Interstitial and Occupational Lung Diseases Flashcards

(31 cards)

1
Q

What is Interstitial Disease ?

A

Any disease process affecting lung interstitium (ie alveoli, terminal bronchi).
-Interferes with gas transfer
-Restrictive lung pattern
-Symptoms: breathlessness, dry cough

Interstitium is space between things

How well did you know this?
1
Not at all
2
3
4
5
Perfectly
2
Q

What is sarcoidosis ?

A

Non-caseating granulomatous (type 4 hypersensitivity) disease of unknown cause
-probable infective agent in susceptible individual. Imbalance of immune system with type 4 (cell mediated) hypersensitivity

Multiple-system involvement:
-common; lungs, lymph nodes, joints, liver, skin, eyes
-less common; kidneys, brain, nerves, heart

Less common in smokers

How well did you know this?
1
Not at all
2
3
4
5
Perfectly
3
Q

What are causes of acute sarcoidosis ?

A

erythema nodosum
bilateral hilar lymphadenopathy
arthritis
uveitis, parotitis
fever.

How well did you know this?
1
Not at all
2
3
4
5
Perfectly
4
Q

What are causes of chronic sarcoidosis ?

A

lung infiltrates (alveolitis)
skin infiltrations
peripheral lymphadenopathy
hypercalcaemia
Other organs: renal, myocardial, neurological, hepatitis, splenomegaly

How well did you know this?
1
Not at all
2
3
4
5
Perfectly
5
Q

What are differentials of sarcoidosis ?

A

TB (tuberculin test -ve), Lymphoma, Carcinoma, fungal infection.

How well did you know this?
1
Not at all
2
3
4
5
Perfectly
6
Q

How is sarcoidosis tested for ?

A

Chest X-ray
CT scan of lungs; for peripheral nodular infiltrate
Tissue biopsy (eg transbronchial, skin, lymph node); non-caseating granuloma
Pulmonary function; Restrictive defect due to lung infiltrates (Decreased FVC and FEV1, maintained ratio)
Blood test:
-Angiotensin Converting Enzyme (ACE) levels as activity marker (NOT diagnostic test).
-raised calcium
-increased inflammatory markers

How well did you know this?
1
Not at all
2
3
4
5
Perfectly
7
Q

How is acute sarcoidosis treated ?

A

Self-limiting condition; usually no treatment
-Steroids if vital organ affected (eg impaired lung function, heart, eyes, brain, kidneys, hypercalcaemia)

How well did you know this?
1
Not at all
2
3
4
5
Perfectly
8
Q

How is chronic sarcoidosis treated ?

A

Oral steroids and Immunosuppression (eg azathioprine, methotrexate, anti-TNF therapy)`

How well did you know this?
1
Not at all
2
3
4
5
Perfectly
9
Q

What is this ?

A

Painful red lesions

How well did you know this?
1
Not at all
2
3
4
5
Perfectly
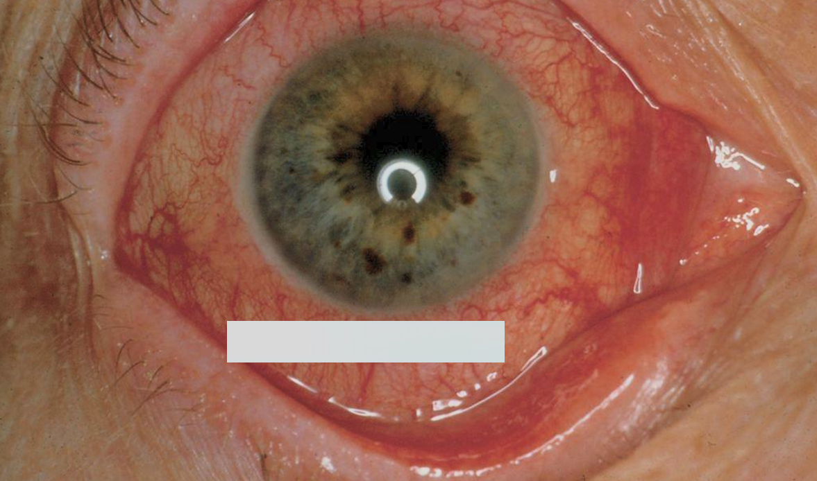
10
Q

What is this ?

A

Eye goes red

How well did you know this?
1
Not at all
2
3
4
5
Perfectly
11
Q

What is this ?

