25 ANSO e Block Review Flashcards

(205 cards)

1
Q

Realizando o bloqueio abaixo para analgesia de joelho, o que são as estruturas apontadas?

A

1 - nervo safeno;
2 - nervo para o vasto medial;
3 - artéria femoral;
4 - adutor longo

Veja as estruturas do **bloqueio do nervo safeno* no triângulo femoral distal:

How well did you know this?
1
Not at all
2
3
4
5
Perfectly
2
Q

Resumo da invervacao do Membro Superior

A
How well did you know this?
1
Not at all
2
3
4
5
Perfectly
3
Q

No bloqueio abaixo para uma cirurgia de pé, o que são as estruturas apontadas?

A

1 - nervo fibular;
2 - tendão de aquiles;
3 - fibular longo

Esse é o bloqueio do nervo sural.

How well did you know this?
1
Not at all
2
3
4
5
Perfectly
4
Q

Você já viu o bloqueio do plexo sacral guiado por USG? Identifique as estruturas em destaque:

A

1 - glúteo máximo;
2 - piriforme;
3 - plexo sacral

How well did you know this?
1
Not at all
2
3
4
5
Perfectly
5
Q

Os distúrbios de coagulação são menos perigosos do que durante os bloqueios neuroaxiais, mas é prudente evitar técnicas com risco de trauma arterial, especialmente em uma área onde a compressão é difícil ou impossível

Quais os 2 principais exemplos?

A
  • bloqueio infraclavicular
  • bloqueio do compartimento do psoas
How well did you know this?
1
Not at all
2
3
4
5
Perfectly
6
Q

Qual a diferenca na analgesia e bloqueio das 3 tecnicas abaixo?

  • QL1; QL2; QL3 ou TQL (transmuscular).
A
How well did you know this?
1
Not at all
2
3
4
5
Perfectly
7
Q

É ponto de referência anatômica para a realização do bloqueio do nervo tibial no tornozelo:

A

Maleolo medial

How well did you know this?
1
Not at all
2
3
4
5
Perfectly
8
Q

Os pés são inervados por cinco nervos,. Quais os superficiais e quais os profundos?

A

-Dois nervos profundos: tibial posterior e fibular profundo

  • Três nervos superficiais: safeno, fibular superficial e sural.

À exceção do nervo safeno, que é o ramo sensitivo do nervo femoral (PARA MEMORIZAR OS SSS: SSSAFENO, SSSENSITIVO, RAMO POSSSSSTERIOR DO FEMORAL), os demais nervos do pé são ramos terminais do nervo ciático.

How well did you know this?
1
Not at all
2
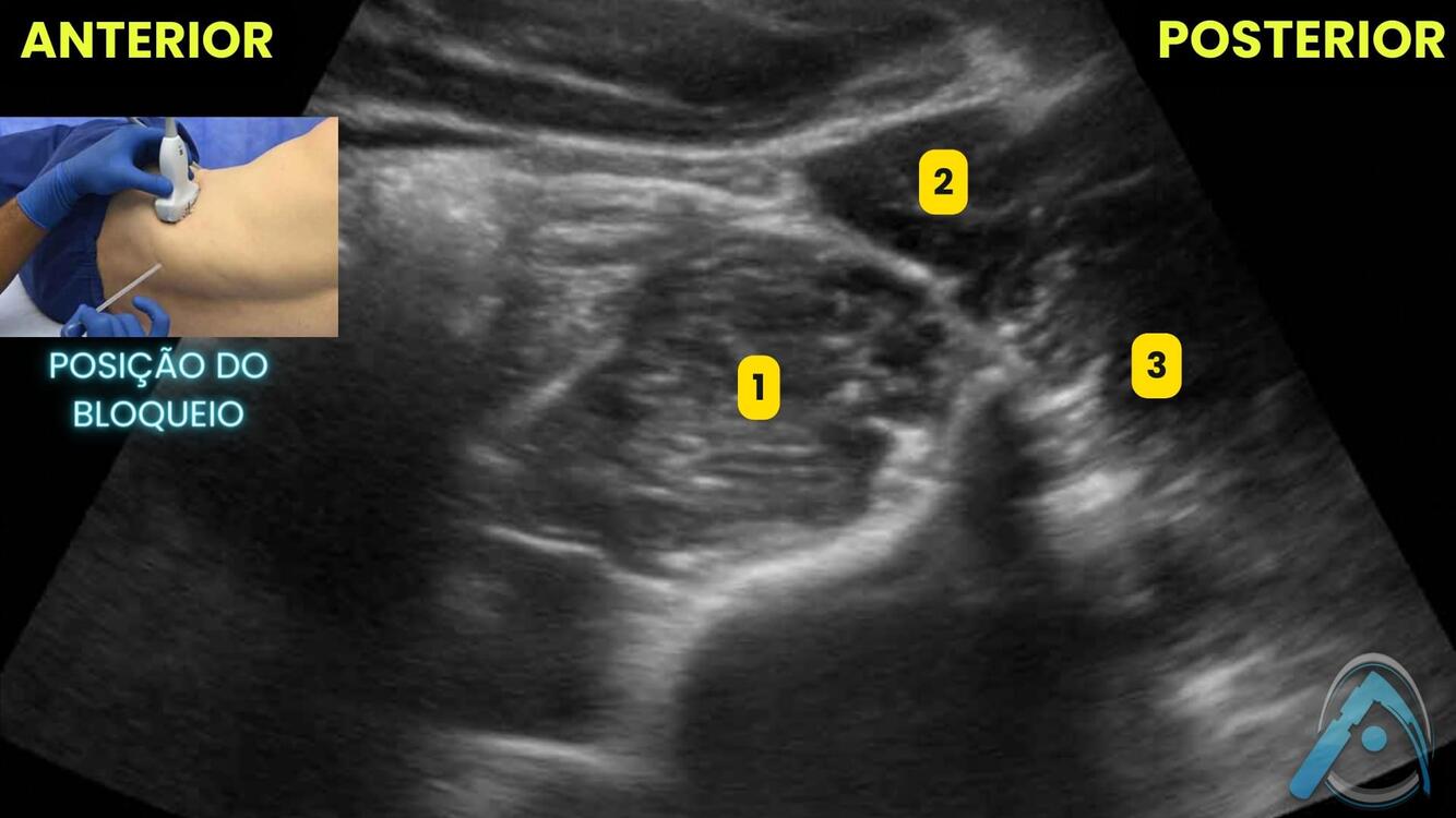
3
4
5
Perfectly
9
Q

Em relação à lesão ilustrada no pé (em vermelho), que nervo é responsável pela inervação sensitiva da face plantar do pé?

A

Nervo Tibial

A face plantar do pé, tema da questão, é inervada principalmente por 3 ramos do nervo tibial (plantar medial, plantar lateral e calcâneo).

How well did you know this?
1
Not at all
2
3
4
5
Perfectly
10
Q

No bloqueio supraclavicular, qual parte do braço fica descoberta?

A

O território de analgesia deste bloqueio inclui braço, cotovelo e mão; anestesia para cirurgia do ombro também é possível.

A parte medial do braço é a parte que fica descoberta por este bloqueio.

How well did you know this?
1
Not at all
2
3
4
5
Perfectly
11
Q

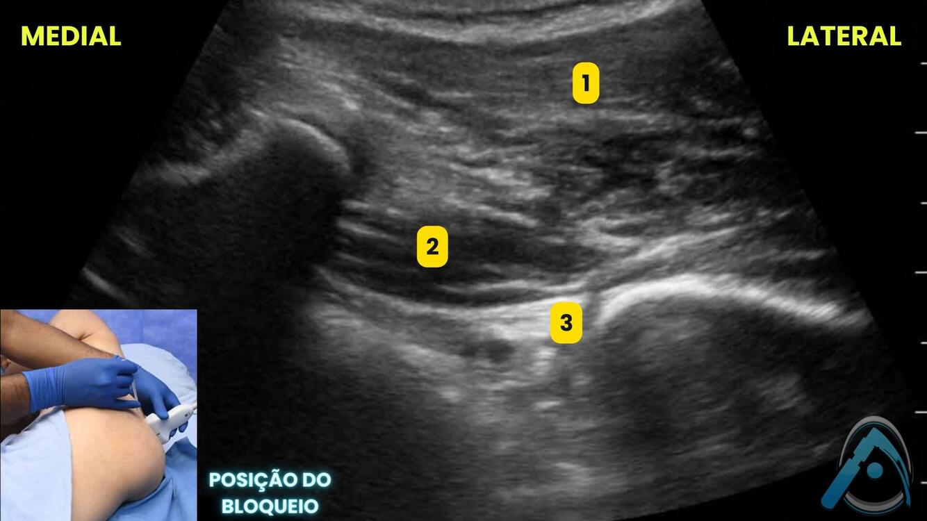
Realizando o bloqueio quadrado lombar via anterior, quais são as estruturas em destaque?

A

1 - PSOAS;
2 - quadrado lombar;
3 - eretor da espinha

How well did you know this?
1
Not at all
2
3
4
5
Perfectly
12
Q

Mulher de 35 anos, 60kg e 1,50m, será submetida à cirurgia ortopédica no pé sob bloqueio do nervo ciático na fossa poplítea. Em qual território anatômico a paciente pode referir dor a incisão de pele?

A

Face medial do pé

O safeno (ramo sensitivo terminal do femoral) inerva a parte medial da perna, desde o joelho até o maléolo medial. Todo o restante, na parte sensitiva e motora, é coberto pelo nervo ciático e seus ramos (tibial e fibular). Logo, como apenas o ciático foi bloqueado, a região do maléolo medial não foi anestesiada (ausência de bloqueio do nervo safeno).

How well did you know this?
1
Not at all
2
3
4
5
Perfectly
13
Q

Identificar as estruturas do bloqueio do plexo cervical abaixo:

A
  1. n. Vago
  2. C4
  3. m longo da cabeça
  4. Fascia cervical profunda
How well did you know this?
1
Not at all
2
3
4
5
Perfectly
14
Q

A paresia do nervo frênico é comum após bloqueio do plexo cervical (superficial ou profundo), mas tem pouca consequência clínica, exceto em pacientes com: (2)

A
  1. DPOC grave ou
  2. disfunção diafragmática contralateral.
How well did you know this?
1
Not at all
2
3
4
5
Perfectly
15
Q

No bloqueio de plexo cervical superficial para endarterectomia de carótida, a capacidade de monitorar continuamente o estado de consciência e o estado neurológico do paciente é uma vantagem desta técnica em relação a anestesia geral.

