Pneumoconioses 2 Flashcards

(50 cards)

1
Q

A fração torácica refere-se à parte da poeira que atinge apenas o nariz e boca, sem alcançar os pulmões. Verdadeiro ou falso?

A

Falso.

A fração torácica abrange partículas que ultrapassam as vias aéreas superiores, como o nariz e a boca, podendo atingir a laringe e os pulmões, causando impactos nas vias respiratórias médias.

How well did you know this?
1
Not at all
2
3
4
5
Perfectly
2
Q

A fração respirável é composta por partículas finas que atingem os bronquíolos e alvéolos pulmonares, sendo a mais perigosa em termos de doenças pulmonares. Verdadeiro ou falso?

A

Verdadeiro.

A fração respirável é a fração de partículas mais finas, capazes de alcançar as áreas mais profundas do pulmão, como bronquíolos e alvéolos. Essas partículas estão associadas a doenças ocupacionais como silicose e asbestose.

How well did you know this?
1
Not at all
2
3
4
5
Perfectly
3
Q

A fração inalável inclui partículas grandes que não conseguem atingir os pulmões e são depositadas apenas no trato respiratório superior. Verdadeiro ou falso?

A

Verdadeiro.

A fração inalável abrange partículas maiores, que são depositadas nas vias aéreas superiores, como o nariz e a garganta, sem alcançar as áreas profundas do sistema respiratório. Essas partículas podem causar irritações locais, mas não costumam atingir os pulmões.

How well did you know this?
1
Not at all
2
3
4
5
Perfectly
4
Q

As poeiras são partículas sólidas formadas pela ruptura mecânica de um sólido, como a sílica. Verdadeiro ou falso?

A

Verdadeiro.

Poeiras são geradas pela fragmentação ou abrasão mecânica de materiais sólidos, sendo um exemplo clássico a poeira de sílica, frequentemente associada à mineração e corte de pedras.

How well did you know this?
1
Not at all
2
3
4
5
Perfectly
5
Q

Os fumos são partículas sólidas formadas pela ruptura mecânica de sólidos. Verdadeiro ou falso?

A

Falso.

Fumos são partículas sólidas formadas pela condensação ou oxidação de vapores de substâncias sólidas em alta temperatura, como ocorre em processos de soldagem e fundição.

How well did you know this?
1
Not at all
2
3
4
5
Perfectly
6
Q

As fibras são longos e finos filamentos de um material sólido, como o amianto. Verdadeiro ou falso?

A

Verdadeiro.

Fibras, como as do amianto, são filamentos sólidos alongados que, quando inalados, podem causar doenças como a asbestose e o mesotelioma pleural.

How well did you know this?
1
Not at all
2
3
4
5
Perfectly
7
Q

As névoas são partículas líquidas formadas pela ruptura mecânica de líquidos, como ocorre na pintura spray. Verdadeiro ou falso?

A

Verdadeiro.

Névoas são geradas pela ruptura mecânica de líquidos em pequenas partículas, como ocorre no spray de pintura, criando uma dispersão líquida no ar.

How well did you know this?
1
Not at all
2
3
4
5
Perfectly
8
Q

As neblinas são partículas líquidas formadas pela condensação do vapor de uma substância líquida na temperatura normal. Verdadeiro ou falso?

A

Verdadeiro.

Neblinas resultam da condensação de vapores de substâncias líquidas, formando pequenas partículas líquidas em suspensão, típicas de ambientes frios e úmidos.

How well did you know this?
1
Not at all
2
3
4
5
Perfectly
9
Q

A asbestose é uma forma de pneumoconiose causada pela inalação de fibras de amianto, caracterizada por fibrose intersticial difusa nos pulmões. Verdadeiro ou falso?

A

Verdadeiro.

A asbestose é uma doença ocupacional resultante da exposição prolongada ao amianto, causando fibrose intersticial pulmonar difusa. É uma forma de pneumoconiose com características específicas relacionadas à deposição de fibras de amianto nos pulmões.

How well did you know this?
1
Not at all
2
3
4
5
Perfectly
10
Q

A presença de doença pleural, como placas ou espessamento pleural difuso, pode estar associada à asbestose. Verdadeiro ou falso?

A

Verdadeiro.

