Pneumoconioses Flashcards

(56 cards)

1
Q

Pneumoconioses são doenças fibróticas dos pulmões causadas pela inalação de poeira com matéria orgânica. Verdadeiro ou falso?

A

Falso.

As pneumoconioses são causadas pela inalação de poeiras minerais, como sílica, carvão ou asbesto, e não por matéria orgânica.

How well did you know this?
1
Not at all
2
3
4
5
Perfectly
2
Q

A pneumoconiose é dividida em fibrogênicas e não fibrogênicas. As fibrogênicas provocam reação inflamatória intensa, levando à formação de tecido fibroso nos pulmões. Verdadeiro ou falso?

A

Verdadeiro.

How well did you know this?
1
Not at all
2
3
4
5
Perfectly
3
Q

As pneumoconioses não fibrogênicas, como a siderose e a estanose , causam acúmulo de partículas nos pulmões sem provocar fibrose significativa e têm evolução geralmente benigna. Verdadeiro ou falso?

A

Verdadeiro.

How well did you know this?
1
Not at all
2
3
4
5
Perfectly
4
Q

Doenças causadas por poeiras orgânicas, como a bissinose (poeira de algodão), pertencem ao mesmo grupo das pneumoconioses. Verdadeiro ou falso?

A

Falso.

Doenças como a bissinose pertencem ao grupo das doenças pulmonares ocupacionais não pneumoconióticas.

How well did you know this?
1
Not at all
2
3
4
5
Perfectly
5
Q

A bissinose, causada pela inalação de poeira de algodão, pertence ao grupo das doenças pulmonares ocupacionais não pneumoconióticas. Verdadeiro ou falso?

A

Verdadeiro.

A bissinose é caracterizada por reações inflamatórias às poeiras orgânicas.

How well did you know this?
1
Not at all
2
3
4
5
Perfectly
6
Q

A história ocupacional compatível e sintomas como tosse seca, dor torácica de baixa intensidade e dispneia moderada aos esforços são sinais patognomônicos de pneumoconiose. Verdadeiro ou falso?

A

Falso.

Esses sintomas são inespecíficos e podem estar presentes em outras doenças respiratórias.

How well did you know this?
1
Not at all
2
3
4
5
Perfectly
7
Q

Nos pacientes portadores de pneumoconioses, a espirometria é usada para avaliar as trocas gasosas no pulmão. Verdadeiro ou falso?

A

Falso.

A espirometria avalia a função pulmonar, mas não mede diretamente as trocas gasosas.

How well did you know this?
1
Not at all
2
3
4
5
Perfectly
8
Q

Se o diagnóstico de um operário de empresa de extração de minérios, exposto a sílica livre, for de pneumoconiose, nesse caso, o empregado terá sido acometido de uma doença do trabalho. Verdadeiro ou falso?

A

Falso.

A pneumoconiose causada pela exposição à sílica é classificada como uma doença profissional.

How well did you know this?
1
Not at all
2
3
4
5
Perfectly
9
Q

Pessoas que trabalham na produção de ferramentas e próteses dentárias estão sujeitas a desenvolver pneumoconiose por metais duros, causada pela exposição a poeiras metálicas provenientes de ligas compostas por tungstênio e outros metais duros. Verdadeiro ou falso?

A

Verdadeiro

A pneumoconiose por metais duros é causada pela inalação de poeiras metálicas provenientes de ligas que contêm tungstênio, titânio, nióbio, vanádio e cobalto. Trabalhadores em setores como produção de ferramentas e próteses dentárias estão especialmente vulneráveis.

How well did you know this?
1
Not at all
2
3
4
5
Perfectly
10
Q

No Brasil, a principal pneumoconiose é a asbestose. Verdadeiro ou falso?

A

Falso

A principal pneumoconiose no Brasil é a silicose, causada pela inalação de poeira de sílica cristalina, comum em atividades como mineração e beneficiamento de pedras.

How well did you know this?
1
Not at all
2
3
4
5
Perfectly
11
Q

Trabalhadores acometidos por pneumoconioses não costumam apresentar sinais clínicos patognomônicos da sua pneumopatia. Verdadeiro ou falso?

A

Verdadeiro

Os sintomas das pneumoconioses, como tosse e dispneia, são inespecíficos e podem ser confundidos com outras doenças respiratórias.