Entretanto é importante notar que independentemente do bloqueio cervical, durante a cirurgia de carótida, infiltração local intraoperatória da bifurcação carotídea pode ser necessária para:

A

Bloquear alterações hemodinâmicas reflexas associadas à estimulação glossofaríngea.

How well did you know this?
1
Not at all
2
3
4
5
Perfectly
16
Q

Como fazer um bloqueio para ombro poupando o frênico?

A

Bloqueio separado de supraescapular + axilar

How well did you know this?
1
Not at all
2
3
4
5
Perfectly
17
Q

Realizando o bloqueio abaixo para um procedimento no pé, o que são as estruturas em destaque?

A

1 - extensor longo dos dedos;
2 - extensor longo do hálux;
3 - tendão tibial anterior

Essa é a janela para bloqueio do nervo fibular profundo na altura do tornozelo.

How well did you know this?
1
Not at all
2
3
4
5
Perfectly
18
Q

O bloqueio do plexo braquial pela via supraclavicular poderá resultar em falha de analgesia na região posterior do ombro.

  • V ou F
A

Verdadeiro

Veja como o nervo supraescapular sai direto do tronco superior do plexo, e na janela supraclavicular você pode ter falha na cobertura dele.

How well did you know this?
1
Not at all
2
3
4
5
Perfectly
19
Q

Os ramos do plexo cervical superficial emergem da borda:

A

Posterior do ECM

O plexo cervical superficial é formado por raízes que saem de C1 a C5, emergindo na região cervical lateral, na altura do processo transverso de C4, junto à borda posterior do esternocleidomastóideo.

Bloqueio muito interessante em cirurgias de ombro e fundamental para cirurgias abertas de carótida, onde o paciente idealmente precisa estar consciente e colaborativo.

How well did you know this?
1
Not at all
2
3
4
5
Perfectly
20
Q

Essa janela é de um bloqueio de membro inferior para cirurgia no tornozelo. O que são as estruturas em destaque?

A

1 - artéria poplíta;
2 - nervo tibial;
3 - veia poplítea

Esse é o bloqueio do nervo ciático na fossa poplítea.

How well did you know this?
1
Not at all
2
3
4
5
Perfectly
21
Q

Na janela supraclavicular, quais são as estruturas em destaque na imagem?

A

1 - primeira costela ;
2 - linha pleural ;
3 - artéria subclávia

How well did you know this?
1
Not at all
2
3
4
5
Perfectly
22
Q

Indicacoes do Bloqueio de Ganglio Estrelado (4)

A
  1. Síndrome de dor regional complexa - Tipo I e II de tronco e membros superiores (MMSS)
  2. Neuralgia pós-herpética - De tronco e membros superiores (MMSS)
  3. Doenças vasculares
  4. Taquiarritmias refratárias
How well did you know this?
1
Not at all
2
3
4
5
Perfectly
23
Q

A imagem abaixo foi obtida por microscopia eletrônica de um nervo tibial humano. O entendimento mais profundo dessa anatomia tem facilitado o conhecimento sobre os mecanismos e consequências das lesões nervosas periféricas. Conhecendo essas estruturas, qual afirmação é correta?

A. A estrutura 1 garante a proteção do nervo contra qualquer mecanismo de lesão

B. Com a extremidade a agulha no ponto 3, não há risco de lesão nervosa

C. A avaliação da força de preensão tem alto valor preditivo negativo para excluir lesão no ponto 2

D. Se a agulha está dentro ou muito próxima da estrutura 3, é possível que não seja gerada resposta motora

A
  • Correta: letra D

A. O epineuro dá sustentação e proteção física ao tecido nervoso, porém, não é garantia de proteção contra nenhum tipo de lesão (traumática, isquêmica ou química).

B. Mesmo com a ponta da agulha tendo transfixado o epineuro e atingido apenas a gordura, sem trauma direto nos fascículos, é possível que haja lesão isquêmica (pela alta pressão interrompendo o fluxo sanguíneo) ou lesão química direta. Além disso, com a resolução dos aparelhos atuais de USG, é impossível você saber se está no fascículo ou na gordura/tecido de sustentação.

C. Como a maioria das lesões nervosas leva a sintomas sensitivos isolados, sem déficit motor clínico, nenhum teste motor ou de força pode excluir uma lesão nervosa. O padrão-ouro é a associação de dois testes eletrofisiológicos: Eletroneuromiografia + Estudo de condução nervosa

D. Trecho do Hadzic: “se a agulha está muito próxima ou dentro do fascículo nervoso, pode ser que não exista resposta motora ao estímulo”

How well did you know this?
1
Not at all
2
3
4
5
Perfectly
24
Q

Como a maioria das lesões nervosas leva a sintomas sensitivos isolados, sem déficit motor clínico, nenhum teste motor ou de força pode excluir uma lesão nervosa. O padrão-ouro é a associação de dois testes eletrofisiológicos:

