CXR Tutorial Flashcards

(63 cards)

1
Q

Which factors contirbute to a technically accurate CXR ?

A

Inspiration
Rotation
Penetration (is there enough radiation?)

How well did you know this?
1
Not at all
2
3
4
5
Perfectly
2
Q

How can a properly inspirated CXR be identified ?

A

Anterior ends of at least 5 ribs should be visible (see next slide)
-Poorly inspired can simulate pathology when there is none

How well did you know this?
1
Not at all
2
3
4
5
Perfectly
3
Q

How can a properly rotated CXR be identified ?

A

If a CXR is correctly centred, the medial ends of the clavicles should be equidistant from the spinous processes of the upper thoracic vertebrae
-Poorly inspired can simulate pathology when there is none

How well did you know this?
1
Not at all
2
3
4
5
Perfectly
4
Q

What are hilar points ?

A

Angle formed by descending upper lobe veins as they cross behind lower lobe arteries
-Left should be superior to right
-Hila are common place for bronchial carcinoma to arise and may become enlarged due to lymph nodes
-Not always clear
-Useful to determine hila position

How well did you know this?
1
Not at all
2
3
4
5
Perfectly
5
Q

When are minor bronchi visible ?

A

Minor bronchi are poorly shown, unless calcified, as may occur in older people.

How well did you know this?
1
Not at all
2
3
4
5
Perfectly
6
Q

Which lobe is which ?

A

Red: right upper lobe (RUL)
Green: right middle lobe (RML)
Purple: right lower lobe (RLL)
Yellow: left upper lobe (LUL)
Blue: left lower lobe (LLL)

How well did you know this?
1
Not at all
2
3
4
5
Perfectly
7
Q

Which lobe is which ?

A
How well did you know this?
1
Not at all
2
3
4
5
Perfectly
8
Q

Which lobe is which ?

A
How well did you know this?
1
Not at all
2
3
4
5
Perfectly
9
Q

Which lobe is which ?

A

The lingular segments of the left upper lobe abut the left heart border, so can be thought of as anatomically equivalent to the middle lobe in the right lung.

“Abut” means: to lie next to or to directly touch.

How well did you know this?
1
Not at all
2
3
4
5
Perfectly
10
Q

Where are hemidiaphragms normally positioned ?

A

Right diaphragm lies about 1.5cm above the left diaphragm
-Major deviations from this usually indicate disease.

