STEP 2: CNS Lesions Flashcards

(8 cards)

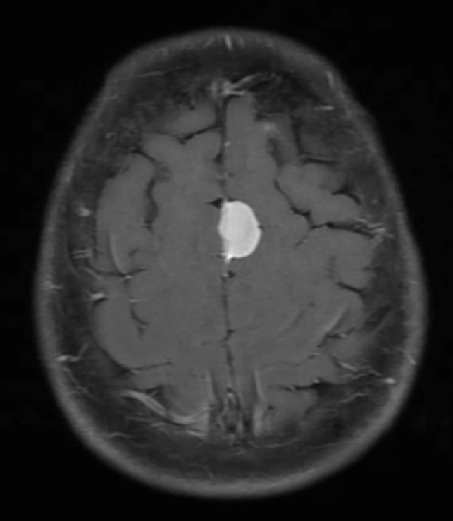
1
Q

Homogenously contrast enhancing, partially calcified, extra-axial tumor located at the falx, this is most consistent with what brain lesion?

A

Meningioma

How well did you know this?
1
Not at all
2
3
4
5
Perfectly
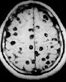
2
Q

Multiple ring enhancing lesions should raise supsicion for….

A

Toxoplasma encephalitis
cns tuberculoma

How well did you know this?
1
Not at all
2
3
4
5
Perfectly
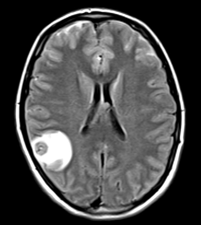
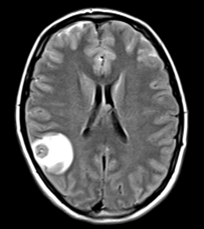
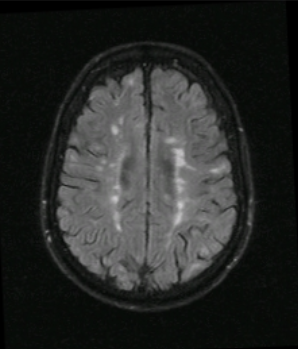
3
Q

Adult onset seizure in an immigrant from Argentina (5 years ago). No PMH. PE normal. CBC and CMP WNL. MRI shown below:

A

Neuroimagin reveals a scolex
Neurocystercosis: pork tapeworm (Taenia solium) which is endemic to developing countries. Presents with adult onset seizure and evidence of at least one or more cystsin the brain parenchyma. Tx with corticosteroids and albendazole.

Can look like this
How well did you know this?
1
Not at all
2
3
4
5
Perfectly
4
Q

What pathogen is implicated in neurocysticerosis?

A

Taenia solium

How well did you know this?
1
Not at all
2
3
4
5
Perfectly
5
Q

Treatment for neurocystercosis

A

ALbendazole and corticosteroids. Praziquantel is added when 2 or more viable or deteriorating cysts are present. Eye exam must be completed prior to initiation of tx.

How well did you know this?
1
Not at all
2
3
4
5
Perfectly
6
Q

What are the imaging findings:

A

Scolex: part of tanea solium worm that attaches with 4 suckers along with an engancing lesion with vasogenic edema (consistent with degenerating cyst).

How well did you know this?
1
Not at all
2
3
4
5
Perfectly
7
Q

Seizure + scolex=

A

Neurocystercosis

How well did you know this?
1
Not at all
2
3
4
5
Perfectly
8
Q

Multiple scattered ovoid lesions in the periventricular regions and spinal cord

A
How well did you know this?
1
Not at all
2
3
4
5
Perfectly