A

Eletroneuromiografia + Estudo de condução nervosa

How well did you know this?
1
Not at all
2
3
4
5
Perfectly
25
O plexo braquial é formado pelos ramos anteriores das raízes nervosas de C5 a T1, podendo ou não ocorrer contribuição de C4 (chamado pré-fixado) e/ou T2 (chamado pós fixado). Essas raízes nervosas se juntam para formar os troncos: (3)
> Superior: C5 e C6, com contribuição de C4 – pré-fixado; > Médio: C7 > Inferior: C8 e T1, com contribuição de T2 – pós-fixado.
26
Os troncos seguem por entre os escalenos **___1___**. Ao nível da primeira costela, cada tronco se divide em anterior e posterior para formar os fascículos, que se distribuem ao redor das artérias **___2___** > As três divisões posteriores formam o **___3___** > As divisões anteriores dos troncos superior e médio formam o **___4___** > A divisão anterior do tronco inferior constitui o **___5___**
1. anterior e médio 2. subclávia e axilar. 3. fascículo posterior. 4. fascículo lateral. 5. fascículo medial.
27
Nervo musculocutâneo (C5-C7): 1. origem no 2. motricidade 3. sensibilidade 4. Na axila, encontra-se entre
1. fascículo lateral 2. flexora do antebraço 3. face lateral do antebraço através de seu ramo distal, o cutâneo lateral do antebraço. 4. os músculos bíceps braquial e coracobraquial, importante ponto de referência para o bloqueio via axilar.
28
Nervo radial (C5-T1) 1. origem no 2. motricidade 3. sensibilidade
1. Fasciculo posterior 2. extension do braço, da mao e dos dedos e a abducao do polegar 3. face extensor do braço e antebraço, do dorso da mao e dos dedos
29
Nervo mediano (C6-T1): 1. origem no 2. motricidade 3. sensibilidade
1. fascicles medial e lateral 2. pronacao e supinacao do antebraco, oposicao do polegar e flexão das mãos e dedos 3. face palmar da mao e dos dedos e face dorsal das falanges distais, ambas do primeiro a metade do quarto quirodactilos
30
Nervo ulnar (C8-T1): 1. origem no 2. motricidade 3. sensibilidade
1. terminal do fascicle medial 2. motricidade interessa da mao, adução do polegar re flexão da porção ulnar da mao e do quinto quirodactilo 3. regiao hipotênar, borda medial da mao, porção flexora e extensa da metade medial do quarto ao quinto quirodactilos
31
Os fascículos medial e lateral dão origem aos nervos da face flexora do membro superior (**___1___**, **___2___**, **___3___**) e o fascículo posterior, por sua vez, origina os nervos da face extensora (**___4___** e **___5___**).
1. musculocutâneo, 2. mediano e 3. ulnar 4. axilar e 5. radial
32
Realizando um bloqueio na altura do cotovelo, é obtida a imagem abaixo. O que são as estruturas em destaque?
1 - artéria braquial; 2 - nervo mediano; 3 - nervo ulnar
33
A divisao posterior do n. femoral fornece o nervo **___1___**, que é puramente **___2___**. Este continua no **___3___** (geralmente onde fazemos o bloqueio deste nervo)
1. safeno 2. sensitivo 3. canal dos adutores.
34
Paciente será submetida à mastectomia , sendo proposto bloqueio do plano anterior do serrátil com passagem de cateter para analgesia contínua. Quais as estruturas indicadas e onde colocar o anestesico?
1. altissimo do dorso 2. Plano interfascial entre o grande dorsal e o serrátil anterior (local de injeção do bloqueio do plano serrátil anterior superficial) 3. serrated anterior 4. intercostal
35
Quais as estruturas apontadas?
- Medial: tibial - Lateral: fibular comum
36
Realizando um bloqueio para analgesia de prótese de joelho, o que são as estruturas em destaque na imagem?
1 - artéria poplítea; 2 - gastrocnêmio cabeça medial; 3 - gastrocnêmio cabeça lateral Esse é o famoso iPACK
37
"Toda vez que você fizer 10ml de anestésico acima da clavícula, seja qual for o bloqueio, pode contar que pegou o **___1___**."
1. n frênico
38
Realizando o bloqueio PECS 1, quais são as estruturas em destaque na imagem?
1 - peitoral maior; 2 - peitoral menor; 3 - intercostal
39
Tubérculo anterior do processo transverso de C6 na abordagem interescalênica
* Tuberculo de Chassaignac
40
No bloqueio interescaleno, o que sao as "injeção intracluster" e "injeção no corner Pocket"?
Setas amarelas: - superior: o anestésico é depositado exatamente entre os feixes nervosos e implica numa latência menor, mas maior risco de lesão do plexo e só deve ser executada por anestesiologistas muito experientes - entre o plexo braquial e a artéria subclávia. Esta técnica é a mais executada e, além de contar com o anteparo da primeira costela, pode, em apenas uma injeção, espraiar anestésico ao redor de todas as fibras com menor risco de lesão nervosa.
41
Quais os limites do canal dos adutores?
- vasto medial - superior - adutor longo - inferior - sartorio - medial
42
Escaneando a região medial do braço com o USG na posição destacada, quais são as estruturas apontadas?
1 - nervo mediano; 2 - nervo cutâneo medial do antebraço; 3 - nervo ulnar
43
A principal inervação da região plantar é dada pelo nervo:
A região plantar é praticamente inteira inervada por 3 ramos do **nervo tibial:** - calcâneo - plantar medial - plantar lateral
44
Na tentativa de bloquear os nervos ilioinguinal e iliohipogástrico, quais são as estruturas em destaque?
1 - oblíquo interno; 2 - cavidade peritoneal; 3 - músculo ilíaco
45
Determine qual a principal referência anatômica para realização do bloqueio do nervo mediano ao nível do cotovelo:
Arteria braquial
46
Paciente submetida a correção de fratura de rádio distal sob sedação e bloqueio do plexo braquial pela via axilar. O cirurgião realiza a incisão na pele e subcutâneo, mas durante a manipulação óssea a paciente apresenta taquicardia, além disso, está preservada a capacidade de pronar o antebraço. Qual nervo apresentou falha no bloqueio?
Mediano na sua face anterior o radio é inervado pelo nervo mediano, e na sua face posterior ele é inervado pelo nervo radial. A paciente apresenta preservação da capacidade de pronação do antebraço, que é mediada pelo nervo mediano, principalmente pelo músculo pronador redondo, o que é compatível com falha no bloqueio do nervo mediano. O nervo radial controla a extensão do punho e dos dedos, além de ser importante para a supinação, quando em sinergia com outros músculos
47
Na realização do bloqueio Intercostal paraesternal no plano profundo, o que são as estruturas em destaque?
1. intercostal; 2. peitoral maior O bloqueio paraesternal no plano profundo guiado por ultrassom (anteriormente conhecido como bloqueio do plano do músculo transverso torácico (TTP) é um bloqueio fascial que envolve a aplicação de um anestésico local entre o intercostal interno e o transverso. Está sendo muito utilizado para analgesia de cirurgias cardiotorácicas (ou qualquer cirurgia que haja esternotomia) para fornecer analgesia à parede torácica anterior.
48
No bloqueio do nervo femoral, a estrutura anatômica que separa o nervo da bainha femoral é a fáscia:
Ilíaca Para o bloqueio do nervo femoral, a ponta da agulha é posicionada entre a fáscia ilíaca e o músculo iliopsoas, próximo ao canto lateral do nervo femoral para evitar os vasos femorais.
49
Marque a alternativa que contém o nervo responsável pela inervação cutânea da região em verde:
N. Musculocutaneo
50
O que sao os seguintes reflexos: 1. Bainbridge 2. Bezold-Jarisch 3. Hering Breuer 4. Bowditch
1. BJ: hipotensao grave e bradicardia podem ocorrer em pacientes acordados na posição sentada submetidos a bloqueio interescalênico para cirurgia do ombro. O mecanismo é a estimulação de mecanoceptores intracardíacos pela redução do retorno venoso, que produz diminuição abrupta do tônus simpático com liberação parassimpática. >>> O reflexo de Bainbridge é produzido pela distensão de receptores atriais e mediado pelo nervo vago de forma que o aumento da pressão atrial promove a elevação da frequência cardíaca. >>> O reflexo Depois de um bloqueio do plexo braquial no nível interescalênico para cirurgia de ombro, o cirurgião informa que precisará operar a mão. Em que local será necessário complementar o bloqueio para garantir a analgesia total? de Hering-Breuer inibe a inspiração e é desencadeado pela distensão pulmonar. >>> O efeito de Bowdich é o aumento da força de contração ventricular quando ocorre aumento da frequência cardíaca.
51
Depois de um bloqueio do plexo braquial no nível interescalênico para cirurgia de ombro, o cirurgião informa que precisará operar a mão. Em que local será necessário complementar o bloqueio para garantir a analgesia total? A. Adjacente à artéria braquial, na altura do cotovelo. B. Dois centímetros ao lado do tendão do bíceps no cotovelo. C. No sulco formado pelo olécrano e o côndilo medial do úmero. D. No punho, lateral à artéria radial, perto dos tendões extensores e extensor longo do polegar.
**Resposta: C, nervo ulnar** A. Nervo mediano B. Nervo radial D. Nervo radial
52
A inervação da articulação do quadril é feita pelos seguintes nervos: (4)
Femoral, Obturatório, Obturatório acessório e Isquiático
53
Num bloqueio de membro inferior com auxílio de ultrassonografia, o que são as estruturas em destaque?
1 - nervo femoral; 2 - atéria femoral; 3 - fáscia ilíaca
54
Quais são as estruturas encontradas no espaço perivascular interescalênico? (3)
Esse espaço é um triângulo que tem base a primeira costela e suas laterais e ápice formados pelo escaleno anterior e médio. Veja na imagem: De interesse especial para a prática anestésica, nesse espaço estão presentes ramos do: - plexo braquial e - plexo cervical superficial, - artéria subclávia
55
Realizando o bloqueio paravertebral em corte transversal, como mostra a imagem, o que são as estruturas apontadas?
1 - processo transverso; 2 - pleura e pulmão; 3 - intercostal externo
56
Realizando o bloqueio paravertebral no plano sagital, quais são as estruturas apontadas na imagem?
1 - espaço paravertebral; 2 - processo transverso; 3 - eretor da espinha Essa janela é basicamente a mesma do bloqueio do plano eretor da espinha (ESP Block). Relembre as estruturas com a imagem:
57
Realizando os bloqueios PECS 1 e 2, o que são as estruturas em destaque?
1 - peitoral maior; 2 - peitoral menor; 3 - serrátil
58
Na janela infraclaviular, descreva quais são as estruturas em destaque na imagem:
1 - artéria axilar ; 2 - cordão posterior ; 3 - peitoral menor
59
Após bloqueio do plexo braquial por via interescalênica para cirurgia do manguito rotador, o paciente refere dor à incisão da pele na parte superior do ombro. Isso se deve a falha de bloqueio do nervo:
**Supraclavicular** A inervação da pele na região superior do ombro se dá pelos nervos supraclaviculares, que se dividem em lateral (pele da região superior do ombro e porção lateral da pele da clavícula), intermédio (porção mediana da pele sobre a clavícula e região suprajacente) e medial (porção medial da pele da clavícula e sobre a articulação manúbrio clavicular). Tais nervos são componentes do plexo cervical superficial (C1-C5) e não do plexo braquial (C5-T1), que foi o bloqueio realizado no caso. O bloqueio do plexo cervical superficial pode ser realizado por via ultrassonográfica em uma janela posterior ao músculo esternocleidomastóideo, à altura da vértebra C4, ou através da anatomia de superfície, acima da região onde a veia jugular externa cruza a borda posterior do músculo esternocleidomastóideo, também denominado ponto de Erb, onde emergem do mesmo ponto os nervos em questão, além do auricular magno, occipital menor, cervical ascendente e cervical transverso. Portanto, o motivo da dor à incisão da pele na parte superior do ombro foi a ausência de bloqueio do nervo supraclavicular, ramo do plexo cervical superficial. Já o nervo intercostobraquial não, pois é ramo direto de T2, inervando a porção cutânea medial alta do braço (região não estimulada na incisão do caso) sendo abordado através de um bloqueio de campo subcutâneo, geralmente quando é necessário uso de torniquete ou incisão cirúrgica na região.
60
🧠 O que é o ponto de Erb (Erb's point) no contexto do plexo cervical?
O ponto de Erb é o local na borda posterior do músculo esternocleidomastoideo (ECM), na altura aproximada da vértebra C4, por onde emergem vários nervos cutâneos do plexo cervical superficial (C1–C4/C5). Nervos que emergem no ponto de Erb: - Nervo auricular magno (C2–C3) - Nervo occipital menor (C2) - Nervo cervical transverso (C2–C3) - Nervos supraclaviculares (C3–C4) Esse ponto é uma referência anatômica clássica para: - Bloqueio do plexo cervical superficial com anestesia local, geralmente guiado por ultrassom ou por anatomia de superfície. - Abordagem de anestesia regional da região supraclavicular, clavicular e porção lateral do pescoço.
61
No plexo cervical. os troncos seguem por entre os escalenos anterior e médio. Ao nível da primeira costela, cada tronco se divide em anterior e posterior para formar os fascículos, que se distribuem ao redor das artérias subclávia e axilar.
ð As três divisões posteriores formam o fascículo posterior. ð As divisões anteriores dos troncos superior e médio formam o fascículo lateral. ð A divisão anterior do tronco inferior constitui o fascículo medial. Os fascículos medial e lateral, por sua vez, dão origem aos nervos da face flexora do membro superior (musculocutâneo, mediano e ulnar) e o fascículo posterior, por sua vez, origina os nervos da face extensora (axilar e radial).
62
Quais os nervos indicados pelos dermatomos abaixo?
Nervo musculocutâneo (C5-C7): origem no fascículo lateral e é responsável pela motricidade flexora do antebraço e pela sensibilidade da face lateral do antebraço através de seu ramo distal, o cutâneo lateral do antebraço. Na axila, encontra-se entre os músculos bíceps braquial e coracobraquial, importante ponto de referência para o bloqueio via axilar. Nervo mediano (C6-T1): é formado pela união de ramos provenientes dos fascículos medial e lateral. Realiza a pronação e supinação do antebraço, oposição do polegar e flexão das mãos e dos dedos. Sua porção sensitiva corresponde à face palmar da mão e dos dedos e à face dorsal das falanges distais, ambas do primeiro à metade lateral do quarto quirodáctilos. Nervo ulnar (C8-T1): ramo terminal do fascículo medial, que realiza motricidade interóssea da mão, adução do polegar e flexão da porção ulnar da mão e do quinto quirodáctilo. A porção sensitiva é responsável pela região hipotenar, borda medial da mão, porção flexora e extensora da metade medial do quarto ao quinto quirodáctilos. Nervo radial (C5-T1): origem no fascículo posterior. A porção motora controla a extensão do antebraço, da mão e dos dedos e a abdução do polegar. A sensibilidade de toda a face extensora do braço e do antebraço, do dorso da mão e dos dedos também é função desse nervo. Por último, OBSERVE QUE A INERVAÇÃO DOS OSSOS É DIFERENTE DA INERVAÇÃO CUTÂNEA, isso foi questão da prova do TSA 2022.1. A banca queria saber quais nervos deveriam ser bloqueados para se obter bloqueio do rádio: Muita gente pensou na topografia cutânea e marcou a alternativa que tinha o nervo musculocutâneo (que dá origem ao cutâneo lateral do antebraço), mas a resposta era RADIAL e MEDIANO!!!
63
Visando complementar um bloqueio de plexo braquial em um nervo específico na região do cotovelo, o anestesista obtém a imagem abaixo:
1 - artéria braquial; 2 - nervo mediano; 3 - nervo ulnar acompanhado por uma artéria
64
Qual a arteria que acompanha o nervo ulnar?
A artéria que acompanha o nervo ulnar é a **artéria colateral ulnar superior** ou, mais distalmente, a **artéria ulnar** propriamente dita, dependendo do nível do corte transverso do braço ou antebraço. 🧾 Detalhamento: - No terço médio do braço (como na imagem): o nervo ulnar frequentemente se localiza posterior à artéria braquial, mas próximo à artéria colateral ulnar superior, um ramo da artéria braquial profunda. - Mais distalmente (região do cotovelo para o antebraço): ele passa a acompanhar a artéria ulnar, após esta se ramificar da artéria braquial na fossa cubital.
65
Na tentativa de realizar o bloqueio de dois nervos que passam na altura da fossa cubital, você obtém a imagem abaixo. O que são as estruturas apontadas?
1 - nervo radial; 2 - nervo mediano
66
Realizando um bloqueio de membro inferior, como mostra a imagem, o que são as estruturas destacadas?
1 - glúteo máximo; 2 - nervo ciático; 3 - gêmeo superior
67
Qual o sinal clínico clássico da lesão do nervo radial?
Mão caída ou 'em gota' por paralisia dos extensores do punho e dedos.
68
Quais são os mecanismos comuns de lesão do nervo radial?
Compressão no braço (ex: uso prolongado de muletas) e fratura do úmero (terço médio).
69
Qual é o déficit funcional principal na lesão do nervo radial?
Fraqueza na extensão do cotovelo, punho e dedos.
70
Qual o sinal clássico de lesão do nervo mediano em tentativa de fechar a mão?
Mão simiesca ou mão em 'benção', por paralisia dos flexores dos dedos 1–3.
71
Quais os locais comuns de compressão do nervo mediano?
Túnel do carpo (compressão distal) e fratura supracondiliana do úmero (compressão proximal).
72
Qual o principal déficit funcional na lesão do nervo mediano?
Fraqueza na flexão do punho e dedos (1º ao 3º).
73
Qual o sinal típico da lesão do nervo ulnar?
Mão em garra (flexão dos dedos 4º e 5º com hiperextensão das articulações metacarpofalângicas).
74
Onde costuma ocorrer compressão do nervo ulnar?
Fossa cubital ou fratura do epicôndilo medial do úmero.
75
Qual o déficit motor comum em lesão do nervo ulnar?
Fraqueza na rotação do punho e movimentos finos da mão (pinça, abdução e adução dos dedos).
76
A inervação do joelho é complexa e se dá pelos nervos:(4)
- femoral (nervo para o vasto medial, nervo safeno), - tibial, - fibular comum (peroneal) e - divisão posterior do nervo obturatório.
77
Realizando o bloqueio de plexo braquial na janela indicada na imagem, o que são as estruturas em destaque?
Este bloqueio da imagem é o COSTOCLAVICULAR. Este bloqueio foi recentemente descrito como uma abordagem alternativa ao bloqueio infraclavicular tradivagocional (abordagem paracoracóide sagital profunda aos músculos peitorais). 1, 2 e 3 são os cordões do plexo braquial, e número 4 sinaliza o pulmão logo abaixo da linha pleural
78
No bloqueio do plexo lombar, com a janela do tridente (corte sagital), o que são as estruturas em destaque?
1 - eretor da espinha; 2 - PSOAS; 3 - cavidade abdominal Relembre as principais estruturas presentes nessa janela, atentando à sua relação com o neuroeixo e cavidade abdominal:
79
Descreva as estruturas destacadas na janela interescalênica ao USG, na altura da sétima vértebra cervical:
1 - artéria carótida comum; 2 - músculo escaleno anterior ; 3 - processo transverso de C7
80
Com o USG escaneando a região cervical na altura de C4, você obtém essa imagem e o residente pergunta a você o que são as estruturas apontadas. O que você responderia?
1 - nervo vago; 2 - raiz de C4; 3 - ramo do plexo cervical superficial Essa é a janela para bloqueio do plexo cervical superficial.
81
Você realizou bloqueio periférico para analgesia pós-operatória de artroplastia total de joelho. No entanto, o mesmo acorda com dor em fossa poplítea. Tal fato pode ser explicado por falha de anestesia do nervo:
**Ciatico** Provavelmente foi realizado apenas bloqueio do femoral/safeno nesse paciente, dando uma boa analgesia na face anterior e medial do joelho, mas sem bloquear o ciático, a face posterior fica praticamente toda descoberta, pois quem cobre ali é basicamente tibial + fibular.
82
Nervo a ser bloqueado para produzir anestesia na pele da região entre o primeiro e segundo pododáctilos:
**Fibular Superficial** Pense em superficial (fibular) como algo que está "mais perto, mais proximal", e em profundo (fibular) como algo que está longe, distal. Repare que a região entre o primeiro e segundo dedos, a "tira da sandália", é inervada pelo fibular profundo
83
Na janela axilar do bloqueio de plexo braquial, o que são as estruturas em destaque?
1 - artéria axilar; 2 - nervo musculocutâneo; - nervo ulnar
84
O bloqueio de nervos intercostais realizado por punção na linha axilar média necessita do bloqueio de pelo menos **___1___** segmentos, para a obtenção de analgesia em 1 metâmero
3 segmentos
85
Quais as estruturas ABC?
A. ECM B. Escaleno Anterior C. Escaleno Medio
86
Na realização de um bloqueio para procedimento em membro inferior, é obtida a imagem abaixo. O que são as estruturas em destaque?
1 - quadrado lombar; 2 - plexo lombar; 3 - grande dorsal Esse é bloqueio do plexo lombar na técnica Shamrock.
87
Por que o estimulador de nervo obtem resposta motora, mas sem causar dor ao paciente?
As fibras sensitivas precisam de um estímulo de maior duração que as fibras motoras. Como mostra a figura, as fibras A-delta precisam de 170μsec (0,17 milissegundos) de duração de um estímulo elétrico para despolarizarem, enquanto as fibras A-alfa despolarizam com 50-100μsec (0,05 a 0,1 milissegundos).
88
No Estimulador de Nervo, 1Hz significa um pulso (estímulo) por segundo. Quais as possiveis consequencias de um estimulo com frequencia baixa ou alta demais?
1. Se a frequência for baixa demais, você pode avançar por um grande espaço de tecido às cegas, sem estimular, trazendo mais risco de lesão nervosa. 2. Se a frequência for alta demais, você gera sobreposição de contrações musculares, dificultando uma localização precisa e segura para injeção.