How well did you know this?
1
Not at all
2
3
4
5
Perfectly
12
Q

Dor torácica, perda de peso e hemoptise são achados comuns no paciente vítima de asbestose. Verdadeiro ou falso?

A

Falso

Esses sintomas estão associados a condições como câncer de pulmão ou mesotelioma maligno.Dor torácica, perda de peso e hemoptise não são achados comuns na asbestose .A doença, causada pela inalação de fibras de amianto, se manifesta principalmente com dispneia progressiva, tosse persistente e crepitações bibasais. A dispneia é o sintoma mais frequente, presente em 88,7% dos casos.

How well did you know this?
1
Not at all
2
3
4
5
Perfectly
13
Q

O tratamento de eleição para a asbestose é a administração de corticoides. Verdadeiro ou falso?

A

Falso

Não há tratamento curativo para a asbestose. O manejo é sintomático, focando na cessação da exposição ao asbesto e reabilitação pulmonar.

How well did you know this?
1
Not at all
2
3
4
5
Perfectly
14
Q

As lesões básicas presentes no portador de silicose crônica são as placas pleurais. Verdadeiro ou falso?

A

Falso

As lesões características da silicose crônica são os nódulos silicóticos no ápice do parênquima pulmonar.

How well did you know this?
1
Not at all
2
3
4
5
Perfectly
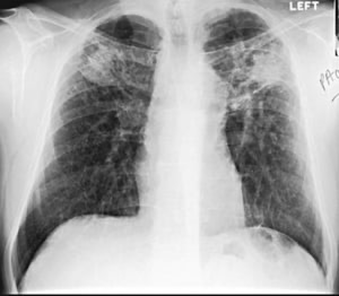
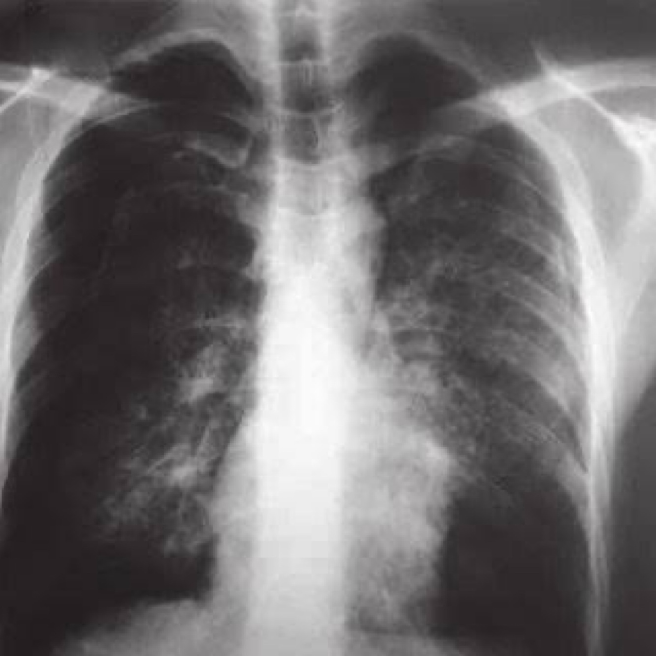
15
Q

A silicose, que afeta trabalhadores como mineradores, cortadores de pedras e ceramistas, é uma mesopatia classificada como doença profissional típica do grupo I de Schilling.

Verdadeiro ou falso?

A

Falso

A silicose não é uma mesopatia, mas sim uma tecnopatia, pois é uma doença profissional típica, diretamente causada pela exposição a agentes específicos no ambiente de trabalho, como a poeira de sílica cristalina. Ela está classificada no grupo I de Schilling, que inclui doenças exclusivamente relacionadas à atividade profissional desempenhada.

How well did you know this?
1
Not at all
2
3
4
5
Perfectly
16
Q

Na silicose , cristais de sílica podem atingir a pleura ocasionando nódulos subpleurais, ,que são os achados radiológicos mais comuns na silicose .

Verdadeiro ou falso?

A

Falso

Embora nódulos subpleurais possam ocorrer na silicose, eles não são os achados mais comuns. A silicose é predominantemente caracterizada pela formação de nódulos silicóticos no parênquima pulmonar, principalmente nos lobos superiores. Esses nódulos resultam da deposição de partículas de sílica e da resposta inflamatória subsequente. Os achados radiológicos mais típicos incluem opacidades nodulares, que podem ser identificadas em radiografias ou tomografias.

