GI Histology Flashcards

(50 cards)

1
Q

What lines the cavities of the head ?

A

Oral cavity, oropharynx and laryngopharynx
-stratified squamous epithelium
-generally not keratinized

Nasal cavity and nasopharynx
-covered by respiratory epithelium

How well did you know this?
1
Not at all
2
3
4
5
Perfectly
2
Q

What lines the tongue ?

A

Anterior 2/3
-Stratified squamous epithelium
-thin on ventral surface
-thick and with papillae on the dorsal (top) surface

Posterior 1/3
-smooth stratified squamous epithelium
-except for circumvallate papillae, lacks papillae
-substantial lymphoid aggregates in the submucosa

Skeletal muscles in tongue

How well did you know this?
1
Not at all
2
3
4
5
Perfectly
3
Q

What is what ?

A
How well did you know this?
1
Not at all
2
3
4
5
Perfectly
4
Q

What are papillae of the tongue ?

A

Outward projection of lamina proporia lined with epithelium
-Lamina propria is a connective tissue layer

How well did you know this?
1
Not at all
2
3
4
5
Perfectly
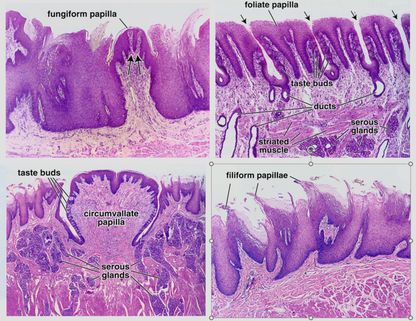
5
Q

What are the four types of tongue papillae ?

A

1) Fungiform

2) Circumvallate
-serous glands open into deep gap surrounding them; moistens tongue

3) Foliate

4) Filiform
-only type with no tastebuds
-only keratanised layer (holds food before/during start of swallowing)
-occupies much of dorsal surface)

All have tastebuds minus filiform

How well did you know this?
1
Not at all
2
3
4
5
Perfectly
6
Q

Where and what are tonsils ?

A

Entrance to oropharynx
-pharynx has ring of lymphoid tissues; palatine, lingual, tubal and pharyngeal tonsils (adenoids).
-Mainly palatines have crypts; lined with stratified squamous epithelium and the lymphoid follicles (a bit lingual aswell)

Tongue is also stratified squamous epithelium

How well did you know this?
1
Not at all
2
3
4
5
Perfectly
7
Q

What are the 4 major layers of digestive tract architecture from oesophagus to the anal canal ?

A

1) Mucosa (aka mucous membrane): 3 parts
-Epithelium: sits on a basal lamina
-Lamina Propria: loose connective tissue
-Muscularis Mucosae: thin layer of smooth muscle

2) Submucosa: dense irregular connective tissue

3) Muscularis Externa: two thick layers of smooth muscle, an inner circular layer and an outer longitudinal layer

4) Serosa or Adventitia: outer layer of connective tissue that either suspends the digestive tract or attaches it to other organs

starting from the lumen and going out

How well did you know this?
1
Not at all
2
3
4
5
Perfectly
8
Q

What are serosa and adventitia ?

A

Serosa = visceral peritoneum (which is made of mesothelium + connective tissue)

Adventitia = connective tissue only (no mesothelium, no peritoneum)

How well did you know this?
1
Not at all
2
3
4
5
Perfectly
9
Q

Where are glands found in different parts of the GI tract ?

A

Submucosal glands
-Oesophagus; mucus
-Duodenum; Brunner’s alkaline mucus

Glands in lamina propria
-All other GI glands; mixed secretory functions

Oesophagus and duo have glands in both layers

How well did you know this?
1
Not at all
2
3
4
5
Perfectly
10
Q

What is the Gastro-oesophageal junction ?

A

Abrupt transition from stratified squamous epithelium of oesophagus to the simple columnar epithelium of the cardia of the stomach
-All GI epithelium after the oesophagus is simple columnar, except the anal canal, which transitions to stratified squamous epithelium.

