Vasculite urticarienne Flashcards

(48 cards)

1
Q

Mécanismes de formation d’urticaire ou angioedème (9)

A

Idiopathique

Immunologiques
Auto-immun (auto-anticorps contre FceRI ou IgE)
Allergique IgE-dépendant
Complexes immuns (vasculite)
Dépendant des kinines et du complément (déficit en inhibiteur de C1 estérase)

Non-immunologiques
Dégranulation directe des mastocytes
opiacés
neuropeptides (substance P)
aliments

Stimuli vasoactifs (piqûres orties)

ASA, AINS et pseudoallergènes alimentaires
favorisent formation de leucotriènes > prostaglandines
plutôt exacerbation que cause
IECA

How well did you know this?
1
Not at all
2
3
4
5
Perfectly
2
Q

Symptômes associés à urticaire qui devraient faire suspecter autre explication (2)

A

Pyrexie
Arthrite

*autre explication : vasculite urticarienne, Schnitzler, CAPS (Muckle-Wells)

How well did you know this?
1
Not at all
2
3
4
5
Perfectly
3
Q

Description Schnitzler

A

Urticaire chronique auto-inflammatoire
présentation similaire à CAPS

Fièvre intermittente
Douleur osseuse
Arthralgies ou arthrite

VS augmentée
Gammapathie monoclonale IgM (parfois IgG)

Histologie avec infiltrat dermique à prédominance de neutrophiles
rare vasculite

*considéré par certains comme variante urticaire neutrophilique
*réponse anakinra / canakinumab

How well did you know this?
1
Not at all
2
3
4
5
Perfectly
4
Q

Épiémiologie vasculite urticarienne

A

60-80% F > H
40-60 ans

70-80% normocomplémentémique

How well did you know this?
1
Not at all
2
3
4
5
Perfectly
5
Q

Pathogenèse vasculite urticarienne

A

Hypersensibilité type 3
Antigènes induisant la formation d’anticorps
Complexes immuns
dépôts dans les parois des veinules post-capillaires

Activation du complément

Dégranulation des mastocytes
augmentation de l’expression des molécules d’adhésion
Chimiotaxie des neutrophiles

*Anti-C1q** 50% vasculites urticariennes hypocomplémentémiques et majorité des syndromes de vasculite urticarienne hypocomplémentémique

