Pneumo - QI Flashcards

(117 cards)

1
Q

Concernant les douleurs présentées par le patient, quelle(s) est(sont) la(les) proposition(s) exacte(s) ?
A Les douleurs nociceptives peuvent s’accompagner à l´examen clinique d’une allodynie et d’une hyperalgésie.
B Les douleurs neuropathiques peuvent s´accompagner de perturbations sympathiques se traduisant par des troubles trophiques, vasomoteurs et sudoraux.
C Le questionnaire DN4 est un outil simple pour rechercher des douleurs nociceptives.
D Les picotements et les engourdissements correspondent à des douleurs de désafférentation, appelées neuropathiques.
E Les douleurs à type d´étau et de serrement correspondent à des douleurs appelées somatiques ou nociceptives.

A

BDE

How well did you know this?
1
Not at all
2
3
4
5
Perfectly
2
Q

Quels sont les examens d’extension à demander dans une lésion suspecte du poumon ?
A une tomographie à émission de positons au 18 FDG
B une IRM Thoracique
C un scintigraphie osseuse
D un scanner abdominal E une IRM cérébrale

A

ADE

How well did you know this?
1
Not at all
2
3
4
5
Perfectly
3
Q

Actuellement, quel est le type histologique le plus fréquent dans le cancer bronchique non à petites cellules ?
A sarcomatoïde
B épidermoïde
C indifferenciés à grandes cellules
D adénocarcinome
E neuro-endocrines

A

D

How well did you know this?
1
Not at all
2
3
4
5
Perfectly
4
Q

Dans le cadre du bilan pré-opératoire d’un cancer du poumon, quel(s) examen(s) allez-vous demander d’emblée?
A une echoendoscopie bronchique
B une spirométrie
C DLCO
D ECG
E scintigraphie de ventilation/perfusion

A

BCD

How well did you know this?
1
Not at all
2
3
4
5
Perfectly
5
Q

Dans une suspicion de SAOS, quel examen prescrivez-vous en premier ?
A. polysomnographie
B. test de maintien d’éveil C. polygraphie ventilatoire D. oxymétrie nocturne
E. tests itératifs de latence d’endormissement

A

C

How well did you know this?
1
Not at all
2
3
4
5
Perfectly
6
Q

Quel est le critère diagnostique d’un SAOS sur la polysomnographie ?

A

IAH > 5

How well did you know this?
1
Not at all
2
3
4
5
Perfectly
7
Q

Critères de définition d’un syndrome obésité-hypoventilation.

A

Hypercapnie diurne chez un individu avec un IMC > 30 en absence d’autres causes d’hypercapnie

How well did you know this?
1
Not at all
2
3
4
5
Perfectly
8
Q

Définition d’une hypopnée.

A

Baisse du débit d’au moins 30% pendant 10sec associée à une baisse de la saturation d’au moins 3% ou d’un micro-éveils (visible uniquement sur la polysomnographie)

How well did you know this?
1
Not at all
2
3
4
5
Perfectly
9
Q

Quels sont les critères cliniques permettant de parler de SAOS ?

A

A ou B + C (obligatoire)

A somnolence diurne non expliquée par d’autres facteurs

B deux critères parmis les suivants : ronflements, sensations d’étouffement ou du suffocation pendant le sommeil, éveils répétés, sommeil non réparateur, fatigue diurne, difficultés de concentration, nycturie

C index d’apnées ou d’hypopnées IAH >= 5

How well did you know this?
1
Not at all
2
3
4
5
Perfectly
10
Q

Définition d’un trouble restrictif aux EFR

A

CPT < 80%

How well did you know this?
1
Not at all
2
3
4
5
Perfectly
11
Q

Définition d’un trouble obstructif aux EFR

A

VEMS/CV mesurée < 70%

How well did you know this?
1
Not at all
2
3
4
5
Perfectly
12
Q

Par rapport aux résultats de la gazométrie artérielle ci-dessous, quelle(s) est (sont) la (les) proposition(s) exacte(s)?

pH 7,39 ; PaO2 72 mmHg ; PaCO2 49 mmHg, HCO3- 29 mmol/L, SaO2 92%

A. acidose métabolique
B. hypoxémie sans hypercapnie
C. normoxémie avec hypercapnie
D. hypoventilation alvéolaire chronique
E. hypoxémie avec hypercapnie

A

DE

How well did you know this?
1
Not at all
2
3
4
5
Perfectly
13
Q

Quel(s) est (sont) le (les) mécanisme(s) responsable(s) du SOH ?
A. charge mécanique de l’obésité sur le système respiratoire
B. réduction de la réponse ventilatoire au CO2
C. existence très fréquente de SAOS souvent sévère
D. une réduction du volume de réserve expiratoire qui caractérise l’obésité
E. une diminution de la performance diaphragmatique

A

ABCE

B liée à des phénomènes hormonaux

How well did you know this?
1
Not at all
2
3
4
5
Perfectly
14
Q

Indications d’une PPC

A

IAH > 30
IAH > 15 si somnolence sévère ou comorbidités respiratoires ou cardiovasculaires

How well did you know this?
1
Not at all
2
3
4
5
Perfectly
15
Q

Vous suspectez une tuberculose pulmonaire. Pour faire le diagnostic, quelle(s) est (sont) l’(les) analyse(s) bactériologique(s) à prescrire en première intention?
A un examen cytobactériologique des urines en spécifiant « recherche de mycobactéries »
B trois examens cytobactériologiques des crachats en spécifiant « recherche de mycobactéries »
C trois tubages gastriques en spécifiant « recherche de mycobactéries »
D une PCR (tuberculosis) diagnostique sur les crachats
E une hémoculture en spécifiant « recherche de mycobactéries »