How well did you know this?
1
Not at all
2
3
4
5
Perfectly
17
Q

A incidência de tuberculose é maior em trabalhadores portadores de silicose, como mineradores e operários expostos à poeira de sílica, do que na população em geral. Verdadeiro ou falso?

A

Verdadeiro

Portadores de silicose têm maior risco de tuberculose devido ao comprometimento imunológico pulmonar causado pela fibrose.

How well did you know this?
1
Not at all
2
3
4
5
Perfectly
18
Q

Trabalhadores de laboratórios de biologia, frigoríficos e atividades que lidam com doentes bacilíferos podem desenvolver tuberculose e, nesse caso ,será considerada doença relacionada ao trabalho do grupo II da Classificação de Schilling.

Verdadeiro ou falso?

A

Verdadeiro

O grupo II da classificação de Schilling inclui doenças relacionadas ao trabalho, mas não exclusivamente ocupacionais.

How well did you know this?
1
Not at all
2
3
4
5
Perfectly
19
Q

Em trabalhadores como mineradores e cortadores de pedras, expostos a poeiras de sílica, a tuberculose e a sílico-tuberculose são consideradas doenças relacionadas ao trabalho do grupo III da Classificação de Schilling. Verdadeiro ou falso?

A

Verdadeiro

O grupo III de Schilling abrange doenças preexistentes agravadas pelas condições de trabalho. No caso de trabalhadores expostos à sílica, como mineradores e cortadores de pedras, a sílica pode comprometer o sistema imunológico pulmonar, favorecendo a reativação da tuberculose latente ou contribuindo para o desenvolvimento da sílico-tuberculose, sendo essas consideradas doenças relacionadas ao trabalho.

How well did you know this?
1
Not at all
2
3
4
5
Perfectly
20
Q

O desenvolvimento e a evolução da silicose dependem da suscetibilidade individual do trabalhador, bem como da concentração de sílica livre respirável, do tempo de exposição e do tamanho das partículas inaladas. Verdadeiro ou falso?

A

Verdadeiro.

A silicose é influenciada por diversos fatores:
* Suscetibilidade individual
* Concentração de sílica livre respirável
* Tempo de exposição
* Tamanho das partículas

How well did you know this?
1
Not at all
2
3
4
5
Perfectly
21
Q

A fase aguda e a fase crônica da silicose e da asbestose são similares, pois ambas causam fibrose intersticial difusa com deposição concêntrica de colágeno.

Verdadeiro ou falso?

A

Falso.

Embora ambas as doenças sejam fibrosantes, as características histopatológicas diferem:
Silicose: Predomina a fibrose nodular, com formação de nódulos silicóticos devido à deposição de sílica.
Asbestose :Caracteriza-se por uma fibrose intersticial difusa, geralmente associada a placas pleurais e causada pela inalação de fibras de amianto.

Além disso, a fase aguda da silicose é marcada por inflamação intensa e acúmulo de proteínas alveolares, enquanto a asbestose não apresenta uma fase aguda similar.

How well did you know this?
1
Not at all
2
3
4
5
Perfectly
22
Q

A silicose é uma doença pulmonar causada pela inalação prolongada de poeira contendo sílica cristalina, especialmente em trabalhadores de minas(ouro) , pedreiras e indústrias que manipulam porcelana. Verdadeiro ou falso?

A

Verdadeiro.

A silicose é uma doença ocupacional causada pela exposição prolongada à sílica cristalina em ambientes de trabalho como mineração, pedreiras e indústrias de cerâmica.

How well did you know this?
1
Not at all
2
3
4
5
Perfectly
23
Q

A radiografia de tórax é o exame mais recomendado inicialmente para o diagnóstico de silicose, enquanto a tomografia computadorizada é usada apenas em casos de dúvida ou para avaliação detalhada. Verdadeiro ou falso?

A

Verdadeiro.

A radiografia de tórax é o método inicial e preferencial para diagnosticar silicose, pois identifica opacidades pulmonares características da doença.

24
Q

Achados radiológicos de infiltrado intersticial micronodular em região apical pulmonar, num trabalhador exposto à sílica,associados à presença de nódulos coalescentes, podem sugerir a silicose, mas seu diagnóstico definitivo requerer a realização de biópsia. Verdadeiro ou falso?

A

Falso.

