Appendicit Flashcards

(15 cards)

1
Q

Anatomi

  • 5-35 cm lång tarm som utgår från caecum (blindtarmen) (appendix vermiformis egentligen bihanget till blindtarmen)
    Den anatomiska lokalisationen motsvarar ungefär var på huden?
A

McBurney’s punkt. Laterala tredjedelen på linjen navel-crista iliaca anterior superior.

How well did you know this?
1
Not at all
2
3
4
5
Perfectly
2
Q

Effekter av appendektomi? Negativa? Positiva?

A
  • Inga säkra negativa effekter av appendektomi
  • Patienter med appendicit <20 åå har lägre risk att insjukna i ulcerös colit
How well did you know this?
1
Not at all
2
3
4
5
Perfectly
3
Q

Vad är appendicit?

A
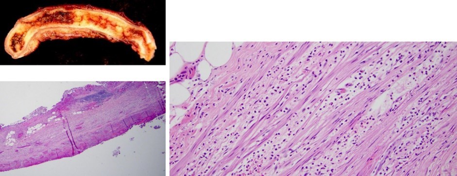
  • Appendicit är en akut inflammation av appendix. Histopathologiskt ses en transmural invasion av neutrophiler
How well did you know this?
1
Not at all
2
3
4
5
Perfectly
4
Q

Vad orsakar appendicit?

A
  • Obstruktion av appendix utlopp av fekalsten (fecalit) - intorkad/förkalkad faeces (ca 30% av fallen) –> provocerar ökad sekretion –> ökat intraluminalt tryck –> försämrad blodtillförsel –> nekros av vävnad –> perforation
    o MEN - fekalsten kan ses hos friska utan symptom och kan försvinna
  • I övrigt (70%) okänt
    o Infektion? (virus, specifika bakterier?)
    o Trauma – fallrapporter
How well did you know this?
1
Not at all
2
3
4
5
Perfectly
5
Q

Olika grader av inflammation vid appendicit, förklara

A
  • Okomplicerad
    o Akut flegmonös – transmural inflammation utan vävnadssönderfall/nekros
  • Komplicerad
    o Akut gangränös – transmural nekros av tarmväggen utan perforation
    o Akut med perforation med avgränsad perforation – lokaliserad abscess eller fri perforation – tarminnehåll sprids till hela bukhålan –> peritonit
  • Andra former – subakut, neurogen, lokaliserad, mucosal (ytlig), katarrhal, kronisk.
    o Oklart om dessa är äkta appendicit
How well did you know this?
1
Not at all
2
3
4
5
Perfectly
6
Q

Akut appendicit vanligaste orsaken till bukoperation

  • Livstidsrisk ca 7%
    Hos vilka är det vanligast?
A

Ungdomar

How well did you know this?
1
Not at all
2
3
4
5
Perfectly
7
Q

Symptom vid appendicit?

A

o ”Gastric upset” – långsam peristaltik >uppblåsthet > illamående > kräkning –> buksmärta - initalt diffus lokalisation, senare lokaliseras till platsen för appendix (höger fossa iliaca) när inflammationen blir transmural – smärtvandring
o Feber – initialt måttlig, högre vid perforation
o Peritoneal retning – buksmärta vid rörelse (hopp, hosta)
o Diarré kan ses vid perforation med abscess (om denna ligger nära rektum så kan den reta och ge diarréer)

How well did you know this?
1
Not at all
2
3
4
5
Perfectly
8
Q

Vilka tecken kan ses vid appendicit (vid status)?

A

o Ömhet vid palpation i höger fossa iliaca
o Tecken på peritoneal retning – muskelförsvar, direkt och indirekt (vänster fossa men gör ont på höger sida) släppömhet
–> Indirekt bra för att hitta lokalisation av peritonela retning
o Palpabel resistens vid avgränsad perforation
o Ömmande buktning vid rektalpalpation vid bäckenabscess

How well did you know this?
1
Not at all
2
3
4
5
Perfectly
9
Q

Hur kan vi se att det sker en inflammatorisk respons (utöver feber) vid appendicit på labb?

A
  • Neutrofil övervikt (neutrofila ökar / lymfocyter minskar)
  • Leukocytos
  • CRP-stegring (stiger efter 12-24 (visar hur det var igår)
How well did you know this?
1
Not at all
2
3
4
5
Perfectly
10
Q

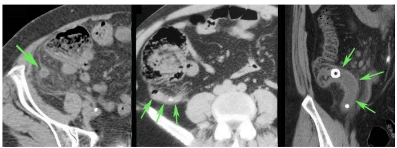
Bilddiagnostik – ultraljud/CT/MRI

  • Appendix diameter > 6mm (ju större desto större risk), icke kompressibel (tyder på tryck), fri vätska, inflammerat fett.

När har ovan metoder ett värde?

A

Om kliniskt intermediär sannolikhet kan det vara lämpligt med CT

o Vid screening blir 20 % falskt positiva. Vid hög sannolikhet kommer 50 % vara falskt negativa.
o Om kliniskt låg sannolikhet – skicka hem patienten
o Om kliniskt hög sannolikhet – operera (titta in)

How well did you know this?
1
Not at all
2
3
4
5
Perfectly
11
Q

Riskstratifiering baserad på en Klinisk Score vid appendicit! Vad innebär detta?

A
  • Ett sätt att göra den kliniska bedömningen mer objektiv
  • AIR-score
    o Identifierar grupper med låg (< 4), intermediär och hög sannolikhet (>8) för appendicit (op)
How well did you know this?
1
Not at all
2
3
4
5
Perfectly
12
Q

Kan man behandla med antibiotika istället för kirurgi vid appendicit?

A
  • Egentligen är placebo lika bra som antibiotika (mild appendicit kan spontanläka)
    o De flesta appendiciter med perforationer sker snabbt
How well did you know this?
1
Not at all
2
3
4
5
Perfectly
13
Q

Om vi inte tror att appendiciten är avancerad, vad kan vi göra?

A

Expektans med upprepad undersökning ger bättre diagnos

  • Riskstratifierad handläggning med AIR
    o Hög sannolikhet för perforerad appendicit viktigast (op)
  • Om låg sannolikhet – observation
    o Allmäntillstånd (försämras), temperatur, CRP, PMNC, vita blodkroppar, klinska fynd ev gynkonsult
  • Efter en kort observation ses antingen
    o Högre sannolikhet för perforerad appendicit (op)
    o Om mellan –> fortsatt observation(DT/diagnostisk laparaskopi
    o Tecken på spontanläkning (minskande inflammation och kliniska fynd) –> åk hem
How well did you know this?
1
Not at all
2
3
4
5
Perfectly
14
Q

Hur behandlas perforerad appendicit?

A

Appendektomi. Öppen teknik eller laparoskopisk – ingen större skillnad i resultat

How well did you know this?
1
Not at all
2
3
4
5
Perfectly
15
Q

Hur behandla appendicit?

  • Perforerad appendicit - appendektomi. Öppen teknik eller laparoskopisk – ingen större skillnad i resultat
    Hur behandlar vi övriga appendiciter?
A
  • Perforerad appendicit med avgränsad abscess. Behandlas med antibiotika och eventuellt perkutan dränering. Recidivrisken är ca 10% och motiverar inte planerad, elektiv, appendektomi efter utläkning.
  • Flegmonös appendicit? operation eller tillåta spontanläkning? vi kan inte säkert veta typ av appendicit innan operation: upprepad undersökning efter ngn timmas observation eller operation om fortsatt misstanke utan tecken på spontanläkning
How well did you know this?
1
Not at all
2
3
4
5
Perfectly