression including corticosteroids gastro-oesophageal reflux alcohol misuse intravenous drug abuse | Significant mortality (up to 20%)
49
What are the main types of plerual infection ?
1) Simple parapneumonic effusion -none of below, treated with antibiotics alone, may need drainage later on if things change 2) Complicated parapneumonic effusion -+ve G stain, pH <7.2, low glucose, septations, loculations. 3) Empyema -pus ## Footnote Quickly sample pleural fluid to identify parapneumonic effusions that require urgent tube drainage
50
How are antibtioics used to treat pleural infection ?
Usually 6 weeks of Co-amoxiclav -Avoid aminoglycosides (e.g. gent) which have poor pleural penetration -Intra-pleural antibiotics not recommended (Also treated with draining as appropriate) | If CRP hasn’t halfed within 3 days = treatment not wokring
51
What is Intra-pleural tPA & Dnase ?
Used for complicated pleural effusions or empyema -Improves fluid drainage and reduces surgical referral and duration of hospital stay.