Lymphomes B cutanés Flashcards

(65 cards)

1
Q

Classification des lymphomes B cutanés primaires (5)

A

Lymphome B cutané centro-folliculaire

Lymphome B cutané zone marginale

Lymphomes B à grandes cellules
Lymphome B cutané diffus à grandes cellules B, leg type

Lymphome B diffus à grandes cellules, NOS
(non exclusivement cutané)

Lymphome B diffus à grandes cellules intravasculaire

À noter
Zone marginale extraganglionnaire mucosa-associated lyphoïd tissue lymphoma (MALT) (ancienne classification - mnt cutané zone marginale seul)

How well did you know this?
1
Not at all
2
3
4
5
Perfectly
2
Q

Distinction entre lymphomes B centro-folliculaire, zone marginale, diffus à grandes cellules (leg type)

A
How well did you know this?
1
Not at all
2
3
4
5
Perfectly
3
Q

Épidémiologie des lymphomes B cutanés

A

Quasi exclusivement chez les blancs (non hispaniques)

*vs CTCL qui a des taux d’incidence plus élevés chez les noirs

How well did you know this?
1
Not at all
2
3
4
5
Perfectly
4
Q

Pronostic des lymphomes B cutanés (4)

A

Majoritairement (> 80%) lymphomes de bas grade, indolents, avec bon pronostic

Indolents
Centro-folliculaire
Zone marginale

Agressifs
Lymphomes diffus à grandes cellules B
leg type (intermédiaire)
intravasculaire

How well did you know this?
1
Not at all
2
3
4
5
Perfectly
5
Q

Traitements des lymphomes B cutanés primaires (6)

A

Observation

Radiothérapie locale

Exérèse chirurgicale (lésions solitaires)

Anticorps anti-CD20 IL
Anticorps anti-CD20 systémique

Chimiothérapie (tumeurs haut grade)

How well did you know this?
1
Not at all
2
3
4
5
Perfectly
6
Q

Micro-organismes potentiellement impliqués dans la pathogenèse des lymphomes B (2)

A

Helicobacter pylori
Borrelia

How well did you know this?
1
Not at all
2
3
4
5
Perfectly
7
Q

Lymphomes B associés à Borrelia burgdorferi

A

Zone marginale
Centro-folliculaire
>
Diffus à grandes cellules B (leg type et autres)

How well did you know this?
1
Not at all
2
3
4
5
Perfectly
8
Q

Prise en charge d’un lymphome B cutané suspecté

A

Biopsie compatible et diagnostique
IHC et biologie moléculaire

Staging pour lymphome B
Si + = atteinte cutanée secondaire à un lymphome B extracutané
Si - = lymphome B cutané primaire

Biopsie compatible mais non diagnostique
IHC et biologie moléculaire
si phénotype N, polyclonalité = pseudolymphome
si phénotype aberrant, monoclonalité = réévaluation

Réévaluation clinico-pathologique
lymphome B
prolifération lymphoïde atypique (biopsier d’autres lésions et suivi rapproché)

How well did you know this?
1
Not at all
2
3
4
5
Perfectly
9
Q

Évaluation des lymphomes B cutanés (4+)

A

H&P
Symptômes B
Adénopathies
HSM
Oral
Immunosuppression

Laboratoires
FSC avec frottis
LDH
(Fonction hépatique et rénale)
Cytométrie de flux du sang périphérique

Imagerie
CT TAP / TEP
Échographie abdominale et des ganglions

Autres
BMO (centro-folliculaire, diffus à grandes cellules B)
Biopsie ganglionnaire

How well did you know this?
1
Not at all
2
3
4
5
Perfectly
10
Q

Lymphome B cutané primaire le plus fréquent

A

Centro-folliculaire
(55% des CBCL)

How well did you know this?
1
Not at all
2
3
4
5
Perfectly
11
Q

Description lymphome B centro-folliculaire cutané primaire

A

Âge moyen 60 ans

Cuir chevelu, front, dos (tronc) > jambe

Papules, plaques, nodules ou tumeurs rosés à violacés
Solitaires ou groupées

Parfois apparence acnéiforme (Crosti’s lymphoma)