A doença pleural, como placas pleurais ou espessamento pleural difuso, é frequentemente encontrada em trabalhadores expostos ao amianto e pode ser um marcador radiológico de exposição, mesmo sem sintomas clínicos.

How well did you know this?
1
Not at all
2
3
4
5
Perfectly
11
Q

A asbestose é uma doença inflamatória relacionada ao acúmulo de fibras essencialmente nas vias respiratórias superiores. Verdadeiro ou falso?

A

Falso.

A asbestose é uma doença relacionada ao acúmulo de fibras de amianto nas vias respiratórias inferiores, particularmente nos alvéolos e bronquíolos respiratórios, onde essas fibras desencadeiam inflamação crônica e fibrose pulmonar.

How well did you know this?
1
Not at all
2
3
4
5
Perfectly
12
Q

A asbestose é uma doença relacionada ao Grupo II da Classificação de Schilling. Verdadeiro ou falso?

A

Falso.

A asbestose é uma tecnopatia classificada como uma doença profissional típica do Grupo I da Classificação de Schilling, pois é causada exclusivamente pela exposição ocupacional a fibras de amianto, como ocorre em atividades como mineração, construção civil e indústria de materiais isolantes.

How well did you know this?
1
Not at all
2
3
4
5
Perfectly
13
Q

Ainda que a exposição ao amianto cesse, o risco de desenvolver mesotelioma permanece elevado devido à natureza persistente e cumulativa dos efeitos do amianto no organismo.

Verdadeiro ou falso?

A

Verdadeiro

O risco de mesotelioma permanece elevado mesmo após a cessação da exposição ao amianto, devido à longa latência da doença, que pode ultrapassar 40 anos. As fibras de amianto permanecem no organismo, promovendo inflamação e danos cumulativos, o que sustenta o risco elevado ao longo do tempo. Além disso, condições benignas relacionadas ao amianto, como placas pleurais, também estão associadas a um aumento no risco de mesotelioma.