How well did you know this?
1
Not at all
2
3
4
5
Perfectly
11
Q

What does a cross section of stomach surface reveal ?

A

Rrelatively flat surface, but with holes in it; gastric pits
-Gastic pits are lined by surface mucous cells; simple columnar epithelium
-At the bottom of the gastric pits are 1-7 gastric glands

How well did you know this?
1
Not at all
2
3
4
5
Perfectly
12
Q

What are gastric glands ?

A

Found at bottom of gastric pits and produce HCl
Cells of gastric gland are not evenly distributed:
-Isthmus = mostly parietal cells and stem cells
-Neck =mostly neck mucous cells and parietal cells.
-Fundus (base) = mostly chief cells, with a few parietal cells and enteroendocrinecells(aka neuroendocrine cells)

How well did you know this?
1
Not at all
2
3
4
5
Perfectly
13
Q

What do which cells of the gastric glands do ?

A
How well did you know this?
1
Not at all
2
3
4
5
Perfectly
14
Q

How does the mucosa differ in different stomach regions ?

A

The mucosa differs subtley in different regions of the stomach:
-Cardia: Deep gastric pits that branch into loosely packed, tortuous glands.
-Fundus: Shallow gastric pits with long straight gastric glands.
-Pylorus: Deep gastric pits with branched, coiled gastric glands at a higher density than in the cardia

Fundus and body have same mucosa

How well did you know this?
1
Not at all
2
3
4
5
Perfectly
15
Q

How does the muscularis externa of stomach and gastoduodenal junction differ to that of the rest of the GI tract ?

A

Contains an additional layer
-oblique to the usual circular and longitudinal muscle layers and is internal to the circular layer
-aids the churning action of the stomach
-abrupt transition from stomach to duodenal mucosa. The inner, circular layer of smooth muscle is markedly thickened to form the pyloric sphincter (PS).

How well did you know this?
1
Not at all
2
3
4
5
Perfectly
16
Q

What is revealed in a cross-section of small intestine surface ?

A

Villi, finger-like projections
-Between bases of adjacent villi are pits ‘drilling’ downwards; the crypts of Lieberkuhn.

How well did you know this?
1
Not at all
2
3
4
5
Perfectly
17
Q

What is the mainstructure of the small intestine and wha are its regions ?

A

Coiled tube about 5m long. Three anatomically/histologically distinct segments:

Duodenum:
-About 25cm long.
-Contains Brunner’s glands in the submucosa.

Jejunum:
-About 2m long.
-Tallest villi, located on permanent circular folds of the mucosa and submucosa, the plicae circularis.
-Lymphoid follicles infrequent.

Ileum:
-About 2.75m long
-Shorter villi and aggregations of lymphoid follicles called Peyer’s patches found in the submucosa and often extending into the lamina propria.

How well did you know this?
1
Not at all
2
3
4
5
Perfectly
18
Q

What are the main types of epithelial cells lining the small inestine ?

A

Enterocytes
-Most numerous cells
-Tall columnar cells
-Brush border
-Principle absorptive cell

Goblet cells
-Produce mucin to protect epithelium and lubricate passage of material

Paneth cells
-Found at base of crypts of Lieberkuhn
-Defensive function, role in regulating bacterial flora (secrete lysozyme and definsins)

Enteroendocrine (Neuroendocrine) cells
-Produce hormones that contribute to the control of secretion and motility (e.g. gastrin, cholecystokinin (CCK), vasoactive intestinal peptide (VIP))

Stem cells
-Found at base of crypts of Lieberkuhn, divide to replenish epithelium.

How well did you know this?
1
Not at all
2
3
4
5
Perfectly
19
Q

What epithelium lines the small intestine ?

A

Simple columnar epithelium with a brush border
-Brush border present only on enterocytes

How well did you know this?
1
Not at all
2
3
4
5
Perfectly
20
Q

heli

What is the Duodenum up to ?

A

Rreceives acidic, partly digested semifluid material called chyme from stomach
-Differs from any other region of GI tract below oesophagus as has glands within submucosa
-These glands are Brunner’s glands, when stimulated by presence of chyme produce a thin, alkaline mucous to neutralise the chyme

How well did you know this?
1
Not at all
2
3
4
5
Perfectly
21
Q

What are plicae circularis ?