Asymptomatique (lésions et systémique)
LDH N

How well did you know this?
1
Not at all
2
3
4
5
Perfectly
12
Q

Crosti’s lymphoma

A

Lymphome B centro-folliculaire

Dos, tronc latéral
Morphologie acnéiforme avec petites papules agminées

How well did you know this?
1
Not at all
2
3
4
5
Perfectly
13
Q

Pronostic lymphome B centro-folliculaire cutané primaire

A

Favorable avec survie 5 ans 95% (MI moins bon avec 41%)

Récidives chez 50%
Rare dissémination aux ganglions ou organes internes (5-10%)

How well did you know this?
1
Not at all
2
3
4
5
Perfectly
14
Q

Description lymphome B zone marginale cutané primaire

A

Âge 55 ans

Tronc»_space;bras > tête
tête plus souvent atteinte gg associée

Papules, plaques, nodules récidivants rose-violet ou rouge-brun
Parfois anétodermie secondaire (perte des fibres élastiques dans la zone d’infiltration tumorale)

Asymptomatique (lésions et systémique)
LDH N

How well did you know this?
1
Not at all
2
3
4
5
Perfectly
15
Q

Pronostic lymphome B zone marginale cutané primaire

A

Excellent avec survie 5 ans 99%

Récidives cutanées 40% (sites multiples moins de rémission soutenue)
Pas d’atteinte ganglionnaire ou des organes internes (rare)

*parfois résolution spontanée dans les premiers mois
*parfois association avec Borrelia (Europe) et acrodermatite chronique atrophique

How well did you know this?
1
Not at all
2
3
4
5
Perfectly
16
Q

Description lymphome B diffus à grandes cellules cutané primaire leg type

A

2F:1H
Âge moyen 75 ans

MI distal unilatéral (10-20% ailleurs)

Nodules, tumeurs ou plaques infiltrées
Érythémateux, rouge-brun ou bleuté
Solitaires ou groupés
parfois petites papules à proximité de gros nodules
Ulcération possible

*à noter : diffus à grandes cellules B ganglionnaire peut faire métastases nodulaires aux jambes seulement, d’où l’importance du staging

How well did you know this?
1
Not at all
2
3
4
5
Perfectly
17
Q

Marqueurs positifs pour lymphome B diffus à grandes cellules cutané primaire leg type (3)

A

Bcl-2
MUM-1
FOX-P1

How well did you know this?
1
Not at all
2
3
4
5
Perfectly
18
Q

Pronostic lymphome B diffus à grandes cellules cutané primaire leg type

A

Moins favorable que les autres types de lymphomes B cutanés primaires

Survie à 5 ans 40-50%
(pire si délétion 9p21 - perte de fonction CDKN2A)
(pire si jambe et lésions multiples)

Dissémination fréquente à sites extra-cutanés

How well did you know this?
1
Not at all
2
3
4
5
Perfectly
19
Q

Description lymphome B diffus à grandes cellules intravasculaire

A

Rare

Tronc, cuisses
Taches et plaques indurées, érythémateuses ou violacées
Télangiectasies proéminentes

Souvent avec atteinte systémique dès le diagnostic (incluant SNC)

How well did you know this?
1
Not at all
2
3
4
5
Perfectly
20
Q

Pronostic lymphome B diffus à grandes cellules intravasculaire

A

Mauvais
Agressif

How well did you know this?
1
Not at all
2
3
4
5
Perfectly
21
Q

Description leucémie / lymphome B lymphoblastique

A

Prolifération maligne de précurseurs de lymphocytes B

Prédilection pour enfants et jeunes adultes

Tête et cou
Tumeurs érythémateuses solitaires de grande taille

Rarement primaire à la peau, donc assumer et traiter atteinte systémique même si staging négatif
LDH élevés

How well did you know this?
1
Not at all
2
3
4
5
Perfectly
22
Q

Pronostic leucémie / lymphome B lymphoblastique

A

Très agressif
Mauvais pronostic

How well did you know this?
1
Not at all
2
3
4
5
Perfectly
23
Q

Autres lymphomes B cutanés

A

Lymphomes B avec immunosuppression
Lymphome plasmablastique (oral, souvent VIH, associé à EBV)
Lymphome B diffus à grandes cellules NOS

