FESS (Acesso do Frontal) Flashcards

(30 cards)

1
Q

Qual a filosofia empregada para abordagem do frontal?

A
  • “TUDO OU NADA”

Como ele tem uma tendência de cicatrização anômala, com obstrução do recesso do frontal, é melhor remover completamente as células obstruindo ou não tocar no recesso.

How well did you know this?
1
Not at all
2
3
4
5
Perfectly
2
Q

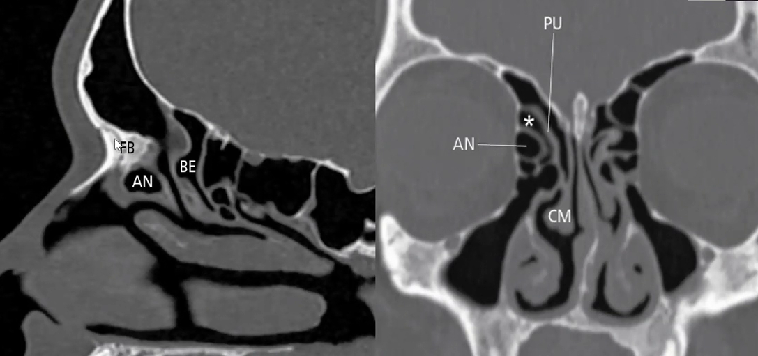
Cite os limites do recesso do seio frontal:

  • ANTERIOR
  • POSTERIOR
  • MEDIAL
  • LATERAL
A
  • Anterior = Frontal beak (e Agger Nasi).
  • Posterior = Bula etmoidal
  • Medial = Porção vertical da concha média
  • Lateral = Lâmina Papirácea
How well did you know this?
1
Not at all
2
3
4
5
Perfectly
3
Q

Cite um sinônimo para Frontal Beak

A

Processo nasal do osso frontal.

How well did you know this?
1
Not at all
2
3
4
5
Perfectly
4
Q

Sobre a drenagem do frontal:

-Qual o tipo de drenagem mais comum do recesso do frontal?

  • Onde o processo uncinado se insere quando temos esse tipo de drenagem?
  • Quais as outras 2 inserções clássicas do PU e para onde o RF drena nesses casos?
A

Inserção na LÂMINA PAPIRÁCEA:

  • 70% dos casos (mais comum)
  • Frontal drena para MEATO MÉDIO (70% dos casos).

Inserção na BASE DO CRÂNIO OU CONCHA MÉDIA:

  • Menos frequente.
  • Frontal drena para INFUNDÍBULO ETMOIDAL.

Não é incomum inserções duplas ou triplas.

How well did you know this?
1
Not at all
2
3
4
5
Perfectly
5
Q

Cite o conceito de que é recesso terminal.

A

É um fundo cego (asterisco na imagem) formado pela inserção do PU na lâmina papirácea (situação mais prevalente). A drenagem do frontal se dá no meato médio.

How well did you know this?
1
Not at all
2
3
4
5
Perfectly
6
Q

Cite o conceito de Agger Nasi e Bula Etmoidal.

A
  • Agger Nasi: célula etmoidal mais anterior, situada na inserção anterior da concha média na parede lateral (forma a axila da concha média).
  • Bula Etmoidal: maior célula etmoidal anterior (mas pode estar subdesenvolvida ou ausente em até 8% dos casos). Lateralmente tem a lâmina papirácea e posteriormente o recesso retrobular. Superiormente pode ter a fóvea etmoidal ou recesso suprabular.
How well did you know this?
1
Not at all
2
3
4
5
Perfectly
7
Q

Cite o conceito de Recesso Retrobular.

A

Recesso Retrobular (seio lateral)

  • Espaço que fica posterior à bula etmoidal (número 4 abaixo).
How well did you know this?
1
Not at all
2
3
4
5
Perfectly
8
Q

Cite o conceito de Recesso Suprabular.

A
  • Recesso Suprabular

Quando a bula não chega superiormente até a fóvea etmoidal, o espaço formado acima dela recebe esse nome.