A
How well did you know this?
1
Not at all
2
3
4
5
Perfectly
12
Q

What is Hypersensitivity pneumonitis

A

Type III/IV hypersensitivity (Immune complex deposition) reaction to antigen; lymphocytic alveolitis

Causes:
-Thermophilic actinomycetes (farmers lung, malt workers, mushroom workers, other moulds)
-Avian antigens (bird fanciers lung)
-Drugs (gold, bleomycin, sulphasalazine)

No cause identified in about 30% of cases

Can be acute or chronic

Aka Extrinsic Allergic Alveolitis

How well did you know this?
1
Not at all
2
3
4
5
Perfectly
13
Q

What are signs/symptoms of acute hypersensitivity pneumonitis and how is it treated ?

A

Cough, breathless, fever, myalgia
-Classically symptoms occur several hours after acute exposure (flu-like illness)
-Signs: +/- pyrexia, crackles (no wheeze!), hypoxia
-CxR: widespread pulmonary infiltrates

Treatment: oxygen, steroid and antigen avoidance

Acute is flu like illness for a few days, short period of time

How well did you know this?
1
Not at all
2
3
4
5
Perfectly
14
Q

What is, and what are signs anf symptoms of chronic hypersensitivty pneumonitis ?

A

Repeated low dose antigen exposure over time (years), casuing progressive breathlessness and cough
-Signs: may be crackles, clubbing is unusual
-CxR pulmonary fibrosis - most commonly in the upper zones
-PFTs: restrictive defect (low FEV1 & FVC, high or normal ratio, low gas transfer - TLCO)
-Diagnosis: history of exposure, precipitins (IgG antibodies to guilty antigen), lung biopsy if in doubt.

How well did you know this?
1
Not at all
2
3
4
5
Perfectly
15
Q

How is chronic hypersensitivity pneumonitis treated ?

A

Remove antigen exposure
-Oral steroids if breathless or low gas transfer.
-Immunosuppression eg Mycophenolate
-Anti-fibrotic therapy in cases of progressive fibrosis (Nintedanib)

How well did you know this?
1
Not at all
2
3
4
5
Perfectly
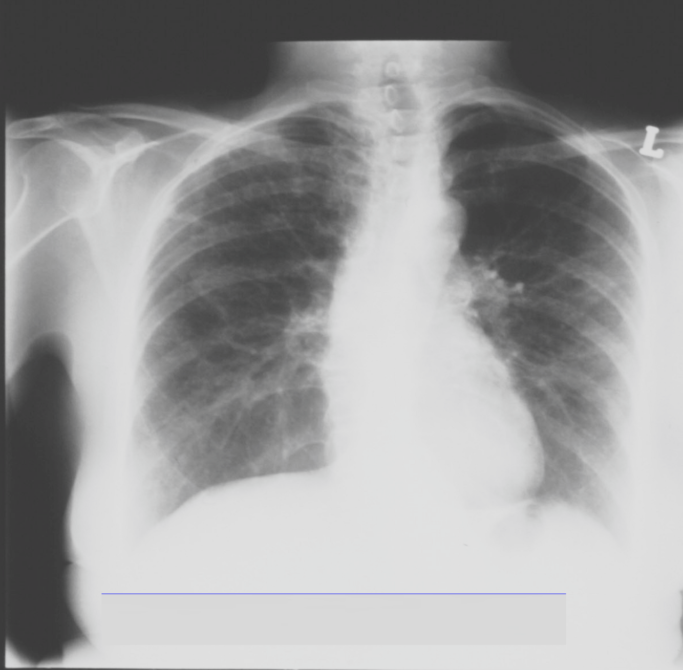
16
Q

What is this ?

17
Q

How does idiopathic pulmonary fibrosis present ?

A

Clinical presentation: progressive breathlessness (several years), dry cough
OE: clubbing, bilateral fine inspiratory crackles
Ix: restrictive defect on PFT’s - reduced FEV1 and FVC with normal or raised FEV1/FVC ratio, reduced lung volumes, low gas transfer
CxR - bilateral infiltrates;
CT scan - reticulonodular fibrotic shadowing, worse at the lung bases, and periphery. Traction bronchiectasis. Honey-combing cystic changes.
Lung biopsy – not necessary if CT scan is diagnositic.

18
Q

What causes idiopathic pulmonary fibrosis ?

A

Aetiology not known
-Not an inflammatory disease
-More common is smokers

19
Q

What are secondary causes of pulmonary fibrosis ?