A radiografia de tórax é o principal exame para o diagnóstico de silicose, sendo suficiente em muitos casos para identificar as alterações características.

25
João, de 63 anos de idade, foi diagnosticado com silicose após 25 anos trabalhando em uma indústria de fabricação de vidro. A alteração anatomopatológica pulmonar mais provável nesse caso é fibrose difusa. Verdadeiro ou falso?
Falso. ## Footnote A alteração anatomopatológica característica da silicose é a fibrose nodular, que resulta da deposição de sílica cristalina nos pulmões.
26
A silicose acontece principalmente pelo contato longo e permanente com poeiras minerais contendo sílica livre. Verdadeiro ou falso?
Verdadeiro. ## Footnote A silicose é uma doença ocupacional causada pela exposição prolongada e repetitiva a poeiras minerais contendo sílica livre cristalina.
27
O uso correto de máscaras de proteção respiratória é suficiente para prevenir a silicose, dispensando outras medidas de controle no ambiente laboral. Verdadeiro ou falso?
Falso. ## Footnote Embora máscaras e respiradores sejam eficazes na proteção individual, eles não substituem medidas de controle ambiental.
28
A silicose apresenta forte correlação dose-resposta e pode progredir mesmo após o afastamento da exposição. Verdadeiro ou falso?
Verdadeiro. ## Footnote A gravidade e a prevalência da silicose aumentam proporcionalmente à duração e à concentração da exposição à sílica na fração respirável.
29
Em casos de diagnóstico de doenças ocupacionais como a silicose, a data do acidente registrada na CAT deverá ser obrigatoriamente a data do afastamento do trabalho. Verdadeiro ou falso?
Falso. ## Footnote Em doenças ocupacionais como a silicose, a data do acidente registrada na CAT pode ser: • **A data do diagnóstico da doença**; • **A data da incapacidade laborativa**; • Ou a **data da segregação do trabalhador do ambiente de risco**. **O critério é o que ocorrer primeiro**, não sendo obrigatoriamente a data do afastamento.
30
A silicose aguda é decorrente da exposição à sílica associada a outros minerais em proporção inferior a 7,5% na fração respirável. Verdadeiro ou falso?
Falso. ## Footnote A silicose aguda ocorre devido à exposição a altas concentrações de sílica livre cristalina, independentemente da presença de outros minerais, resultando em rápida progressão do quadro clínico com inflamação intensa e acúmulo de proteínas alveolares.
31
O espessamento pleural é um achado comum na silicose simples. Verdadeiro ou falso?
Falso. ## Footnote Na silicose simples, as alterações típicas incluem nódulos silicóticos no parênquima pulmonar. O espessamento pleural é mais comumente associado à exposição ao asbesto, caracterizando doenças como a asbestose.
32
A silicose apresenta predominantemente lesões nodulares, mas pode evoluir para uma forma difusa em casos de exposição intensa ou prolongada. Verdadeiro ou falso?
Verdadeiro ## Footnote A silicose é **predominantemente** caracterizada por **lesões nodulares** devido à deposição de sílica e à resposta inflamatória mediada por macrófagos. No entanto, em **casos de exposição intensa ou prolongada**, ou em **determinadas condições imunológicas**, as lesões **podem evoluir para uma fibrose difusa**, como observado em estudos experimentais e em **casos avançados de silicose**. A **transição de nódulos para fibrose difusa** reflete a **gravidade e a progressão da doença**.
33
A silicose acelerada decorre da inalação de grande quantidade de sílica em curto período de tempo, com lesão de células epiteliais, edema pulmonar e o quadro manifesta-se de semanas até 2-5 anos após iniciada a exposição. Verdadeiro ou falso?
Falso. ## Footnote A silicose acelerada se desenvolve após exposição intensa à sílica por períodos relativamente curtos (2-10 anos), mas não apresenta lesão de células epiteliais nem edema pulmonar, que são características da silicose aguda.
34
A silicose aguda é a forma mais prevalente e é caracterizada pela presença de granulomas bem formados e, na fase inicial, na maioria dos indivíduos é assintomática, mesmo com alterações radiológicas relevantes. Verdadeiro ou falso?