How well did you know this?
1
Not at all
2
3
4
5
Perfectly
14
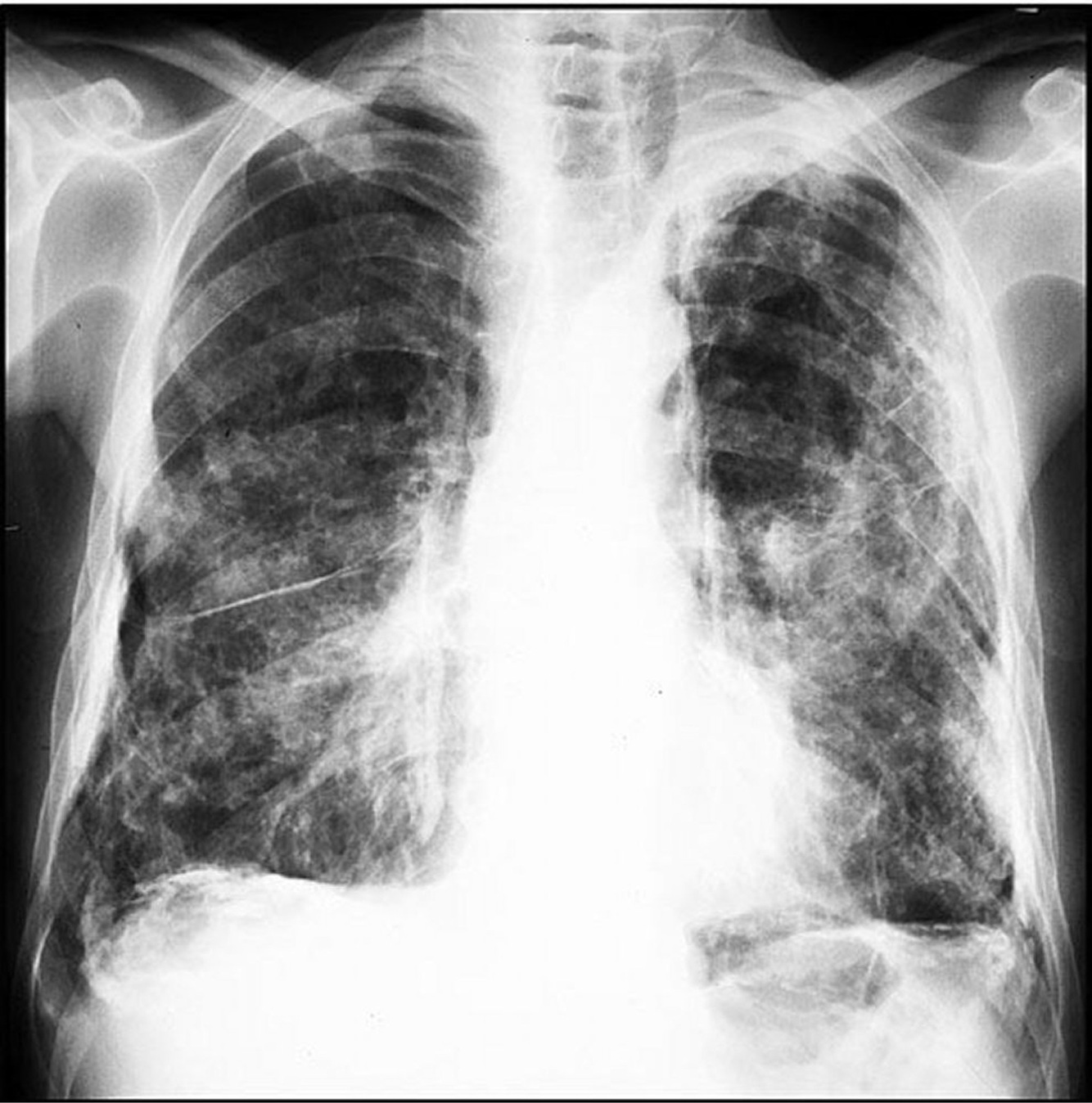
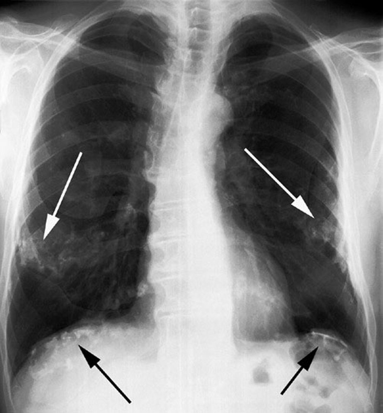
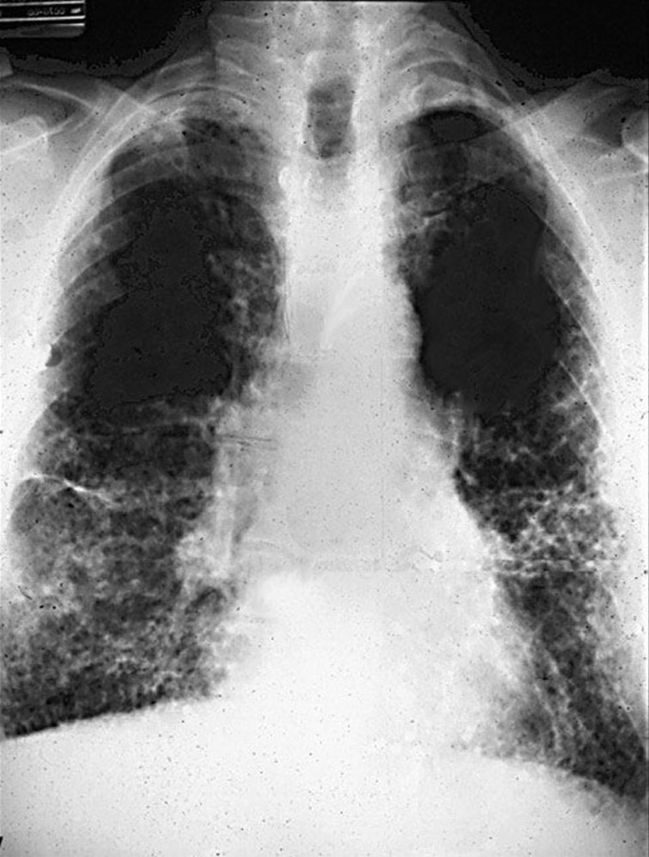
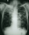
Q

A asbestose tende a ser proeminente nos lobos inferiores e áreas subpleurais. Verdadeiro ou falso?

A

Verdadeiro.

A asbestose afeta principalmente os lobos inferiores e áreas subpleurais, onde as fibras de amianto se depositam e causam fibrose intersticial difusa.