How well did you know this?
1
Not at all
2
3
4
5
Perfectly
9
Q

Qual o conceito e importância da barra vertical?

A
  • REMANESCENTE SUPERIOR DO UNCINADO + PAREDE MEDIAL DO AGGER NASI (após uncifectomia e abertura do agger).
  • É a chave para acesso ao recesso frontal. A drenagem do frontal estará localizada logo POSTERIOR ou MEDIAL À BARRA VERTICAL.
How well did you know this?
1
Not at all
2
3
4
5
Perfectly
10
Q

Cite conceito das 4 células frontoetmoidais ANTERIORES ao recesso do frontal.

A

ABAIXO DO FRONTAL BEAK (acima do agger nasi):

  • Kuhn I = CÉLULA ÚNICA.
  • Kuhn II = MAIS DE 1 CÉLULA.

ACIMA DO FRONTAL BEAK:

  • Kuhn III = atinge ATÉ 50% da altura do frontal
  • Kuhn IV = atinge MAIS DE 50% da altura do frontal
How well did you know this?
1
Not at all
2
3
4
5
Perfectly
11
Q

Cite conceito das 2 células frontoetmoidais POSTERIORES ao recesso do frontal.

A
  • SUPRABULAR

(Acima da bula , no recesso suprabular, conectada à base do crânio. Ela pode atingir o recesso do frontal mas NÃO ENTRA no seio frontal).

  • FRONTALBULAR

(Acima da bula , conectada à base do crânio, passa pelo recesso e ATINGE O INTERIOR DO SEIO FRONTAL).

How well did you know this?
1
Not at all
2
3
4
5
Perfectly
12
Q

Cite conceito das células frontoetmoidais LATERAIS ao recesso do frontal.

A
  • SUPRAORBITÁRIAS

(Única ou múltiplas, pneumatizam o teto da órbita, próximo á artéria etmoidal anterior, ficam posterior e também LATERAIS ao seio frontal, mimetizando um seio frontal septado).

How well did you know this?
1
Not at all
2
3
4
5
Perfectly
13
Q

Cite conceito das célula frontoetmoidal MEDIAL ao recesso do frontal.

A
  • INTERFRONTAL

(Pneumatiza o septo interssinusal frontal, geralmente relacionadas a apenas um RF, mas pode drenar dois RF. Podem associar-se a pneumatização da Crista galli. Identificada em cortes coronais ou axiais).

How well did you know this?
1
Not at all
2
3
4
5
Perfectly
14
Q

O que são células frontais de Boyer?

A

Algumas células etmoidais podem apresentar expansão tardia para o assoalho do seio frontal estabelecendo algumas proeminências dentro dele, conhecidas como células ou bolhas frontais de Boyer.

How well did you know this?
1
Not at all
2
3
4
5
Perfectly
15
Q

Sobre a Classificação de Keros:

  • Cite o significado.
  • Cite como é feita a medida.
  • Cite os 3 tipos
  • Cite qual é a mais comum.
  • Cite quais tem maior risco de iatrogenia.
A

Significado:

  • Altura da fossa olfatória (base de crânio)

Medida:

  • Pela altura da LAMELA LATERAL da lâmina cribiforme.

Tipos:

  • Tipo 1 (rasa): 1-3mm (30% dos casos).
  • Tipo 2 (intermediária): 4-7mm (49%, MAIS COMUM)
  • Tipo 3 (profunda): 8-16mm (21% dos casos)

Iatrogenia:

  • Tipo 3 (muito profunda, fácil de lesionar).
  • Tipo 1 (subestimada pelo cirurgião).
  • Se lamelas assimétricas ou muito anguladas.
How well did you know this?
1
Not at all
2
3
4
5
Perfectly
16
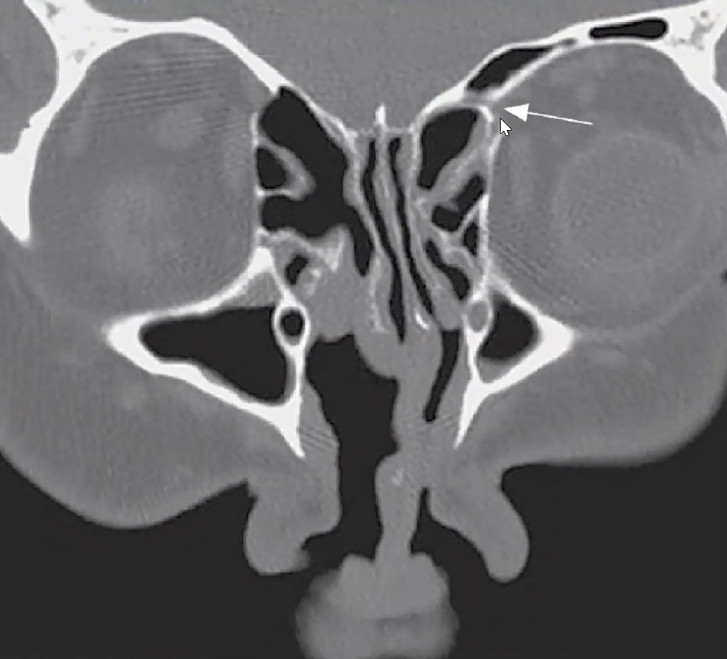
Q

Qual a classificação de Keros da imagem?

A

Keros tipo 1 (1-3mm)

17
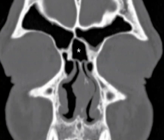
Q

Qual a classificação de Keros nessa imagem?

A

Keros tipo 3 (8-16mm)

18
Q

Qual o nome da estrutura apontada abaixo e ela é limite de qual região?

A

ARTÉRIA ETMOIDAL ANTERIOR

  • FORMA O LIMITE PÓSTERO-INFERIOR DO RECESSO DO FRONTAL (no teto do etmóide).
  • Sai da órbita pelo canal ósseo e vai em direção á lamela lateral da lâmina cribiforme.

Todo cuidado deve ser tomado com a artéria etmoidal anterior medialmente, porque as paredes ósseas ali são muito finas e a dura-máter muito aderida a elas (risco de fístula). E o limite lateral do canal ósseo dela penetra na órbita (risco de lesar lamina papirácea).

19
Q

Sobre a Técnica da Bula Etmoidal Intacta para a cirurgia do seio frontal:

  • Qual sua premissa (propósito)?
  • Cite outras outras 2 vantagens.
  • O ideal é abordar o frontal no início ou final do procedimento?
A

Preconizada por Louri em 1993. Premissa:

  • Recesso frontal está na frente da parede anterior da bula. Mantendo-se essa estrutura intacta e seguindo superiormente, podemos encontrar a drenagem desse seio paranasal.

Além disso, essa técnica:

  • Protege base do crânio
  • Protege artéria etmoidal anterior

Recomendação:

  • Acessar o seio frontal no início do ato cirúrgico, quando o cirurgião está mais descansado e menos propenso a falhas.
20
Q

Quais as óticas indicadas para abordagem endoscópica do seio frontal?

A

Anguladas, de 45 ou 70 graus.

21
Q

Cite os 4 tipos de abordagens endoscópicas do seio frontal sistematizada pelo professor Wolfgang Draf (em ordem de agressividade) e suas palavras chaves.

A

Técnicas (e palavras chave):

  • DRAF I (Recesso do frontal)
  • DRAF IIA (Corneto médio)
  • DRAF IIB (Septo nasal)
  • DRAF III (Lâmina papirácea)

O DRAF III é chamado de Lothrop modificado.

22
Q

Sobre o DRAF I:

  • Descreva a técnica.
  • Cite sua indicação.
A

DRAF I:

  • Etmoidectomia simples anterior.
  • Abertura do RECESSO DO FRONTAL.
  • Preservação da parede superior do agger nasi

Indicação:”

  • Doença MÍNIMA do seio frontal (procedimento mais conservador).
23
Q

Sobre o DRAF IIA:

  • Descreva a técnica.
  • Descreva seu limite.
  • Explique o que é “Uncapping the Egg”.
  • Cite sua indicação.
A

DRAF IIA:

  • Etmoidecomia anterior (como no passo anterior)
  • Aborda espaço entre papirácea e CONCHA MÉDIA.
  • O agger nasi é abordado agressivamente (a barra vertical é removida com movimento “UNCAPPING THE EGG” com o seeker em direção ANTERIOR e LATERAL).