89
O bloqueio do nervo intercostobraquial é obtido por qual bloqueio?
* **Infiltracao local** O nervo intercostobraquial é originado de **T2**, ou seja, ele não faz parte do plexo braquial (C5-T1). Logo ao bloquearmos o plexo braquial, seja via interescalênica, supraclavicular, infraclavicular ou axilar não estaremos realizando o bloqueio deste nervo. Um bloqueio adicional do nervo intercostobraquial pode ser necessário para **cirurgias de cotovelo quando a incisão ascende até a região médio-umeral do braço ou quando um torniquete será posicionado**, pois esse nervo é um ramo da raiz torácica de T2 e passa fora do plexo braquial. Esse bloqueio é realizado por infiltração subcutânea em região médio-posterior da axila. O nervo intercostobraquial geralmente é bloqueado por um botão anestésico na pele sobre a artéria; entretanto, uma anestesia adequada para o torniquete pode ser assegurada pela extensão do botão por 1 a 2 cm em direção caudal ou cefálica
90
Hipotensão severa e bradicardia podem ocorrer em pacientes conscientes e sentados submetidos a cirurgia no ombro sob um bloqueio interescalênico. Qual o motivo?
* Reflexo de Bezold-Jarisch A causa presumida é a **estimulação dos mecanorreceptores intracardíacos por uma diminuição do RV**, produzindo uma retirada abrupta do tônus simpático e aumento da atividade parassimpática. Este efeito resulta em bradicardia, hipotensão e síncope
91
No bloqueio interescalênico, uma abordagem mais seletiva consiste em injetar o anestésico local o mais **___1___** possível, desde que contemple a emergência do nervo **___2___** (bloqueio na altura do **___3___**). Isto garante menor incidência de bloqueio do nervo frênico e eventos adversos ventilatórios.
1. inferior 2. supraescapular 3. "tronco superior"
92
A dor do torniquete é caracterizada por uma sensação dolorosa inespecífica, geralmente em queimação ou aperto, que pode ser limitada à região do cuff do torniquete ou em região mais distal do membro e a principal teoria que explica essa ocorrência afirma que as fibras **___1___** são as responsáveis por esse quadro, ativadas por **___2___**. Este tipo de fibra tem uma condução lenta, que tipicamente produz uma dor contínua, inespecífica e mal localizada, diferentemente das fibras **___3___**, que têm condução rápida e produzem uma dor aguda e bem localizada.
1. nociceptivas amielínicas do tipo C 2. alterações metabólicas isquêmicas como a hipoglicemia e hipóxia 3. mielinizadas A Delta
93
Um paciente de 27 anos, sem comorbidades, será submetido a correção de fratura complexa de fêmur, envolvendo também a articulação do joelho. O residente sugere a você realizar o procedimento com um único bloqueio (imagem abaixo), associado a sedação. Mesmo que a execução seja perfeita, onde haverá falha da anestesia?
* **Face posterior da coxa e joelho** Houve falha na face posterior da coxa e joelho, pois os nervos que cobrem essa parte são ramos do plexo sacral, e não do plexo lombar...
94
Na tentativa de realizar o bloqueio do plano eretor da espinha (ESP Block), o que são as estruturas apontadas na imagem abaixo?
1 - trapézio; 2 - processo transverso; 3 - eretor da espinha *Se na prova aparecer essa janela com apenas 2 músculos, e não 3, serão o trapézio e eretor da espinha. O rombóide só aparece quando o bloqueio é mais alto, como em T4-T5.*
95
Em que regiões dos MMSS o bloqueio interescalenico pode apresentar falha?
1) **Distribuicao do nervo ulnar** - Face medial da mao - Cirurgias distais do cotovelo 2) **Cutaneo Medial do Antebraço** A face medial do antebraço é inervada pelo nervo **cutâneo medial do antebraço, que é um ramo intermediário do fascículo medial (C8-T1)**. Ou, seja também podemos ter falha nesta região quando realizamos o bloqueio interescalênico (letra A também correta).
96
Em relação aos ramos primários que originam os nervos intercostais, qual a sua origem:
Os nervos intercostais são os ramos primários de T1 a T11. T12 tecnicamente é um nervo subcostal, e supre ramos para os nervos ilioinguinal e ílio-hipogástrico.
97
Cada nervo intercostal possui quatro ramos:
1. ramo cinzento comunicante, que passa anteriormente até o gânglio simpático; 2. ramo cutâneo posterior, que supre a pele e o músculo na área paravertebral; 3. ramo cutâneo lateral, que se origina anteriormente à linha medioaxilar, enviando ramos anterior e posteriormente; 4. ramo cutâneo anterior, que é o término do nervo.
98
Em relação a lesões nervosas, como se comparam o uso de USG e o neuroestimulador? (2)
1. O USG diminui a chance de lesão neurológica transitória (7 dias a 6 meses) 2. NÃO HÁ DIFERENÇA na chance de complicações neurológicas definitivas
99
As vantagens comprovadas do USG em relação ao bloqueio usando apenas neuroestimulador, com base na literatura mais atual, são: (5)
- Aumento da taxa de sucesso do bloqueio - Menor tempo de realização do bloqueio e menor latência - Reduz o volume de anestésico utilizado - Menor risco de punção vascular e intoxicação - Menor risco de pneumotórax e bloqueio de frênico nos bloqueios de MMSS
100
A administração do anestésico local após obtenção de um limiar de estimulação de 0,2mA com o estimulador de nervo periférico aumenta a chance de sucesso da anestesia com menor risco de dano neurológico. * **V ou F**
FALSO - Pelo contrário... Uma estimulação nervosa com uma amplitude tão baixa (0,2mA) indica uma chance muito alta de você estar com a agulha dentro da bainha neural... Nessa situação, é preciso recuar a agulha, voltar a amplitude para 1-1,5, e encontrar uma posição onde o estímulo motor desapareça com 0,5-0,3.
101
O nervo frênico é mais anterior e mais superficial, então, o plexo braquial está mais posterior e mais profundo, com sua agulha devendo ser direcionada nesse sentido. * **V ou F**
Verdadeiro
102
Realizando o bloqueio de fáscia ilíaca na região infra-inguinal, o que são as estruturas em destaque?
1 - artéria femoral; 2 - fáscia lata; 3 - íliopsoas; 4 - nervo femoral
103
Na tentativa de bloquear o nervo intercostobraquial com auxílio de USG, o que são a estruturas em destaque?
1 - nervo intercostobraquial; 2 - artéria axilar; 3 - coracobraquial; 4 - nervo musculocutâneo Esse bloqueio é mais comumente feito por infiltração de campo, mas também é possível com auxílio de USG. Vamos conhecer sua anatomia?
104
Realizando o bloqueio abaixo na altura do tornozelo, o que são as estruturas em destaque?
1 - nervo safeno; 2 - nervo tibial; 3 - veia safena magna Esse é o bloqueio do nervo safeno na região do tornozelo.
105
Os parâmetros anatômicos a se procurar no ultrassom são: a espinha ilíaca anterosuperior, o músculo tensor da fáscia lata e músculo sartório. Este nervo é observado no US como uma estrutura hiperecogênica situada medial à espinha ilíaca anterossuperior, entre o musculo tensor da fáscia lata e o musculo sartório, em uma visão de eixo curto, ou superficial ao sartório. Qual o nervo bloqueado?
* NCFL
106
Realizando o bloqueio mostrado abaixo para um procedimento no pé, o que são as estruturas em destaque?
1 - nervo fibular superficial; 2 - extensor longo dos dedos; 3 - extensor longo do hálux Esse é o bloqueio do nervo fibular superficial ao nível do tornozelo.
107
O uso de NITROGLICERINA como adjuvante nos bloqueios perifericos teoricamente melhora o bloqueio por facilitar a dispersão do anestésico, através de:
Vasodilatação mediada principalmente pela conversão da nitroglicerina e óxido nítrico, um processo que envolve aumento do GMP-cíclico na célula.
108
O uso de MIDAZOLAM como adjuvante nos bloqueios perifericos melhora o bloqueio por facilitar a dispersão do anestésico, através de:
MIDAZOLAM: Recentemente foi mostrado que existem receptores GABA em nervos periféricos, e o midazolam diminuiria a atividade de fibras A-delta e C.
109
Paciente masculino, 72 anos, fará correção aberta de fratura de cabeça de úmero direito após queda. Relata tabagismo de longa data e "uso de bombinha para enfisema do pulmão", além de tratar HAS e DM. Pensando em analgesia pós-operatória, qual seria sua escolha de bloqueio regional?
* Axilar + Supraescapular = Shoulder Block 1 - Axilar (C5-C7): inerva a face anterior do úmero proximal, até o colo. 2 - Supraescapular (C5-C6): Inerva a face posterior da cabeça do úmero. *Tanto o bloqueio interescalênico como o supraclavicular irão bloquear também o frênico, com paralisia diafragmática.*
110
Um paciente de 52 anos será submetido à cirurgia para correção de hérnia incisional supraumbilical. A equipe discute qual técnica de bloqueio regional seria mais apropriada para proporcionar analgesia pós-operatória eficaz. As opções incluem o bloqueio do plano transverso do abdome (TAP) e o bloqueio do quadrado lombar (QL). Qual a melhor escolha?
* TAP Subcostal, pois bloqueia nervos intercostais superiores, que fornecem analgesia somática adequada para a região supraumbilical. * o TAP não fornece analgesia visceral, apenas somática. O bloqueio QL1 é realizado entre o músculo quadrado lombar e o músculo transverso do abdome, bloqueando os ramos ventrais dos nervos intercostais de T7 a L1. Porém, sua principal ação analgésica é para cirurgias infraumbilicais, como cesarianas e hérnias inguinais; além disso, não proporciona analgesia visceral significativa e pode ter cobertura insuficiente para o supraumbilical.
111
A distribuição da analgesia somática no TAP block depende do local de injeção e do volume de anestésico local utilizado. Quais os 4 tipos?
- TAP subcostal: parede abdominal ipsilateral anterior, quadrante superior (T6-T7 a T9-T10). Geralmente, não se consegue abranger a pele lateral à linha axilar anterior. - TAP lateral: parede abdominal ipsilateral anterior, quadrante inferior (T10-T12). Não se consegue abranger a pele lateral à linha axilar anterior e L1 de forma uniforme. - TAP posterior: (T9-T12) Parede abdominal anterior e possivelmente a lateral, entre a margem costal e a crista ilíaca. - Bloqueio ilioinguinal e iliohipogástrico (TAP Anterior): (L1) pele na área inguinal. Este bloqueio não abrange dor visceral.
112
Qual o nome da estrutura apontada?
Tuberculo de Chassaignac tubérculo anterior do processo transverso de C6 na abordagem interescalênica
113
Quais os nervos bloqueados na abordagem Parassacral (BLOQUEIO DO NERVO CIÁTICO PROXIMAL GUIADO POR ULTRASSOM)? (3)