A

B

A : uniquement en cas de suspicion de tuberculose disséminée avec leucocyturie aseptique à la BU

C : seulement si le patient ne crache pas

E : uniquement en cas de miliaire tuberculeuse ou d’atteinte d’autres organes

How well did you know this?
1
Not at all
2
3
4
5
Perfectly
16
Q

Chez une patiente avec tuberculose pulmonaire bacillifère, quelle(s) mesure(s) médico-sociale(s) prenez-vous ?
A Isolement respiratoire de type AIR
B notification obligatoire à l’Institut National de Veille Sanitaire
C signalement sans délai au centre de lutte antituberculeuse du domicile du cas
D demande de prise en charge par la sécurité sociale dans le cadre d´une affection de longue durée
E Signalement nominatif à l’ARS

A

ACD

E : anonyme

How well did you know this?
1
Not at all
2
3
4
5
Perfectly
17
Q

Parmi les affirmations suivantes concernant Mycobacterium tuberculosis, la (lesquelles) est (sont) exacte(s) ?
A c´est une bactérie à croissance rapide
B c´est une bactérie à développement intracellulaire strict
C C’est une bactérie à métabolisme aérobie strict D c´est une bactérie qui nécessite la mise en culture dans un milieu spécifique

A

CD

B : intra-extracellulaire

How well did you know this?
1
Not at all
2
3
4
5
Perfectly
18
Q

Parmi les affirmations suivantes concernant les facteurs favorisant le développement d’une tuberculose maladie, la(les)quelle(s) est (sont) exacte(s) ?
A elle est favorisée en cas de coinfection par le VIH
B elle est favorisée en cas de coinfection par le virus de l’hépatite B
C elle est favorisée en cas de traitement immunosuppresseur
D elle est favorisée en cas de tabagisme
E elle est favorisée en cas de diabète

A

ACDE

How well did you know this?
1
Not at all
2
3
4
5
Perfectly
19
Q

Concernant le traitement de la tuberculose latente :
A On peut proposer un traitement par isonazide pendant 6 ou 9 mois (5mg/kg/jour)
B on peut proposer l´association isonazide ( 4 à 5mg/kg/jour) et rifampicine (10mg/kg/jour) pendant 3 à 4 mois
C on peut proposer de l’amikacine pendant 3 mois
D on peut proposer un traitement par pyrazinamide pendant 9 mois (25 mg/kg/jour)
E on peut proposer un traitement par ethambutol pendant 6 mois (20 mg/kg/jour)

A

AB

C : tuberculose résistante

DE : tuberculose maladie

How well did you know this?
1
Not at all
2
3
4
5
Perfectly
20
Q

Parmi les propositions suivantes, quelle(s) est (sont) la(les) situation(s) d’urgence(s) vitale(s) à éliminer devant une douleur thoracique ?A. une tamponnade
B. un pneumothorax compressif
C. une embolie pulmonaire D. un syndrome coronarien aigu
E. une pneumonie

A

ABCD

How well did you know this?
1
Not at all
2
3
4
5
Perfectly
21
Q

Devant un patient de 27 ans se présentant avec dyspnée + toux et saturation à 94% et une radio montrant un pneumothorax complet, quelle(s) mesure(s) thérapeutique(s) instaurez-vous ?
A. surveillance simple
B. exsufflation
C. kinésithérapie respiratoire
D. symphyse pleurale par thoracoscopie
E. oxygénothérapie à faible débit

A

BE

En règle générale :

  • secondaire : drain sauf si tout petit décollement bien toléré
  • primaire : exsufflation si grand ou mal toléré

Pas de ventilation mécanique

How well did you know this?
1
Not at all
2
3
4
5
Perfectly
22
Q

Parmi les propositions suivantes, quelle (s) est (sont) la (les) information(s) que vous délivrez sur le risque de récidive après un premier épisode de PNO spontané primaire ?
A. le taux de récidive homolatérale à un an est de 30%
B. 2/3 des récidives surviennent dans les deux 1ères années
C. la taille du pneumothorax influence la récidive
D. son traitement initial n´influence pas la récidive E. la présence de bulles au scanner n´a pas d´utilité pour prédire le risque de récidive

A

ABDE

How well did you know this?
1
Not at all
2
3
4
5
Perfectly
23
Q

Quelle(s) est (sont) la(les) indication(s) de la symphyse pleurale chirurgicale?
A. première récidive homolatérale
B. premier pneumothorax compressif
C. pneumothorax bilatéral D. premier épisode de pneumothorax associé à un hémothorax
E. pneumothorax drainé avec bullage persistant après 5 jours de drainage

A

ACE

How well did you know this?
1
Not at all
2
3
4
5
Perfectly
24
Q

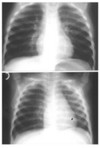
En cas d’inhalation d’un corps étranger avec enclavement dans la bronche souche droite, quel(s) signe(s) est(sont) visible(s) sur la radiographie de thorax?
A présence d’un corps étranger opaque au niveau du tronc souche droit
B présence d’une atélectasie à droite
C hyperclarté pulmonaire unilatérale à droite en expiration
D un pneumothorax droit E hyperclarté pulmonaire unilatérale à gauche en expiration