Indicação:

  • DOENÇA EXTENSA DO SEIO FRONTAL (pólipos, tumores, mucoceles) ou falha no Draf I.
24
Q

Sobre o DRAF IIB:

  • Descreva a técnica.
  • Descreva seu limite.
  • Explique o que é “Uncapping the Egg”.
  • Cite sua indicação.
A

DRAF IIB:

  • Etmoidectomia e remoção da barra vertical
  • Aborda espaço entre papirácea e SEPTO NASAL
  • Resseca o frontal beak (ganho anteroposterior)

Indicação:

  • Doenças NÃO-INFLAMATÓRIAS (osteomas, por exemplo).
  • Se diâmetro obtido no Draf II A for pequeno

Há risco de intensa NEO-OSTEONEOGÊNESE com fechamento do recesso, principalmente em doenças inflamatórias, sendo contraindicado nesses casos.

25
Sobre o DRAF III (Lothrop Modificado): - Descreva a técnica. - Descreva seus limites (laterolateral) - Descreva seus limites (anterior e posterior)
DRAF III (Lothrop modificado): - Remove porção anterior da concha média, barra vertical, frontal beak de ambos os lados, septo intersinsusal e parte superior do septo, ligando os dois seios frontais em ASPECTO DE FERRADURA. Limites: - LÂMINAS PAPIRÁCEAS (laterolateral) - PRIMEIRA FIBRA OLFATÓRIA (posterior) - PELE (anterior). Indicação - DOENÇA INFLAMATÓRIA EXTENSA - FALHA DO DRAF IIA OU IIB - NEO-OSTEOGÊNESE - TUMORES - AERD, ASMA, DOENÇAS CILIARES, GENÉTICAS
26
Sobre o DRAF III (Lothrop Modificado): - Cite o nome e diferença
- INSIDE-OUT (dentro do recesso para fora do seio) (Desbloqueia o RF, remove frontal beak, resseca septo intersinusal e realiza janela septal, IDENTIFICANDO POR ÚLTIMO A PRIMEIRA FIBRA OLFATÓRIA, limite posterior da disseção). - OUTSIDE-IN (fora do recesso para dentro do seio) (Incisão em U invertido anterior à axila da concha média, descola mucosa posterior e JÁ ACHA A PRIMEIRA FIBRA OLFATÓRIA NO INÍCIO. Confecciona a janela septal, resseca com broca o teto do nariz, disseca para laterais identificando as LP e formando a ferradura, abre frontal beak e seio frontal).
27
Na imagem está sendo realizado um Draf III. Qual estrutura foi identificada?
Primeira fibra do nervo olfatório (limite posterior da dissecção).
28
Para quais Drafs são recomendados uso de tamponamento?
- DRAF IIB - DRAF III (Lothrop) Para facilitar reepitelização de grande área de osso exposto na parede anterior do RF. Deve ser tampão não absorvível por 2-7 dias.
29
Quais drafs são recomendados o uso de splints nasais?
- DRAF III apenas Coloca-se superiormente como um U invertido, recobrindo área desnuda, com tampão inferior a ele comprimindo contra o osso. Pode ser feita bolgerização da concha média para facilitar ainda mais a drenagem.
30
Como é feito o debridamento pós-operatório para: - Draf I e IIA ? - Draf IIB e III ?
- DRAF I e IIA: lavagens nasais e debridamentos frequentes habituais. - DRAF IIB e III: cuidados mais intensos (devido risco de osteoneogênese), com primeiro debridamento entre 7-10 dias e depois conforme evolução (intervalos maiores que 1 semana, inferiores a esse período não tem relato de benefício adicional). Pós-operatório é mais prolongado.