How well did you know this?
1
Not at all
2
3
4
5
Perfectly
24
Q

Histologie lymphome B centro-folliculaire cutané primaire

A

Épargne de l’épiderme

Infiltrats derme et extension gras SC selon 3 patrons ou combinaisons
nodulaire
diffus
folliculaire (25%)

Centrocytes > centroblastes, immunoblastes, petits lymphocytes, histiocytes > éosinophiles, plasmocytes

Morphologie maligne
Zone du manteau minime ou absente
Absence de tingible body macrophages
Monomorphisme des follicules (absence de zones foncées et claires)

IHC
CD20 +
CD79a +
Bcl-6 +
Bcl-2 -
t(14,18) -

MUM1/INF4 -
FOX-P1 -
si + mauvais Px

CD3 et CD10 variables
Ig surface monotypique (k et l staining)

How well did you know this?
1
Not at all
2
3
4
5
Perfectly
25
DDx histologique lymphome B centro-folliculaire cutané primaire
Lymphome B diffus à grandes cellules (prolifération monotone de centroblastes, immunoblastes) Sarcomes Tumeurs à cellules fusiformes
26
Variantes histologiques de lymphome B centro-folliculaire cutané primaire
Grandes cellules Cellules fusiformes Riche en lymphocytes T
27
Marqueurs lymphome B centro-folliculaire cutané primaire (9)
CD20 + CD79a + PAX-5 + CD5 - CD43 - Bcl-6 positif (marqueur de cellules germinales, fortement suggestif si positif hors des follicules) Ki-67 moins de prolifération dans les follicules malins (fortement positif dans les follicules réactifs) Bcl-2 - MUM-1 souvent négatif FOX-P1 souvent négatif si + mauvais Px
28
Distinction centrocytes et centroblastes
**Centrocytes** Petits ou grands Cellules centro-folliculaires clivées **Centroblastes** Grands Cellules non clivées Nucléoles proéminents
29
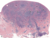
Histologie lymphome B zone marginale cutané primaire
Épiderme épargné Infiltrat patchy, nodulaire ou diffus du derme et gras SC centres germinatifs réactionnels entourés de population pâle avec noyaux indentés (cellules zone marginale, centrocyte-like) **plasmocytes**, cellules lymphoplasmacytoïdes, petits lymphocytes, occasionnels blastes éosinophiles Inclusions intra-nucléaires (Dutcher bodies) et intra-cytoplasmiques (Russell bodies) **IHC** CD20 + CD79a + Bcl-2 + Bcl-6 - CD10 - CD5 - CD43 + MUM1/IRF4 + CD138 + Ig intracytoplasmique monotypiques (k et l staining) *Image* * = lymphocytes néoplasiques de la zone marginale Flèches = lymphocytes réactifs
30
Marqueurs lymphome B zone marginale cutané primaire (7)
CD20 + CD79a + FCRL4 + Bcl-2 + CD5 - CD10 - Bcl-6 - Expression intracytoplasmique monotypique des chaînes légères (kappa ou lambda) Ki-67 prolifération plus marquée en périphérie des nodules et au centre des centres germinaux réactifs
31
Marqueurs lymphocytes B (5)
CD20 + CD79a + PAX-5 + IgM + CD5- CD43-
32
Histologie lymphome B diffus à grandes cellules cutané primaire **leg type**
Épidermotropisme LB (groupes de cellules atypiques de grande taille - similaire à microabcès de Pautrier des lymphomes T) Infiltrat dense diffus du derme et tissu SC (derme papillaire entier ad DEJ) immunoblastes centroblastes Mitoses fréquentes **IHC** CD20 + CD79a + Bcl-2 + MUM1/IRF4 + FOX-P1 + IgM + Ig surface et intracytoplasmique (k et l staining) Souvent aberrations chromosomiques
33
Distinction immunoblastes et centroblastes
**Immunoblastes** Grands Cellules rondes avec cytoplasme abondant Nucléoles proéminents **Centroblastes** Grands Cellules non clivées Nucléoles proéminents
34
Marqueurs lymphome B diffus à grandes cellules cutané primaire **leg type** (8)
CD20 + CD79a + PAX-5 + IgM + Bcl-2 + MUM-1 + FOX-P1 + MYC +
35
Mutations associées à mauvais pronostic de lymphome B diffus à grandes cellules cutané primaire **leg type** (2)
Délétion 9p21 (perte de fonction CDKN2A) Mutation MYD88
36
Histologie lymphome B diffus à grandes cellules **intravasculaire**
Prolifération de lymphocytes atypiques de grande taille remplit **vaisseaux sanguins** du derme et tissu SC Cellules de grande taille Peu de cytoplasme Nucléoles proéminents
37
Marqueurs lymphome B diffus à grandes cellules **intravasculaire** (8)
CD20 + CD79a + PAX-5 + IgM + Bcl-2 + MUM-1 + FOX-P1 + MYC + (coloration CD31, CD34 pour cellules endothéliales permet d'apprécier caractère intravasculaire)
38
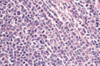
Histologie leucémie / lymphome B lymphoblastique
Prolifération monomorphe de cellules de taille moyenne Peu de cytoplasme Noyaux ronds ou convoluted, chromatine fine Patron "starry sky" à faible grossissement (macrophages avec corps d'inclusion - tingible bodies) Patron mosaic-stone (cf image) Nombreuses mitoses et cellules nécrotiques
39
Marqueurs leucémie / lymphome B lymphoblastique (5)
TdT + (précurseur lymphocytes B et T) PAX-5 + CD10 + CD20 + CD79a +
40
Marqueurs plasmocytes (4)
CD38 + CD138 + MUM-1 + CD20 -
41
DDx clinique lymphome B centro-folliculaire cutané primaire (3)
**Visage** Acné Rosacée Folliculite Lupus miliaire Kystes épidermiques (EIC) Piqûres d'arthropodes Cancers cutanés autres (CBC, Merkel) **Lymphocytomes cutanés** (lobes, mamelons, scrotum) Borrelia (centre germinatif sans zone manteau, nombreux tingible bodies dans macrophages) Piqûres d'arthropodes Vaccination Tatouages Médication Pseudolymphomes B avec centre germinatif proéminent patron folliculaire centres germinatifs réactifs infiltrats inflammatoires (lymphocytes, plasmocytes, éosinophiles) **Lymphome B zone marginale cutané primaire** Plasmocytes monoclonaux CD10 - Bcl-6 - **Lymphome folliculaire avec métastase cutanée** Bcl-2 + (follicules néoplasiques)
42
DDx histologique lymphome B zone marginale cutané primaire (7)
**Processus réactionnels** *Absence de restriction monotypique des chaînes légères d'immunoglobulines* Piqûres d'arthropodes Urticaire Leucémie cutanée Pseudolymphome induit par la médication **Lymphome B centro-folliculaire cutané primaire** (patron diffus) Infiltrat diffus prédominance de centrocytes et centroblastes Bcl-6 + **Leucémie lymphocytaire chronique B (B-LLC)** CD20 + CD23 + CD43 + CD5 + (presque jamais positif en lymphome B zone marginale) Absence de plasmocytes appartenant au clone néoplasique **Lymphome B systémique du manteau** Cycline D1 + CD23 - (SOX11 +) *Différenciation plasmocytaire* Proliférations plasmocytaires réactives plasmocytes sans atypies expression polyclonale des chaînes légères d'immunoglobulines Pseudotumeurs inflammatoires (granulomes de plasmocytes) Dermatoses avec plasmocytes lésions muqueuses infections à spirochètes (syphilis, pinta, yaws, acrodermatite chronique atrophique) plasmacytose cutanée et systémique Macroglobulinémie de Waldenström (IFD avec IgM autour des cellules infiltrantes et EPPS immunofixation détecte IgM circulant)
43
DDx histologique de lésions riches en plasmocytes (5+)
Lésions muqueuses Infections à spirochètes syphilis pinta yaws acrodermatite chronique atrophique Plasmacytose cutanée et systémique Lymphome B zone marginale cutané primaire Plaque prétibiale lymphoplasmocytaire de l'enfant *distinction avec coloration argent (Warthin-Starry) et IHC *T. pallidum*
44
DDx histologique lymphome B diffus à grandes cellules cutané primaire **leg type** (3)
Atteinte secondaire d’un lymphome systémique LMA Tumeurs non lymphoïdes (métastases de cancer d'organe solide)
45
DDx histologique lymphome B diffus à grandes cellules **intravasculaire**
Lymphome T anaplasique à grandes cellules CD30+ vaisseaux lymphatiques podoplanine + **Désordres réactifs** Histiocytose intralymphatique infections cutanées chroniques maladies systémiques (PAR, connectivites) histiocytes CD68+, CD20-, CD3- vaisseaux lymphatiques podoplanine + Prolifération intralymphatique bénigne de blastes lymphoïdes T
46
DDx histologique leucémie / lymphome B lymphoblastique (3)
Autres leucémies / lymphomes Sarcome d'Ewing Carcinome du poumon à petites cellules *distinction TdT+
47
Traitements des lymphomes B cutanés de bas grade (6)
*Indolents : centro-folliculaire, zone marginale* Triamcinolone acetonide IL Radiothérapie locale Crosti's lymphoma : marges élargies 10-20 cm Exérèse chirurgicale Exérèse chirurgicale avec radiothérapie du champ opératoire Anibiotiques si PCR Borrelia positif en début d'évolution et zone endémique Anticorps monoclonal anti-CD20 IL (peu de lésions, localisées) systémique peut être considéré si réfractaire IFN-alpha-2a SC ou IL (réponse complète 50%)
48
Traitements des lymphomes B cutanés plus agressifs (6)
Anticorps monoclonal anti-CD20 systémique Chimiothérapie systémique (CHOP - cyclosporine, doxorubicine, vincristine, prednisone) R-CHOP (leg-type, intravasculaire)
49
Critères myélome multiple
**Asymptomatique (smoldering)** Pic monoclonal sérique 3+ g/dL OU Bence-Jones 500+ mg/24h et/ou BMO avec plasmocytes clonaux 10-59% ET Absence de critères MM-defining ou amyloïdose **Symptomatique** BMO avec plasmocytes clonaux 10+% ou plasmacytome osseux/extramédullaire prouvé à la biopsie ET 1+ parmi MM-defining events (CRAB) *CRAB +* Calcium élevé > 2.75 mmol/L ou > 0.25 mmol/L de plus que ULN Renal insuffisance créatinine > 177 umol/L ou clairance < 40 mL/min Anémie hémoglobine < 10 g/dL ou > 2 g/dL sous LLN Bone lesions (ostéolytique > ostéosclérotique) 1+ sur RX / CT / TEP BMO avec plasmocytes clonaux 60% ou plus Involved:uninvolved chaînes légères libres > 100 avec concentration chaînes légères libres 10+ mg/dL Lésion focale IRM 5+ mm
50
Avantages d'électrophorèse avec immunofixation (2)
*Permet de détecter davantages de pics* Valeurs plus faibles Paraprotéinémie IgA (qui serait cachée par bande beta) *pour amyloïdose systémique serum free light chain est plus sensible que immunofixation
51
Approche histologique au diagnostic de lymphome B cutané à grandes cellules (3)
**Type de cellules prédominantes** Grandes cellules avec clivage = centro-folliculaire (type diffus) (MUM-1, FOX-P1 -) Grandes cellules rondes (continuer) **Localisation des cellules** Intravasculaire = intravasculaire Derme ou tissu SC (continuer) **IHC** Bcl-2 + = leg type (aussi MUM-1, FOX-P1 +) Bcl-2 - = NOS
52
IHC pour DDx histologique de lymphome B cutané
53
Marqueurs pour lymphomes B cutanés (8)
Bcl-2 Bcl-6 CD10 CD5 MUM-1 Cycline D1 TdT EBER-1
54
Marqueurs pour lymphome B centro-folliculaire cutané primaire (diffus) (2)
**Bcl-2 -** **Bcl-6 +** CD10 variable CD5 - MUM-1 - Cycline D1 - TdT - EBER-1 -
55
Marqueurs pour lymphome B zone marginale cutané primaire (blastoïde) (1)
**Bcl-2 +** Bcl-6 - CD10 - CD5 - MUM-1 - Cycline D1 - TdT - EBER-1 -
56
Marqueurs pour lymphome B diffus à grandes cellules **leg type** (2)
**Bcl-2 +** Bcl-6 variable CD10 - CD5 - **MUM-1 +** Cycline D1 TdT - EBER-1 -
57
Classification TNM lymphomes cutanés non MF/Sézary (3)
T1 lésion unique 1a < 5 cm 1b > 5 cm T2 multiples lésions limitées à 1-2 régions du corps contigues 2a total < 15 cm de lésion 2b total > 15 cm à < 30 cm 2c total > 30 cm T3 atteinte généralisée 3a atteint 2 régions du corps non contigues 3b atteint 3+ régions du corps
58
Traitements du lymphome B cutané primaire centro-folliculaire (11+)
**Lésion unique** (curatif) Radiothérapie (marges 1-1.5 cm) Chirurgie (marges 5 mm) (Cryothérapie 2 cycles 20s) **Lésions multiples** Observation *Traitements locaux* CS IL (TAC 10-20 mg/mL) CS topiques très puissants Moutarde azotée topique Bexarotène topique Imiquimod *CS IL (TAC 10-20 mg/mL) *Rituximab IL (IFN-alpha IL 1 millions UI 3x semaine ad 6 millions UI 3x semaines) Radiothérapie *Traitements systémiques* Rituximab (375 mg/m2) > Chlorambucil (avec ou sans rituximab) Cyclophosphamide, vincristine et prednisone (CVP) (avec ou sans rituximab) CHOP (avec ou sans rituximab)
59
Facteurs de moins bon pronostic pour lymphome B cutané primaire centro-folliculaire (6)
Âge avancé F Atteinte étendue Lésions des jambes FOX-P1 + Transformation en forme diffus à grande cellules B
60
Lymphomes B cutanés primaires pouvant progresser vers lymphomes B diffus à grandes cellules (2)
Centro-folliculaire Zone marginale (rare)
61
Protocole de radiothérapie pour lymphomes B cutanés primaires indolents
30+ Gy (40 décrit, plus d'E2) Marges de 1-1.5 cm de peau saine
62
Effets secondaires à long terme de la radiothérapie (6)
Alopécie Dermatite de radiothérapie Hyperpigmentation Atrophie Télangiectasies Cancers cutanés secondaires
63
Utilisation de rituximab IL en lymphomes B cutanés primaires
*Zone marginale > centro-folliculaire* Solution 10 mg/mL Portions de 3 mL (maximum 30 mg par session) Injection IL ad blanchissement Pas de prémédication (acétaminophene peut être administré) Répéter q semaine ou (3x semaine 1x par mois) réponse moyenne en 4-5 semaines
64
Traitements du lymphome B cutané primaire zone marginale (11+)
**Lésion localisée** Radiothérapie (marges 1-1.5 cm) Chirurgie (marges 5 mm) (Antibiothérapie) (Cryothérapie) **Lésions multiples** Observation Radiothérapie *Traitements locaux* CS IL (TAC 2.5 à 40 mg/mL, 0.5 à 12 mg par lésion) CS topiques très puissants Moutarde azotée topique Bexarotène topique Imiquimod topique *Rituximab IL (IFN alpha 2a IL 3x semaine) *Traitements systémiques* Rituximab (375 mg/m2) > Chlorambucil (avec ou sans rituximab) Cyclophosphamide, vincristine et prednisone (CVP) (avec ou sans rituximab) CHOP (avec ou sans rituximab)
65
Traitements du lymphome B cutané primaire diffus à grandes cellules B **leg type**
Radiothérapie +/- R-CHOP