How well did you know this?
1
Not at all
2
3
4
5
Perfectly
15
Q

O amianto é classificado como um carcinógeno humano. Verdadeiro ou falso?

A

Verdadeiro.

O amianto é reconhecido como um carcinógeno humano do grupo 1 pela IARC (Agência Internacional de Pesquisa sobre o Câncer), estando associado a condições malignas como mesotelioma e câncer de pulmão.

How well did you know this?
1
Not at all
2
3
4
5
Perfectly
16
Q

As placas pleurais são manifestações raras da asbestose. Verdadeiro ou falso?

A

Falso.

As placas pleurais são manifestações comuns em indivíduos expostos ao amianto. Elas são consideradas marcadores radiológicos típicos de exposição, embora sejam benignas e muitas vezes assintomáticas.

How well did you know this?
1
Not at all
2
3
4
5
Perfectly
17
Q

A asbestose geralmente se associa a um perfil de função pulmonar restritiva. Verdadeiro ou falso?

A

Verdadeiro.

A asbestose causa fibrose pulmonar, que reduz a elasticidade pulmonar e se manifesta como um padrão restritivo nos testes de função pulmonar, caracterizado por redução da capacidade vital e da capacidade pulmonar total.

How well did you know this?
1
Not at all
2
3
4
5
Perfectly
18
Q

Quais são as principais características clínicas da asbestose?

A

• Assintomática no início
• Dispneia ao esforço
• Crepitações nas bases pulmonares
• Baqueteamento digital (em estágios tardios)
• Tempo de latência geralmente > 10 anos

How well did you know this?
1
Not at all
2
3
4
5
Perfectly
19
Q

Quais são os achados radiológicos típicos da asbestose na radiografia de tórax?

A

• Opacidades irregulares ou reticulares, predominando nas bases pulmonares
• Placas pleurais associadas (calcificadas ou não)
• Espessamento pleural difuso, a doença relacionada ao asbesto mais prevalente
• Atelectasia redonda com distorção vascular em cauda de cometa

How well did you know this?
1
Not at all
2
3
4
5
Perfectly
20
Q

O mesotelioma de pleura e peritônio, fortemente associado ao asbesto, está diretamente ligado à asbestose.

Verdadeiro ou falso?

A

Falso.

O mesotelioma de pleura e peritônio está fortemente associado à exposição ao asbesto, mas não depende da presença de asbestose.
O mesotelioma pode ocorrer independentemente do desenvolvimento de fibrose pulmonar associada ao amianto.

How well did you know this?
1
Not at all
2
3
4
5
Perfectly
21
Q

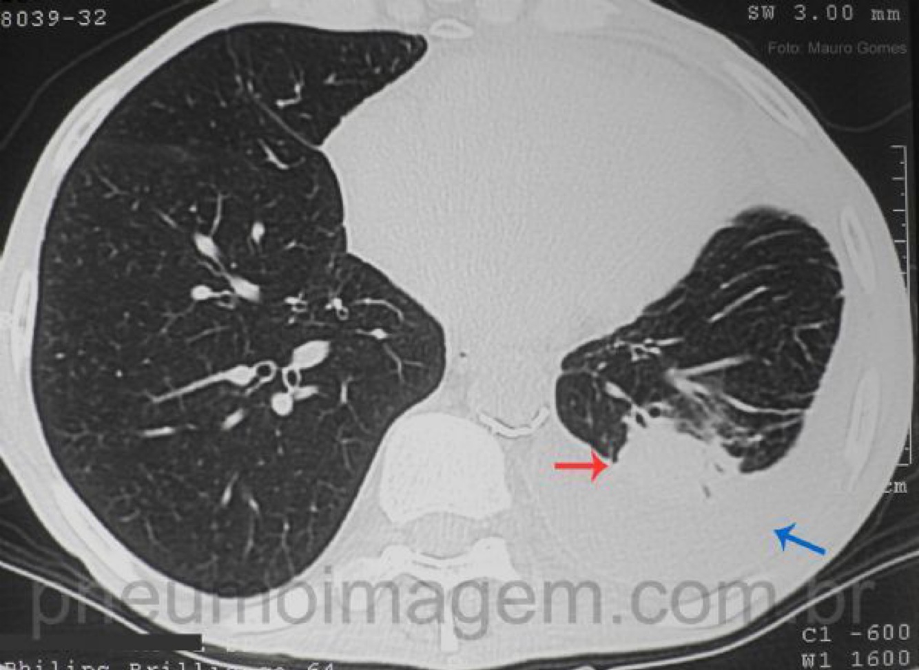
O que caracteriza a atelectasia redonda, um achado típico relacionado ao asbesto?