How well did you know this?
1
Not at all
2
3
4
5
Perfectly
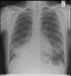
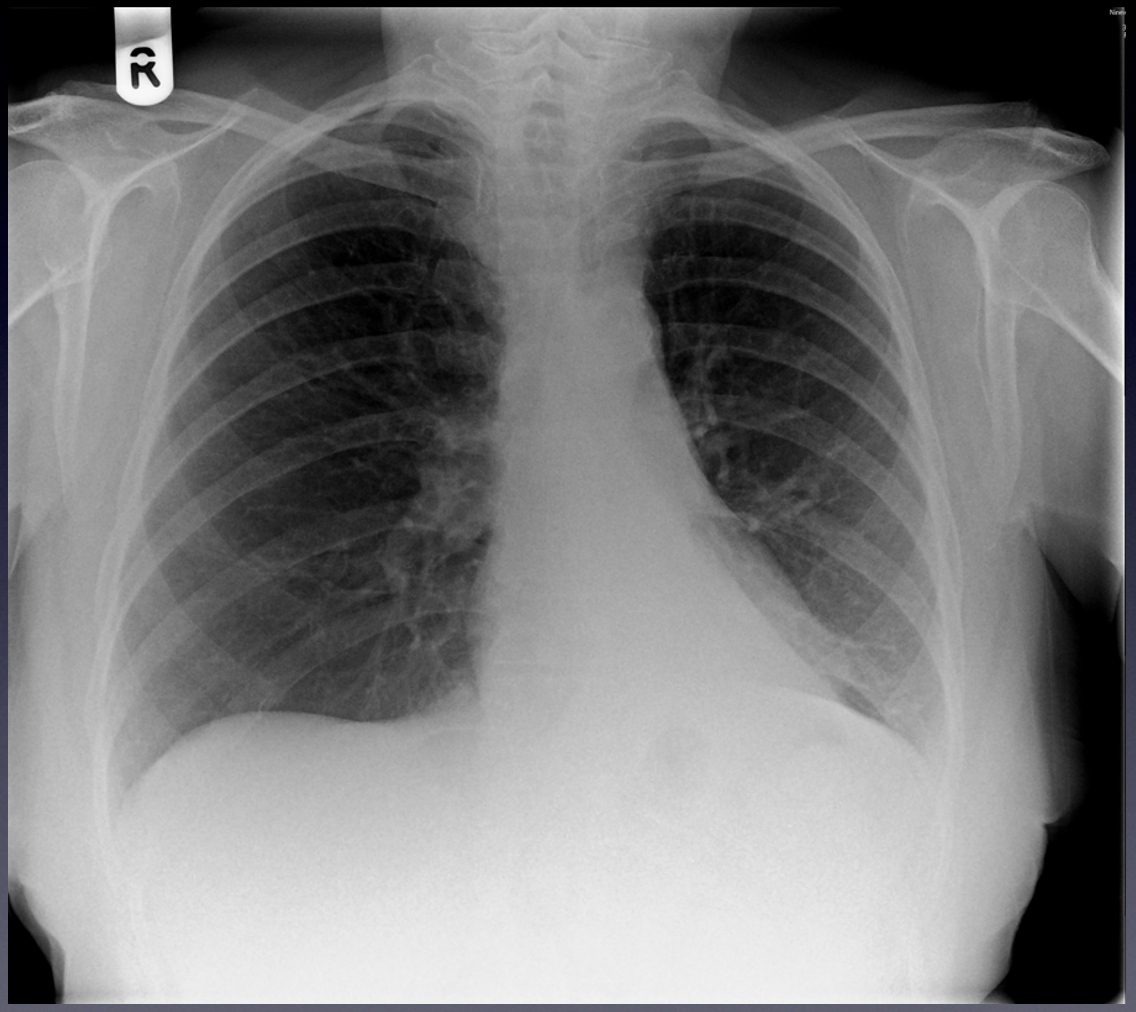
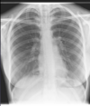
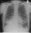
11
Q

Go

A

Normal CXR

How well did you know this?
1
Not at all
2
3
4
5
Perfectly
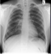
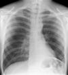
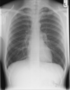
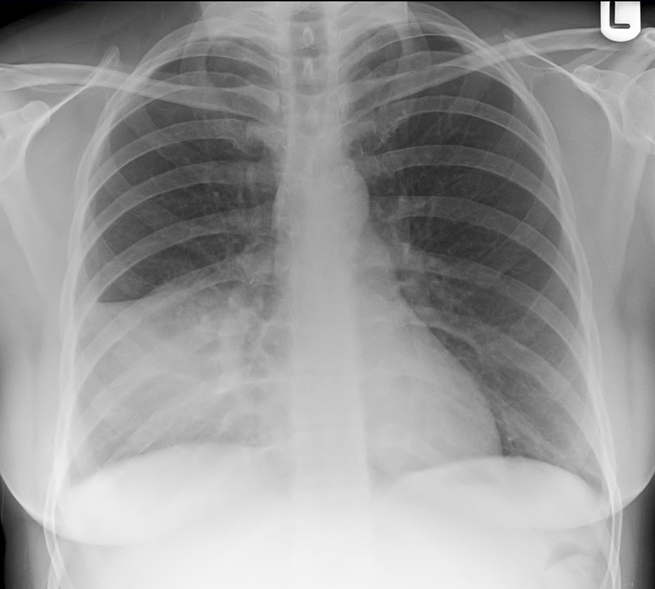
12
Q