A

Permanent big circular folds of the mucosa and submucosa
-Large circular folds visible to the naked eye which increase surface area
-Folds include both mucosa + submucosa
-Tallest villi are found on these, villi are smaller projections on these larger folds

22
Q

What is GALT ?

A

Gut Associated Lymphoid Tissue
-Substantial amount of lymphoid tissue associated with gut
-Much consists of scattered lymphocytes, but areas of relatively large aggregations of lymphoid tissue exist, particularly in the ileum. These are called Peyer’s patches.

23
Q

What are the main cells of the large intestinal epithelium ?

A

Absorptive cells
-For removal of salts and thereby water

Goblet cells:
-For the secretion of mucus to lubricate the colon

These are arranged in straight, tubular glands, referred to as crypts, that extend down to the muscularis mucosae.

24
Q

How is smooth muscle structured in the large intestine ?

A

The outer, longitudinal smooth muscle is distinct
-It is not continuous, but is found in 3 muscular strips called teniae coli (run along length)

25
What is the appendix ?
Bblind-ending hollow extension of the cecum. -Structure similar to rest of colon, but crypts are far less abundant and there is typically a circular arrangement of lymphoid tissue in submucosa and often lamina propria. -Lymphoid tissue tends to decline with age.
26
What controls gut motility ?
Digestive tract has its own nervous system called the enteric nervous system, -Has about the same number of neurons as the spinal cord -ENS receives input from autonomic nervous system, but is capable of coordinating gut motility locally.
27
# of t What is a ganglion ?
Most of the neurons live in groups, and a group of neurons living outside of the brain and spinal cord is called a ganglion (plural is ganglia). | ENS
28
Where are the plexuses of the enteric nervou system and what do they do?
This interconnected network of fibres has two plexuses: Submucosal -In submucosa -Controls muscle of muscularis mucosae and helps regulate secretion in epithelium Myenteric -Between muscle layers of muscularis externa -Controls gut motility | A plexus is a network of interconnecting nerves
29
What variations of mucosa exist in the digestive tract and what do they do ?
Secretory -Simple columnar epithelium with extensive tubular glands -e.g. Stomach Protective -Non-keratinized stratified squamous epithelium -e.g. Oral cavity, pharynx, oesophagus, anal canal Absorptive -Simple columnar epithelium with villi & tubular glands -e.g. Small intestine Protective & absorptive -Simple columnar epithelium with tubular glands -e.g. large intestine
30
What covers the liver ?
Covered by a collagenous connective tissue capsule, which is in turn covered by a layer of mesothelial cells (simple squamous epithelium) derived from the peritoneum.
31
What is the liver made up of ?
Segments called lobules. -Each is approximately hexagonal and has a branch of the hepatic vein called the centrolobular vein (or central vein) at its centre and portal triads at each corner -Hepatic vein drains to IVC, portal veins come from gut
32
What makes up the portal triads of the liver ?
They are branches of vessels which enter at the porta hepatis, that is, the hepatic portal vein and the hepatic artery -Also include a third ‘tube’, a branch of the conduit which leaves the liver at the porta hepatis, the bile duct.
33
What do portal tracts consist of ?
Portal tracts include branches of: -Hepatic portal vein -Hepatic artery -Bile ductule (lined by simple cuboidal cells called cholangiocytes) -Also typically include lymphatic vessels | Tract and triads same thing; really has 4 structures and not three
34
What are the main cells of the liver ?
Mmain cells of the liver are hepatocytes -Polyhedral epithelial cells form what appear in sections to be cords of liver cells, but in fact are cell sheets with spaces in between for blood to flow between. -These blood channels are called sinusoids.
35
What lines the sinusoids of the liver ?
Lined by endothelial cells -Narrow space between these lining cells and the hepatocytes; space of Disse (or the perisinusoidal space) and microvilli of the hepatocytes project into the space. -Sinusoid endothelium is fenestrated, so liquid component of blood generally has free access to hepatocytes, but blood cells do not. | Sinusoids are thin walled blood vessels effectively