A

ABC

How well did you know this?
1
Not at all
2
3
4
5
Perfectly
25
Quelle(s) est(sont) la(les) principale(s) cause(s) fréquente(s) d'hémoptysie? A les bronchectasies B les cancers broncho-pulmonaires C la tuberculose D le syndrome de Goodpasture E les aspergillomes
ABCE
26
Quel(s) est(sont) le(s) facteur(s) de risque d'exacerbation d'un asthme parmi les suivants? A un VEMS \< 60% B une obésité C une absence de prescription de corticostéroïde inhalé D une utilisation de plus d´un flacon/mois de bronchodilatateurs à courte durée d´action (BDCA) E une exacerbation sévère dans les 12 mois précédents
ABCDE
27
Quelle(s) est(sont) la(les) principale(s) cause(s) de toux chronique à thorax normal chez le non fumeur? A la rhinorrhée chronique avec jetage postérieur B le reflux gastro-oesophagien C l´asthme D les médicaments E la coqueluche
ABCDE
28
Quelle(s) proposition(s) est(sont) exacte(s) concernant les risques liés au tabagisme passif? A augmentation de plus de 50 % du risque de cancer bronchique B augmentation de l´ordre de 25% de maladies cardiovasculaires C pas de rententissement du tabagisme passif sur les patients ayant un asthme D doublement du risque de mort subite du nouveau-né E augmentation du risque de retard de croissance intrautérin
BDE A : 25%
29
Parmi les signes cliniques suivants, lequel(lesquels) peut(peuvent) être présent(s) chez un patient porteur d'une BPCO de stade avancé? A un allongement du temps inspiratoire avec parfois une inspiration à lèvres pincées B un thorax en tonneau traduisant une distension thoracique C une position dite du tripode D la mise en jeu des muscles respiratoires accessoires E un signe de Hoover
BCDE A : allongement du temps expiratoire
30
Quel(s) élément(s) sur une radiographie du thorax traduit (traduisent) une distension thoracique ? A un aplatissement des coupoles diaphragmatiques B une augmentation de l'espace clair rétro-stérnal ( de profil) C une augmentation du diamètre thoracique antéropostérieur (de profil) D une horizontalisation des cotes (de face) E une réduction de l'espace clair rétro-cardiaque (de profil)
ABCD
31
Parmi les propositions suivantes, laquelle (lesquelles) entre(nt) dans la définition du pneumothorax grave? A il existe une dyspnée sévère B il existe une hypotension sévère C il existe une saturation pulsée en oxygène inférieure à 92% D il existe un emphysème sous cutané E il existe une douleur thoracique non soulagée par un antalgique de palier 1
ABC
32
Parmi les propositions suivantes, laquelle (lesquelles) est (sont) exactes concernant la sarcoïdose? A. dans la majorité des cas, les adénopathies sont hilaires, unilatérales, asymétriques, homogènes et non compressives B. le stade III radiographique correspond à une atteinte parenchymateuse isolée C. l'érythème noueux est un critère de pronostic favorable de la sarcoïdose D. une alvéolite lymphocytaire modérée à lymphocytes TCD4+ est retrouvée dans le lavage broncho-alvéolaire E. une corticothérapie prolongée est indiquée dans le cas d'une sarcoïdose stade I asymptomatique
BCD
33
Concernant la sarcoïdose, quel(les) est (sont) la (les) proposition(s) exacte(s)? A. elle est plus fréquente chez les hommes B. l'atteinte parenchymateuse pulmonaire prédomine dans les parties supérieures et moyennes des champs pulmonaires C. en cas d'adénopathies médiastinales associées à une cutanée, les biopsies des adénopathies médiastinales par échoendoscopie sont l'examen de première intention D. le syndrome de Löfgren est une forme aiguë de sarcoïdose qui régresse dans la majorité des cas dans les 12-24 mois après le début des symptômes E. le syndrome de Heerfordt est l'association d'une uvéo-parotidite bilatérale fébrile, d'une paralysie faciale (ou d'un autre nerf crânien) et d'une méningite lymphocytaire aseptique
BDE A : prédominance féminine C : biopsie sur les sites les plus accessibles, en l'occurrence la peau
34
Vous suspectez un asthme chez l'un de vos patients. Quel(s) examen(s) complémentaire(s) de première intention demandez-vous pour confirmer son existence? A. débit expiratoire de pointe B. pléthysmographie C. prick-tests aux pneumallergènes D. radiographie thoracique E. spirométrie
E
35
Vous suspectez un asthme à partir des données anamnestiques mais la courbe débit-volume ne met pas en évidence de trouble ventilatoire obstructif. Quel(s) examen(s) demandez-vous pour confirmer le diagnostic d'asthme? A. mesure du NO exhalé B. test de provocation à la métacholine C. test de réversibilité au salbutamol D. test de réversibilité aux corticoïdes E. test à l'air sec
B
36
Quelle(s) caractéristique(s) de la douleur thoracique oriente(nt) vers un pneumothorax ? A. elle s'associe à une toux sèche B. elle est augmentée à la toux C. elle est rythmée par la respiration D. elle est de localisation antérieure E. elle augmente en position penchée en avant
ABC
37
Parmi les propositions suivantes concernant cette gazométrie artérielle en air ambiant laquelle (lesquelles) est (sont) exacte(s)? pH: 7,34, PaCO2: 58 mmHg, PaO2: 54 mmHg, bicarbonates: 29 mmol/L, lactatémie: 2 mmol/L A. il existe une hypoxémie B. il existe un effet shunt gazométrique C. il existe une hypercapnie D. il existe une acidose E. il existe une hypoventilation alvéolaire
ACDE B : effet shunt = hypoxémie et hypocapnie avec somme \< 120 mmHg
38