Go

A

Normal CXR

How well did you know this?
1
Not at all
2
3
4
5
Perfectly
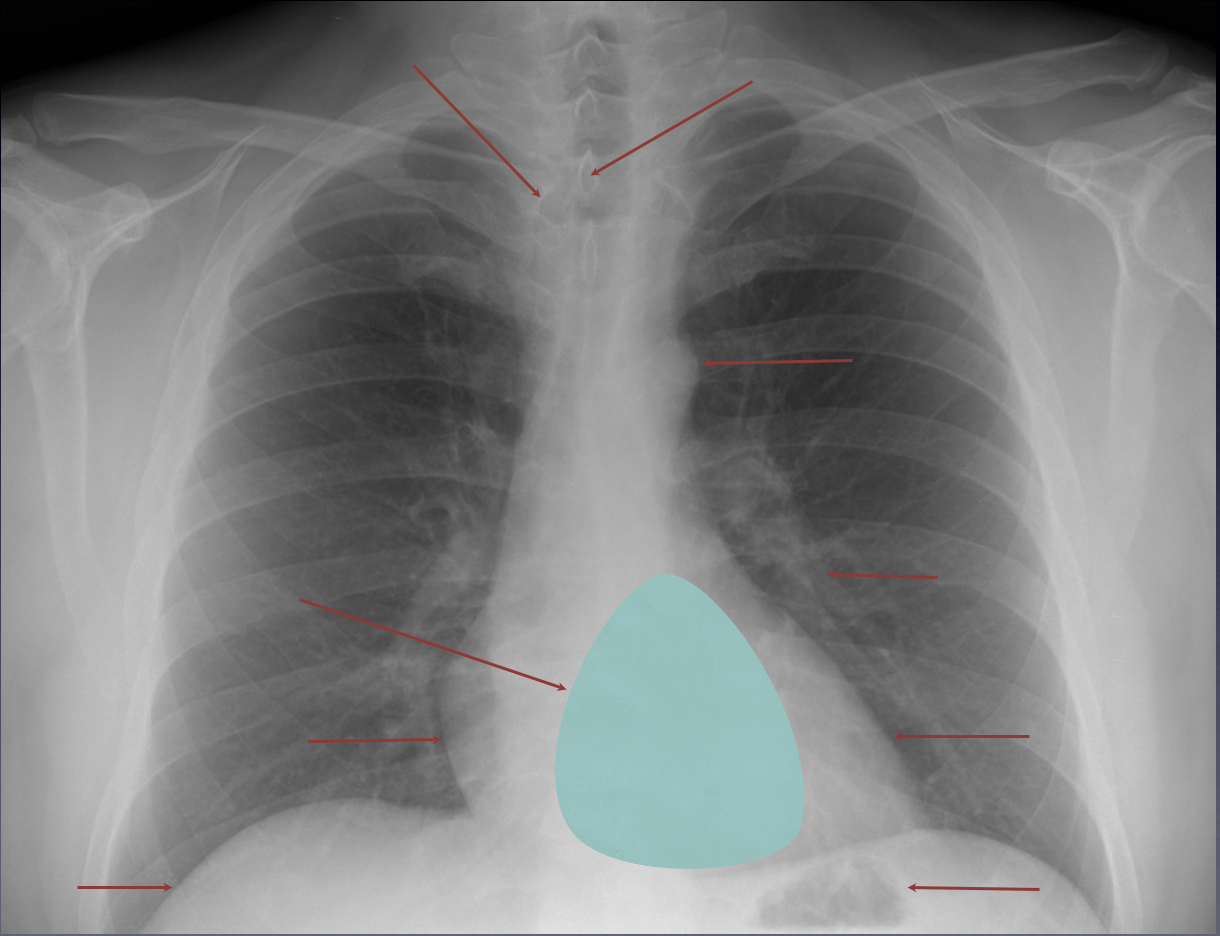
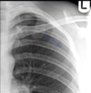
13
Q

Go

A

The retrosternal and retrocardiac spaces should be dark on a lateral CXR.
-If they are not, disease is present

Normal CXR

How well did you know this?
1
Not at all
2
3
4
5
Perfectly
14
Q

Which CXR landmarks are used when confirming nasogastric tube position ?

A

1) NGT descends the thorax in the midline.
2) NGT bisects carina.
3) NGT crosses diaphragm in midline.
4) NGT tip sits below the diaphragm

Most tube positions are confirmed by pH of aspirate

How well did you know this?
1
Not at all
2
3
4
5
Perfectly
15
Q

What is Silhouette sign ?