36
What direction does blood flow at the liver lobules ?
Portal vein and artery into central vein -Lobule peripery to centre
37
Where can connective tissues be found within the liver ?
Beside liver capsule, portal tracts are accompanied by collagenous connective tissue. Parenchyma of liver is supported by reticular fibres (Type III collagen), along with some Type I collagen, that is found in the space of Disse.
38
What are found scattered into the space of Disse ?
Hepatic stellate cells (or Ito cells) are found scattered in the space of Disse. -Modified fibroblasts and make connective tissue. -Store vitamin A within fat droplets in their cytoplasm. In some pathological conditions (e.g. cirrhosis) they transform into myofibroblasts and produce scar tissue in the liver.
39
What are found scattered within sinudoids ?
Scattered within the sinusoids are resident macrophages called Kupffer cells. -Remove particulate matter from blood and help remove worn red blood cells
40
How are layers of hepatocyte and sinusoids arranged ?
so looking across the gap it goes hepatocyte -> space of disse (with stellate cells) -> sinudsoidal epithelium -> sinusoidal lumen (with kupffer cells) -> sinusoidal epitheliium -> space of didsse (with stellate cells) -> heptocytte
41
Where is bile produced and how does it flow ?
All hepatocytes produce bile. -Bile flows via bile canaliculi toward the bile ducts in the portal tracts and thence to the hepatic ducts. -Bile canaliculi are small channels (1µm dia.) formed by tight junctions in the cell membranes of adjacent hepatocytes. | Not bile flowing from central vein. The bile is produced by hepatocytes
42
What is the gall bladder ?
The gall bladder is a muscular sac which stores and modifies bile -Lined by tall, simple columnar epithelium with brush border, backed by a lamina propria of loose connective tissue rich in blood vessels and lymphatic vessels, a coat of smooth muscle and an outer collagenous layer of adventitia. -Folded mucosa when empty, flattens when distended
43
What is Cholecystitis ?
Gall bladder inflammation -e.g. due to gallstones obstructing cystic duct causing expansion of the gall bladder, thickening of the muscle layers and inflammation (arrow). -Not uncommon
44
What is unique about the pancreas
The pancreas is unusual in that it is both an exocrine and an endocrine gland -Endocrine glands secrete hormones directly into the bloodstream, while exocrine glands secrete substances through ducts to specific organs or surfaces
45
What connective tissue structure does the pancreas have ?
-The pancreas has a thin connective tissue capsule that is continuous with connective tissue septa that divide the gland into lobules.
46
How does the pancreas perform both exo and endocrine functions ?
Exocrine portion -Microscopically, somewhat resembles parotid gland, with numerous serous acini and ducts. -Cells are very basophilic because they contain large amounts of RER. -Drains into second part of duodenum Endocrine portion -Consists of small, scattered islands of tissue called islets of Langerhans, which produce a number of hormones including insulin and glucagon. -Islets make up about 1%-2% of the pancreas. The islets cells stain less intensely than the cells of the exocrine pancreas. Note: the islets are scattered and so only occupy a small volume. The remainder of the tissue is exocrine pancreas: note that it is very similar in appearance to the parotid gland. | Basophillic = stains easily with basic dyes
47
How do parts of the pancreatic acinus differ ?
The basal part of the cells of the pancreatic acinus are typically basophilic due to extensive RER, while the apical part is often very eosinophilic due to the presence of zymogen (pre-enzyme) granules.
48
What are centroacinar cells ?
Unlike in other acinar glands, such as the parotid, the smallest ducts in the pancreas, the intercalated ducts,, do not start where the acinus ends, but rather extend into the acinus. -These duct cells within the acini are called centroacinar cells, and their nuclei and cytoplasm do not stain as intensely as the secretory cells.
49
How does the pancreas drain into the intestine ?
The main pancreatic duct joins the common bile duct and opens into the second part of the duodenum on a papillae: the hepatopancreatic ampulla (of Vater) -Exocrine function
50