* Tibial * Fibular * Cutâneo posterior da coxa. A TÉCNICA é baseada na localização da espinha ilíaca póstero superior e da tuberosidade isquiática. O paciente é posicionado em decúbito lateral com o lado a ser bloqueado para cima e então essas referências anatômicas são identificadas pela palpação. Uma linha é traçada unindo os dois marcos anatômicos. A agulha deve ser inserida 6 cm abaixo da espinha ilíaca póstero superior:
114
Em um bloqueio de membro inferior par cirurgia de joelho, o que são as estruturas em destaque?
1 - artéria femoral; 2 - sartório; 3 - vasto medial Este é o bloqueio do **nervo safeno no canal dos adutores.**
115
Quais estruturas anatômicas são relevantes para o bloqueio do nervo obturatório?
1. Adutor longo, 2. pectíneo, 3. adutor curto e 4. adutor magno,
116
Qual o nome do nervo X, evidenciado na imagem do bloqueio abaixo?
* **Ciático** * bloqueio do nervo ciático por via anterior. A abordagem anterior do nervo ciático pode ser útil em pacientes que não podem ser posicionados em decúbito lateral devido a dor, trauma, presença de dispositivos de fixação externa que interferem no posicionamento, entre outras causas.
117
Realizando um bloqueio de membro inferior na janela indicada na imagem, o que são as estruturas em destaque?
1 - nervo ciático: 2 nervo cutâneo femoral posterior; 3 - tendão do semimembranoso Veja os detalhes do bloqueio do nervo ciático na janela infraglútea:
118
Você está ensinando a um residente que vê o PENG block pela primeira vez e ele aponta três estruturas na tela. O que são elas?
1 - tendão do PSOAS; 2 - artéria femoral; 3 - ílio Relembre com a imagem todas as estruturas anatômicas vistas no PENG block ao USG:
119
As imagens abaixo se referem ao mesmo bloqueio. Quais são os nervos bloqueados por essa técnica? (3)
- Obturador, - obturador acessório e - femoral O transdutor esta posicionado com a extremidade lateral na espinha ilíaca ântero-inferior e a porção medial orientada para a sínfise púbica... Sim, o anestesista está buscando a imagem do PENG BLOCK (Pericapsular Nerve Group block). O PENG é uma técnica alternativa de analgesia pós operatória para cirurgias de quadril, com benefício de poupar funções motoras. A injeção de anestésico local é realizada em proximidade com o acetábulo no plano entre o músculo iliopsoas e o ramo superior do púbis. Na imagem da questão notamos a injeção de anestésico em uma abordagem lateral na região supra-inguinal, onde podemos localizar claramente algumas estruturas anatômicas chave: A artéria femoral e o nervo femoral próximos um do outro, o músculo ilíaco sobre a estrutura óssea característica formada pelo ramo púbico e por fim uma região mais ecogênica... o tendão do psoas.
120
Realizando o bloqueio intercostal no plano paraesternal, o que são as estruturas apontadas?
1 - intercostal interno; 2 - peitoral maior
121
Na abordagem lateral do bloqueio quadrado lombar, o que são as estruturas em destaque?
1 - PSOAS; 2 - quadrado lombar; 3 - oblíquo interno Relembre os detalhes dessa variante do quadrado lombar:
122
Na fossa poplítea: 1. a artéria poplítea é imediatamente **___1___** ao fêmur 2. o bíceps femural é localizado **___2___** aos vasos poplíteos
1. lateral 2. medialmente
123
A imagem mostra a visualização do nervo ciático na fossa poplítea de um paciente obeso, em dois momentos. O ajuste mostrado levou a um AUMENTO do seguinte parâmetro: A. Velocidade Acústica B. Impedância Acústica C. Comprimento de Onda D. Coeficiente de Atenuação
* **Comprimento de onda**: Distância percorrida pela onda de som até que um círculo se complete. Como Velocidade = frequência x comprimento, podemos dizer que a frequência é inversamente proporcional ao comprimento (GABARITO).
124
TERMINOLOGIA ULTRASSONOGRÁFICA 1. tempo para que a onda de som completo um ciclo inteiro, é medido em micro segundos (µs) 2. o número de ciclos realizados em um segundo, é medida em hertz (Hz). 3. distância percorrida pela onda de som até que um círculo se complete 4. é a velocidade com que o som atravessa determinado meio. É determinada pela densidade (ρ) e rigidez (κ) do meio (c = (κ/ρ)1/2), onde a densidade corresponde a concentração do meio e rigidez representa a resistência daquele material à compressão. 5. representa a dificuldade enfrentada pela onda de ultrassom para se transmitir em determinado meio. 6. parâmetro que estima a perda de amplitude da onda de ultrassom conforme esta se propaga no meio.
1 . Período 2. Frequência de onda 3. Comprimento de onda 4. Velocidade acústica 5. Impedância acústica 6. Coeficiente de atenuação
125
Qual a relacao entre velocidade, frequencia e comprimento de onda?
Velocidade = frequência x comprimento
126
No bloqueio do nervo obturador na janela subpectínea, o que são as estruturas em destaque?
1. nervo obturador; 2. obturador externo; 3. pectíneo Veja as principais estruturas nessa janela alternativa para bloqueio do nervo obturador:
127
Na realização do bloqueio do plano transverso abdominal (TAP block), quais são as estruturas em destaque?
1 - oblíquo externo; 2 - oblíquo interno; 3 - transverso abdominal
128
Paciente apresenta perda de função motora dos músculos deltóide e bíceps braquial após trauma de coluna. O segmento mais provavelmente acometido é:
* **C6** O paciente perdeu a força no deltóide (nervo axilar; C5-C7) e também a força de flexão do braço (nervo musculocutâneo; C5-C7).
129
Vale lembrar que embora o bloqueio do nervo safeno seja um bloqueio apenas sensitivo, injeção de grande volumes de anestésico no espaço subartorial pode resultar em um bloqueio motor. Por que?
* **Bloqueio parcial do nervo para o músculo vasto medial devido** (motor), muitas vezes contido no canal. Por esse motivo, deve-se ter cautela ao liberar os pacientes para deambulação sem suporte após a realização de um bloqueio do nervo safeno mais proximal.
130
Vantagens do IPACK em relação ao bloqueio do nervo ciático: (2)
Embora o bloqueio do nervo ciático resulte na melhor analgesia para a face posterior do joelho: * a fraqueza motora da extremidade inferior impede a reabilitação precoce e * pode mascarar a lesão intraoperatória do nervo fibular comum; o que não faz desta estratégia uma modalidade ideal para ATJ. O bloqueio IPACK é uma técnica poupadora de força muscular que consiste na infiltração de anestésico local no interespaço entre a artéria poplítea e a cápsula posterior do joelho e deve ser utilizada como complemento analgésico alternativo aos bloqueios do canal femoral (cursa com bloqueio motor) ou canal adutor (apenas bloqueio sensitivo) para cobrir a dor posterior do joelho.
131
No TAP subcostal, em uma punção mais inferior, quais são as estruturas em destaque?
1 - oblíquo externo; 2 - oblíquo interno; 3 - transverso Veja as relações anatômicas dessa janela, a bainha do reto se formando e a relação com a cavidade abdominal:
132
Os nervos safeno e fibular profundo são bloqueados, respectivamente, em:
* **B + A** A - FIBULAR PROFUNDO B - SAFENO C - TIBIAL POSTERIOR D - SURAL E - FIBULAR SUPERFICIAL
133
Em geral, na inervação dos membros superiores, os ramos terminais dos fascículos lateral, medial e posterior são, respectivamente, os nervos
* Lateral > Musculocutâneo, peitoral lat. * Posterior > Radial, axilar * Medial > Ulnar, antebraço, braço Mediano: lateral + medial
134
No bloqueio do nervo ciático pela via anterior, o que são as estruturas em destaque?
1 - adutor magno; 2 - nervo ciático; 3 - fêmur; 4 - bíceps femoral Veja todas as estruturas importantes no bloqueio do nervo ciático pela via anterior:
135
Mulher de 42 anos, 90 kg e 1,65 m, é submetida a bloqueio interescalênico com estimulador de nervo periférico e 10 mL de ropivacaína a 0,5% para realização de artroscopia do ombro. Após a anestesia, a paciente relata que o braço está “dormente” e paralisado, mas reclama de dor quando a incisão é feita na parte superior do ombro. Nessa situação, a anestesia deve ser complementada com o bloqueio do:
* N. Supraclavicular O motivo da dor à incisão da pele na parte superior do ombro foi a ausência de bloqueio do nervo **supraclavicular, ramo do plexo cervical superficial.**
136
Tentando bloquear separadamente um nervo na altura do cotovelo, é obtida a imagem abaixo pelo USG. Quais são as estruturas em destaque?
1 - úmero; 2 - nervo radial; 3 - braquiorradial Relembra as principais estruturas dessa janela de braço/cotovelo ao USG, com a abordagem lateral:
137
Bloqueando separadamente os ramos do nervo obturador, o que são as estruturas em destaque?
1 - adutor longo; 2 - adutor curto; 3 - ramo anterior do obturador; 4 - ramo posterior do obturador Relembre as principais estruturas no bloqueio do nervo obturador, com atenção à disposição dos músculos:
138
No bloqueio do plexo braquial com ultrassonografia, em qual das técnicas pode ser necessário a utilização de transdutor curvo de baixa frequência?
* **Infraclavicular**
139
Qual o tamanho de agulha utilizado para os pp bloqueios do plexo cervical?
- A50: interescalenica, smupraclavicular, axilar - A100: infraclavicular
140
Como deve ser o posicionamento do braço no bloqueio infraclavicular?
Com o paciente em decúbito dorsal e com o braço posicionado ao lado ou rotado a 90° A agulha do bloqueio normalmente é inserida em plano (plano parassagital) em uma orientação cefalocaudal. A orientação da agulha medial no sentido do tórax deve ser evitada, já que o pneumotórax também continua a ser um risco com essa abordagem. A dispersão do anestésico local deve ser feita desenhando-se um “U” na região posterior à artéria, fornecendo, assim, uma anestesia consistente para os três fascículos. O volume de 16 ± 2 mL de anestésicos locais pode ser usado para esta técnica.
141
Na realização de bloqueio na bainha do reto abdominal, quais são as estruturas apontadas na imagem?
1 - reto abdominal; 2 - oblíquo interno; 3 - transverso Relembre as principais estruturas visíveis na janela do reto abdominal ao USG:
142
No bloqueio no nervo supraescapular pela via anterior, quais são as estruturas em destaque?
1 - plexo braquial; 2 - nervo supraescapular; 3 - artéria subclávia; 4 - primeira costela Relembre os pontos mais importantes dessa janela com a imagem abaixo:
143
Nervo responsável pela inervação motora do músculo bíceps braquial:
* **N Musculocutaneo** O nervo musculocutâneo, que é ramo do fascículo lateral d plexo braquial, inerva o bíceps e coracobraquial, sendo o nervo responsável pela flexão do braço.
144
Após bloqueio axilar para cirurgia de reparação de lesões traumáticas na mão, paciente relata dor na manipulação da região palmar dos dedos polegar e indicador. O bloqueio falhou em anestesiar o nervo:
Mediano
145
Sobre o bloqueio nervoso na fossa poplítea, assinale a opção que correlaciona corretamente a indicação numérica da figura acima e a estrutura anatômica apontada.