A

Occurs when two structures of similar radiographic density (like fluid and tissue) are adjacent, making their borders indistinguishable.
-helps identify potenial area of disease/abnormailty which obscures normal anatomical outlines
-indicates potential issues such as lung or pleural abnormalities; water density, infection, blood, pus etc

How well did you know this?
1
Not at all
2
3
4
5
Perfectly
16
Q

Which borders should be visible on a CXR ?

A

Silhouette sign obscures these

How well did you know this?
1
Not at all
2
3
4
5
Perfectly
17
Q

Where do different structures come into contact with the lung and create a silhouete

A
How well did you know this?
1
Not at all
2
3
4
5
Perfectly
18
Q

How does pneumonia affect CXR ?

A

Airspaces are filled by inflammatory exudate and affected lung becomes of soft tissue density.

Exudate is a protein-rich fluid

How well did you know this?
1
Not at all
2
3
4
5
Perfectly
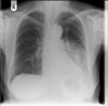
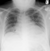
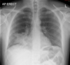
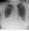
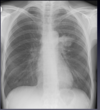
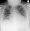
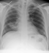
19
Q

What is this ?

A

Right middle lobe pneumonia
-Silhouette sign of right heart border opposite can no longer be discerned, so we can predict that the right middle lobe is involved.
-Note that the right diaphragm remains visible.

How well did you know this?
1
Not at all
2
3
4
5
Perfectly
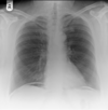
20
Q

What is this ?

A

Lingular pneumonia
-Infection of the lingula causes the left heart border to become obscured, as shown opposite.

How well did you know this?
1
Not at all
2
3
4
5
Perfectly
21
Q

What causes lobar collapse ?

A

Obstruction of a lobar bronchus
-Lobe supplied by obstructed bronchus is no longer ventilated and its air gets resorbed;loses volume and begins collapses
-Causes of bronchial obstruction include tumours, aspirated foodstuffs, mucus impaction etc.
-Effusion can collapse lung

PTX can collapse lobe or even whole lung but are not the same thing

How well did you know this?
1
Not at all
2
3
4
5
Perfectly
22
Q

How does a lobe collapse appear on CXR ?

A

Collapsed lobe’s density increases and the adjacent major fissure is dragged out of position towards the collapse

How well did you know this?
1
Not at all
2
3
4
5
Perfectly
23
Q

How does a left lower lobe collapse appear on PA and lateral CXR ?

A

Increased opacity in grey areas

How well did you know this?
1
Not at all
2
3
4
5
Perfectly
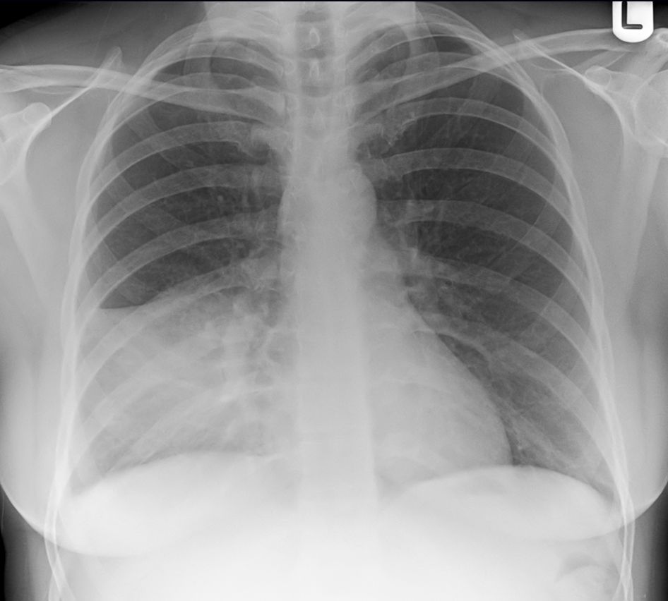
24
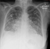
Q

What is this ?