Parmi les propositions suivantes laquelle (lesquelles) est (sont) correcte(s)? A. l'espace mort correspond à l'espace mort alvéolaire B. l'hypoventilation alvéolaire pure s'accompagne d'une hypoxémie proportionnelle à l'augmentation de la PaCO2 C. l'hypoxémie peut induire une hypertension pulmonaire secondaire due à une vasodilatation artérielle périphérique D. une polyglobulie est constatée en cas d'hypoxémie chronique E. le moyen le plus efficace de corriger l'hypoxémie secondaire à une atteinte de l'échangeur pulmonaire est l'oxygénothérapie de longue durée (OLD)
BDE A : espace mort anatomique + espace mort alvéolaire C : vasoconstriction artérielle pulmonaire
39
Parmi les complications suivantes laquelle (lesquelles) est (sont) potentiellement liée(s) à l'inhalation d'un corps étranger des voies aériennes inférieures ? A. développement d'une sténose bronchique B. pneumonie communautaire aiguë C. bronchectasies localisées D. pneumonies à répétition E. reflux gastro-oesophagien
ACD B : germes résistants par répétition des pneumonies et colonisation
40
Concernant l'effet shunt : A. il est lié à une inadéquation de la ventilation par rapport à la perfusion B. certains territoires sont perfusés mais mal ventilés C. il donne sur les gaz du sang une PaO2 + PaCO2 \< 140 mmHg D. la saturation remonte avec de l'oxygène E. les causes classiques sont l'asthme et la BPCO
ABDE C : \< 120 mmHg
41
Définition d'un espace mort
Espace ventilé mais non perfusé
42
Clinique de la pneumocystose
Terrain immunodéprimé Début sur une dizaine de jours avec toux + dyspnée + fièvre Le plus souvent pas de crépitants
43
Concernant l'HTAP : A. PAPm \> 25 mmHg au cathéterisme droit B. post si PAPO \> 15 C. souffle d'insuffisance mitrale D. diagnostic sur l'ETT
AB C : souffle d'insuffisance tricuspide + éclat du B2 D : cathétérisme droit systématique
44
Parmi les propositions concernant l’overlap syndrome, laquelle (lesquelles) est (sont) correcte(s)? A. il associe un syndrome d’apnées obstructives du sommeil et une BPCO B. il est défini par un syndrome d’apnées obstructives du sommeil et une hypoventilation alvéolaire nocturne C. il associe un syndrome d’apnées obstructives du sommeil et une obésité D. il peut être pris en charge par une pression positive continue E. il peut être pris en charge par une ventilation non invasive nocturne
ADE A : vrai ! 15 à 20% des BPCO C : définition du SOH E : en cas d'hypoventilation nocturne sévère résistante à la PPC
45
Parmi les affirmations concernant la pneumopathie à Streptococcus pneumoniae, laquelle (lesquellles) est(sont) exacte(s)? A. elle représente 50% des pneumopathies aigues communautaires hospitalisées B. elle a un caractère épidémique C. elle est fréquemment rencontrée en cas d’asplénie D. elle doit faire rechercher une séropositivité pour le VIH E. elle conduit à la prescription d’amoxicilline par voie intraveineuse en première intention
ACD A : 10% des pneumonies totales mais 50% des hospitalisées B : pas de transmission interhumaine CD : tous les facteurs d'immunodépression sont des facteurs de risque de pneumocoque E : amoxicilline 3g/j per os
46
Parmi les propositions suivantes, laquelle (lesquelles) est (sont) exacte(s)? L’asthme professionnel : A. représente 10% des asthmes de l’adulte B. est inscrit sur le tableau des maladies professionnelles C. est caractérisé par la négativité du bilan allergologique environnemental général D. nécessite la réalisation de tests de provocation spécifiques E. est suggéré par la variation du DEP selon le rythme professionnel
ABE Métiers concernés : coiffeurs, boulangers, bâtiment, bois, santé Rythmé par le travail : amélioration le we et les vacances Diagnostic sur les tests cutanés
47
Parmi les pathologies suivantes quelle(s) est (sont) celle (s) liées à l’amiante ? A. asbestose B. silicose C. berylliose D. mésotheliome E. cancer bronchique primitif
ADE Cancers : mésothéliome et cancer bronchique Plèvre : plaques, épaississements, pleurésie bénigne Parenchyme : asbestose
48
Parmi les propositions suivantes laquelle (lesquelles) traduit (traduisent) une altération de la fonction échangeur pulmonaire ? A. désaturation au test de marche de 6 minutes B. CPT\<80% de la théorique C. hypoxémie D. diminution de la DLCO E. syndrome obstructif
ACD 2 pathologies à connaître : PID et emphysème AC: désaturation d'abord à l'effort puis au repos B : trouble ventilatoire restrictif D : signe EFR mais influence par le volume (diminution lors de lobectomie et anémie sans forcément d'atteinte de l'échangeur --\> KCO)
49
Parmi les propositions suivantes concernant la BPCO, laquelle (lesquelles) est(sont) exacte(s) ? A. sur un EFR, elle donne un trouble ventilatoire obstructif incomplètement réversible après administration d'un bronchodilatateur de courte durée d'action B. elle peut exister en l’absence de symptomatologie clinique de bronchite chronique C. elle peut résulter d’un emphysème D. elle peut résulter d’une dilatation des bronches E. elle a comme facteur de risque environnemental la pollution domestique
ABE A : diagnostic fonctionnel + 1 symptôme (toux, dyspnée, expectorations, infections à répétition) C : elle peut s'y associer mais n'en résulte pas D : non, la DDB est un diagnostic différentiel de la BPCO E : notamment dans les pays émergents avec les fumées de combustion pour le chauffage et la cuisine /!\ la pollution environnementale joue un rôle dans les exacerbations mais son rôle dans l'apparition de la BPCO est discuté
