STEP 2: OB Flashcards

(9 cards)

1
Q
A

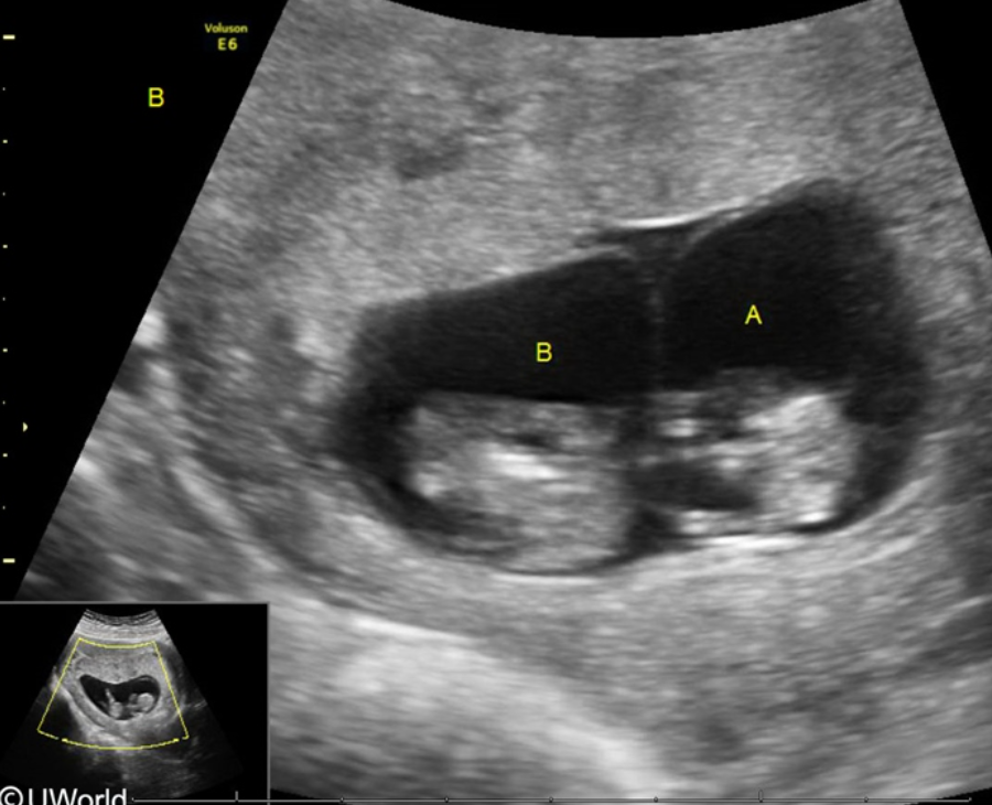
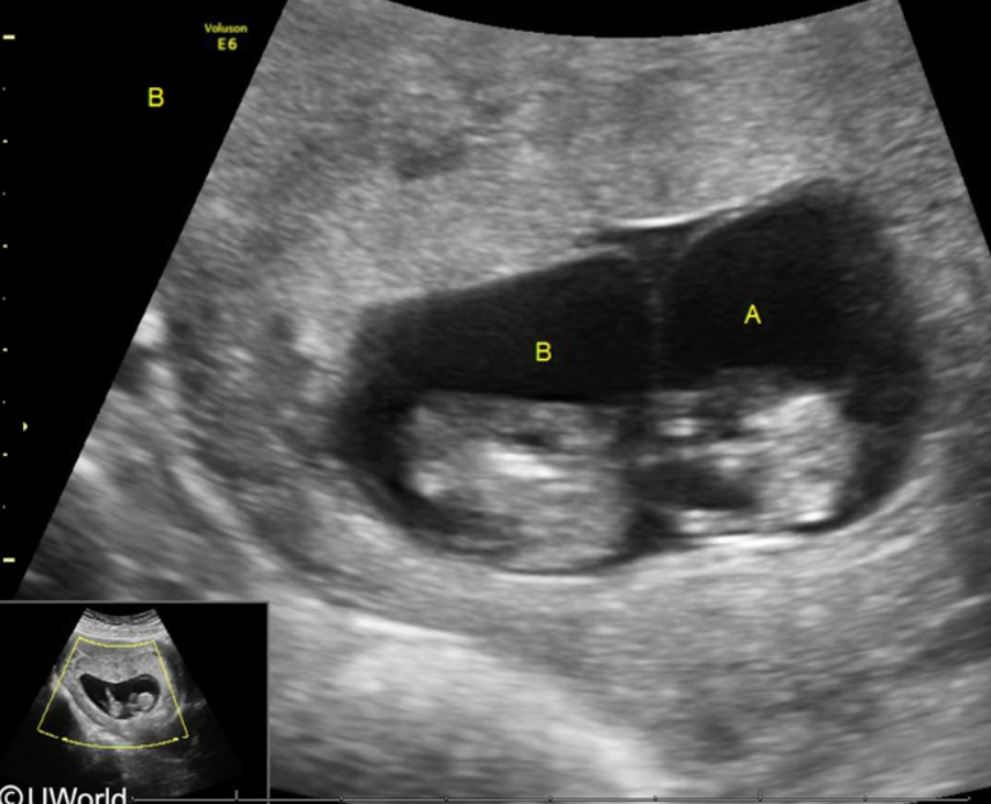
Monochorionic diamniotic twins (1 placenta, 2 amniotic sacs)

How well did you know this?
1
Not at all
2
3
4
5
Perfectly
2
Q

This pregnancy is at risk for what complication?

A

Monochorionic diamniotic twins are at risk for discordant fetal growth in the setting of twin-twin transfusion syndrome

How well did you know this?
1
Not at all
2
3
4
5
Perfectly
3
Q

Polymicrobial infection seen after 24 hours post partum; risk factors include prolonged labor and csection

A

endometritis

How well did you know this?
1
Not at all
2
3
4
5
Perfectly
4
Q

First line tx for GDM

A

diet mod

How well did you know this?
1
Not at all
2
3
4
5
Perfectly
5
Q

Glucose monitoring during GDM

A

daily fasting and either a 1or 2hour post prandial glucose qday

How well did you know this?
1
Not at all
2
3
4
5
Perfectly
6
Q

Obesity during pregnancy is associated with…

A
How well did you know this?
1
Not at all
2
3
4
5
Perfectly
7
Q

How is MS impacted in the post partum period

A

worsens

How well did you know this?
1
Not at all
2
3
4
5
Perfectly
8
Q

Monoamniotic twins are at risk for what major complication?

A

cord entanglement; c-section monoamniotic twins

shared placenta–> twin twin trans
shared amniotic sac–> cord entanglement

How well did you know this?
1
Not at all
2
3
4
5
Perfectly
9
Q
A
How well did you know this?
1
Not at all
2
3
4
5
Perfectly