146
Bloqueando separadamente o nervo axilar na altura do braço, quais são as estruturas apontadas?
1 - nervo axilar; 2 - deltóide; 3 - redondo menor
147
Paciente de 32 anos é incapaz de opor o polegar e o dedo mínimo da mão esquerda após laparotomia exploradora de 8 horas de duração sob anestesia geral. Após a indução da anestesia, foi realizada punção venosa periférica na fossa cubital esquerda. A causa provável para o déficit observado é a lesão do nervo:
Mediano
148
O nervo mais exposto na região da fossa cubital é o nervo **___1___**, sendo o único que passa anteriormente na região do cotovelo, ao lado da artéria **___2___**.
1. mediano 2. braquial
149
Em um paciente, apesar do bloqueio interescalênico ter conseguido paralisar o braço (plexo braquial), foi preciso complementar com bloqueio do plexo cervical superficial para abolir a dor cutânea na parte superior do ombro. Qual o nervo?
O que dói na “parte superior” do ombro não é inervado pelo nervo supraescapular (que fornece principalmente sensibilidade da articulação glenoumeral e parte da cápsula articular), mas sim pelas fibras cutâneas do nervo supraclavicular, ramo do plexo cervical superficial (C3–C4). - Nervo supraescapular → músculo supraespinhal, infraespinhal e articulação do ombro. - Nervo supraclavicular (plexo cervical superficial) → pele da região clavicular e parte superior do ombro.
150
Quais as estruturas apontadas abaixo?
Bloqueio do ciático pela fossa poplítea e do canal dos adutores. 1. biceps femoral (lateral) 2. Semi-membranoso 3. n fibular 4. n tibial 5. art poplitea
151
Como geralmente ocorre a falha do bloqueio ciático e como evitar?
A falha do bloqueio geralmente ocorre por escape do fibular porque o bloqueio é feito abaixo do ponto de divisão e contempla apenas o tibial, então deslize o transdutor proximalmente até que os nervos tibial e fibular sejam visualizados se unindo para formar o nervo ciático antes de sua divisão.
152
A imagem abaixo representa a sonoanatomia de um bloqueio. Identifique as estruturas apontadas pelos números:
1: Extensor longos do hálux 2: Extensor longo dos dedos 3: Nervo fibular profundo 4: Artéria tibial anterior Bloqueio do nervo fibular profundo no tornozelo.
153
Os tendões do extensor longo do hálux (ELH) e o extensor longo dos dedos (ELD) você pode diferenciar basicamente pela:
1. lateralidade ELH é mais medial (o hálux é mais medial) ELD é mais lateral (os demais dedos são mais laterais em relação ao hálux) Veja que a estrutura 2 é a mais lateral, logo esse é o tendão do ELD Repare na imagem que vemos a superfície hiperecóica da tíbia abaixo das estruturas. O nervo fibular profundo é um ramo do nervo fibular comum e inerva os músculos extensores do tornozelo, a articulação do tornozelo e o espaço entre o primeiro e o segundo dedos do pé.
154
ao lado da a. tibial anterior temos 2 estruturas ovaladas anecóicas. Essas são as:
veias tibiais anteriores.
155
Na execução do bloqueio do nervo femoral com a técnica de estimulação do nervo periférico, a resposta motora adequada é:
elevacao da patela (extensão da perna)
156
Qual nervo é responsavel pela flexão da perna?
Ciatico
157
Qual nervo é responsavel pela flexão plantar?
Ciatico
158
Qual nervo é responsavel pela adução da perna?
Obturador
159
Qual nervo é responsavel pela dorsifleêxao do pé?
fibular comum
160
Com o USG posicionado na fossa cubital, como indica a imagem, o que são as estruturas apontadas?
1 - nervo radial; 2 - nervo cutâneo lateral do antebraço; 3 - nervo mediano
161
É bem comum que o nervo mediano passe ao lado da artéria **___1___** ao longo do braço, por onde ele desce.
1. braquial
162
Em relação ao garroteamento de membros durante anestesia venosa regional, por que- o segundo garroteamento deve ser evitado em terço médio do braço, terço inferior da coxa e terço superior da perna
O segundo garroteamento deve ser evitado no terço médio do braço, pela vulnerabilidade do nervo radial a esse nível, no terço inferior da coxa, pelo maior perigo de compressão do nervo isquiático e, no terço superior da perna, onde o nervo fibular superficial pode ser facilmente comprimido de encontro à cabeça da fíbula. Por outro lado, o garroteamento deve ser instituído no antebraço ou nos dois terços inferiores da perna, sempre que possível, desde que isso permita redução da dose de anestésico e da incidência de paralisias neuromusculares.
163
Quais nervos sao responsáveis pela flexão do cotovelo?
1) N Musculocutaneo - Bíceps braquial — também auxilia na supinação - Braquial 2) N Radial - m Braquiorradial (em posição neutra)
164
A adução do polegar é função do nervo **___1___**, principalmente pelo músculo **___2___**.
1. ulnar 2. adutor do polegar.
165
Nervo responsável pela pronação do antebraço: nervo **___1___** Raízes: C6–C7 (para o m **___2___**) e C8–T1 (para o **___3___**)
1. mediano 2. pronador redondo 3. pronador quadrado
166
Durante a execução de um bloqueio de plexo braquial pela via infraclavicular com auxílio de ultrassonografia com transdutor linear, qual manobra aumenta a chance de identificação dos fascículos?
Abdução do braço em 110° com rotação externa do ombro *A abdução do braço a 90 graus promove o estiramento dos músculos peitorais, tornando suas fáscias mais evidentes e trazendo o feixe neurovascular para uma posição mais superficial. Isso facilita a visualização tanto da artéria axilar quanto do plexo braquial (Hadzic).*
167
Bloqueio infraclavicular: Após a preparação da pele, com o transdutor curvo ou linear de 6 a 15 MHz posicionado medialmente ao processo coracoide abaixo da clavícula em um plano parassagital à profundidade de 5 a 6 cm, encontram-se, sobrepondo-se as estruturas neurovasculares, os músculos **___1___**. Na região infraclavicular, os fascículos do plexo braquial são hiperecócios e localizam-se ao redor da segunda porção da **___2___**, abaixo dos músculos peitoral maior e peitoral menor. O fascículo lateral se encontra em posição **___3___** à artéria (posição de 9 a 12h a **___2___**), o fascículo posterior se encontra **___4___** a ela ( posição de 6 a 9h) e o fascículo medial se encontra **___5___** (posição de 3-6h) , em geral entre a artéria e veias axilares. Tanto a artéria como a veia axilar são anecoicas; a artéria é pulsátil, e a veia é compressível.
1. peitoral maior e menor 2. artéria axilar 3. laterossuperior 4. posterior e lateral 5. medialmente
168
Você está realizando um bloqueio de plexo braquial com um probe ultrassom linear de alta frequência e agulha de 5 cm na região supraclavicular, como demonstrado na figura abaixo. Qual seria a estrutura circulada na imagem do ultrassom?
N Supraescapular
169
qual letra corresponderia à localização adequada para dispersão do anestésico no bloqueio do plano serrátil?
B
170
No bloqueio do plano Serrátil: 1. Posicao correta do probe 2. Qual estrutura localizar 3. Onde depositar o anestésico?
1. linha axilar média, logo abaixo do da borda do peitoral maior, cruzando a 4ª e 5ª costelas. 2. localizar a artéria toracodorsal, passando entre o músculo grande dorsal e o serrátil anterior. 3. entre o grande dorsal e o serrátil, com alguns autores recomendando também depositar anestésico entre o serrátil anterior e o intercostal.
171
Principal utilidade para o bloqueio do plano Serrátil:
Masteectomia radical, pp quando ha manipulacao cirúrgica na regiao axilar.
172
Os nervos que devem ser bloqueados, para uso de torniquete ou garrote pneumático, em cirurgia de membros superiores, são: (2)
A região medial alta do braço é inervada pelos nervos **intercostobraquial (ramo direto de T2 que não passa junto com o plexo) e cutâneo medial do braço (ramo do cordão medial do plexo).**
173
Os nervos cutâneo medial do braço e cutâneo medial do antebraço, são ramos do:
Cordão medial do plexo braquial.
174
O plexo braquial é formado pelos ramos primários anteriores de C5 a T1, com contribuição de C4 e T2. Supre toda a função motora e quase toda a função sensitiva do membro superior. Escapam da abrangência do plexo braquial:
* área sobre o ombro (ramos do plexo cervical) e a * Região médio-posterior do braço, estendendo-se até próximo do cotovelo (nervo cutâneo medial do braço e ramo intercostobraquial do segundo nervo intercostal).
175
Você realizou bloqueio periférico para a analgesia pós-operatória de artroplastia total de joelho. No entanto, o paciente acorda com dor em fossa poplítea. Tal fato pode ser explicado por falha de anestesia do nervo:
* **Ciático** Praticamente toda a face posterior do joelho é inervada por ramos do tibial e fibular, as divisões do ciático. Provavelmente nesse caso foi feito um bloqueio femoral ou safeno, que cobriu bem a região ântero-medial, e seria excelente para uma cirurgia de ligamento cruzado anterior (LCA), por exemplo. Porém, numa prótese total de joelho, precisamos também cobrir o nervo ciático, através de um bloqueio direto mais alto ou o I-Pack, pegando seus ramos geniculares.
176
O plexo cervical superficial compreende quatro nervos (**___1___**) e pode ser localizado posterolateralmente ao **___2___** ao nível da cartilagem **___3___**.
1. supraclavicular, cervical transversal, auricular maior e occipital menor 2. esternocleidomastóideo 3. cricoide
177
Bloqueios do plexo cervical são fáceis de realizar e geram anestesia para procedimentos cirúrgicos na distribuição de **___1___**, incluindo dissecções de linfonodos, reparos plásticos e endarterectomia de carótida.
1. C2 a C4
178
O plexo cervical superficial é bloqueado no **___1___** do bordo posterior do músculo **___2___**.
1. ponto médio 2. esternocleidomastóideo
179
Realizando um bloqueio para a face lateral da coxa, o que são as estruturas em destaque?
1 - sartório; 2 - tensor da fáscia lata; 3 - nervo cutâneo femoral lateral **Bloqueio do nervo cutâneo femoral lateral**
180
Paciente de 56 anos, submetida a lifting facial sem intercorrências, reclama na sala de recuperação anestésica de intensa dor na região logo atrás da orelha direita, e também na região anterior ao pavilhão auricular, indo em direção à maxila. O bloqueio de quais nervos teria atenuado essa dor? (2)
* Ramo mandibular do trigêmeo (V3) * Occipital menor
181
Inerva a região deltóide:
* **N Axilar** O nervo axilar faz tanto a inervação sensitiva como motora da região do deltoide. Veja essas imagens:
182
O i-pack poupa as fibras motoras, mas pega principalmente os ramos geniculares que vem do ciático para a face póstero-lateral do joelho, sendo que o que mais dói nas cirurgias de LCA é justamente a porção ântero-medial, coberta pelo **___1___**.