A

Other secondary causes of pulmonary fibrosis:
-rheumatoid, SLE, systemic sclerosis, asbestos (ILDs)
-drugs e.g, amiodarone, busulphan, bleomycin, penicillamine, nitrofurantoin, methotrexate

Some ILDs may progress and become fibrotic, like IPF, rare

20
Q

What are differentials for idiopathic pulmonary fibrosis ?

A

-Ocupational disease (asbestosis, silicosis)
-Connective tissue disease (RhA, scleroderma, Sjogrens Disease, SLE)
-Left ventricular failure
-Sarcoidosis
-Extrinsic allergic alveolitis

Ask about occupation (in depth), pets and drug history

21
Q

How is idiopathic pulmonary fibrosis diagnosed ?

A

Diagnosis: combination of history, examination and radiology tests (HRCT scan)
-If presentation or the HRCT scan is atypical then lung biopsy (either transbronchial or thoracascopic) may be needed

22
Q

What pathology findings are associated with idiopathic pulmoanry fibrosis ?

A

Usual Interstitial Pneumonia pattern (UIP) heterogenous fibrosis in alveolar walls with fibroblastic foci and destruction of architecture causing honeycombing. Inflammation is minimal.

23
Q

How is idiopathic pulmonary fibrosis treated ?

A

Steroids and immunosuppressants do not change course of disease
New antifibrotic drugs have emerged in recent years – PIRFENIDONE and NINTEDANIB – only therapies to have shown in randomised controlled trials to slow down disease progression BUT expensive, and many side-effects.
Antifibrotic therapy does not reverse fibrosis, merely slows progression. Add 2-3years to life expectancy

Oxygen if hypoxic.

Lung transplantation in younger patients (<65)

24
Q

What is the prognosis of idiopathic pulmonary fibrosis ?

A

Prognosis: most patients progress within a few years into respiratory failure
Median survival of IPF is 4 years from point of diagnosis without treatment

25
What is simple pneumoconiosis ?
Definition: Early or mild form of pneumoconiosis Chest X-ray: Abnormalities only (small nodular opacities) Lung function: Usually normal, no significant impairment Associated conditions: Often occurs with chronic obstructive pulmonary disease (COPD)
26
What is Complicated Pneumoconiosis (Progressive Massive Fibrosis)
Definition: Severe form with coalescence of nodules Features: Progressive fibrosis of lung tissue Chest X-ray: Large opacities (massive fibrosis) Lung function: Restrictive pattern, breathlessness Complications: Increased risk of pulmonary hypertension and respiratory failure
27
What is Chronic Bronchitis ?
Cause: Usually coal dust exposure + smoking Features: Chronic productive cough, airway inflammation Lung function: Can lead to obstructive pattern on spirometry Notes: Often overlaps with simple pneumoconiosis in coal workers | Often coexists with pneumoconiosis
28
What is Caplan’s Syndrome ?
Definition: Rheumatoid pneumoconiosis Features: Pulmonary nodules in patients with rheumatoid arthritis + pneumoconiosis Significance: Nodules may cavitate but lung function may remain relatively preserved initially
29
What does silicosis cause and how does it arise ?
15-20 years exposure to quartz (eg mining, foundry workers, glass workers, boiler workers). Casuses Simple pneumoconiosis – few symptoms; chest X-ray abnormality (egg-shell calcification of hilar nodes). Chronic silicosis - restrictive pattern, pulmonary fibrosis.
30
What diseases can asbestos cause ?
Pleural disease 1) Benign pleural plaques - asymptomatic 2) Acute asbestos pleuritis - fever, pain, bloody pleural effusion 3) Pleural Effusion and Diffuse pleural thickening - restrictive impairment 4) Malignant Mesothelioma - incurable pleural cancer. Presents with chest pain and pleural effusion. No available treatment - fatal within two years. (diaphragmatc calcifications = think absestos, calcified plaque same colour as bone) Pulmonary Fibrosis - “Asbestosis” -Diffuse pulmonary fibrosis and restrictive defect due to heavy prolonged exposure. -Asbestos bodies in sputum. -Asbestos fibres in lung biopsy. Bronchial carcinoma - asbestos multiplies risk in smokers | Abestosis should mean pulmonary fibrosis due to asbestos
31
What is this ?
Mesothelioma Encases lung all wat around; shrinks down lung, usually associaerd effusiosn