A

• Colapso pulmonar focal
• Morfologia arredondada
• Localização na periferia, espaço subpleural
• Associada à doença da pleura
• Distorção dos vasos em cauda de cometa (aspecto típico nos exames de imagem)

22
Q

As alterações radiológicas da asbestose podem ser indistinguíveis das alterações da fibrose pulmonar idiopática. Verdadeiro ou falso?

A

Verdadeiro.

As radiografias de tórax na asbestose podem apresentar opacidades reticulares e irregulares similares às encontradas na fibrose pulmonar idiopática, tornando os dois quadros radiologicamente indistinguíveis em alguns casos.

23
Q

Existe relação dose-efeito entre a exposição ocupacional ao asbesto e indicadores clínicos, funcionais e radiológicos da asbestose. Verdadeiro ou falso?

A

Verdadeiro.

A gravidade da asbestose está relacionada à duração e intensidade da exposição ao asbesto. Maiores exposições estão associadas a piora nos achados clínicos, funcionais e radiológicos.

24
Q

O período de latência da asbestose normalmente é maior que dez anos. Verdadeiro ou falso?

A

Verdadeiro.

A asbestose apresenta um período de latência prolongado, frequentemente superior a 10 anos entre a exposição inicial ao asbesto e o início dos sintomas. Esse período pode chegar a várias décadas em alguns casos.