50
Quel(s) élément(s) participe(nt) à la classification clinique de GOLD ? A. le nombre d’exacerbations B. le degré d’obstruction bronchique C. le score de CAT D. le score BODE E. le score MRC
ACE Association des exacerbations + d'un score de symptômes (soit CAT soit dyspnée) B : utile pour la classification fonctionnelle de GOLD C : score de symptomatologie sur toux + dyspnée + expectorations D : score pronostic avec BMI + Obstruction + Dyspnée + Test de 6 minutes E : score de dyspnée
51
Parmi les propositions suivantes concernant la réversibilité significative d’un trouble ventilatoire obtructif, laquelle (lesquelles) est(sont) exacte(s) ? A. elle peut être observée dans la BPCO B. elle peut être testée après l’inhalation d’un bronchodilatateur de courte durée d’action C. elle peut être testée après une cure de corticothérapie orale D. elle est définie par un gain du VEMS de 200 ml et de plus de 12% E. elle nécessite une normalisation du VEMS/CV
ABCD A : pas complète dans la BPCO B : attendre 10 min C : après 2 semaines
52
Parmi les propositions suivantes concernant les facteurs de risque de BPCO, laquelle (lesquelles) est(sont) exacte(s) ? A. elle concerne 3% des sujets de plus de 45 ans B. l’exposition à un tabagisme in utero est source de BPCO C. l’exposition à des aérocontanimants professionnels est retrouvée dans 5% des cas D. la pollution athmosphérique est source d’exacerbation E. la BPCO est inscrite dans les tableaux de pathologies professionnelles
BDE A : 5 à 10% de la population de plus de 45 ans C : 15 % des cas
53
Parmi les propositions suivantes concernant l’oxygénothérapie de longue durée laquelle (lesquelles) est (sont) exacte(s) ? A. elle doit s’administrer au moins 15h /24 B. elle doit délivrer un débit destiné à obtenir une PaO2 supérieure à 70 mmHg C. elle est contre-indiquée en cas d’hypercapnie D. elle a démontré son intérêt uniquement chez des patients souffrant IRC consécutive à une BPCO E. l’efficacité des différentes sources d’oxygène est équivalente.
ADE B : objectif Pa02 \> 60 et Sat \> 90% C : pas contre-indiquée mais association avec VNI
54
Parmi les propositions suivantes concernant la définition de l’exacerbation de BPCO, laquelle (lesquelles) est (sont) exacte(s) ? A. l'exacerbation peut se manifester par une majoration isolée de la dyspnée B. la majorité des exacerbations est d’origine infectieuse C. toute exacerbation de BPCO nécessite une prise en charge hospitalière D. la sévérité de la BPCO sous-jacente est un critère influençant la prise en charge de l'exacerbation E. l'exacerbation se traduit par une hypercapnie
ABD Expectoration = hausse des symptômes sur au moins 2 jours avec modification de traitement B : Haemophilius puis Moraxella C : hospitalisation si gravité respiratoire, sévérité de la BPCO, environnement social et échec de PEC ambulatoire
55
Quel(s) diagnostic(s) peut-on évoquer devant un épanchement pleural lymphocytaire? A. un lymphome B. une tuberculose pleurale C. un mésothéliome D. une pleurésie bénigne à l’amiante E. une insuffisance cardiaque
ABCD Pleurésie lymphocytaire : tuberculose, cancer, amiante, sarcoïdose, lupus, PR
56
Parmi les propositions suivantes, laquelle (lesquelles) correspond(ent) à l’HTP des insuffisances respiratoires chroniques? A. PAPm \> 25 mmHg à l’effort B. PAPm \> 25 mmHg au repos lors d'un cathétérisme cardiaque droit C. Débit cardiaque normal D. PAPO \> 15 mmHg pression artérielle pulmonaire occluse E. PAPS \> 35 mmHg lors d’une échographie cardiaque
BCE L'ETT est un outil de dépistage : suspicion si PAP \> 35 mmHg Diagnostic posé sur le cathétérisme droit avec PAPm \> 25 mmHg Les 2 causes les plus fréquentes sont l'insuffisance cardiaque gauche (cause post-capillaire) et l'insuffisance respiratoire chronique (cause pré-capillaire).
57
Parmi les propositions concernant le contrôle de l’asthme, laquelle (lesquelles) est(sont) exacte(s)? 1. le contrôle de l’asthme peut être évaluée à 3 mois de traitement 2. le degré d'obstruction bronchique fait partie des critères de contrôle de l’asthme 3. l’asthme est considéré comme non contrôlé en cas de nécessité d’une cure annuelle de corticoïdes oraux 4. le questionnaire de contrôle de l’asthme porte sur les quatre dernières semaines 5. l’asthme est dit persistant modéré s’il est contrôlé par un traitement de palier 2
ABD Critères de contrôle : symptômes nocturnes, fréquence des symptômes diurnes / prise de traitement de secours, limitations des activités, exacerbations, obstruction bronchique à l'EFR
58
Devant un syndrome d’apnées obstructives du sommeil, la(les)quelle(s) de ces comorbidités recherchez vous? A. un diabète de type 2 B. une hypertension artérielle C. une hypercholestérolémie D. une hypertriglycéridémie E. une ostéoporose
ABCD Tous les critères du syndrome métabolique !
59
Parmi les affirmations suivantes quelle(s) est(sont) celle(s) qui est(sont) vraie(s) concernant l’allergie ? A- il s’agit d’un phénomène immunologique B- il s’agit d’un phénomène déclenché par la dégranulation des mastocytes C- il s’agit d’un phénomène déclenché par l’exposition à un antigène D- il s’agit d’un phénomène plus fréquent chez des personnes génétiquement prédisposées E- il s’agit d’un phénomène observé chez les personnes présentant un taux élevé d’immunoglobine G