1. safeno
183
Sobre a inervação sensitiva dos MMII, a maior parte da região anterior da coxa é inervada pelo **___1___**. O **___2___** pega uma pequena parte da face interna da coxa próxima ao joelho, e o **___3___** apenas cobre na parte cutânea do joelho pra baixo.
1. femoral (em amarelo). 2. obturador 3. ciático (fibular + tibial) só
184
A figura abaixo representa a visão ultrassonográfica do espaço paravertebral. Qual das letras indica o local correto de administração do anestésico local?
* **D: espaço paravertebral** A - Sinaliza o processo transverso da vértebra. Imagem típica de tecido ósseo ao USG, um contorno hiperecogênico seguido de sombra acústica posterior B - Aqui o autor sinalizou a bainha (ligamento costo-transverso) que separa o músculo eretor da espinha (superficial) dos músculos intercostais (mais profundos) C - Um ponto crítico na realização de bloqueio, a linha pleural, que em tempo real apresentará o lung sliding (deslizamento entre os componentes visceral e parietal da pleura), confirmando que logo abaixo está o pulmão (atenção no agulhamento!) D - Sinaliza o espaço paravertebral, local de deposição do anestésico nesse bloqueio (gabarito, letra D), lateral ao processo transverso, entre a lâmina da vértebra e a pleura, onde emergem os nervos espinhais. Logo, um bloqueio profundo que deve ser realizado sob visão, para evitar pneumotórax e outras complicações.
185
O objetivo do bloqueio infraclavicular é depositar o anestésico logo abaixo da artéria **___1___**, próximo ao fascículo **___2___**, obtendo uma dispersão em U ao redor do vaso, abaixo da fáscia **___3___**.
1. axilar 2. posterior 3. peitoral
186
O esquema abaixo e a imagem ultrassonográfica representam o mesmo bloqueio. Identifique corretamente as os músculos enumerados de 1 a 7:
1: Psoas 2: Quadrado Lombar 3: Eretor da Espinha 4: Grande Dorsal 5: Oblíquo Externo 6: Oblíquo Interno 7: Transverso do Abdome Bloqueio do quadrado lombar.
187
Quais estruturas fazem parte do "sinal do trevo" no bloqueio do quadrado lombar?
* eretor da espinha * quadrado * psoas
188
No bloqueio interescalênico, a rouquidão pode ocorrer se o anestésico local se espalhar para o nervo **___1___**. O manejo específico não é necessário, pois os sintomas diminuirão à medida que o anestésico passar. Rouquidão persistente pode indicar uma causa alternativa.
1. laríngeo recorrente
189
O bloqueio interescalênico representa a abordagem mais proximal do plexo braquial atuando sobre as **___1___**, imediatamente após sua formação, contidas entre os músculos **___2___**.
1. raízes 2. escalenos anterior e médio
190
Como é o posicionamento do paciente no bloqueio interescalenico?
* Decúbito dorsal com a cabeça virada a 45° Coloca-se o transdutor linear de alta frequência (10-18 MHz) de 38 mm firmemente sobre o pescoço ao nível da cartilagem cricoide no plano axial e oblíquo para se obter a visão transversal possível do plexo braquial.
191
O nervo cutâneo femoral lateral é um ramo sensitivo de **___1___** e inerva a **___2___**
1. L2-L3 2. face ântero-lateral da coxa.
192
Paciente com indicação de artroplastia total de joelho será submetido ao bloqueio de nervo periférico ilustrado nas imagens abaixo. Com relação a este nervo: A. tem como ramo sensorial final o nervo sural. B. fornece analgesia do aspecto lateral da perna. C. emite ramos infrapatelares para a articulação do joelho. D. situa-se próximo à arteria poplítea demonstrada na imagem.
* **C** O nervo safeno é o maior ramo cutâneo do nervo femoral. Tem sua origem na face MEDIAL da porção distal da coxa, acompanhando a ARTÉRIA FEMORAL SUPERFICIAL entre os músculos sartório e vasto medial. (LETRA D INCORRETA) Sendo o ramo sensorial terminal do nervo femoral acima do joelho, ele emite ramos infrapatelares para essa articulação e continua distalmente ao longo da região medial da perna, fornecendo inervação cutânea por toda região médio-distal do membro inferior até o maléolo MEDIAL. (LETRA C CORRETA e B INCORRETA) O nervo sural é um nervo também puramente sensitivo, mas formado a partir dos ramos cutâneos dos nervos tibial e fibular comum, que se estende desde a fossa poplítea pelas regiões posterior e lateral da perna até a superficie lateral do pé e calcanhar. (LETRA A INCORRETA)
193
Para anestesiar a face interna da coxa, próximo ao joelho, que nervo deve ser bloqueado?
* **Obturador** A maior parte da face anterior e medial da perna é inervada pelo femoral e safeno (seu ramo sensitivo terminal). Porém, especificamente a área descrita pela questão, é coberta pelo obturador.
194
Ao realizar um bloqueio de plexo via axilar, há de se considerar também a dor referente ao garroteamento do membro superior. Assinale a opção que indica o nervo que deve ser adicionalmente bloqueado para este fim.
Intercostobraquial
195
Realizando o bloqueio de fáscia ilíaca na região supra-inguinal, o que são as estruturas apontadas?
1 - oblíquo interno; 2 - fáscia ilíaca; 3 - íliopsoas
196
As imagens abaixo representam uma técnica de anestesia regional que está sendo realizada em um paciente a ser submetido a cirurgia de terço distal de antebraço esquerdo. Qual regiao pode apresentar falha?
* Bloqueio Infraclavicular * Possivel falha no n. **musculocutaneo**, inervação sensitiva da porção lateral do antebraço. A deposição do anestésico local em U, circundando a artéria, garante a anestesia de todo o braço abaixo do ombro, exceto na região do intercostobraquial Na altura desse bloqueio, principalmente se você faz em uma posição 2 cm (ou mais) lateral ao processo coracoide da clavícula, o nervo musculocutâneo já pode ter deixado a bainha nervosa do plexo. Então, há um risco teórico de falha parcial por não pegar o musculocutâneo (inervação sensitiva da porção lateral do antebraço)
197
No TAP block subcostal superior, quais são as estruturas apontadas?
1 - reto abdominal; 2 - transverso abdominal; 3 - cavidade peritoneal
198
A figura abaixo mostra o plexo braquial esquerdo visto de frente. Entre os números de 1 a 4, qual representa o nervo axilar?
1 - Musculocutâneo (ramo direto do cordão lateral) **2 - Axilar (ramo do cordão posterior junto com o radial)** 3 - Mediano (junção do cordão lateral com o medial) 4 - Ulnar (Ramo direto do cordão medial)
199
Por que o neuroestimulador só estimula a fibra motora e não causa dor
A duração do pulso gerado pelo estimulador de nervo não é suficiente para estimular as fibras C nem as fibras a delta, que transmitem aferência dolorosa. - Reobase: menor corrente necessária para ultrapassar o limiar de excitação independentemente da duração do pulso. - Cronoaxia: duração do pulso necessário para se estimular o dobro da reobase. Impulsos elétricos impelidos com a duração da cronoaxia de uma determinada fibra são mais efetivos em desencadear potenciais de ação. A cronoaxia pode ser utilizada para comparar as diferentes fibras no que diz respeito ao seu limiar de excitação. As fibras motoras, com cronoaxia pequena, necessitam de menor tempo (pulso curto de estimulação de 0,1ms) para despolarizar a membrana até seu limiar de excitação. Enquanto as fibras C necessitam de maior tempo (pulso mais longo) para despolarizar a membrana até seu limiar de estimulação.
200
As ondas de ultrassom de alta frequência são bem colimados e, portanto, podem fornecer imagens de alta resolução. * **V ou F**
* **Verdadeiro** O termo "colimado" é quase um sinônimo de "concentrado". O transdutor linear concentra as suas ondas de alta frequência no mesmo sentido, fornecendo imagens de alta resolução, para estruturas mais superficiais. Veja:
201
O limite anatômico anterior do triângulo de Petit, utilizado como referência para realização do bloqueio do plano transverso do abdome (TAP bloqueio) é o músculo:
Oblíquo externo Na descrição clássica do TAP Block (bloqueio do Plano do Músculo Transverso Abdominal), os autores sugeriam a deposição de anestésico no Triângulo de Petit, na lateral da parede abdominal, um espaço delimitado pelo músculo grande dorsal, oblíquo externo (gabarito da questão, letra A) e crista ilíaca. A infiltração é realizada após dois "cliques", que seriam a perda de resistência nas fáscias entre oblíquo externo e interno, e entre oblíquo interno e transverso abdominal (observe a imagem).
202
Um homem de 41 anos será submetido a artroscopia do ombro direito. Foi realizado um bloqueio interescalênico guiado por ultrassom, dose única. Depois da incisão da pele na parte superior do ombro, o paciente referiu dor. Provavelmente, houve falha do bloqueio do nervo:
* **Supraclavicular** A pele na parte superior do ombro, acima da clavícula, é inervada pelos nervos suplaclaviculares, ramos do plexo cervical superficial, que não são bloqueados em nenhuma janela de plexo. Os nervos supraclaviculares e os ramos supraclaviculares do tronco superior do plexo braquial são estruturas diferentes. Vamos ver detalhes: >> Os nervos supraclaviculares são ramos do plexo cervical, originados das raízes C3 e C4. Eles são puramente sensitivos e fornecem inervação à pele da região supraclavicular, do ombro e da parte superior do tórax. Esses nervos não estão relacionados diretamente ao plexo braquial e, por isso, não são abrangidos por uma abordagem interescalênica (C5-T1). >> Os ramos supraclaviculares do tronco superior do plexo braquial (C5-C6) são nervos motores, como o nervo supraescapular, que inerva os músculos supraespinhal e infraespinhal, e o nervo subclávio, que inerva o músculo subclávio. Esses ramos, por serem parte do plexo braquial, podem ser abrangidos por uma abordagem interescalênica, já que passam entre os músculos escalenos junto ao tronco superior do plexo.
203
Para assegurar a qualidade na analgesia e evitar complicações no bloqueio plexo lombar no compartimento do psoas, utiliza-se estimulador de nervo periférico associado à técnica de ultrassom com transdutor:
* **Curvo** Os transdutores de frequência menor que 7 MHz (curvos ou baixa frequência) possuem definição de imagem baixa, mas com maior penetração (4 cm a 5 cm abaixo da pele), sendo indicados para visualização de nervos e planos fasciais em regiões mais profundas, como no bloqueio do plexo lombar, no ciático infraglúteo ou no quadrado lombar, por exemplo.
204
Realizando o bloqueio do plano serrátil anterior, quais são as estruturas em destaque?
1 - grande dorsal; 2 - serrátil; 3 - intercostal
205
No bloqueio do nervo supraescapular via posterior, quais são as estruturas apontadas na imagem?
1 - trapézio; 2 - supraespinhal; 3 - escápula; 4 - artéria supraescapular; 5 - nervo supraescapular