25
O asbesto é um agente reconhecidamente cancerígeno, associado a um tipo raro de câncer que é o mesotelioma de serosas. Verdadeiro ou falso?
Verdadeiro. ## Footnote O asbesto é classificado como um carcinógeno humano e está fortemente associado ao desenvolvimento de mesotelioma, um tipo raro de câncer que afeta principalmente as serosas (pleura, peritônio e pericárdio).
26
O período de latência da asbestose normalmente é superior a 20 anos, não sendo necessária exposição continuada. Verdadeiro ou falso?
Verdadeiro. ## Footnote A asbestose possui um longo período de latência, frequentemente superior a 20 anos, e pode evoluir mesmo após a cessação da exposição ao asbesto devido à retenção prolongada das fibras no pulmão.
27
Indivíduos e grupos ocupacionalmente expostos ao asbesto devem ser estimulados a não fumar, devido ao maior risco de câncer. Verdadeiro ou falso?
Verdadeiro. ## Footnote O tabagismo aumenta significativamente o risco de câncer de pulmão em indivíduos expostos ao asbesto, devido ao efeito sinérgico entre as fibras de asbesto e os componentes cancerígenos do cigarro.
28
Atualmente existe tratamento específico para a asbestose. Verdadeiro ou falso?
Falso. ## Footnote A asbestose não possui tratamento curativo. O manejo é sintomático, incluindo suporte respiratório, reabilitação pulmonar e prevenção de complicações, como infecções ou insuficiência respiratória. A principal medida continua sendo a prevenção da exposição ao asbesto.
29
As formas graves de silicose e asbestose devem ser tratadas com terapia imunossupressora. Verdadeiro ou falso?
Falso. ## Footnote A **terapia imunossupressora não é uma abordagem padrão para o tratamento de formas graves de silicose ou asbestose**. No entanto, há relatos na literatura médica de casos em que a **terapia com corticosteroides foi utilizada com algum sucesso** em condições específicas, como a **silico-asbestose e a silicose aguda**.Esses casos são considerados atípicos e não representam a prática clínica comum.
30
As alterações funcionais pulmonares e os sintomas clínicos costumam ser sempre mais tardios em pacientes com diagnósticos de asbestose, quando comparados a pacientes com pneumoconioses nodulares. Verdadeiro ou falso?
Falso. ## Footnote A asbestose pode apresentar sintomas clínicos e alterações funcionais de forma semelhante ou até mais precoce em relação às pneumoconioses nodulares, dependendo da intensidade e duração da exposição.
31
No Brasil, o uso da maior parte dos asbestos é proibido, exceto o crocidolita, cujo limite de tolerância é inferior ao proposto por organismos internacionais de saúde e segurança. Verdadeiro ou falso?
Falso. ## Footnote A Lei nº 9.055/1995 proíbe a extração, produção, industrialização, utilização e comercialização de todas as variedades de amianto do grupo anfibólio, incluindo a crocidolita.
32
O crisotila (asbesto branco), apesar de fazer mal à saúde do trabalhador, não está proibido no Brasil. Verdadeiro ou falso?
Verdadeiro. ## Footnote A crisotila não está proibida pela Lei nº 9.055/1995, embora seja reconhecida como prejudicial à saúde. Todos os tipos de amianto do grupo anfibólio estão proibidos no país,mas a crisótila é um silicato hidratado de magnésio.
33
O que é considerado 'asbesto' ou 'amianto'?
O termo 'asbesto' refere-se à forma fibrosa dos silicatos minerais, divididos em: * Serpentinas: Exemplo - crisotila (asbesto branco) * Anfibólios: Exemplos - crocidolita (asbesto azul), amosita (asbesto marrom), tremolita. ## Footnote A Lei nº 9.055/1995 proíbe qualquer tipo de amianto do grupo anfibólio, mas permite o uso controlado da crisotila.
34
O principal sintoma da pneumoconiose dos trabalhadores do carvão é a dispneia de esforço precoce. Verdadeiro ou falso?
Falso. ## Footnote Embora a dispneia aos esforços possa ocorrer na pneumoconiose dos trabalhadores do carvão (CWP), ela não é necessariamente o sintoma mais precoce ou predominante. Sintomas mais comuns incluem tosse crônica e produção de escarro, associados a uma redução progressiva da função pulmonar.
35
A pneumoconiose dos trabalhadores do carvão caracteriza-se por pneumopatia de evolução rápida e muito sintomática, porém reversível. Verdadeiro ou falso?
Falso. ## Footnote A pneumoconiose dos trabalhadores do carvão é uma doença crônica e de evolução lenta, levando anos para se manifestar. Além disso, a doença é irreversível e pode progredir para formas graves, como a fibrose maciça progressiva (FMP).
36
A presença de sintomas como dispneia, tosse produtiva e alterações funcionais respiratórias em trabalhadores de minas de carvão sugere pneumoconiose dos trabalhadores do carvão, mas deve ser pesquisada a presença de silicose simultânea. Verdadeiro ou falso?
Verdadeiro. ## Footnote Trabalhadores de minas de carvão podem estar expostos simultaneamente a sílica, além da poeira de carvão. Portanto, é necessário investigar a presença de silicose como condição associada.
37
A presença de sintomas respiratórios, como tosse, dispneia e alterações funcionais, em um trabalhador exposto a carvão vegetal sugere pneumoconiose dos trabalhadores de carvão. Verdadeiro ou falso?
Falso. ## Footnote A pneumoconiose dos trabalhadores de carvão está associada à **exposição ao carvão mineral**, **extraído em minas**. O **carvão vegetal**, **derivado da carbonização da madeira**, **não causa pneumoconiose dos trabalhadores de carvão, e sua exposição raramente está ligada a pneumoconioses**. Portanto, a associação entre sintomas respiratórios e pneumoconiose dos trabalhadores de carvão só deve ser considerada em exposições ao carvão mineral.