ABCD
60
Parmi les éléments suivantes quel(s) est(sont) ceux(s) qui permette(nt) de rattacher un asthme à une cause allergique ? A- la crise est déclenchée par la prise d’aspirine B- il existe un taux élevé d’immunoglobuline E sérique C- il existe une hyperéosinophilie D- la crise apparaît 24 à 36h après l’exposition à un allergène E- il existe un érythème qui apparaît 15 minutes après administration par prick test cutané de l’allergène responsable
B A : non, le cas du syndrome de Fernand Widal (asthme + hypersensibilité à l'aspirine ou aux AINS + polypose nasale) n'est pas une allergie ! C : facteur indépendant D : hypersensibilité immédiate E : pas d'érythème mais papule
61
Parmi les connectivites suivantes quelle(s) est(sont) celle(s) qui se compliquent fréquemment d’une pleurésie ? A- polyarthrite rhumatoïde B- lupus érythémateux disséminé C- sclérodermie D- polymyosite E- maladie de Gougerot-Sjögren
AB A : souvent unilatéral et avant l'apparition des symptômes articulaires et de l'inflammation
62
Parmi les manifestations respiratoires suivantes quelle(s) est(sont) celle(s) qui sont fréquemment observées en cas de vascularite ? A- pleurésie B- hémorragie intra-alvéolaire C- asthme sévère D- dilatations des bronches E- opacités excavées
BCE C : micropolyangéite à éosinophiles avec asthme sévère non contrôlé chez le sujet âgé D : les 2 connectivites à DDB sont la PR et le Sjogren (rarement) E : vascularites nécrosantes (se voit aussi dans la PR avec les nodules rhumatoïdes)
63
Parmi les affections suivantes quelle(s) est(sont) celle(s) qui sont fréquemment responsables d’hémoptysies ? A- dilatations des bronches B- fibrose pulmonaire idiopathique C- asthme D- séquelles de tuberculoses E- cancer du poumon
ADE D : car souvent séquelles à type de DDB
64
Parmi les données épidémiologiques suivantes quelle(s) est(sont) celle(s) qui sont vraies concernant le cancer du poumon en France ? A- c’est le cancer le plus fréquent B- c’est le cancer le plus mortel C- plus de 80% des cancers du poumon concernent des fumeurs ou anciens fumeurs D- la fréquence du cancer du poumon chez la femme augmente E- environ 10 à 15% des adénocarcinomes pulmonaires présentent une mutation du gène du récepteur de croissance épidermique (EGFR)
BCDE
65
Parmi les examens suivants quel(s) est(sont) ceux(s) qui doivent être réalisés pour juger de l’opérabilité d’un cancer du poumon en cas de maladie localisée ? A- une mesure du VEMS B- une mesure de la DLCO C- une polygraphie ventilatoire D- une évaluation de fonction cardiaque E- une scintigraphie pulmonaire de perfusion, si le VEMS est inférieur à 1000 ml
ABDE AB : le VEMS et la DLCO post-opératoire doivent être supérieurs au 1/3 de la théorique E : permet de voir la répartition des altérations (si une baisse très importante du VEMS et de la DLCO est due au poumon droit et que c'est lui qu'on retire alors que l'autre poumon fonctionne bien, l'opération peut être indiquée)
66
Parmi les examens suivants quel(s) est(sont) ceux(s) qui doivent être réalisés pour juger de l’extension d’un cancer du poumon non à petites cellules, chez une personne asymptomatique ? A- un scanner du thorax B- une scintigraphie osseuse C- un dosage du taux sérique d’antigène carcinoembryonnaire (ACE) D- une IRM cérébrale E- une scintigraphie pulmonaire de perfusion
AD Extension locale : scanner thorax Extension à distance : TEP + imagerie cérébrale
67
Indications de la VNI dans l'insuffisance respiratoire chronique
Hypoventilation alvéolaire
68
Normes pour distinguer exsudat / transudat
Transudat : protéines \< 25 Exsudat : protéines \> 35 Entre 25 et 35, appliquer les critères de Light : - prot plèvre / sérum : \> 0.5 = exsudat - LDH plèvre / sérum : \> 0.6 = exsudat
69
Principales étiologiques à évoquer devant un épanchement pleural transudatif ?
Bilatéral : IC ou syndrome néphrotique Unilatéral : cirrhose, EP, atélectasie
70
Principales étiologiques à évoquer devant un épanchement pleural exsudatif ?
Présence de cellules tumorales : cancer -\> scanner et biopsie Prédominance de neutrophiles : infection -\> antibiothérapie + drainage Prédominance de lymphocytes : tuberculose, sarcoïdose, lupus, PR Prédominance d'éosinophiles : asbestose, parasitose, iatrogénie
71
Critères de contrôle de l'asthme chez l'adulte
VEMS \> 80% \< 1 crise avec prise de corticoïdes systématiques dans l'année \< 1 épisode de symptômes nocturnes dans la semaine \< 2 épisodes de symptômes diurnes dans la semaine
72
Critères de contrôle de l'asthme chez l'enfant
Aucun réveil nocturne Aucune limitation des activités \< 2 épisodes de symptômes diurnes dans la semaine
73
Normes de la classification GOLD dans la BPCO
Se base sur le VEMS : - GOLD 1 = VEMS \> 80% - GOLD 2 = VEMS entre 50 et 80% - GOLD 3 = VEMS entre 30 et 50% - GOLD 4 = VEMS \< 30ù
74
Examens complémentaires dans le cadre d'un cancer bronchique
Fibroscopie TEP + IRM cérébrale EFR Bilan pré-op
75
Prise en charge thérapeutique d'un cancer bronchique non à petites cellules
Opérable : chirurgie d'exérèse + curage -\> si N+ : radiochimiothérapie Non-opérable : radiochimiothérapie et réévaluation à 1 an Métastatique : - EGFR + ou PDL1 \> 50% : Pembrolizumab - chimiothérapie