Falso. ## Footnote A forma mais prevalente da silicose é a silicose crônica, enquanto a silicose aguda, mais rara, é marcada pelo acúmulo de proteínas alveolares e inflamação severa. Granulomas bem formados são característicos de doenças granulomatosas, como sarcoidose e tuberculose, e não da silicose.
35
A fisiopatologia da silicose caracteriza-se pela fração inalável das partículas que se depositam nos bronquíolos terminais, respiratórios e na região alveolar. Verdadeiro ou falso?
Falso. ## Footnote Na silicose, as partículas de **sílica respirável**, e **não inalável**, se depositam nos **bronquíolos terminais, bronquíolos respiratórios e na região alveolar**. Essas partículas menores **penetram profundamente** nos pulmões, sendo **fagocitadas por macrófagos alveolares**, desencadeando **inflamação e fibrose pulmonar**.
36
Os nódulos pulmonares na silicose são predominantes nos lobos inferiores. Verdadeiro ou falso?
Falso. ## Footnote Na silicose, os nódulos pulmonares são predominantemente encontrados nos lobos superiores, devido à maior ventilação nessas áreas.
37
A síndrome de Erasmus, no contexto da silicose, refere-se à associação entre exposição à sílica e o desenvolvimento de esclerose sistêmica (SSc). Verdadeiro ou falso?
Verdadeiro. ## Footnote A síndrome de Erasmus descreve a relação entre a exposição ocupacional à sílica e o aumento da incidência de esclerose sistêmica (SSc), caracterizando uma associação entre exposição ambiental e doença autoimune.
38
A síndrome de Caplan é caracterizada pela presença de nódulos pulmonares em indivíduos com artrite reumatoide que foram expostos a poeiras minerais, como a sílica. Verdadeiro ou falso?
Verdadeiro. ## Footnote A síndrome de Caplan combina artrite reumatoide com pneumoconiose causada pela exposição a poeiras minerais. Os nódulos pulmonares observados são típicos e podem apresentar calcificações ou cavitações visíveis em exames de imagem.
39
Os mecanismos patogênicos da silicose incluem vias de sinalização como TLR4, STING e disbiose da microbiota pulmonar. Verdadeiro ou falso?
Verdadeiro. ## Footnote Estudos recentes identificaram a participação de vias de sinalização, como TLR4 e STING, além da disbiose da microbiota pulmonar, na exacerbação da inflamação e fibrose associadas à silicose.
40
Atualmente, não existem tratamentos eficazes para a silicose, e a prevenção da exposição à sílica é a principal estratégia para mitigar a doença. Verdadeiro ou falso?
Verdadeiro. ## Footnote A silicose não tem tratamento curativo, e a prevenção é a medida mais eficaz. Novas abordagens terapêuticas, como terapias antifibróticas e imunomoduladoras, estão sendo investigadas.
41
A exposição profissional em mineração, corte de pedras, abrasão de pedras, vidro e fabricação de cimento são importantes causas de silicose. Verdadeiro ou falso?
Verdadeiro. ## Footnote A silicose é uma doença ocupacional causada pela inalação de poeira de sílica, comum em atividades como mineração, corte e abrasão de pedras, produção de vidro e fabricação de cimento.
42
A fibrose pulmonar pela exposição à sílica costuma ser dose-dependente, após muitos anos de exposição. Verdadeiro ou falso?
Verdadeiro. ## Footnote A silicose crônica está diretamente relacionada à dose de exposição à sílica ao longo de muitos anos.
43
Trabalhadores com jato de areia em ambientes confinados e trabalhadores em construção de túneis através de rochas com alto teor de quartzo podem desenvolver silicose aguda em um período de tempo curto, como 10 meses de exposição. Verdadeiro ou falso?
Verdadeiro. ## Footnote A silicose aguda pode ocorrer em curtos períodos de exposição intensa à poeira de sílica, como em atividades de jato de areia ou construção de túneis em rochas com alto teor de quartzo.
44
A progressão da silicose sempre cessa com a interrupção da exposição à sílica. Verdadeiro ou falso?
Falso. ## Footnote A silicose é uma doença progressiva e irreversível. Mesmo após a cessação da exposição à sílica, a inflamação e a fibrose podem continuar a progredir.
45
Nos casos de silicose, a calcificação de linfonodos hilares pulmonares pode produzir um padrão característico de “casca de ovo”. Verdadeiro ou falso?
Verdadeiro. ## Footnote A calcificação em “casca de ovo” dos linfonodos hilares e mediastinais é um achado típico em radiografias de tórax de pacientes com silicose avançada.
46