How well did you know this?
1
Not at all
2
3
4
5
Perfectly
6
Q

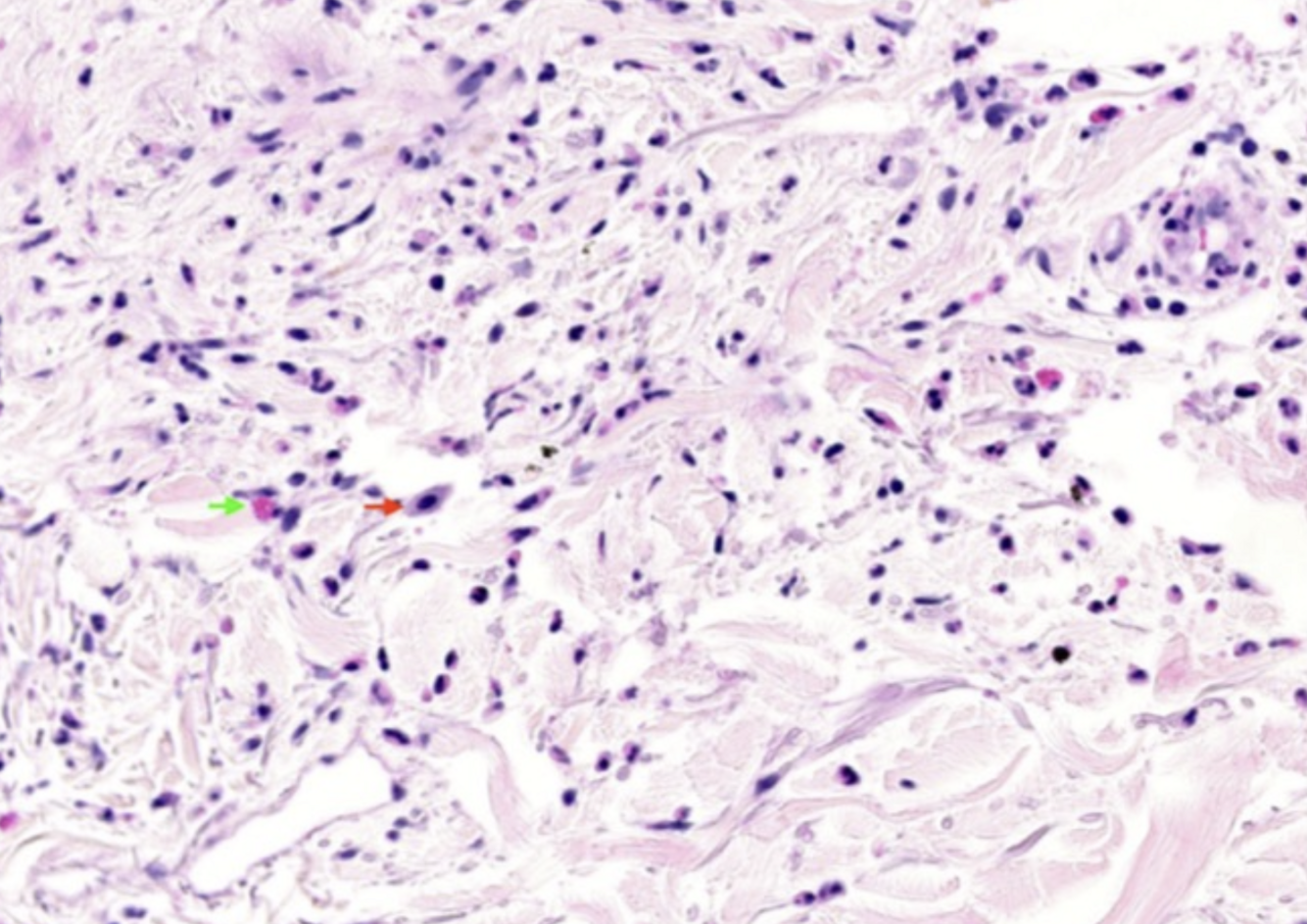
Histologie vasculite urticarienne

A

**Leucocytoclasie, extravasation GR, dépôts de fibrine, infiltrats neutrophiliques, oedème endothélial, oedème du derme*

Oedème du derme superficiel
Infiltrat périvasculaire léger, parfois interstitiel
mixte : lymphocytes, éosinophiles, basophiles, neutrophiles

Dommage aux vaisseaux dermiques
oedème endothélial et occlusion luminale
Leucocytoclasie
carryorhexie des neutrophiles avec poussière nucléaire
Dépôts fibrinoïdes dans les parois vasculaires
Extravasation GR

Infiltrat inflammatoire des parois vasculaires et périvasculaire
neutrophiles, éosinophiles, lymphocytes
prédominance lymphocytaire avec lésions matures

How well did you know this?
1
Not at all
2
3
4
5
Perfectly
7
Q

IFD vasculite urticarienne

A

Positive chez 70%

Dépôts Ig, C3 ou fibrinogène dans les parois vasculaires
granuleux
membrane basale et vaisseaux sanguins

How well did you know this?
1
Not at all
2
3
4
5
Perfectly
8
Q

Particularités histologique vasculite urticarienne hypocomplémentémique

A

Hypocomplémentémique
Infiltrat à prédominance éosinophilique

Normocomplémentémique
Infiltrat à prédominance neutrophilique

How well did you know this?
1
Not at all
2
3
4
5
Perfectly
9
Q

Mutation retrouvée dans vasculite urticarienne familiale

A

DNASE1L3 (homozygote)
encode protéine de la famille des désoryribonucléases

*LED jeune âge, Sx GI importants, GN, uvéites

How well did you know this?
1
Not at all
2
3
4
5
Perfectly
10
Q

Description vasculite urticarienne

A

Lésions urticariennes persistant > 24h
Douleur et brûlement > prurit
Purpura ou hyperpigmentation résiduels
Angioedème

Histologie avec vasculite leucocytoclasique

Manifestations extra-cutanées
Arthralgies (50%)
GI (20%) : douleur abdominale, N, V, D
MPOC (20%)
GN (5-10%)
Uvéite ou épisclérite

How well did you know this?
1
Not at all
2
3
4
5
Perfectly
11
Q

Manifestations extra-cutanées vasculite urticarienne

A

MSK (> 80%)
Arthralgies (50%)
non déformante
sauf arthropathie de Jaccoud (LE)
Myalgies

GI (ad 30%)
Douleur abdominale
N, V
D
(Ischémie intestinale)

Poumons (20-50%)
Cause #1 mortalité
MPOC (tabagisme)
Pleurite

Reins (20%)
GN (membranoproliférative)

Yeux
Conjonctivite
>
Sclérite ou épisclérite
>
Uvéite (postérieure >)

ORL (7%)
Rhinite, obstruction nasale, épistaxis, croutes hémorragiques, chondrite
Oedème laryngé

Autres
Neurologique (très rare)
pseudotumor cerebri
paralysie NC
myélite transverse
Cardiaque (très rare)
péricardite, épanchement péricardique
valvulopathies
le plus souvent avec arthropathie de Jaccoud
Général (50%)
fatigue, fièvre
adénopathie ou HSM (20%)

*plus fréquente atteinte systémique chez hypocomplémentémiques ou avec anti-C1q

How well did you know this?
1
Not at all
2
3
4
5
Perfectly
12
Q

Classification des vasculites urticariennes

A

Normocomplémentémique (80%)
Hypocomplémentémique
ne répond pas aux critères du syndrome de vasculite urticarienne hypocomplémentémique

Syndrome de vasculite hypocomplémentémique

How well did you know this?
1
Not at all
2
3
4
5
Perfectly
13
Q

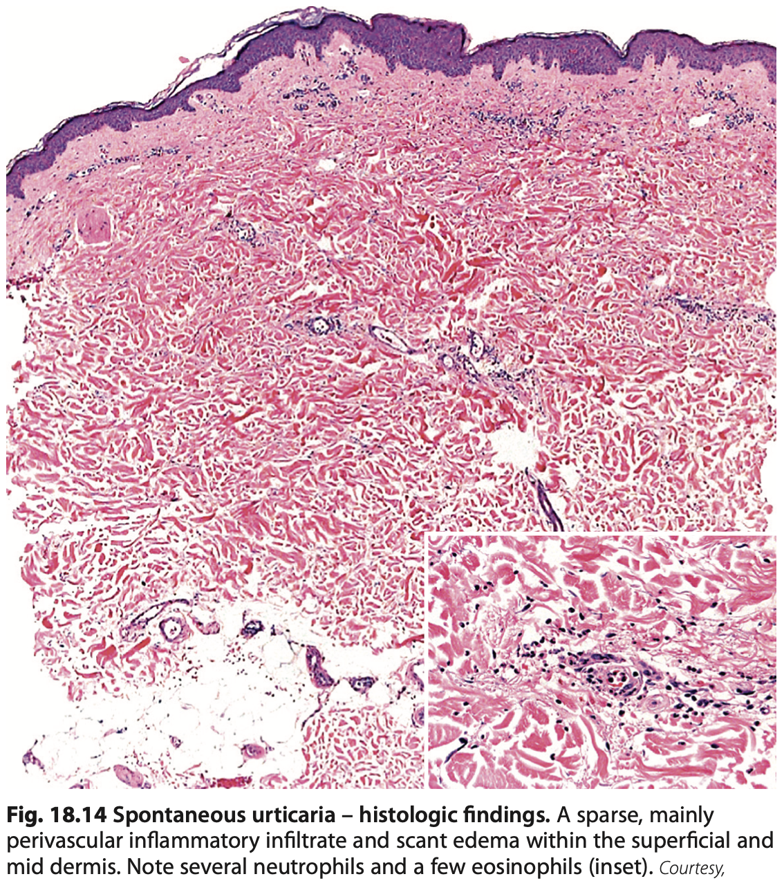
Histologie urticaire

A

Oedème du derme superficiel
Infiltrat périvasculaire léger, parfois interstitiel
mixte : lymphocytes, éosinophiles, basophiles, neutrophiles

Urticaire neutrophilique
Infiltrat avec prédominance de neutrophiles
Absence de vasculite

How well did you know this?
1
Not at all
2
3
4
5
Perfectly
14
Q

Signes dermoscopiques de vasculite urticarienne

A

Vasculite urticarienne
Vaisseaux linéaires
Points ou globules purpuriques (rouge-mauve)
extravasation et dégradation GR
Décoloration résiduelle jaune-orange

Urticaire chronique
Lignes rouges proéminentes, parfois réticulées
vaisseaux ectasiques horizontaux sous-papillaires
Zones avasculaires sans strctures
zones où les vaisseaux sont obscurcis par oedème proéminent

How well did you know this?
1
Not at all
2
3
4
5
Perfectly
15
Q

Investigations pour urticaire (3)

A

Réponse incomplète, maladie sévère ou atypique
FSC (éosinophilie)
VS/CRP (CAPS, vasculite urticarienne)
TSH

Biopsie cutanée (lésions > 24h)

Tests de provocation pour urticaires physiques

How well did you know this?
1
Not at all
2
3
4
5
Perfectly
16
Q

Choix de la lésion à biopsier pour vasculite urticarienne

A

HP lésion âgée de 12-24h

IFD pas de routine (dépôts C3 et Ig intravasculaires)

How well did you know this?
1
Not at all
2
3
4
5
Perfectly
17
Q

Syndrome de vasculite urticarienne hypocomplémentémique

A

Diagnostic avec critères majeurs et 2+ critères mineurs

Critères majeurs
Urticaire 6+ mois
Hypocomplémentémie

Critères mineurs
Vasculite à la biopsie cutanée
Arthralgie ou arthrite
Uvéite ou épisclérite
GN
Douleurs abdominales récurrentes
Présence anti-C1q

How well did you know this?
1
Not at all
2
3
4
5
Perfectly
18
Q

Associations avec vasculite urticarienne (10+)

A

Connectivites
LED (#1)
Sjögren

Infections
HBV
HCV
EBV
(COVID et vaccin COVID)

Médication
Cimétidine
Cocaïne
Diltiazem
Etanercept
Fluoxétine
Infliximab
MTX
AINS
SSKI
Procaïnamide
Procarbazine

Cancers
Dyscrasies plasmocytaies (IgM, IgG, IgA)
Leucémies
Lymphomes
Castleman
Carcinome colon
Carcinome rénal

Autres
Maladie sérique
Cryoglobulinémie
(Urticaire solaire ou au froid)
(Hypergammaglobulinémie)

How well did you know this?
1
Not at all
2
3
4
5
Perfectly
19
Q

Médication associée à vasculite urticarienne (11)

A

Cimétidine
Cocaïne
Diltiazem
Etanercept
Fluoxétine
Infliximab
MTX
AINS
SSKI
Procaïnamide
Procarbazine

How well did you know this?
1
Not at all
2
3
4
5
Perfectly
20
Q

Bilans avec vasculite urticarienne (10)

A

FSC
VS et CRP
Fonction hépatique
Fonction rénale
C3, C4
si C4 bas = C1q
A/U

TFR
RXP

ANA
Anti-Ro

21
Q

Manifestations cutanées de vasculite cutanée des petits vaisseaux (7)

A

Purpura palpable
Purpura maculeux
>
Papules urticariennes
Pustules
Vésicules
Pétéchies
Lésions targetoïdes

*favorisent zones dépendantes et zones avec vêtements serrés
reflet d ela pression hydrostatique

22
Q

Classification des vasculites (15+)

A

Petits vaisseaux
CSVV primaire
HSP et vasculite à IgA de l’adulte
oedème hémorragique de l’enfance
vasculite urticarienne
EED
vasculite cryoglobulinémique (types 2 et 3)

CSVV secondaire
médicamenteux
infections
connectivites
cancers (souvent hématologiques)

Petits et moyens vaisseaux
ANCA
MPA
GPA
eGPA
médicamenteux
Secondaires
infections
connectivites

Moyens vaisseaux
PAN
systémique
cutanée

Grands vaisseaux
Artérite temporale
Artérite de Takayasu

23
Q

Présentations cliniques de vasculite cutanée (7)

A

Purpura palpable
Purpura maculeux
Lésions urticariennes
Ulcères et atrophie blanche
Nodules
Livedo reticularis
Gangrène digitale

24
Q

DDx clinique lésions urticariennes

A

Urticaire
urticaire physique
urticaire de contact
urticaires syndromiques (Schnitzler, Still, CAPS, HIDS, TRAPS)
urticaire neutrophilique
Vasculite urticarienne
Piqûres d’arthropode et urticaire papuleux
PB pré-bulleuse
Pseudo-maladie sérique
Maladies auto-inflammatoires
fièvres périodiques
Exanthèmes viraux
Kawasaki
UP mastocytose
Sweet
DC aigue des paupières
Réactions médicamenteuses urticariennes

25
DDx clinique purpura palpable (10+)
**Vasculite leucocytoclasique avec dépôts de complexes immuns** *Petits vaisseaux* Complexes IgG ou IgM idiopathique infection médication Complexes IgA idiopathique (HSP) infection médication Purpura hypergammaglobulinémique de Waldenström Vasculite urticarienne (souvent minimalement purpurique) Vasculite pustuleuse (bowel bypass syndrome) **Petits et moyens vaisseaux** Cryoglobulinémie mixte Vasculites avec connectivites (LE, PAR, Sjögren) **Vasculite leucocytoclasique pauci-immune** *ANCA* GPA eGPA MPA *Autres* EED Sweet **Pas de vasculite leuocytoclasique** EM PLEVA Éruptions purpuriques pigmentées Purpura hypergammaglobulinémique de Waldenström attention certains ont vasculite leucocytoclasique
26
Morphologie des lésions en CSVV
Purpura palpable Papules érythémateuses Lésions urticariennes Vésicules hémorragiques > Pustules Ulcérations Lésions targetoïdes
27
DDx clinique oedème hémorragique du nourrisson (9)
Érythème polymorphe Urticaire Éruptions médicamenteuses urticariennes Pseudo-maladie sérique Kawasaki Vasculite urticarienne Sweet Ménigococcémie aigue Purpura fulminans
28
Classification vasculite urticarienne
Hypocomplémentémique Normocomplémentémique
29
Associations vasculite urticarienne (10+)
**Connectivites** LED Sjögren **Maladie sérique** **Cryoglobulinémie** **Infections** HBV HCV EBV Lyme **Médication** Cimetidine Cocaïne Diltiazem Etanercept Fluoxétine Infliximab MTX AINS SSKI Procaïnamide Procarbazine **Cancers** *Hématologiques* Dyscrasies plasmocytaires (IgM, IgG, IgA) Leucémies Lymphomes Castleman *Solides* (rares) Carcinome du colon Carcinome rénale
30
Prévalence vasculite urticarienne
5% des urticaires chroniques
31
Proportion des vasculites urticariennes qui sont normocomplémentémiques
70-80% *évolution bénigne avec durée moyenne 3 ans
32
Distinction urticaire et vasculite urticarienne (3)
**Vasculite urticarienne** Lésions > 24h Brulement et douleur (plutôt que prurit) Hyperpigmentation postinflammatoire *parfois bulles, EM, LR, Raynaud, oedème laryngé
33
Critères syndrome vasculite urticarienne hypocomplémentémique
*2 critères majeurs et 2+ critères mineurs* **Critères majeurs** Urticaire 6+ mois Hypocomplémentémie **Critères mineurs** Vasculite à la biopsie cutanée Arthralgie ou arthrite Uvéite ou épisclérite GN Douleur abdominale récurrente C1q abaissé (avec C1q précipitin positif) *si hypocomplémentémique mais pas assez de critères = vasculite urticarienne hypocomplémentémique
34
Atteinte extra-cutanée avec vasculite urticarienne (6)
**MSK** Arthralgies (50%) ou arthrite (50% HUVS) mains coudes genoux chevilles pieds **Yeux** (30%) Conjonctivite Épisclérite Iridite Uvéite **GI** (30%) Douleur abdominale Nausées Vomissements Diarrhée **Poumons** (20% HUVS) Toux Oedème laryngé Hémoptysie Dyspnée Asthme MPOC **Reins** (5-10% HUVS) Protéinurire Hématurie microscopique **Rares** Coeur SNC
35
Distinction LED et syndrome vasculite urticarienne hypocomplémentémique
**HUVS** Inflammation oculaire Angioedème MPOC
36
Anomalies de laboratoire avec vasculite urticarienne
**Vasculite urticarienne** ANA positif VS augmentée C3 et C4 abaissé **HUVS** Complément abaissé anti-C1q C1q abaissé
37
Bilan à faire pour vasculite urticarienne
FSC Créatinine A/U VS, CRP **C3/C4** ANA TSH HBV, HCV RXP ENA Anti-dsDNA Dosage C1q Anti-C1q C1 estérase/fonction ANCA FR Anti-CCP Cryoglobulines Anti-TPO EPP Ig Cytométrie de flux TFR ou spirométrie ETT (selon syndrome, LED)
38
Bilan de suivi pour vasculite urticarienne
*Absence de recommandations* **Normocomplémentémique** Suivre symptômes et réponse au traitement **Hypocomplémentémique** Recherche de complications Bilans réguliers complément (prédit réponse thérapeutique, précède rechute clinique)
39
Apparition atteinte pulmonaire vasculite urticarienne
*Souvent aSx* Apparition en moyenne 7.2 ans après début des lésions cutanées
40
Approche diagnostique vasculite urticarienne
**Lésions > 24h** Biopsie Vasculite ANA, VS/CRP, C3/C4
41
Histologie vasculite urticarienne
Vasculite leucocytoclasique avec nécrose des parois vasculaires avec ou sans dépôts fibrinoïdes Infiltrat avec neutrophiles ou éosinophiles GR extravasés **IFD** Dépôts Ig, C3 ou fibrinogène périvasculaire (70%) Immunoréactants granulaires membrane basale (80%) suggère LED si avec hypocomplémentémie
42
DDx clinique vasculite urticarienne (10)
Urticaire chronique idiopathique Urticaire neutrophilique Dermatoses neutrophiliques urticariennes LED Schnitzler Still de l'adulte CAPS LED eGPA PB phase urticarienne Érythème multiforme atypique Sweet LE tumide Dermatite neutrophilique rhumatoïde Cellulite de Wells Érythème migrans (Oedème hémorragique du nourrisson)
43
Traitement vasculite urticarienne (8)
Antihistaminiques (prurit) AINS (améliore 50%) Colchicine Dapsone HCQ MTX Plasmaphérèse CS ± immunosuppresseurs
44
Traitement vasculite urticarienne (10+)
*Traitement de la cause sous-jacente* **1ère ligne** Antihistaminiques confort mais pas d'impact sur la progression de la maladie AINS (MSK) indométhacine 25 mg tid (ad 50 qid) NPX 500 mg bid ibuprofène ad 800 mg tid à qid **2e ligne** CS PO (modéré-sévère) (80% réponse) 0.5-1 mg/kg Dapsone (45-60% réponse) 50 mg die ad 100 mg die avec ou sans pentoxifylline Colchicine (35-57% réponse) 0.6 bid ou tid HCQ (LED) (40-60% réponse) 200-400 mg die *Immunosuppresseurs* MTX (67% réponse) 7.5-15 mg q semaine MMF (56% réponse) 1-2 g par jour AZA (80% réponse) 100-150 mg die CSA (86% réponse) 3 mg/kg/jour CYC **Résistant** Rituximab 4x 375 mg/m2 q semaine 2x 1g à 15 jours d'intervalle Omalizumab surtout efficace normocomplémentémique Anti-IL-1 anakinra 100 mg SC die canakinumab 300 mg SC x 1 TNFi Anti-IL-6 (tocilizumab) Anti-BLys (belimumab) IVIg Plasmaphérèse
45
Distinction histologique vasculite urticarienne et urticaire neutrophilique
**Urticaire neutrophilique** Infiltrat interstitiel dense de neutrophiles leucocytoclasie *Absence de nécrose fibrinoïde* des parois vasculaires
46
Complications plasmaphérèse (7)
HypoTA Détresse respiratoire Anomalies hydroélectrolytiques Réactions allergiques Anomalies de la coagulation Infection Décès
47
Atteintes organiques dont la réponse corrèle moins avec la réponse de l'atteinte cutanée (2)
Oculaire type sclérite ou uvéite Pulmonaire
48
Pronostic vasculite urticarienne
Durée moyenne de maladie 3-4 ans Survie globale 80% à 5 ans après le diagnsotic