76
Classification TNM des cancers bronchiques
77
Que peut-on voir aux EFR dans une pneumopathie interstitielle diffuse ?
Syndrome ventilatoire restrictif Désaturation à l'effort
78
3 causes de pneumopathie interstitielle diffuse aiguë ?
SDRA OAP pneumonies
79
Présentation radiologique des pneumopathies interstitielles communes
Réticulations et rayons de miel prédominants aux bases
80
Présentation radiologique d'une PINS
Verre dépoli avec respect sous pleural
81
Présentation radiologique de la pneumopathie organisée
Lésions alvéolaires cicatrisant en bandes arciformes
82
Principales causes d'hémoptysie
Aspergillose BK Cancer Dilatation des bronches Embolie pulmonaire
83
Algorithme de prise en charge d'une hémoptysie
Mauvaise tolérance ? : artériographie pour embolisation d'emblée Si bien tolérée : - scanner thoracique - oxygénothérapie - terlipressine IV Si échec : artériographie pour embolisation
84
Normes pour distinguer entre HTP pré et post-capillaire
Se baser sur la PAPO : - \< 15 : précapillaire - \> 15 : post-capillaire
85
Normes pour suspecter une HTP sur l'ETT
PAPS \> 35 mmHg
86
Examen et norme permettant de confirmer une HTP
Cathétérisme droit avec PAPm \> 25 mmHg
87
Classification des HTP
5 groupes : - 1 : HTAP - 2 : cardiopathies gauches - 3 : maladies respiratoires chroniques - 4 : thrombo-embolique chronique - 5 : multifactorielle
88
Classer les différents types d'HTP selon leur fréquence
Groupe 2 \> 3 \> 4 \> 1 \> 5
89
Facteurs pronostiques des HTP
Rapidité de progression Décompensation cardiaque droite Syncope Epanchement péricardique Altération du test de marche de 6 min
90
Signes du syndrome de pénétration
Toux brutale Suffocation avec tirage Cornage Cyanose
91
Signes radiologiques orientant vers l'inhalation d'un corps étranger
Visualisation d'un corps étranger radio-opaque : - pile : image ronde avec aspect de double contour - pièce : image ronde sans aspect de double contour Atélectasie Hyperclarté pulmonaire unilatérale à l'expiration (signe du trappage aérique) /!\ la radio peut être normale
92
Prise en charge d'une suspicion d'inhalation de corps étranger
Maintien en position assise Radio du thorax Bronchoscopie souple pour retrait du CE (possible rigide si échec ou CE très volumineux)
93
Rappeler la classification mMRC
94
Bilan d'extension devant un cancer pulmonaire résécable
Systématiquement TDM abdo + IRM cérébrale + TEP
95
A propos du syndrome de détresse respiratoire aigu (SDRA), cochez la(les) réponse(s) exacte(s) : a. Son origine est dans la plupart des cas cardiogénique b. Il existe un oedème pulmonaire lésionnel dans le SDRA c. Un SDRA léger est défini par un rapport PaO2/FiO2 entre 200 et 300 d. Un SDRA modéré est défini par un rapport PaO2/FiO2 entre 150 et 200 e. Un SDRA sévère est défini par un rapport PaO2/FiO2 inférieur à 100
BCE A : jamais de part cardiaque prédominante dans les SDRA (fait partie des critères diagnostiques +++)
96
Parmi les affirmations suivantes, laquelle (lesquelles) n'est (ne sont) pas en faveur d'un pneumothorax spontané primaire ? a. Le patient a ressenti une violente douleur thoracique unilatérale qui s'est progressivement estompée b. Le patient est porteur d'une BPCO stade GOLD III c. Il existe plusieurs fractures costales récentes du même côté que le pneumothorax actuel d. Le patient est longiligne et fume 15 cigarettes/j depuis 5 ans e. Le pneumothorax actuel est survenu dans un contexte d'explosion violente
BCE
97
Quelles sont les indications à l'oxygénothérapie de longue durée dans l'insuffisance respiratoire ?
PaO2 \< 55 mmHg sur 2 gaz du sang PaO2 \< 60 mmHg sur 2 gaz du sang avec : - polyglobulie - HTP - insuffisance cardiaque droite - désaturations nocturnes non apnéiques
98
Quels sont les éléments de la triade de Virchow ?
Triade des facteurs de formation d'un thrombus : - stase veineuse - lésions pariétales - anomalies de l'hémostase
99
Quels éléments paracliniques font partie du bilan systématique de la sarcoïdose ?
Biologie : NFS + CRP + iono + créat + Ca + EPP + BHC + ECA + VIH + ECBU et iono urinaire -\> hypercalcémie, hausse ECA, cholestase anictérique, hypergammaglobulinémie Radio de thorax : stade EFR : syndrome restrictif ECG : troubles de la conduction
100
Prise en charge d'un pneumothorax spontané primaire
Bonne tolérance : surveillance Mauvaise tolérance : exsufflation puis drain si échec
101
Que peut-on voir sur un ECG en cas d'embolie pulmonaire ?
Normal Tachycardie sinusale +++ Plus rarement : S1Q3, ondes négatives en V1 et V3, bloc de branche droit, arythmie supraventriculaire
102
Quel est le seuil de positivité des D-dimères ?
\< 50 ans : D-dimères \> 500 ug/L \> 50 : D-dimères \> 10 x âge
103
Quels sont les facteurs pronostiques défavorables de la sarcoïdose ?
Terrain : - âge \> 40 ans - origine afro-caribéenne Evolution : - progression rapide - forme chronique Atteintes : - stades 3 ou 4 - syndrome restrictif pulmonaire - atteinte multiviscérale - atteinte grave : cardiaque, neuro...
104
Clinique du syndrome de Lofgren
Fièvre Adénopathie Erythème noueux Arthralgie -\> forme aiguë de sarcoïdose ne nécessitant pas de preuve histologique
105
Quelles anomalies sont visibles à la radio thoracique en cas d'embolie pulmonaire ?
Normale Atélectasie en bandes Ascension d'une coupole diaphragmatique Opacité parenchymateuse (infarctus)