A silicose aguda se desenvolve com quadro anatomopatológico semelhante ao da silicose crônica, porém, com menor período de latência e menor gravidade clínica. Verdadeiro ou falso?
Falso. ## Footnote A silicose aguda apresenta quadro mais grave que a forma crônica, com rápida progressão e acúmulo de proteínas alveolares, inflamação intensa e alta mortalidade. É causada por exposição maciça a poeira de sílica em curto período de tempo.
47
Na silicose, a espirometria apresenta menor sensibilidade para avaliar a capacidade funcional quando comparada ao teste de exercício cardiopulmonar. Verdadeiro ou falso?
Verdadeiro. ## Footnote A espirometria avalia volumes e fluxos pulmonares, mas tem limitações na análise da capacidade funcional global. O teste de exercício cardiopulmonar(Ergoespirometria) oferece informações mais abrangentes sobre o desempenho respiratório, cardiovascular e metabólico.
48
O encontro de partículas birrefringentes no tecido pulmonar ao exame microscópico com luz polarizada apresenta importante valor diagnóstico para silicose. Verdadeiro ou falso?
Falso. ## Footnote As partículas birrefringentes identificadas ao microscópio com luz polarizada podem ser observadas em outras pneumoconioses, como asbestose. Embora auxiliem no diagnóstico, são achados inespecíficos para silicose.
49
A silicose é a principal causa de invalidez entre as doenças respiratórias ocupacionais. Verdadeiro ou falso?
Verdadeiro. ## Footnote A silicose é uma das doenças respiratórias ocupacionais mais incapacitantes, devido à sua progressividade e impacto funcional. É a principal causa de invalidez relacionada ao trabalho em ambientes com exposição à sílica.
50
O risco de desenvolvimento de silicose depende de fatores como concentração, tamanho das partículas (menores que 1 µm são mais tóxicas), duração da exposição e forma da sílica cristalina. Verdadeiro ou falso?
Verdadeiro. ## Footnote Fatores como a concentração da poeira, a duração da exposição e o tamanho das partículas são determinantes no desenvolvimento da silicose. Partículas menores têm maior capacidade de penetrar nas vias respiratórias inferiores, aumentando a toxicidade.
51
A biópsia pulmonar no diagnóstico da silicose só está indicada na presença de alteração radiológica com ausência de dados na história ocupacional que sugiram a associação. Verdadeiro ou falso?
Verdadeiro. ## Footnote A biópsia pulmonar é indicada apenas em casos de alterações radiológicas sem uma história ocupacional clara, sendo um exame complementar em situações de dúvida diagnóstica. O diagnóstico de silicose geralmente é baseado em história ocupacional e exames de imagem.
52
A principal fonte de exposição é a mineração subterrânea de ouro na silicose. Verdadeiro ou falso?
Verdadeiro ##Footnote A mineração subterrânea de ouro é uma das principais fontes de exposição à sílica livre cristalina, devido à elevada concentração de poeira contendo sílica nesse ambiente. Trabalhadores envolvidos na perfuração, extração e trituração de rochas ricas em quartzo são particularmente vulneráveis ao desenvolvimento de silicose.
53
A forma aguda da silicose é comum e acomete trabalhadores expostos a concentrações altas de finas partículas de sílica cristalina. Verdadeiro ou falso?
Falso. ## Footnote A forma aguda da silicose é rara e ocorre em trabalhadores expostos a concentrações extremamente altas de sílica cristalina em curto período de tempo, como em atividades de jateamento de areia. Não é uma forma comum da doença.
54
A silicose é uma doença ocupacional de notificação compulsória. Verdadeiro ou falso?
Verdadeiro. ## Footnote A silicose é considerada uma doença ocupacional de notificação compulsória no Brasil, conforme regulamentações de saúde pública, devido à sua relevância e gravidade no ambiente de trabalho.
55
A silicose com evolução acelerada, acompanhada de insuficiência respiratória aguda, pode ser tratada com corticoide sistêmico (dose equivalente a prednisona 60 mg/dia). Verdadeiro ou falso?
Falso. ## Footnote Não há evidências de que o uso de corticoides seja eficaz no tratamento da silicose, mesmo em casos de evolução acelerada com insuficiência respiratória. O manejo é geralmente sintomático, com foco na interrupção da exposição à sílica e suporte respiratório.
56
Tipos de Aerodispersóides: