Complex and Chronic Lung Infections Flashcards

(23 cards)

1
Q

What causes Complex and Chronic Lung Infections ?

A

Mycobacterial (NTM) and Fungal Lung infections

How well did you know this?
1
Not at all
2
3
4
5
Perfectly
2
Q

What is NTM ?

A

Non-Tuberculous Mycobacteria
-mycobacterial species other than those belonging to Mycobacterium tuberculosis complex or those causing leprosy
-found in infected soil and water, contracted through environment to susceptible host
-Usually not transferred from person-person
-Most common are the slow growing Mycobacterium avium complex (MAC) e.g. M.avium, M.intracellulare, M.chimaera

How well did you know this?
1
Not at all
2
3
4
5
Perfectly
3
Q

When can a human contract an NTM ?

A

NTM is found in infected soil and water, contracted through environment to susceptible host
-Susceptible host = immunocompromised, other pre-existing lung conditon (COPD, CF)

Usually not transferred from person-person except in CF patients there is some evidence of cross infectivity

Also bronchiecstasis makes susceptible but does so another way

How well did you know this?
1
Not at all
2
3
4
5
Perfectly
4
Q

What are NTM good and bad at fighting ?

A

Found in environment so contact fungi often
-Resistant to fungi produced antimicrobials
-Good at fighting other bugs

Suck at fighting immune system
-chill if youre normal, immunocompromisation dangerous and is also hard to treat

How well did you know this?
1
Not at all
2
3
4
5
Perfectly
5
Q

Compare the specificity of NTM and TM

A

NTM more lung specific

How well did you know this?
1
Not at all
2
3
4
5
Perfectly
6
Q

How is a potential NTM infection investigated ?

A

1) Clinical features
-Respiratory symptoms (cough, sputum, breathlessness)
-B-symptoms (fever, weight loss, night sweats)
-Haemoptysis

2) Microscopy & Culture, one of the following:
-Two positive sputum cultures
-One positive BAL (bronchoalveolar lavage) sample
-Positive PCR

3) Radiology (usually CT)
-Bronchiectasis with nodules
-Cavitary disease
-Tree-in-bud pattern

Hard to determine if NTM is causative, since environmntal can just be found

How well did you know this?
1
Not at all
2
3
4
5
Perfectly
7
Q

How are NTM stained ?

A

Are acid-fast bacill

  1. All cells stained pink with carbol fushsin
  2. Acid washed
    MB cell wall is “acid fast” remains pink, other cells de-stained
  3. Slide washed by green/blue dye
  4. Other cells take up green/blue dye

Mycobacteria are acid fast

How well did you know this?
1
Not at all
2
3
4
5
Perfectly
8
Q

How is an NTM infection treated ?

A

18 months of relevant Abx as per severity
-Rifampicin, ethambutol, azithromicin 3x/week if non-severe or daily if severe
-Isoniazid or moxifloxacin instead of clarithromicin/azithromicin if resistant

-drugs are really mean so possibly better to not treat if not worth it

How well did you know this?
1
Not at all
2
3
4
5
Perfectly
9
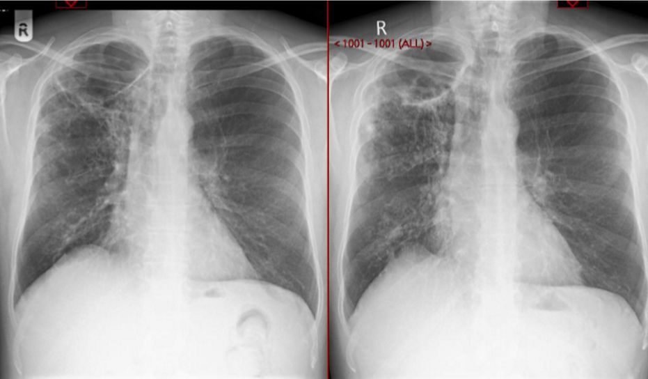
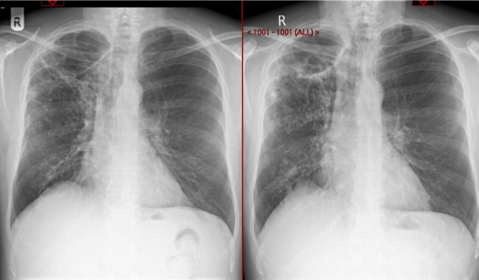
Q

What is this ?

A

Cavitating NTM disease

How well did you know this?
1
Not at all
2
3
4
5
Perfectly
10
Q

Give examples of fungi

A

Aspergillus most relevant to human health
-We breath in loads of aspergillus spores everyday but its fine for most people
-Pneumocystis is also a fungi
-Histoplasmosis most common worldwife; found in bird droppings e.g. in caves n stuff

How well did you know this?
1
Not at all
2
3
4
5
Perfectly
11
Q

Describe the graph modelling disease severity

A
How well did you know this?
1
Not at all
2
3
4
5
Perfectly
12
Q

What does galactomannan presence mean ?

A

Detects hyphal growth of Aspergillus

How well did you know this?
1
Not at all
2
3
4
5
Perfectly
13
Q

What does Aspergillus IgG mean ?

A

detects memory antibodies to Aspergillus

How well did you know this?
1
Not at all
2
3
4
5
Perfectly
14
Q

What does Aspergillus IgE mean ?

A

detects ‘allergic’ antibodies to Aspergillus

How well did you know this?
1
Not at all
2
3
4
5
Perfectly
15
Q

What is an aspergiloma ?

A

Ball of aspergillus which grows inside a cavity

How well did you know this?
1
Not at all
2
3
4
5
Perfectly
16
Q

Give an example of a class of oral drugs which can be used to treat aspergillus

A

Itraconazole
-Only oral anti-fungals end in ‘azole’

17
Q

How damaging is an aspergiloma and how does this come about ?

A

Only need to treat if problematic

18
Q

How damaging is invasive aspergillosis and how does this come about ?

19
Q

A patient is tried on voriconazole but is not tolerating it. What can be used instead ?

A

Posaconazole (branded: noxafil)

voriconazole causes photosensitivity and sight problems

20
Q

Which immune cells are important against mycobacteria ?

A

T cells, especially CD4+ T cells, are crucial for controlling Mycobacteria (like Mycobacterium tuberculosis).
-They coordinate cell-mediated immunity, activating macrophages to kill the bacteria inside them.
-People with HIV/AIDS or other T-cell deficiencies are much more susceptible to TB

Steroids suppress T cells and other immune functions → higher risk of fungal infections.

21
Q

What is the first line of defence against many fungi, including aspergillus ?

A

Neutrophils are the first line of defense against many fungi, like Aspergillus.
-They engulf fungal spores (phagocytosis). They release enzymes and reactive oxygen species that kill fungi.
-People with neutropenia (low neutrophils) are at high risk for invasive fungal infections.
-Chemotherapy, bone marrow transplants, and some medications can reduce neutrophil counts.

22
Q

What can predispose to fungal lung infections ?

A

People with structural lung damage are more prone to fungal colonization, even if neutrophils are normal:
-Fibrosis
-COPD
-Bronchiectasis
-Old cavities from TB or pneumonia

These abnormal spaces allow fungi to settle and grow (like aspergillomas).