A

Left lower lobe collapse

How well did you know this?
1
Not at all
2
3
4
5
Perfectly
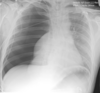
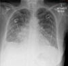
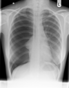
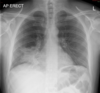
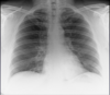
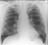
25
What is this ?
Right upper lobe collapse
26
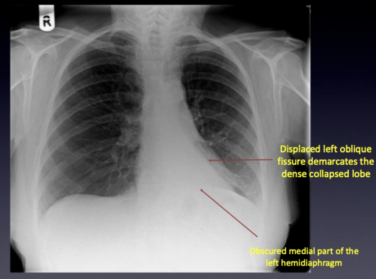
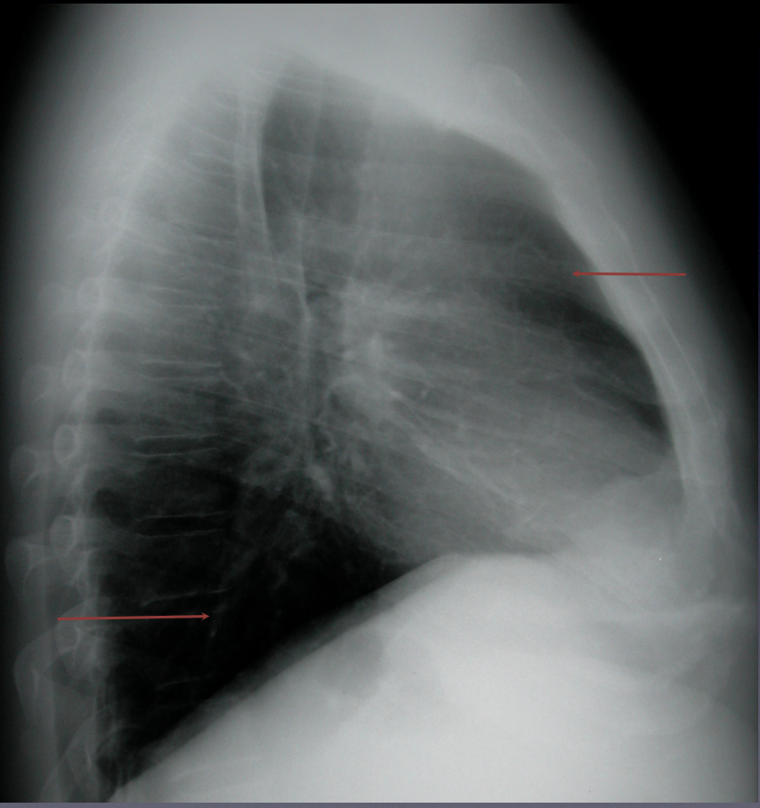
What does the Left upper lobe collapse pattern look like ?
Left oblique fissure is pulled anteriorly A well defined lobar edge becomes visible on the lateral view Collapsed lobe abuts the left heart border which becomes obscured on the PA view. Other PA signs include -attenuation of the x-ray beam throughout much of the left hemithorax, seen as a ‘veil like’ opacity -reduced left lung size | Abuts = next to or have a common boundary with.
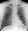
27
What is this ?
Left upper lobe collapse
28
How do primary bronchial malignancy and metastates present ?
Primary -may present with lobar collapse or as a discrete mass, as shown below, to the left hilum opposite. Metastases -often appear as multiple nodules. Look for enlarged lymph nodes and areas of focal bone destruction indicating skeletal
29
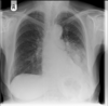
How does pleural effusion affect a CXR ?
Pleural cavity is only visible on CXR when it is filled by fluid (pleural effusion) or air (pneumothorax). -On erect CXR dense pleural fluid collects at lung bases and often forms the curved appearance of a ‘meniscus’ at the lung edges -Pleural fluid may track into the oblique and horizontal fissures; thickened fissure lines
30
What is this ?
Pleural effusion
31
Give examples of pleural diseases
Pleural effusion Pneumothroax
32
What is a pneumothorax
A plerual disease usually following rupture of visceral pleura, allowing air to rush in from lungs every time the patient inspires. -Pleural air can accumulate, impairing respiratory function. -Small pneumothorax is subtle;look for dark crescent without lung markings bounded medially by the lung edge. It is often at the lung apex. | Can be Iatrogenic
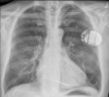
33
What is this ?
Ptx -Look at where lung edge is -Lack of bronchovscualr markings (white lines) above
34
What is this ?
Righ Ptx
35
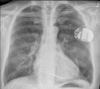
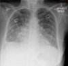
What is this ?
Iatrogenic left pneumothorax from pacemaker insertion
36
What is a tension pneumothorax ?
If Ptx accumulates lots of air, it will squash lungs blocking ventilation -medical emergency; ptx needs drained immediately. Below: -Large air filled right pleural space; displaces mediastinum to left and depresses right diaphragm. -Collapsed right lung is squashed against the heart.
37
What is this ?
Tension ptx
38
How do collapsed lungs affect the diaphragm ?
A collapsed lung (atelectasis) usually pulls the ipsilateral diaphragm upward.
39