38
O médico do trabalho,ao diagnosticar uma pneumoconiose dos trabalhadores de carvão,deve prescrever anti-inflamatórios não esteroides e encaminhar o paciente para o pneumologista. Verdadeiro ou falso?
Falso. ## Footnote O manejo da pneumoconiose não inclui tratamento com anti-inflamatórios como abordagem padrão. O médico do trabalho deve priorizar a cessação da exposição ao agente causador e realizar o encaminhamento ao pneumologista para avaliação e manejo especializado, incluindo suporte sintomático e reabilitação pulmonar.
39
A pneumoconiose dos trabalhadores do carvão, também conhecida como antracose pulmonar, é causada pela inalação de poeiras de carvão mineral e pela reação tissular resultante. Verdadeiro ou falso?
Verdadeiro. ## Footnote A doença ocorre devido à deposição de poeiras de carvão nos alvéolos pulmonares, gerando inflamação e fibrose, principalmente em trabalhadores expostos ao carvão mineral.
40
O carvão vegetal está frequentemente associado à pneumoconiose dos trabalhadores do carvão. Verdadeiro ou falso?
Falso. ## Footnote A pneumoconiose é associada à exposição ao carvão mineral, sendo o carvão vegetal raramente implicado na etiologia da doença.
41
Quais são os estágios da pneumoconiose dos trabalhadores do carvão?
• Forma simples: Presença de máculas de carvão, evolução lenta e pouco sintomática. • Forma complicada: Fibrose maciça progressiva (FMP), associada à dispneia, alterações funcionais respiratórias e letalidade aumentada. ## Footnote A forma simples geralmente não apresenta sintomas graves, enquanto a forma complicada pode levar a sérias complicações de saúde.
42
Quais são os principais sintomas da pneumoconiose dos trabalhadores do carvão?
• Dispneia • Tosse e produção de escarro • Artralgia em pequenas articulações proximais (em casos associados à Síndrome de Caplan). ## Footnote A presença de artralgia pode indicar uma associação com outras condições, como a Síndrome de Caplan.
43
A pneumoconiose dos trabalhadores do carvão é uma doença crônica e irreversível, com evolução lenta na forma simples e complicações graves na forma complicada. Verdadeiro ou falso?
Verdadeiro. ## Footnote Na forma simples, a evolução é lenta e geralmente pouco sintomática. Já na forma complicada, ocorre fibrose maciça progressiva, resultando em insuficiência respiratória e aumento da letalidade.
44
A quantidade de poeira respirável é maior no carvão antracitoso do que no carvão betuminoso. Verdadeiro ou falso?
Verdadeiro. ## Footnote O carvão antracitoso apresenta maior risco de gerar poeira respirável devido ao seu alto teor de carbono, enquanto o carvão betuminoso produz menor quantidade de poeira respirável.
45
O diagnóstico da pneumoconiose dos trabalhadores do carvão é baseado na história clínica e nos achados radiográficos. Verdadeiro ou falso?
Verdadeiro. ## Footnote O diagnóstico é feito por meio de uma história clínica detalhada da exposição ao carvão e pela radiografia de tórax, utilizando critérios da Organização Internacional do Trabalho (OIT) para identificar opacidades características.
46
Na forma simples da pneumoconiose dos trabalhadores do carvão, as radiografias mostram pequenas opacidades nodulares entre 1-5 mm, podendo ser reticulares ou reticulonodulares. Verdadeiro ou falso?
Verdadeiro. ## Footnote A forma simples da doença é caracterizada por pequenas opacidades nodulares (1-5 mm), ocasionalmente associadas a opacidades reticulares ou reticulonodulares, visíveis na radiografia de tórax.
47
A forma complicada da pneumoconiose dos trabalhadores do carvão é caracterizada por grandes opacidades representando fibrose maciça progressiva, muitas vezes associadas ao enfisema. Verdadeiro ou falso?
Verdadeiro. ## Footnote Na forma complicada, a radiografia pode revelar grandes opacidades devido à fibrose maciça progressiva (FMP), frequentemente acompanhada de enfisema, o que compromete severamente a função pulmonar.
48
A pneumoconiose dos trabalhadores do carvão pode ser facilmente diferenciada da silicose apenas pelos achados de imagem radiológica. Verdadeiro ou falso?
Falso. ## Footnote Os achados radiológicos da pneumoconiose dos trabalhadores do carvão e da silicose são muito semelhantes. Apesar disso, os nódulos silicóticos tendem a ser maiores, mas a diferenciação definitiva geralmente requer avaliação ocupacional e história de exposição específica.
49
O exame médico periódico do trabalhador exposto ao carvão deve incluir exame clínico cuidadoso, com radiografia semestral de tórax segundo a técnica padronizada pela Organização Internacional do Trabalho e espirometria anual segundo a técnica preconizada pela American Thoracic Society. Verdadeiro ou falso?
Falso ##Footnote A periodicidade da radiografia de tórax para trabalhadores expostos ao carvão não é semestral, mas geralmente anual ou bienal, dependendo dos riscos e da regulamentação vigente. A espirometria anual, conforme preconizado pela American Thoracic Society, é recomendada, mas a radiografia semestral seria excessiva e desnecessária na maioria dos casos. O protocolo deve seguir as diretrizes nacionais e a Norma Regulamentadora aplicável.
50