Bronchiectasis Flashcards

(17 cards)

1
Q

What is Bronchiectasis ?

A

Localised, irreversible dilation of the bronchial tree
-Involved bronchi are dilated, inflamed and easily collapsible
-Airflow obstruction
-Impaired clearance of secretions and persistant production (breathlessness, infection)

Sputum colonisatiopn and repeat infections

How well did you know this?
1
Not at all
2
3
4
5
Perfectly
2
Q

How does bronchiecstasis present ?

A

Recurrent “chest infections”
Recurrent antibiotic prescriptions
No or short lived response to antibiotics

Colonisation

How well did you know this?
1
Not at all
2
3
4
5
Perfectly
3
Q

How does bonchiecstasis alter the airways ?

A

Dilatation of airways, thickening of bronchial walls, lack of tapering of airways.

How well did you know this?
1
Not at all
2
3
4
5
Perfectly
4
Q

How can CF cause bronchiecstais ?

A

chronic sputum production, recurrent infections, chronic bronchial sepsis.
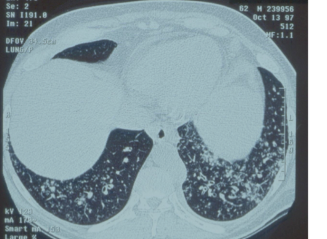
The right scan is a patient with IPF – it shows traction bronchiectasis, they have only breathlessness, no sputum, no infections, no chronic infection.

How well did you know this?
1
Not at all
2
3
4
5
Perfectly
5
Q

How can idiopathic pulmonary fibrosis cause bronchiecstasis ?

A

Traction bronchiectasis
-airway walls thicken and this pulls on and dilates airways
-only breathlessness, no sputum, no infections, no chronic infection

How well did you know this?
1
Not at all
2
3
4
5
Perfectly
6
Q

What is tree-in bud opacification ?

A

Suggestive of bronchiecstasis
-Suggesting small airway mucus impaction
-Small, branching, nodular structures in the lungs that resemble a budding tree

Seen in CT

How well did you know this?
1
Not at all
2
3
4
5
Perfectly
7
Q

What is signet-ring sign ?

A

In lungs bronchi travel with an artery which should be larger; in bronchiecstasis, the bronchi are larger

-white is artery black is borochi

How well did you know this?
1
Not at all
2
3
4
5
Perfectly
8
Q

What is the The radiological definition of bronchiectasis ?

A

-Abnormally widened and thickened airway with an irregular wall -Lack of tapering and/or visibility of the airway in the periphery of the lung

How well did you know this?
1
Not at all
2
3
4
5
Perfectly
9
Q

What can be mistaken for bronchiecstasis ?

A

Chronic Bronchial Sepsis/Persistent Bacterial Bronchitis
-All the hallmarks of bronchiectasis e.g. positive sputum results
-Typically younger women in childcare or older people with COPD or airway disease
-Remember the sinuses - reservoir of infection
-Same work-up as bronchiectasis, but no bronchiectasis on the HRCT

If untreated, this can lead to bronchiecstasis

How well did you know this?
1
Not at all
2
3
4
5
Perfectly
10
Q

Which investigations can be used in bronchiecstasis ?

A

-HRCT Chest
-FBC, U&Es, LFT
-IgG/M/A (screen for primary immunodefiencies)
-Functional antibodies
-Aspergillus IgG/IgE and Total IgE (screen for allergic bronchopulmonary aspergillosis)
-Standard and Mycobacterial Cultures
-Consider Vasculitis screen and CTD screen (rare diseases which can cause bronchiecstasis)

LFT = liver function test, CTD = connective tissue disease

How well did you know this?
1
Not at all
2
3
4
5
Perfectly
11
Q

What are treatment options for bronchiecstasis ?

A

Stop smoking
‘Flu vaccine
Pneumococcal vaccine
Reactive antibiotics
-Send sputum sample
-Give antibiotics appropriate to most recent positive culture
-14 days of antibiotics

How well did you know this?
1
Not at all
2
3
4
5
Perfectly
12
Q

How should antibtioics be prescribed to a patient with bronchiecstasis and colonisation by a persistent bacteria ?

A

Chronic treatment options:
-Oral macrolide antibiotic
-Nebulised gentamicin or colomycin or tobramycin
-Pulsed IV abx

Colonised bacteria can become active when sick with something else

How well did you know this?
1
Not at all
2
3
4
5
Perfectly
13
Q

Explain Anti-inflammatory Treatment of bronchiecstasis ?

A

Low dose macrolide antibiotics have been shown to reduce exacerbation rates in bronchiectasis
-Clarithromycin 250 mg OD
-Azithromycin 250mg Three Times a Week
-Not very effective in current smokers so not given

How well did you know this?
1
Not at all
2
3
4
5
Perfectly
14
Q

How are Acute Exacerbations in bronchiecstasis treated ?

A

2 weeks of antibiotics appropriate to the most recent positive sputum sample
-Send sputum every time
-Alter antibiotics if the sputum culture shows resistant organisms
-Aggressively eradicate Pseudomonas Aeriginosa

How well did you know this?
1
Not at all
2
3
4
5
Perfectly
15
Q

What is pseudomonas ?

A

Gram negative bacteria, seen mainly in hospitals,
-Colonisation in borchiestastis and CF progresses from haemohpihillus to staph to pseudomonas; latters are worse
-Ciprofloxacene (a quinione) currently used but can tear achilles tendon, also C. diff

How well did you know this?
1
Not at all
2
3
4
5
Perfectly
16
Q

What is the mainstay of ther ?apy in bronchiectasis

A

Physiotherapy for airway clearance
-ACBT, Huffing, AD

Need to know microbiology of patient for antimicrobial therapy plan

17
Q

What is Primary Ciliary Dyskinesia ?

A

Very rare cause of bronchiectasis.
-You only find it, if you look for it
-Nasal cilial biopsy, culture, video microscopy and electron microscopy
-Causes infertility in men as sperm tails dont work so cant swim, causes infertility in women as cilia in tubes don’t work