What are CXR signs of cardiac failure ?
1) Cardiac Enlargement (Cannot be accurately measured on AP image) 2) Upper Lobe Blood Diversion. 3) Interstitial lines. 4) Pleural effusions. 5) Alveolar Oedema (initially peri-hilar). Note also the Oxygen tubing and cardiac monitor clips, other signs this patient is very unwell.
40
What is this ?
Cardiac failure
41
What is this ?
Aspiration -Tooth with distal consolidation
42
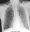
What is this ?
Extra Pulmonary Disease -Here, free gas under both hemi-diaphragms (Pneumoperitoneum) indicating a perforated abdominal viscus.
43
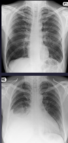
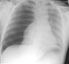
What is here ?
Left pneumonia has developed -lungs weird form childhood TB so differences from previous CXR useful
44
What is plerual rub ?
Visceral and parietal pleura become inflamed and rub against each other. It usually suggests pleuritis (pleural inflammation) -Pain typically worse on inspiration -Many causes, one of which is infection
45
What is this ?
Right lower lobe pneumonia Ccant see right hemi diaphram and heart border with diaphragm Loss of right hemidiaphragm silhouette = right lower lobe involvement Right heart border visible = not primarily right middle lobe More consistent with pneumonia than congestion
46
What is this ?
Pneumomediastinum from oesophageal perforation
47
What is this ?
Endotracheal tube inserted too far into right main bronchus.
48
What is this ?
Tension Ptx -No markings on right -Mediastinnal shift
49
What does two bilateral equal symmetrical lines coming down vertical suggest ?
Scapula lines -radiogrpaher forgot to get patient to move arms
50
Compare lung markings in lung collapse and ptx
Lung collapse (atelectasis) → bronchovascular markings are still present (but crowded). Pneumothorax (PTX) → no bronchovascular markings beyond the pleural line.
51
What does quiet brathing suggets ?
No air getting in so no sound made -Couple be collaps or consolidation
52
What is this ?
Right middle and lower lobe collapse -Can’t see diaphragm border — lower lobe collapse
53
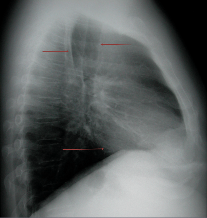
What does loss of right paratracheal stripe indicate ?
Right upper lobe pathology
54
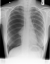
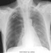
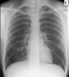
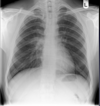
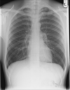
What is this ?
Normal
55
What is this ?
Left lower lobe consolidation/pneumonia
56
What is this ?
Normal right internal jugular-brachiocephalic and left subclavian-brachiocephalic vein catheters
57
What is this ?
Right middle lobe consolidation/pneumonia
58
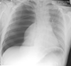
What is this ?
Left pneumothorax
59
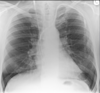
What is this ?
Right upper lobe collapse
60
What is this ?
Right midzone consolidation/pneumonia
61
What is this ?
Misplaced NG tube in right main bronchus
62
What is this ?
Left lower lobe collapse
63
What is this ?