106
Quelle(s) est ou sont la ou les proposition(s) juste(s)? A. En cas de pneumothorax spontané secondaire ou en cas de pneumothorax traumatique bien toléré on peut faire une surveillance uniquement B. Le drain peut être posé en voie d’abord antérieure ou axillaire C. En cas de pneumothorax traumatique mal toléré on posera un drain en première intention D. En cas de pneumothorax spontanée secondaire mal toléré on posera un drain après échec de l’exsufflation E. Le drainage pleural peut se faire entre le 2e et 3e espace intercostal sur la ligne axillaire moyenne
ABC Globalement : * bien toléré : surveillance * mal toléré : * spontané primaire : exsufflation * spontané secondaire ou traumatique : drain
107
Concernant la durée du traitement anticoagulant dans l'embolie pulmonaire, quelles sont les propositions justes ? A. En cas de TVP proximale ou d’EP en présence de facteur favorisant transitoire majeur le traitement sera de 3 mois B. En cas d’EP chez un patient cancéreux le traitement sera prolongé tant que le cancer sera actif C. La compression élastique dure 3 mois après la TVP D. En cas d’EP avec facteur de risque majeur persistant le traitement pourra être pris au long cours E. Si l’EP est idiopathique le traitement sera de 5 mois
ABD Idiopathique : 6 mois Facteur transitoire : 3 mois Facteur persistant : au moins 6 mois, en pratique tant que le facteur persiste) Compression élastique pendant 6 mios
108
Quelle(s) est ou sont la ou les propositions juste(s) concernant la gravité d'une embolie pulmonaire ? A. Aucune proposition n’est juste B. Un score sPESI= 1 avec dysfonction du ventricule droit et des biomarqueurs normaux est classé en risque intermédiaire élevé C. Un patient de 85 ans qui vient aux urgences pour un diagnostique d’EP avec 91% de saturation une pression artérielle à 105 /65 une fréquence cardiaque à 105 sans antécédent a un score sPESI à 3 D. L’hypertension artérielle pulmonaire ( = type 1) est une des complications de l’embolie pulmonaire E. Un score sPESI= 1 sans dysfonction du ventricule droit et des biomarqueurs normaux est classé en risque intermédiaire faible
E _Score sPESI :_ Retenit 80 90 100 110 Age \> 80 Sat \< 90% PAS \< 100 FC \> 110 Chaque item donne 1 point _Gravité :_ * faible : sPESI 0 * intermédiaire : sPESI 1 * faible : dysfonction VD ou hausse biomarqueurs ou rien * élevée : dysfonction VD ET hausse des biomarqueurs * élevée : choc
109
A propos des troubles ventilatoires retrouvés aux EFR, quelle(s) est/sont la/les proposition(s) exacte(s)? A. Une distension pulmonaire aux EFR se définit par une CPT \> 120% B. Un trouble ventilatoire mixte se définit par l'association d'un TVO et d'une distension pulmonaire C. Un TVO réversible est définit par un gain de 200mL et 12% du VEMS en post-bronchodilatateur D. Un Trouble Ventilatoire Obstructif (TVO) se définit par un VEMS/CVF \<0,7 chez l'adulte E. Un Trouble Ventilatoire Obstructif (TVO) se définit par un VEMS/CVF \<0,7 chez l'enfant
ACD Trouble mixte = restrictif + obstructif TVO chez l'enfant : VEMS/CVF \< 0,8
110
Quels sont les 3 principaux germes des exacerbations de BPCO ?
Pneumocoque Haemophilus Moraxella catarrhalis
111
A propos des thérapeutiques de l'asthme, quelle(s) est/sont la/les proposition(s) exacte(s)? A. Le traitement de fond correspond aux corticoïdes systémiques B. Dans certains cas, le traitement de fond peut comprendre des bronchodilatateurs de longue durée d'action C. Le traitement de fond de première intention correspond aux corticoïdes inhalés D. Dans certains cas, le traitement de fond peut comprendre des bronchodilatateurs de courte durée d'action E. Dans certains cas, le traitement de fond peut comprendre des anticholinergiques de longue durée d'action
BCE A : la corticothérapie systémique est une traitement d'exacerbation D : les BDCA sont des traitements de secours
112
Quel examen demandez vous en première intention devant une suspicion d'asthme ?
EFR
113
Quelles sont les 2 étiologies de douleur thoracique calmées par la position penchée en avant ?
Péricardite aiguë (indispensable à connaître) Pancréatite aiguë : la douleur n'est pas toujours bien localisée (épigastre / hypochondre droit / thoracique) et la position penchée en avant est une variante du chien de fusil
114
Quels sont les 2 examens obligatoires devant une douleur thoracique ?
ECG Radio de thorax
115
Des troponines positives peuvent se rencontrer dans : A. Dissection aortique. B. Embolie pulmonaire C. Infarctus du myocarde D. Myocardite E. Pneumonie
ABCD L'élévation de la troponine signe une souffrance du myocarde. La dissection aortique peut atteindre les coronaires ou gêner leur perfusion avec ischémie myocardique en conséquence. L'embolie pulmonaire retentit sur les cavités droites avec hausse de la post-charge et dilatation → souffrance myocardiaque
116
Signes ECG de la tétrade de Holtzman
Tétrade des signes ECG de la péricardite : * sus-décalage ST diffus * retour à la ligne isoélectrique à 48h * sous-décalage ST à S1 * retour à la ligne isoélectrique à M1
117
Bilan pré-thérapeutique de la quadrithérapie tuberculeuse
NFS + iono + créat + BHC + acide urique b-hCG Sérologies VIH + VHB + VHC Consult ophtalmo ave vision des couleurs + champ visuel Moyen mnémo : SOUCHE Sérologies + Ophtalmo + Uricémie + Créatinine + Hépatique + Enceinte